Enneking“事不过三原则” 您了解吗?
49岁女性患者,因右大腿软组织肿物手术后反复发作4年半入院治疗。患者有多次手术史,术后肿瘤反复复发,手术后病理报告确诊黏液型恶性纤维组织细胞瘤。对于反复复发的病例适用Enneking 提出的“事不过三原则”,您知道指的是什么吗?
(1)病例摘要
:患者,女性,49岁,因右大腿软组织肿物手术后反复发作4年半,于2005年9月来我院治疗。患者于入院前4年半,无意中发现右大腿前外侧软组织内包块,直径约7cm,可活动,无压痛,局部皮肤正常。在当地医院行手术切除治疗,具体手术情况不详,手术后病理报告为“神经鞘瘤”。3年前,患者于右大腿前侧再次发现肿块,至当地医院再次行肿物局部切除手术治疗,术后病理报告仍为“神经鞘瘤”。2年前患者再次发现右大腿前侧出现软组织肿块,至当地另一家医院就诊,再次行肿物局部切除手术治疗,术后病理报告为“多发性神经纤维瘤”。1年半前,患者再次因右大腿前侧软组织肿物在当地第2 家医院行手术切除,术后病理仍为“多发性神经纤维瘤”。1年前患者再次发现肿物复发,并逐渐长大,为进一步治疗入我院。
入院查体:患者步行入院,步态正常,双下肢等长,无明显畸形。右大腿前侧可见4条原手术瘢痕(图49‐1),愈合良好。右大腿中远端较对侧隆起,周径44cm(同水平对侧38cm),局部皮温稍高,皮肤颜色正常,无静脉曲张,无破溃。于隆起处可触及质韧软组织肿物,自髌骨上开始,向上约20cm,宽约9cm。肿物有压痛,边界不清,与皮肤无粘连,不活动。右侧膝关节活动明显受限,膝关节伸10°,屈曲90°。双侧腹股沟淋巴结无肿大。

图49‐1 右大腿前侧可见4条原手术瘢痕
影像学检查:X 线片示右大腿远端软组织内梭形肿物,右股骨骨皮质完整,未见破坏(图49‐2)。B 超显示右大腿紧贴股骨干可见长约19~20cm,宽约8.7cm,厚约4~6cm 实性分叶状肿物,内回声不均,可见结节状偏弦回声,肿物血流丰富。CT 显示右大腿中下段前内侧巨大软组织肿物,边界尚清,密度不均匀,增强后显著不均匀强化,周围血管、肌肉受压推移。右股骨皮质完整(图49‐3)。MRI 显示右大腿中下段股四头肌深面,股骨前侧不规则异常信号影,边缘尚清,内部不均匀,呈长T 1长T 2的混杂信号。增强后扫描病变呈不均匀强化。邻近骨皮质光滑,骨髓腔内未见异常信号影。股四头肌及肌腱受压变薄,向前方移位(图49‐4)。
图49‐2 X 线示右大腿远端软组织内梭形肿物,右股骨骨皮质完整,未见破坏
图49‐3 CT 显示右大腿中下段前内侧巨大软组织肿物,边界尚清,密度不均匀,增强后显著不均匀强化,周围血管、肌肉受压推移。右股骨皮质完整
图49‐4 MRI 显示右大腿中下段股四头肌深面,股骨前侧不规则异常信号影,边缘尚清,内部不均匀,呈长T 1长T 2的混杂信号。增强后扫描病变呈不均匀强化。邻近骨皮质光滑,骨髓腔内未见异 常信号影。股四头肌及肌腱受压变薄,向前方移位
因患者有多次手术史,术后肿瘤反复复发,为明确诊断,我们要求患者提供以往手术病理切片。患者前两次手术后病理切片丢失,无法确定其诊断。根据患者提供的后两次手术病理切片,经过我院病理科会诊结果为中间性或低度恶性肿瘤,初步诊断为低度恶性黏液性纤维肉瘤。
完善术前检查后行右大腿前侧间室肿瘤切除,股骨髓内针固定术。联合麻醉满意后,平卧位。采用大腿前侧梭形切口,自右髂前上棘至右髌骨下方,切除原4条手术瘢痕,自深筋膜浅层向两侧分离,分离至内外侧肌间隔。内侧分离保护股动静脉,分离结扎股神经。自内外侧肌间隔下方向股骨方向分离,至股骨表面。远端在髌骨下方切断髌腱,近端切断股四头肌的起点,其深方在股骨上的止点连同骨膜一同切除(图49‐5)。为防止因大范围切除骨膜造成股骨干病理性骨折,于股骨髁逆行置入带锁髓内针,并锁定远端锁钉(图49‐6)。充分止血,置入伤口负压引流管3 根。分层缝合伤口,术毕。

