几率很低的骨巨细胞瘤恶变
骨巨细胞瘤是较常见的良性骨肿瘤,通常不难得出诊断,但复发可能性较大。面对发生几率很低的骨巨细胞瘤恶变,治疗方法主要是什么?重建方法通常采用什么?行预防性内固定,能否仍考虑行骨水泥填充?
(1)病例介绍
:患者,男,16岁,2008年6月无明显诱因出现左膝酸痛不适,有夜间痛,不伴肿胀,之后间断出现,渐加重。11月当地医院行X 线(图16‐1)及CT(图16‐2)检查,诊为“脓肿”,予行切开活检,病理示骨巨细胞瘤Ⅰ级,即于2008年12月2日行“病灶清除,自体腓骨、异体骨植骨术”,术后X 线如图16‐3 所示,术后病理示骨巨细胞瘤,之后患者症状好转,正常行走,定期复查X 线,术后11个月复查X 线时发现局部肿瘤复发(图16‐4),于2009年12月14日当地再次行“刮除植骨内固定术”,术后X 线如图16‐5 所示,术后病理示侵袭性软骨母细胞瘤伴细胞生长活跃,来我院就诊,病理会诊(图16‐6)考虑:首次手术后病理为骨巨细胞瘤,二次术后病理为骨巨细胞瘤恶变。
入院查体:患者步态正常,左大腿远端外侧可见手术瘢痕,愈合良好,局部皮肤颜色正常,皮温不高,无压痛,未及包块,左膝关节屈曲90°,伸直0°,左足血运、感觉、活动好。
图16‐1 术前左膝X 线片 a﹒正位,可见左股骨远端干骺端外侧偏心溶骨性破坏,边界清楚,有膨胀性改变;b﹒侧位,病变侵及骨端,以后侧为著,皮质变薄
图16‐2 CT 示左股骨远端病灶为等密度,基质均匀,边界清楚,皮质部分破坏,有软组织包块
图16‐3 术后X 线片 a﹒正位,可见左股骨远端皮质开窗范围较病灶长度小,内可见所填充异体骨颗粒及自体腓骨影;b﹒侧位

图16‐4 术后11个月X 线片 a﹒正位,可见异体骨已完全吸收,局部透亮区,自体腓骨与股骨皮质相愈合;b﹒侧位,可见前侧溶骨性改变,皮质有破坏

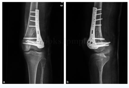
图16‐5 二次术后X 线片a﹒正位,可见填充物及内固定物影;b﹒侧位
登记号:
北京积水潭医院
院外会诊病理图文报告
病理号:
姓名:某患 性别:男 年龄:17岁 住院号:
病房号:送检医院:武汉大学中南医院标本收到时间:2010‐01‐06 原病理号:病理诊断
左股骨干骺端:富含破骨细胞样多核巨细胞的肿瘤性病变。可见大片出血、坏死。单核细胞呈梭形、圆形及多边形,核大,染色淡,核仁清晰。未见肿瘤性成骨及软骨,结合临床及影像学,此组织像较符合骨巨细胞瘤,部分巨域细胞生长活跃。
富含破骨细胞样多核巨细胞的肿瘤性病变。多核巨细胞体积小,形态不规则。可见大片坏死。单核细胞呈梭形及不规则形,异型性明显,核大,深染,部分细胞核染色淡,核仁清晰,可见核分裂像及病理核分裂像。可见片状反应性成骨及软骨。结合临床及影像学,考虑:骨巨细胞瘤恶变。
光镜所见:

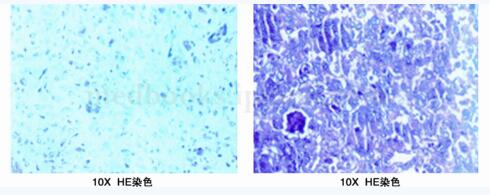
图16‐6 会诊病理:首次术后较符合骨巨细胞瘤,二次术后示恶变
复诊医生:蔡雷 初诊医生:蔡雷 诊断时间:2010‐01‐06
诊断医生签字:

