左肘肿物逐渐增大 不可轻视
患者左肘活动受限18年,发现肿物5年,加重1年,门诊收入院。诊断恶性肿瘤证据不足,实为何病?对于少见骨病,如何进一步探究其病因,对症下药?

图8‐1 患者入院时体位像
(1)病例介绍
:患者,男,52岁,主因左肘活动受限18年,发现肿物5年,加重1年,门诊收入院。患者18年前无明显诱因出现左肘关节活动受限、逐渐加重,无局部疼痛肿胀,无发热,未作特殊诊治;5年前于左肘前侧扪及一肿物,如黄豆粒大小,有压痛;1年前该肿物逐渐增大,肘关节活动受限加重;1个月前于当地医院就诊,未明确诊断,现为求进一步诊治,由门诊收入院。既往患糖尿病16年,血糖控制尚满意。
图8‐2 患者入院时功能像
入院查体:左肘关节肿胀(图8‐1),肘前可触及肿物,约5cm×5cm×3cm,质地较硬,边界尚清,无活动度,局部无压痛、皮肤颜色及皮肤温度如常,左上肢感觉和肌力正常,左肘关节活动明显受限,屈曲90°、伸直-30°(图8‐2)。全身情况正常,无发热。
化验检查均正常。
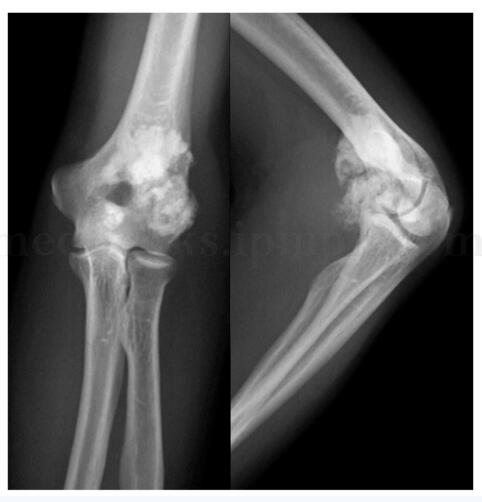
影像学检查:X 线片(图8‐3)和CT(图8‐4)表现为左肘关节前方偏肱骨远端左侧可见类圆形高密度肿块影,边界尚清,与肱骨远端骨皮质间尚有间隙。MRI(图8‐5)表现为左肱骨远端前侧类圆形混杂T 1、混杂T 2信号灶,边界较清,大小约3cm ×3cm ×3cm,增强后呈中度不均匀强化,肱骨远端髓内及前缘骨皮质可见片状低T 1、低T 2信号灶。全身骨扫描(99m Tc‐MDP)(图8‐6)显示为左肱骨远端异常放射性浓集、全身其他部位未见异常放射性浓聚。

图8‐3 X 线片(正侧位)表现
图8‐4 CT 表现:分别为轴位骨窗、软组织窗、矢状位骨窗、软组织窗
图8‐5 MRI 表现:分别为轴位T 1、T 1增强、T 2、T 2抑脂、矢状位T 1、T 2
术前穿刺活检病理仅见增生的纤维组织、不规则钙化骨小梁伴软骨化生、少许黏液成分及多量横纹肌,诊断恶性肿瘤证据不足(图8‐7)。
图8‐6 全身骨扫描(99m Tc‐MDP)表现
图8‐7 穿刺活检病理镜下表现
完善各项术前准备后,于臂丛阻滞麻醉下行病灶切除术。患者取平卧位,于止血带下操作;行左肘关节外侧切口,逐层切开皮肤、皮下组织和深筋膜,于肱肌和桡侧腕长伸肌后缘掀起肌瓣,显露肱骨下端前侧,可见融合在一起的类圆形肿物,质地硬韧,其性状类似软骨组织,其周边与肱骨远端骨皮质间尚有间隙,充分游离肿物周边,予以完整切除(图8‐8)。术毕放置负压引流管,逐层关闭伤口。
图8‐8 病灶切除术术后X 线片(正侧位)表现
术后常规应用抗生素7~10天,24小时引流<20ml 后拔除引流管,术后两周伤口一期愈合。
术后大体病理镜下表现为成熟的骨小梁、纤维结缔组织、软骨组织钙盐沉积,可见异物巨细胞反应(图8‐9)。
图8‐9 术后大体标本和镜下病理表现
(2)专家分析
:二水焦磷酸钙沉积病(calcium pyrophosphate dihydrate deposition disease,CPPD)是一种累及关节及其他运动系统的、与二水焦磷酸钙(calcium pyrophosphate sedimen tation,CPPS)晶体沉积有关的晶体性关节病。其发现已有30 多年的历史,在CPPS晶体被确证之前,常混称“痛风”,之后又称为“假性痛风”(pseudogout),又因其X 线上呈现关节软骨钙化,所以又称“软骨钙化症”(chondrocalcinosi)。但此病又可无软骨钙化的表现,所以目前一般称之为“焦磷酸性关节病”(pyrophosphate arthropathy)。该病女性的患病率高于男性,男女之比约为1∶2~7,多见于50岁以上的老年人,散发性的病例很少有在40岁以前发病,发病率随年龄递增而增加。男性起病年龄较年轻,且多以双下肢关节的急性发作为主要表现,而女性发病多在老年,以慢性炎症为主要表现,四肢关节都可累及。