图49‐5 手术中切除肿瘤范围(a);移除肿瘤后可见无骨膜的股骨干(b)

图49‐6 为预防骨折,带锁髓内针固定后
术后对切除标本进行固定,摄影,评价外科边界,确认为根治性切除边界(图49‐7)。手术后病理报告:黏液型恶性纤维组织细胞瘤。
(2)专家分析
:原发软组织肉瘤的基本治疗手段是广泛的外科切除,目前广泛切除后患者的5年无病存活率大约在50%。对于低度恶性软组织肉瘤不规范的手术切除会导致其易于局部复发,并会出现去分化而表现为高度恶性,偶尔也会出现转移而其组织学仍保持低度恶性未变。外科切除时,即使在假包膜以外有卫星灶,充分的广泛切除仍然是标准术式;如果手术范围不够,就应该立刻行扩大切除,不应等待肿瘤复发后再进行。对于高度恶性软组织肉瘤来讲,截肢、间室切除或广泛切除为最佳外科术式。局部控制是软组织肉瘤治疗的目标,只要出现新的局部复发,其预后就有进行性恶化的风险。

图49‐7 术后摄影,并用福尔马林溶液处理标本,评价切除范围
Enneking对不同手术切除范围分为4 类:囊内切除:在肿瘤假包膜内切除肿瘤实体,在实际操作中经常是分块切除。这种切除方式局部肿瘤复发率几乎为100%。边缘切除:在反应区内完整切除肿瘤,切除的内容包括肿瘤实体及假包膜。这种切除方式局部肿瘤复发率可达60%~80%。广泛切除:在肿瘤范围外正常组织中进行切除,切除的范围包括肿瘤实体,假包膜,反应区。切除范围在间室内,但切除过程中不暴露肿瘤。这种切除方式局部肿瘤复发率仍有30%。根治性切除:在肿瘤所在间室外进行切除,切除范围包括肿瘤实体,假包膜,反应区及包括正常组织在内的整个间室内容物。这种切除方式局部肿瘤的复发率最低。
局部软组织肉瘤手术治疗的标准方式有以下几种:①根治性切除:间室切除;②广泛切除并结合术前或术后放疗(作为间室切除的替代方式);③根治性截肢(如果间室切除和广泛切除都不能实施)。
充分的切除边界是距肿瘤组织6cm进行切除,尽量将整个间室切除。但从文献上看这种理想的切除边界难以达到。这种方式需要至少切除直径超过12cm的正常组织,在所有的上肢和膝关节以远的肉瘤只有进行截肢才能达到这个要求。然而在过去即使是20 世纪60年代也只有40%~47%的病例采用了截肢手术。目前对肢体肉瘤患者更强调生活质量,多采用保肢手术同时应用其他辅助治疗措施。以外科手术治疗为主,同时使用动脉化疗、动脉化疗加放疗或放疗等。在肿瘤治疗中心肢体肉瘤的目前的截肢率在5%左右。在肉瘤广泛累及关节或骨和软组织时可以采用截肢手术。如只是主要神经受累,像坐骨神经,则可将神经和肿瘤组织一起切除。一根主要神经受累不一定进行截肢手术治疗,切除一根神经带来的功能损失要比损失一个肢体好处理的多,患者也更容易适应。而本应以外科手术为主要治疗手段但却不能手术的病例,其预后很差。
(3)诊断要点
:软组织肉瘤的诊断需要临床、影像学、病理相结合。本例患者大腿深层巨大软组织肿物,曾有多次手术史,术后反复复发。这是恶性肿瘤的特点,但患者术后病理报告为良性肿瘤。因此临床表现、影像学表现与病理结果不相符。对于此类患者,特别需要注意。建议多进行病理会诊,以明确诊断。