提示:
1﹒此会诊咨询意见主要从有限的组织学角度观察、分析疾病、对患者整体而言,这种观察常是非全面性的,但能给临床经治医生分析病情时提供特定的角度参考性的意见。
2﹒对于病理学疑难,分歧或罕见问题,为避免本病理医生学术观点的局限性,患方与经治医生可以征求更多医院病理医生的意见。
3﹒此病理咨询意见不能用以简单地、绝对地否定其他意见不同的医学诊断(如各医院的各种临床诊断、影像学诊断和病理诊断)。请经治医生综合各方意见,全面分析,再决定取舍。
4﹒前来要求会诊者以口述和/或实物方式提供信息与病历(如:切片、X 光片、姓名、文字叙述等)供本会诊病理医分析,请您警惕;这些信息与病历内容的一些变动可能导致会诊咨询意见的不同。病理医生有时不能甄别这些口述和资料是否全面、客观、诊实。如果临床经治医认为必要,在医嘱/治疗前请进一步甄别。
5﹒有些疾病可能变化危及生命。如良性病变术后可能复发,其中少数会变成恶性:如低恶性肿瘤术后少数退分化为高恶性,有一些群体随访资料的几率,但对现实的个体不能预测确定,到医院复查、随访常利于尽早发现与治疗。
6﹒积水潭医院的经济治疗医生接待外院转来的患者也须注意上述各项提示。
(2)专家分析
:骨巨细胞瘤约占骨原发肿瘤的4%~5%,占骨原发良性肿瘤的20%,好发年龄在20~45岁,但也有10%~15%的病例发生于10~20岁,股骨远端为其好发部位,疼痛为早期常见症状,发展通常较缓慢,若未能及早发现,可能导致病理性骨折。X 线表现为骨端偏心溶骨性破坏,通常基质均匀,边界清楚,有膨胀性改变,皮质变薄或有破坏,可形成软组织包块。CT 通常表现为等密度影,显示病变范围、皮质破坏情况及软组织包块更加清晰,增强后通常有两倍以上不均匀强化。病理上典型的形态表现为圆形、卵圆形外形或者是大小不一的伸长的单核细胞伴有大量的巨细胞样的破骨细胞,有丝分裂表现比较稳定。
骨巨细胞瘤是较常见的良性骨肿瘤,通过临床、影像、病理相结合,通常不难得出诊断,但此肿瘤生物学行为较活跃,具有较强侵袭性,复发可能性较大,手术治疗需注意达到良好外科边界,以尽可能减小复发几率。通常采用刮除方式去除肿瘤,但根据发病部位不同,术前应预计何处为难以显示及彻底去除肿瘤的部位,从而设计合适的手术入路、皮质开窗范围,避免残留肿瘤。考虑到其高复发率,重建方面可采用骨水泥填充,以利复查时及早发现溶骨性改变,而不致与骨吸收相混淆,若病变范围较大,残余骨强度不足,术后有病理性骨折风险,可考虑Ⅰ期行预防性内固定。
骨巨细胞瘤恶变发生几率很低,若得到病理证实,治疗方法主要是手术,即按照恶性肿瘤需达到的广泛切除边界切除肿瘤,通常复发后有前次手术因素,病变范围较大且难以确定,更需要术前完善影像学检查,仔细设计手术方案。重建方法通常采用肿瘤型人工关节,术后功能通常不优于刮除术,且因患者预期生存时间较长,有关节松动、再手术的可能。根据病理类型,为预防复发及转移,可考虑配合化疗,但其效果还需进一步验证。
(3)诊断要点
:遵循临床、影像、病理三结合的原则,根据患者年龄、发病部位、X 线典型表现及活检病理,如前所述骨巨细胞瘤的特点,首次诊断骨巨细胞瘤明确,肿瘤复发后X 线有皮质破坏等恶性征象,但确诊恶变需病理学证据。
(4)治疗原则
:以手术治疗为主,根据肿瘤部位、范围选择刮除或瘤段截除的手术方式,总之应以达到良好外科边界,减小复发几率为目的。重建需考虑功能恢复情况及有利于早期发现复发。
(5)经验教训
1)首次手术前应仔细评估肿瘤范围,术中皮质开窗范围应达到肉眼可见全部瘤腔,以避免遗漏。重建方式若采用骨水泥填充,可能更有利于早期发现复发征象。
2)规律的术后复查可以早期发现异常,及时处置,以避免疾病进展,加强对患者宣教非常重要。
3)发现复发后再手术需更加慎重制订手术方案,其难度远远高于初治手术,再复发几率更高,重建方式已考虑到骨强度,行预防性内固定,仍可考虑行骨水泥填充,以利之后随访观察。
(马 珂)
参考文献
1.Turcot e R E,Wunder J S,Isler M H,et al.Giant Cel Tumor of Long Bone:A Canadian Sarcoma Group Study. Clin Orthop,2002,397:248‐258
2.Unni K K.How to Diagnose Malignant Giant Cel Tumor.Lippincot Wil iams &Wilkins,2001,1:33‐37
来源:《骨肿瘤》
作者:牛晓辉 郝 林
参编:廉永云 贾健 赵承斌 张清 郝林
页码:89-92
出版:人民卫生出版社
- 评价此内容
- 我要打分
近期推荐
热门关键词
最新会议
- 2013循证医学和实效研究方法学研讨会
- 欧洲心脏病学会年会
- 世界帕金森病和相关疾病2013年会议
- 英国介入放射学学会2013年第25届年会
- 美国血液学会2013年年会
- 美国癫痫学会2013年第67届年会
- 肥胖学会 2013年年会
- 2013年第9届欧洲抗体会议
- 国际精神病学协会 2013年会议
- 妇科肿瘤2013年第18届大会
- 国际创伤压力研究学会2013年第29届…
- 2013年第4届亚太地区骨质疏松症会议
- 皮肤病协会国际2013年会议
- 世界糖尿病2013年大会
- 2013年国际成瘾性药年会
- 彭晓霞---诊断试验的Meta分析
- 武姗姗---累积Meta分析和TSA分析
- 孙凤---Network Meta分析
- 杨智荣---Cochrane综述实战经验分享
- 杨祖耀---疾病频率资料的Meta分析
合作伙伴
Copyright g-medon.com All Rights Reserved 环球医学资讯 未经授权请勿转载!
网络实名:环球医学:京ICP备08004413号-2
关于我们|
我们的服务|版权及责任声明|联系我们
互联网药品信息服务资格证书(京)-经营性-2017-0027
互联网医疗保健信息服务复核同意书 京卫计网审[2015]第0344号




会员登录

