-
一例右磨牙后鳞状细胞癌的诊治经验分享
环球医学资讯
2025年12月31日
点击量:95
1小时条评论43岁男性患者,因发现右磨牙后肿物2个月入院。如何诊治? 【病例简介】 患者男性,43岁。因发现右磨牙后肿物2个月于2015年5月5日收入本院。2个月前患者自行发现右磨牙后区肿物,无疼痛,无特殊不适,外院活检病理为鳞癌。为进一步诊治至本院,病理会诊提示(...
-
一例舌根腺样囊性癌的诊治经验分享
环球医学资讯
2025年12月19日
点击量:184
1小时条评论45岁患者女性,因发现舌部肿物1年余收住院治疗。如何诊治? 【病例简介】 患者女性,45岁。因发现舌部肿物1年余于2013年3月21日收住院治疗。患者1年前发现舌部肿物,伴轻度伸舌左偏,无痛,不影响进食,就诊于本院行口咽MRI考虑舌癌,鼻咽镜示左侧舌根明显增...
-
一例肺腺癌合并急性肺血栓栓塞病例解析
环球医学资讯
2025年12月05日
点击量:91
1小时条评论68岁女性,因反复头晕1个月,近期晕厥1次收入院。患者晕厥的原因为何? 【病例介绍】 患者女性,68岁,主因反复头晕1个月,近期晕厥1次收入院。患者2016年12月出现体位改变性头晕,卧位好转,无伴耳鸣、视物旋转、恶心呕吐、头痛等其他不适,未引起重视。2017年1月...
-
一例左口咽侧壁鳞状细胞癌的诊治经验分享
环球医学资讯
2025年12月05日
点击量:146
1小时条评论53岁男性,多年吸烟饮酒,因咽痛1个月于2008年4月29日收入头颈外科。如何诊治? 【病例简介】 患者男性,53岁。因咽痛1个月于2008年4月29日收入头颈外科。1个月前患者无明显诱因出现咽部疼痛,呈持续性,吞咽时加重。无发热、咳血等,在当地医院检查示左侧磨...
-
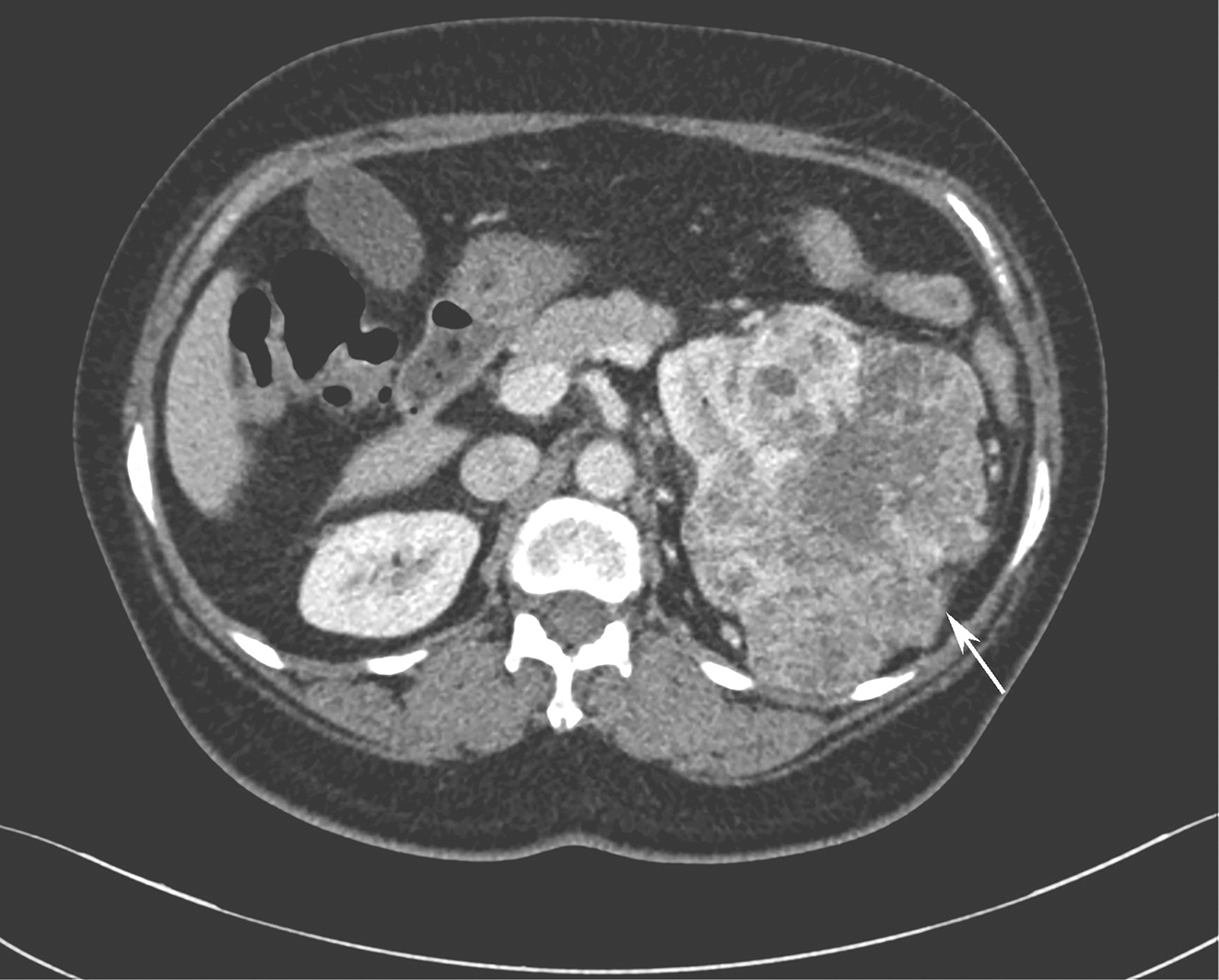
一例少见的伴发肾癌的GIST诊治经验分享
环球医学资讯
2025年12月02日
点击量:74
1小时条评论55岁女性,因左下腹反复疼痛2月余,加重1个月就诊。如何诊治? 【病例摘要】 患者,女性,55岁,因左下腹反复疼痛2月余,加重1个月就诊于四川大学华西医院。查体:下腹部触及8cmtimes;7cm包块,质韧,活动性差。 既往史及家族史 无特殊,家族中无类...