(4)治疗原则
:通过本病例主要介绍大腿前侧软组织肿瘤切除的手术方式。肢体软组织肉瘤中约有50%发生在大腿。大腿的深筋膜、肌间隔等将大腿分为3个间室,其致密的筋膜组织对肿瘤生长有限制作用,此部位的肿瘤往往可以通过间室切除的方式手术治疗。
大腿的深筋膜是一层致密组织,完整地包裹大腿。它向上,在前面连附于腹股沟韧带,在外侧附于髂嵴,在内侧附于耻骨弓和坐骨结节,在后面附于尾骨和骶骨的背面。阔筋膜外侧很厚,形成髂胫束,阔筋膜的中部和后侧很薄。肌间隔自阔筋膜内面伸展到各肌群间并延续到股骨粗线,外侧的间隔很结实,中部的间隔只在大腿的下部才形成。肌间隔将大腿分为3个间隔,即内侧肌间隔、外侧肌间隔和后侧肌间隔。前群包括股四头肌和缝匠肌,由股神经支配,作用是伸膝。内侧肌群包括内收肌群,由闭孔神经支配,作用是内收大腿。后群包括后侧的绳肌群,作用是屈膝。
大腿前侧累及股四头肌的肿瘤往往需要施行广泛切除。股四头肌从外、前、内3个方面包裹股骨,可分为4 部分。股直肌:起自髂前下棘和髋臼上缘。股外侧肌:起自股骨粗线外侧缘。股内侧肌:起自股骨粗线内侧缘。股中间肌:位于股直肌深面,起自股骨体前面的上3/4。四个部分向下形成强大腱,包绕髌骨前面,继延伸为强大的髌韧带止于胫骨粗隆。其主要作用为伸膝。股四头肌肌肉粗大,大腿前侧肿瘤行手术切除时,在上下和左右方向达到5~10cm的边界不成问题,多数情况下手术能保留部分肌肉并保留神经支配,不影响伸膝功能。但其在前后方向上,边界往往受到限制。其最深方股中间肌是一块很薄的肌肉,紧贴股骨,此部位通常不被前侧的大部分肿瘤侵犯,可以保留,但如果此层肌肉受累,切除时就需要剥离股骨干骨膜以达到安全的外科边界。在本病例中术前根据影像学检查,已知肿瘤生长于大腿前侧间室内,并紧贴股骨干生长,与髌骨距离很近。为达到广泛切除,在手术设计阶段确定将大腿前侧间室的全部组织切除,深方剥离股骨干骨膜,远端同时切除髌骨。
大腿前侧软组织肿瘤手术宜选纵行切口,以肿块为中心,应该将以前行病理活检的穿刺道切除,可以从髂嵴一直延伸到髌骨附近。自深筋膜浅层向两侧翻开皮瓣,皮瓣掀起后,深筋膜应该在缝匠肌上缘的中部切开,这样就显露好了股神经和股动脉,缝匠肌和股直肌肌腱已经分开,股神经的分支被切断,主干向下延伸。进入股四头肌的股神经分支位于不同的水平,部分在近侧进入肌肉,部分在远侧进入肌肉,有一支分支在大腿下段1/3 呈直角进入股中间肌。保留部分股四头肌以及神经支配,使其与髌腱连续,可以让患者术后能直腿抬高,因为保留了伸膝功能。如行大腿前侧间室切除,可自近端分离保护股动静脉后切断股神经。皮瓣向两侧分离至内外侧肌间隔,再自肌间隔后侧向股骨方向分离,至股骨干。其中在分离内侧肌间隔的时候需要注意保护股动静脉。近端切断股直肌在髂前下棘的起点,股内侧肌、股中间肌、股外侧肌起点位于股骨干,在切断其起点时可同时剥离骨膜,至远端如髌骨未受累,可在髌骨上缘切断股四头肌腱,如髌骨受累,可在髌骨下切断髌腱。

