剖析胫骨近端切除后人工关节的重建难点
胫骨近端切除后人工关节的重建难点是什么?临时假体的设计目的何在?详情参见以下病例——儿童胫骨近端骨肉瘤切除术后临时假体重建。
(1)病例介绍
:患者,男,8岁,主因左小腿疼痛1月余收入院。1月前患者出现左小腿疼痛,不伴放射,休息无好转,就诊当地医院摄片显示左胫骨近端病变,遂转诊我院,行穿刺活检,病理回报为骨肉瘤,为进一步治疗收入院。
入院查体:患者跛行,左小腿近端内侧稍隆起,无见静脉曲张,皮肤颜色正常,轻压痛,皮温不高,双膝关节屈伸活动无受限。经包块水平周径测量显示左侧较右侧增大1cm。
影像学检查:X 线片显示左胫骨近端干骺端可见成骨性病变,整个干骺端基质明显骨化,外侧突破骺板进入到骺端,胫骨近端内侧可见骨膜反应及软组织包块影(图47‐1,图47‐2)。CT 显示左胫骨近端干骺端的成骨性病变,伴骨膜反应,增强后有强化(图47‐3)。MRI显示胫骨近端髓腔内T1 和T2 均为混杂信号,以低信号为主(图47‐4)。病变远端距胫骨关节面的距离为12cm。全身骨扫描结果为左胫骨近端单发浓聚性改变(图47‐5)。
常规化验大致正常。
行新辅助化疗4次。2次异环磷酰胺(每次剂量15g/m 2)化疗,两次氨甲蝶呤(每次8g/m 2)化疗。化疗后局部症状减轻,影像学显示骨膜反应区出现进一步的骨化。
完善术前准备后,在连续硬膜外麻醉下行胫骨近端瘤段切除临时假体重建术(图47‐6)。患者平卧位,在止血带下操作。手术采用胫骨近端前内侧入路。梭形切除活检道。向两侧游离,注意保护窝血管神经束及腓总神经,显露胫骨近端,切断髌腱,切开关节囊,距止点1cm切断交叉韧带及内外侧副韧带,距关节面15cm截断胫骨。冲洗松止血带止血后安装胫骨侧的临时假体,远端髓内针以骨水泥固定。以不可吸收线把前后交叉韧带及侧副韧带断端固定到临时假体的聚乙烯衬垫,把髌腱残端与鹅足及深筋膜缝合固定。放置引流,冲洗后关闭伤口。术后以长腿石膏后托固定于膝关节伸直踝关节中立位。术毕常规应用抗生素7~10天,24小时引流小于25ml 后拔出引流管。
图47‐1 左胫骨上段正位片
图47‐2 左胫骨上段正侧位(带膝关节)示左胫骨上段干骺端骨质破坏,其内可见高低混杂密度影,骨化明显,骨皮质变薄,可见骨膜反应,周围可见软组织包块。病变近端侵及骺端
图47‐3 CT 示左胫骨上段可见骨质破坏,骨化明显,骨皮质受侵变薄,可见骨膜反应及软组织包块
图47‐4 MRI 示左胫骨上段可见骨质破坏及软组织肿块影,以中等T 1、T 2信号为主的混杂信号,肿块与周围组织分界不清,增强后有强化。病变突破骺板侵及骺端a﹒MRI:T 1 W/TRA;b﹒MRI:T 1 W/COR +C;c﹒MRI:T 2 W/SAG
图47‐5 全身骨扫描显示左胫骨近端异常浓集,全身其余部位未见明显异常
图47‐6 术后胫骨正侧位片示胫骨近端人工关节重建术后,膝关节无脱位a﹒正位片;b﹒侧位片
术后两周伤口一期愈合后拆线。改用支具继续保持膝关节伸直,并逐渐练习股四头肌等长收缩功能训练,至6~8周后可拄拐杖,部分负重下地活动,并逐渐增加负重。
术后继续使用氨甲蝶呤、异环磷酰胺、多柔比星及顺铂进行定期化疗。每3个月复查局部X 线片、双下肢全长片、肺CT,每6个复查全身骨扫描。
(2)专家分析
