右腿无法伸直加关节周围肿胀疼痛 可能是得了肿瘤的缘故
14岁男性,右膝伸直受限2个月余,伴关节周围肿胀,疼痛。相继做了DR、CT和MR,病理检查显示,瘤细胞密集,多角形,弥漫分布,核膜厚、界清,内有多核巨细胞,瘤细胞间有软骨样基质和格子钙化。该患者最终被诊断为……
【病例介绍】
患者男,14岁,右膝伸直受限2个月余,伴关节周围肿胀,疼痛。病来无发热,无盗汗,饮食睡眠二便正常(图1~3)。

图1 DR:右股骨远端可见类圆形低密度影,边界清晰,可见硬化缘,软组织未见肿胀

图2 CT:右侧股骨内侧髁骨骺内见囊状密度减低区,大小约21mm×20mm,边界清晰,部分边缘可见硬化缘,CT值约为58HU,病灶内部可见少许点状钙化影。膝关节囊内可见积液影,周围软组织未见明显肿胀

图3 MR:右肱骨远端骨骺内类圆形病灶(25mm×19mm),边界清晰,内部信号不均匀、以低信号为主。邻近髓腔内及软组织内可见水肿信号。关节囊内积液
查体:右膝关节内侧轻度肿胀,无明显畸形,右膝关节处触痛(-),右膝关节因疼痛活动受限,右下肢血运良好。右侧股四头肌萎缩,膝关节内侧压痛(+),浮髌试验(-),抽屉试验(-),麦氏试验(-)。
实验室检查:ESR 9mm/h,结核抗体(-)。
【诊断】
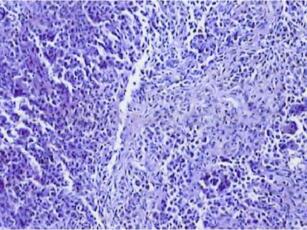
成软骨细胞瘤(图4)