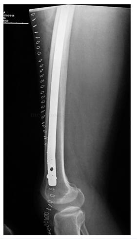
图49‐8 术后半年轻微外伤后出现右股骨干中段横断骨折,因有 预防性内固定存在,骨折无移位
在大腿前侧间室切除后,将股二头肌和股薄肌转移后缝在髌腱上可以帮助稳定膝关节,同时佩戴矫形支具可帮助行走。也有如本例患者,整个股四头肌和股神经被切除后,未做肌腱转移,也不用支具,只用拐杖也能很好的活动。
(5)随诊结果
:患者术后3周开始扶双拐下地运动,并进行大腿局部放疗1月。术后半年,患者轻微外伤后出现右股骨干中段横断骨折,因有预防性内固定存在,骨折无移位(图49‐8),术后1年骨折愈合(图49‐9)。目前患者术后5年,肿瘤无局部复发,无淋巴结转移,无远隔转移(图49‐10)。患者平卧位主动屈髋、屈膝无力,被动屈膝45°,屈髋45°,日常不佩戴支具扶单拐行走,也可以不扶拐行走,轻度跛行。患者自觉功能满意。

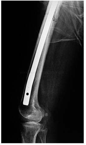
图49‐9 术后1年骨折愈合
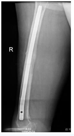
图49‐10 术后5年复查
(6)经验教训
1)软组织肉瘤的诊断需要临床、影像学、病理相结合。对于临床表现、影像学表现与病理结果不相符的病例,特别需要注意。建议进行更详细的影像学检查及病理会诊,以明确诊断。
2)对于反复复发的病例适用Enneking 提出的“事不过三原则”,也就是当肿瘤复发3次及3次以上时,即使肿瘤是良性,也应该当作低度恶性肿瘤处理。
3)原发软组织肉瘤的基本治疗手段是广泛的外科切除。
4)对于大腿前侧的软组织肉瘤可以通过间室切除的方式达到良好的外科边界,并可以达到保肢的目的。
5)对于软组织切除范围大,需要同时切除骨膜,并且局部可能需要放疗的患者,相应骨应该行预防性内固定,防止术后骨折发生。
(李 远)
参考文献
1.Baldini EH,Goldberg J,Jenner C,et al.Long‐term outcomes after function‐sparing surgery without radiotherapy for soft tissue sarcoma of the extremities and trunk.J Clin Oncol,1999,17:3252‐3259
2.Mankin HJ,Mankin CJ,Simon MA.The hazards of the biopsy,revisited.Members of the Musculoskeletal Tumor Society.Journal of Bone and Joint Surgery of America,1996,78:656‐663
3.Lin PP,Schupak KD,Boland PJ,et al.Pathologic femoral fracture after periosteal excision and radiation for the treatment of soft tissue sarcoma.Cancer,1998,15;82(12):2356‐2365
4.Stojadinovic A,Leung DH,Hoos A,et al.Analysis of the prognostic significance of microscopic margins in 2084 localized primary adult soft tissue sarcomas.Ann Surg,2002,235:424‐434
来源:《骨肿瘤》
作者:牛晓辉 郝 林
参编:廉永云 贾健 赵承斌 张清 郝林
页码:281-284
出版:人民卫生出版社
- 评价此内容
- 我要打分
近期推荐
热门关键词
最新会议
- 2013循证医学和实效研究方法学研讨会
- 欧洲心脏病学会年会
- 世界帕金森病和相关疾病2013年会议
- 英国介入放射学学会2013年第25届年会
- 美国血液学会2013年年会
- 美国癫痫学会2013年第67届年会
- 肥胖学会 2013年年会
- 2013年第9届欧洲抗体会议
- 国际精神病学协会 2013年会议
- 妇科肿瘤2013年第18届大会
- 国际创伤压力研究学会2013年第29届…
- 2013年第4届亚太地区骨质疏松症会议
- 皮肤病协会国际2013年会议
- 世界糖尿病2013年大会
- 2013年国际成瘾性药年会
- 彭晓霞---诊断试验的Meta分析
- 武姗姗---累积Meta分析和TSA分析
- 孙凤---Network Meta分析
- 杨智荣---Cochrane综述实战经验分享
- 杨祖耀---疾病频率资料的Meta分析
合作伙伴
Copyright g-medon.com All Rights Reserved 环球医学资讯 未经授权请勿转载!
网络实名:环球医学:京ICP备08004413号-2
关于我们|
我们的服务|版权及责任声明|联系我们
互联网药品信息服务资格证书(京)-经营性-2017-0027
互联网医疗保健信息服务复核同意书 京卫计网审[2015]第0344号




会员登录