:与成人恶性骨肿瘤的治疗相比,生长发育期的儿童恶性骨肿瘤的手术治疗原则是基本一致的,都需要实现广泛切除的外科边界。然而,儿童患者的保肢治疗有其特殊性:①病变骺板在切除后可影响肢体发育而导致肢体不等长;②假体髓内针的插入可导致骺早闭亦可引起肢体不等长。通常情况下,女孩的发育期可到14~15岁,而男孩可到16~17岁,如女孩骨龄<10岁或男孩骨龄<12岁,其生长潜力至少有4~5cm。对于下肢而言,不同的骺板对于肢体长度的贡献并不相同:股骨远端38%,胫骨近端28%,股骨近端18%,胫骨远端16%。如病变累及膝关节周围的骺板,出现的肢体长度差异可能性会更大。对于2cm以内的肢体长度差异,常常无需特殊处理,经过脊柱及骨盆倾斜常可代偿。2~5cm的肢体短缩可通过使用特殊鞋垫或者闭合对侧肢体相同位置的骺板进行处理,但后者会导致患者身材矮小。对于5cm以上的肢体长度差异常常需要骨延长进行处理。如长度差异超过10cm的肢体基本上无法使用。
从上面分析可以看出,对于累及骺板的儿童恶性骨肿瘤患者进行保肢手术后肢体不等长是一个必须要面对的问题,尽量保存骺板有助于减少肢体长度差异的程度,不合适的治疗方式将严重影响患肢的功能。早期大部分患儿的治疗采用了截肢的方式,部分患者接受了旋转成形术的治疗。旋转成形术可提供较好的功能,但因外形异常,需要患儿及家属较强的心理承受力。对于年龄较大的儿童,如预期的身高增长较小时,可早期关闭对侧同等位置的骺板来实现调整肢体长度。
20 世纪80年代儿童可延长假体的出现为解决这个问题提供了一个良好的途径(Sten more,英国)。通过多次调整假体长度,患肢可最多增加6cm 的长度。这种可延长假体尤其适合预期肢体长度差异超过4~5cm的情况。但可延长假体的技术要求很高,如出现机械故障,假体则无法进行延长。平均多达6~8次的长度调整手术增加了患者的痛苦和局部伤口并发症的机会。可延长假体无法解决儿童人工假体易松动的难题。长期随访显示假体相关的并发症如假体松动或机械故障的发生率为每人1.1次,而肢体伤口并发症如感染、皮肤坏死等的发生率可达每人2.8次。可延长假体的进展很快,早期的假体延长时需要住院手术切开进行,新近的可延长假体则通过磁力控制假体的延长,患者不需要再次切开手术,极大地减少了患者的痛苦。然而这种假体的价格高昂,影响了它的广泛推广应用。目前还没有合适的可延长假体在中国内地销售。
对于儿童患者进行人工关节重建时,另一个需要考虑的问题是随着患儿年龄的增加,其髓腔直径和长度也将增加,这种骨骼的移位变化也容易导致假体出现松动。
在本例中,患儿年龄为8岁,仍有较大的生长潜力,如行标准的胫骨近端人关节重建,股骨侧假体髓针将损伤股骨远端的骺板,加剧其肢体长度的差异。我们选用了临时人工假体替代胫骨切除的缺损。短期内假体提供了良好的稳定性。单侧膝关节的重建也避免股骨侧假体对于股骨远端骺板的损伤,保存了其生长潜力,有助于减少肢体长度的差异。同时使用这种临时假体也利于将来进行的关节翻修。
(3)诊断要点
:根据骨肿瘤诊断的临床、影像、病理三结合的原则,诊断不难确定。患者为青少年男性,病程1个月。以小腿近端疼痛起病,影像学检查为胫骨近端干骺端的成骨性病变,伴有骨膜反应和软组织包块,病变范围长,并穿透骺板至骺端,这些表现均支持一个好发于长骨干骺端的恶性肿瘤的诊断,与典型骨肉瘤的表现相符,结合活检病理支持骨肉瘤,诊断明确。