1961年McCarty 和Hol ander 将偏振光显微镜技术和X 线衍射技术应用于痛风尿酸钠晶体的研究,由此明确了该病的这种非尿酸盐晶体的成分为二水焦磷酸钙,此后一些体内或是体外实验都进一步证实了二水焦磷酸钙作为一种炎症诱导介质可以引起多发性关节炎。1988年McCarty 将该病分为多种类型,说明此病发病与多种因素相关,包括遗传性(家族性)、特发性(衰老)、代谢性疾病相关性(甲状旁腺功能亢进症、家族性低尿钙性高血钙症、血色病、含铁血黄素沉积症、甲状腺功能减退、痛风、低血铁症、低血磷症、淀粉样变性等)、关节外伤或手术相关性。CPPS结晶沉积的机制不详,多数认为与局部无损无机焦磷酸(PPi)增加和软骨糖蛋白抑制PPi 沉积的作用减弱相关。
CPPS结晶沉积于肌腱、韧带、关节囊、滑膜和关节软骨,大多数呈无症状静止状态。但“活动”时,可呈急性炎症或慢性变性病理改变。炎症与变性可依次出现或重叠存在,使临床症状呈多样性表现,给本病的诊断与治疗带来困难。本病按其临床表现可分为6 种亚型即A 型(假性痛风型)、B 型(假性类风湿关节炎型)、C 型(假性骨关节炎伴有反复急性发作型)、D 型(假性骨关节炎不伴急性关节炎发作型)、E 型(无症状型)、F 型(假性神经病变性关节炎型),6个亚型的表现互不相同,各有特色,据McCarty 统计,A 型患者约占焦磷酸钙沉积病患者总数的25%,B 型占5%,C 型和D 型各占25%,其他类型占20%。总的来说,除了平时无临床表现的E 型外,其余5个亚型还是存在一些共同特点的。本病通常只累及大关节,以膝、腕、肩、踝、肘关节最常见,一般由一个关节起病,关节外其他系统的症状少见,这与一些自身免疫性关节病有较大的不同。本病急性发作时主要表现为急性滑膜炎的症状,由于其疼痛剧烈常需与急性痛风发作相鉴别,而慢性关节炎的表现则要与骨关节炎和神经病变性关节炎相鉴别,当临床表现不典型时往往需求助于关节液的检查。目前许多医师更主张把分类简单化,按其临床表现分为3 类:①急性滑膜炎型;②慢性关节炎型;③偶然发现的焦磷酸钙沉积病型。
(3)诊断要点
:二水焦磷酸钙沉积病的诊断主要依靠滑液或组织(主要是关节囊、腱鞘的活检)中二水焦磷酸钙晶体存在的直接证据和关节或软组织的X 线表现,其他的一些临床或实验室检查多用于除外其他的疾病或是诊断患者同时是否伴有其他关节疾患,而焦磷酸钙沉积病的诊断一旦成立,最好进一步探究其病因,特别是追溯该病是否继发于一些遗传代谢病的可能。
诊断标准:
Ⅰ﹒通过红外光谱或X 线衍射的方法在关节滑液或病理标本中发现明确的二水焦磷酸钙晶体。
Ⅱ(a)﹒在相差偏振光显微镜视野下见到标本中有弱正性双折射光或无折射光单斜晶或三斜晶的存在。
Ⅱ(b)﹒在X 线片上发现纤维软骨或透明软骨有典型的钙质沉着。
Ⅲ(a)﹒临床上有急性关节炎的表现,特别是当累及膝关节或其他一些大关节时。
Ⅲ(b)﹒临床上主要表现为慢性关节炎,可以呈现急性发作,膝、髋、腕、肘、肩或掌指关节更易累及。
根据标准Ⅰ或标准Ⅱ(a)十Ⅱ(b)可诊断二水焦磷酸钙沉积病,根据标准Ⅱ(a)或Ⅱ(b)可诊断可能的二水焦磷酸钙沉积病,根据标准Ⅲ(a)或Ⅲ(b)临床上仅提示有二水焦磷酸钙沉积病存在的可能。
其鉴别诊断应包括化脓性关节炎、急性痛风、类风湿关节炎、骨关节炎、神经病变性关节炎(Charcot 关节炎),当本病累及关节旁的组织并造成其钙化时需要与一些肿瘤引起的软组织钙化如滑膜软骨瘤病相鉴别,有时需要组织的活检才能明确诊断。
此例患者为老年男性,但自青年期起病,病史较长,症状以关节活动受限为主,存在慢性滑膜炎症状,临床上符合诊断标准Ⅲ(b)。X 线及CT 显示类圆形高密度肿块影,边界尚清,与肱骨远端骨皮质间尚有间隙,影像学符合Ⅱ(b)。故本病应高度疑诊二水焦磷酸钙沉积病。术后病理证实该病诊断。
(4)治疗原则
:目前尚无法去除软骨和关节囊中CPPS结晶的沉积,也没有针对CPPS结晶的特异性药物,因此本病的治疗尚停留在对症和支持治疗。即使对相关的代谢障碍进行了治疗,已沉积的CPPS结晶也不会重吸收,而且如果某些治疗干扰了钙的平衡,反而会促使本病的急性发作。
在急性发作期间,可进行对症处理,非甾醇类抗炎药单独应用或结合皮质激素关节内注射、抽吸关节液以解除关节内压力等可使炎症迅速消退,而静脉应用秋水仙碱对本病也有作用,能够缓解一定的症状,但口服给药不及对痛风有效,且在预防假性痛风的发作上仿佛并无多大的效果。
而对慢性反复发作患者,口服小剂量(每日1.2mg)秋水仙碱,可明显减少发作资料和发作持续时间。