-
一例口咽侧壁鳞癌的根治性放疗经验分享
环球医学资讯
2025年11月20日
点击量:133
1小时条评论52岁男性,因发现口咽部肿物5个月住院治疗。初发症状为溃疡,最终确诊左侧口咽侧壁鳞癌。对于较少见的口咽部原发肿瘤,如何治疗? [病例简介] 患者男性,52岁。因发现口咽部肿物5个月于2016年11月2日收住院治疗。患者5个月前因吞咽异物感发现左侧口咽部肿物...
-
一例下咽癌合并食管癌的诊治经验分享
环球医学资讯
2025年11月06日
点击量:130
1小时条评论39岁男性患者,因咽部疼痛5月余,进食阻挡感伴声音嘶哑20余天住院治疗。如何诊治? 【病例简介】 患者男性,39岁。因咽部疼痛5月余,进食阻挡感伴声音嘶哑20余天住院治疗。患者5个月前无明显诱因出现咽部疼痛,伴咽部异物感,进食时疼痛明显;无进食呛咳及进...
-
一例肺腺癌EGFR L858 R/V834L突变患者的诊治经验分享
环球医学资讯
2025年11月04日
点击量:114
1小时条评论61岁女性,因确诊肺腺癌1年余,腹胀半个月入院,如何诊治? 【病例简介】 患者女性,61岁,因确诊肺腺癌1年余,腹胀半个月入院。患者于2015年7月出现乏力,无发热、咳嗽、咳痰、胸闷、胸痛和咯血。于外院体检行胸部CT检查发现左肺部占位伴胸腔积液。胸腔积液查见腺...
-
一例下咽癌左颈部淋巴结转移诊治经验分享
环球医学资讯
2025年10月24日
点击量:108
1小时条评论64岁男性,因咽痛伴吞咽阻挡感3个月,发现左颈部淋巴结肿大1周住院。如何诊治? 【病例简介】 患者男性,64岁。因咽痛伴吞咽阻挡感3个月,发现左颈部淋巴结肿大1周住院治疗。患者3个月前无明显诱因出现咽痛、咽部异物感及吞咽阻挡感,饮水偶有呛咳。无咳嗽咳...
-
一例弥漫大B细胞淋巴瘤合并慢性肾功能不全病例评析
环球医学资讯
2025年10月17日
点击量:99
1小时条评论老年男性,慢性病程,表现为反复恶心、肾积水、腹膜后占位,激素及免疫抑制治疗无效。病理活检可见淋巴样细胞弥漫浸润,细胞有异型,CD20(+),CD38(+),CD138(+),IgG4(minus;)。如何诊治? 【病历摘要】 患者,男,67岁,因间断恶心10个月,发现肾积水、...










会员登录