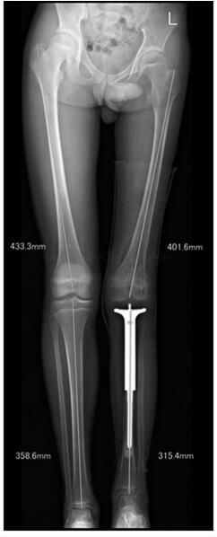
图47‐7 术后5年双下肢全长片示左胫骨较右胫骨短缩4﹒4cm,左股骨较 右股骨短缩约3.1cm

图47‐8 术后5年X 线左胫骨上段

图47‐9 术后5年X 线左胫骨上段侧位
(4)治疗原则
:典型骨肉瘤为高度恶性肿瘤,结合其影像学表现:存在骨外软组织包块,未见远处转移灶。Enneking分期为Ⅱb。治疗过程为术前新辅助化疗,外科手术,边界应至少达广泛性切除,术后继续进行化疗。对于骨肉瘤,应分析肿瘤与主要神经血管的关系。对于儿童患者,应评估其生长潜力,分析手术对其肢体长度造成的影响,综合各种因素选择适合患儿的切除重建方式。
(5)随诊结果
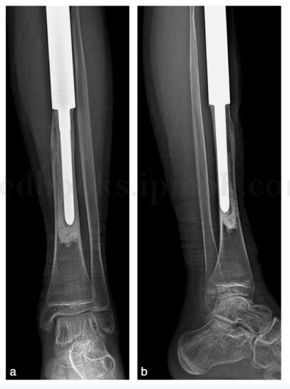
:患者术后未见明显并发症。目前患者术后5年,未发现局部复发及远隔转移。患者跛行步态。左膝关节主动活动度(伸直至屈曲):0~90°。下肢长度测量显示左胫骨较右胫骨短缩4.4cm,左股骨较右股骨短缩约3.1cm(图47‐7)。X 线显示假体未见明显松动,膝关节无脱位(图47‐8~图47‐10)。患者站立时由骨盆及脊柱倾斜来调整肢体长度(图47‐11)。

图47‐10 术后5年X 线显示假体未见明显松动,膝关节位置无脱位a﹒正位片;b﹒侧位片

图47‐11 站立位体位像患者站立时由骨盆及脊柱倾斜来调整肢体长度
(6)经验教训
:胫骨近端切除后人工关节的重建难点在于髌腱的重建,在缝合固定髌腱后,经使用石膏或者支具固定膝关节于伸直位至少6周。
对于这种半关节置换,由于股骨和胫骨近端关节之间没有固定的机械连接,必须长期制动以维持其稳定性。
临时假体的设计目的是短期内维持关节的功能,远期必将再次手术取出临时假体并更换永久性假体。在此之前患儿应控制体重,减少剧烈活动,以延长临时假体的寿命。
肌肉萎缩也可影响骨骺的生长速度。在本例中,左侧股骨长度较右侧股骨短约 3﹒1cm,考虑与此有关。如能进行更好的康复锻炼将有助于减小股骨长度的差异。这需要寻找适度的锻炼和膝关节稳定之间的平衡点。
(张清 徐立辉)
参考文献
1.Michael A.Simon,Dempsey Springfield.Surgery for bone and soft‐tissue tumors.Philadelphia‐New York:Lip pincot Raven,1998
2.Enneking WF.Musculoskeletal tumor surgery.New York:Churchil Livingstone,1983
3.Hartford CM,etc.Osteosarcoma among children aged 5 years or younger.The St.Jude children’s research hos pital experience.J Pediatr Hematol Oncol,2006,28:43‐47
4.Kumta SM.Scope and limitations of limb‐sparing surgery in childhood.Sarcomas,2002,22:244‐248
来源:《骨肿瘤》
作者:牛晓辉 郝 林
参编:廉永云 贾健 赵承斌 张清 郝林
页码:268-271
出版:人民卫生出版社
- 评价此内容
- 我要打分
近期推荐
热门关键词
最新会议
- 2013循证医学和实效研究方法学研讨会
- 欧洲心脏病学会年会
- 世界帕金森病和相关疾病2013年会议
- 英国介入放射学学会2013年第25届年会
- 美国血液学会2013年年会
- 美国癫痫学会2013年第67届年会
- 肥胖学会 2013年年会
- 2013年第9届欧洲抗体会议
- 国际精神病学协会 2013年会议
- 妇科肿瘤2013年第18届大会
- 国际创伤压力研究学会2013年第29届…
- 2013年第4届亚太地区骨质疏松症会议
- 皮肤病协会国际2013年会议
- 世界糖尿病2013年大会
- 2013年国际成瘾性药年会
- 彭晓霞---诊断试验的Meta分析
- 武姗姗---累积Meta分析和TSA分析
- 孙凤---Network Meta分析
- 杨智荣---Cochrane综述实战经验分享
- 杨祖耀---疾病频率资料的Meta分析
合作伙伴
Copyright g-medon.com All Rights Reserved 环球医学资讯 未经授权请勿转载!
网络实名:环球医学:京ICP备08004413号-2
关于我们|
我们的服务|版权及责任声明|联系我们
互联网药品信息服务资格证书(京)-经营性-2017-0027
互联网医疗保健信息服务复核同意书 京卫计网审[2015]第0344号




会员登录