在慢性间歇期间,治疗目的也只能是缓解症状、保持并改善关节的功能,应避免外伤、手术、强力扭转或长期行走等诱发因素,因为这些动作或事件均可造成软骨摩擦、微晶体的泄流,从而引起关节炎急性发作。对于那些呈进行性破坏或破坏严重的大关节,可以考虑行手术治疗,即进行人工关节置换术。
(5)随诊结果
:本例患者术后两年无复发,但也未再进行任何内科和外科治疗。
(6)经验教训
1)对于少见骨病,首要的还是诊断,仍然要坚持临床、影像和病理三结合。一切治疗均应遵照诊断来进行,避免在诊断不明确的情况下进行治疗,尤其是不适宜的外科治疗。
2)本病尚无对因治疗,对症治疗、避免急性发作以及保护关节功能为主要治疗策略,只有关节破坏严重的病例才需要外科手术干预。
(王 涛)
参考文献
1.Doherty M,Dieppe P.Clinical aspects of calcium pyrophosphate dihydrate crystal deposition.Rheum Dis Clin North Am,1988,14(2):395‐414
2.Luisiri P,Blair J,El man MH.Calcium pyrophosphate dihydrate deposition disease presenting as tumoral calcino sis(periarticular pseudogout).J Rheumatol,1996,23(9):1647‐1650
3.Steinbach LS,Resnick D.Calcium pyrophosphate dihydrate crystal deposition disease:imaging perspectives.Curr Probl Diagn Radiol,2000,29(6):209‐229
4.Yamakawa K,Iwasaki H,Ohjimi Y,etc.Tumoral calcium pyrophosphate dihydrate crystal deposition disease.A clinicopathologic analysis of five cases.Pathol Res Pract,2001,197(7):499‐506
5.McCarty DJ.Arthritis associated with crystals containing calcium.Med Clin North Am,1986,70(2):437‐454
6.Rosenthal AK,Ryan LM.Treatment of refractory crystal‐associated arthritis.Rheum Dis Clin North Am,1995,21(1):151‐161
来源:《骨肿瘤》
作者:牛晓辉 郝 林
参编:廉永云 贾健 赵承斌 张清 郝林
页码:38-42
出版:人民卫生出版社
- 评价此内容
- 我要打分
近期推荐
热门关键词
最新会议
- 2013循证医学和实效研究方法学研讨会
- 欧洲心脏病学会年会
- 世界帕金森病和相关疾病2013年会议
- 英国介入放射学学会2013年第25届年会
- 美国血液学会2013年年会
- 美国癫痫学会2013年第67届年会
- 肥胖学会 2013年年会
- 2013年第9届欧洲抗体会议
- 国际精神病学协会 2013年会议
- 妇科肿瘤2013年第18届大会
- 国际创伤压力研究学会2013年第29届…
- 2013年第4届亚太地区骨质疏松症会议
- 皮肤病协会国际2013年会议
- 世界糖尿病2013年大会
- 2013年国际成瘾性药年会
- 彭晓霞---诊断试验的Meta分析
- 武姗姗---累积Meta分析和TSA分析
- 孙凤---Network Meta分析
- 杨智荣---Cochrane综述实战经验分享
- 杨祖耀---疾病频率资料的Meta分析
合作伙伴
Copyright g-medon.com All Rights Reserved 环球医学资讯 未经授权请勿转载!
网络实名:环球医学:京ICP备08004413号-2
关于我们|
我们的服务|版权及责任声明|联系我们
互联网药品信息服务资格证书(京)-经营性-2017-0027
互联网医疗保健信息服务复核同意书 京卫计网审[2015]第0344号




会员登录