图4 病理:瘤细胞密集,多角形,弥漫分布,核膜厚、界清,内有多核巨细胞,瘤细胞间有软骨样基质和格子钙化
一、概述
成软骨细胞瘤又称软骨母细胞瘤,其起因有多种学说,多数学者认为源自骺板或残余骺板的软骨系统,是一种少见的良性肿瘤,具有潜在的恶变的可能。1993年WHO将本瘤分为软骨母细胞瘤和恶性软骨母细胞瘤两类。本病常见于10~25岁青年人,凡有骨骺的部位都可发病,约半数起源于骺板,向两侧尤其是向骨骺侧发展。常发于四肢长骨的骨骺、骨突,最常受累部位为胫骨、股骨骨端,也可发生于颅底、胸椎、肩胛骨、肋骨、掌骨、下颌骨及距骨等。发病缓慢,起病至就诊时间由数月至数年不等。主要症状为疼痛及跛行。
二、影像学表现
(一)四肢管状骨成软骨细胞瘤
1.X线平片
病变常局限于骨骺或骨骺线闭合后的骨端,病灶较大时亦可跨越骺板向干骺端扩展;多为圆形或椭圆形囊性溶骨性破坏,可为中心性或偏心性生长,邻近皮质可膨胀变薄。病变与正常骨分界清楚,多可见硬化缘,病灶内可见广泛的斑点状或环状钙化。恶性软骨母细胞瘤表现为向骨骺和骨干发展的大片骨缺损,无硬化缘,病灶内不规则形边缘模糊的钙化,周边出现骨膜增生及软组织肿块。
2.CT
骨骺部囊性膨胀性骨破坏,呈单房或有骨小梁间隔,并可见点状、砂粒状钙化;多有完整或不完整的薄层高密度硬化边,少数有与薄层高密度硬化边相连的索条状骨嵴伸向肿瘤组织内;病灶周围骨松质可出现反应性骨硬化;当邻近关节面下可突破骨端进入关节,引起关节积液;CT三维重建对病变部位,内部结构显示更加清楚。
3.MRI
肿瘤组织T1WI以低信号为主,T2WI呈稍高信号。肿瘤内钙化于T1及T2均呈低信号。破坏区边缘的硬化呈低信号。矢状位可显示病变起源于骺板,向上侵及骨骺,向下侵及干骺端。如肿瘤恶变病灶周围可见明显软组织肿块影,呈长T1长T2信号。
(二)不规则骨成软骨细胞瘤
成软骨细胞瘤常见发病部位是长管状骨的骨骺和骨突部,也可发生于任何有继发性骨化中心的部位,如手腕骨、足跗骨、颞骨、颌骨、肩胛骨等不规则骨,不规则骨中,足部跗骨最易受累。
1.X线平片
不规则骨成软骨细胞瘤均有不同程度膨胀性,与病灶位置有关,不规则骨髓腔体积较大,皮质较薄,肿瘤有很大的生长空间。X线平片上病变常表现为膨胀性病变,部分可见分房,这与长管状骨病变有所不同,术前影像学上易诊断为骨巨细胞瘤,实际上手、足部位骨巨细胞瘤发生率很低。对于足部溶骨性、膨胀性病变,成软骨细胞瘤的发病率远远高于骨巨细胞瘤。
2.CT
肿瘤实体部分多表现为低密度,病灶内部可见点状、环状钙化,是软骨类肿瘤的特征。在X线平片上由于受结构重叠和分辨率低的限制,很难显示病灶内部细微钙化灶及髓腔内钙化的软骨基质,而在CT骨窗上则可清晰显示,但有时难以与肿瘤侵蚀破坏所致的残留骨相鉴别,增加了定性的难度。
3.MRI
MRI可以很好地显示肿瘤不同的组织成分,不规则骨成软骨细胞瘤在MRI上的信号与长管状骨病变信号相似,在T1WI上多表现为低到中等强度信号,T2WI上肿瘤为低到高信号,病灶的液性成分在T2WI上表现为高亮信号。Cohen等认为,T2上的低信号是大量的成软骨细胞积聚所致。Jee等则认为,T2上的低信号代表大量不成熟的软骨基质、含铁血黄素沉积和钙化。增强后,在T1脂肪抑脂序列上,不成熟的软骨基质和钙化表现为低信号,病灶内部间隔呈显著环形强化,对诊断软骨类肿瘤的特异性较高。
三、鉴别诊断
成软骨细胞瘤常见于股骨及胫骨,其次为肱骨及坐耻骨,症状较轻微,多位于长骨骨骺或同时累及干骺端,呈囊性稍膨胀性溶骨破坏,破坏区与正常骨分界清楚有薄硬化缘,其内可见点环状钙化。应与下列病变鉴别:
1.骨巨细胞瘤
骨巨细胞瘤好发年龄较软骨母细胞瘤晚,好发于骨骺线闭合后骨端。①二者发病部位相似,但骨巨细胞瘤病灶一般较软骨母细胞瘤为大,骨皮质膨胀显著,局部骨质破坏,呈囊状扩张,横径多大于或等于纵径;②肿瘤与正常骨分界清楚,而无硬化缘;③皂泡状阴影:未完全破坏的残存骨间隔和皮质交错而成,形成纤细骨性间隔,而无钙化斑;④位于扁骨、异形质骨者有溶骨、扩张表现,仔细寻觅可发现残存骨壳或皂泡状、单房状骨结构;⑤皮质改变:皮质内层模糊、毛糙为恶性巨细胞瘤表现,多为筛孔状,伴软组织肿块,表现为侵蚀性恶性生长。
2.动脉瘤样骨囊肿
好发于干骺端,但可侵及骨骺,多在骺板融合后发病。界限不清,扩展明显,无钙化斑,透亮度较软骨母细胞瘤高。典型MRI表现为多囊样液-液平面。有些软骨母细胞瘤血管丰富,组织学上与动脉瘤样骨囊肿相似,应结合X线表现加以鉴别。
3.软骨黏液纤维瘤
软骨黏液纤维瘤发生于干骺端且距骨骺板2cm以外,而极少发生在骨骺,呈偏心性向外膨胀性生长,表面可见粗厚骨壳,破坏区内见粗厚不等骨嵴,少有钙化。
4.内生软骨瘤
多见短管骨,90%发生在手,长骨少见。源于骺板,向干骺端及骨干方向发展。位于掌指骨时表现为圆形、椭圆形膨胀透光区,无骨膜反应。瘤区呈云雾状或毛玻璃状改变,斑片状钙化或骨化较具特征性。CT见软组织密度内夹杂斑片状钙化,MRI在T1WI为低信号,T2WI为高信号为主的混杂信号。位于骨骺者周围有薄层硬化缘,类似软骨母细胞瘤,但前者在骨骺发病率为后者的10倍以上。
5.非骨化性纤维瘤
很少侵犯骨骺。表现为位于长骨干骺端的偏心性骨质缺损区,其中可见不规则的骨性间隔,髓腔侧可有薄厚不均的硬化缘,皮质侧可向外膨胀变薄,无骨膜反应。
6.骨囊肿
多见于长骨,一半病例发生在骺线闭合前,病灶随年龄增长自近骺线处向骨干方向位移,称活动期。一半病灶见于骺板已闭合的成人,骨已停止生长,病灶已定位不再移动称静止期。病灶沿骨长轴方向发展,居髓腔中央,尖端指向远心端,颇具特征性。
7.骨骺、干骺端结核
多有结核接触史及低热盗汗病史,病程较长;病灶多较小,与正常骨分界清楚无硬化环,多见泥沙样死骨。同时伴有周围骨质疏松及梭形软组织肿胀影。
8.股骨头骨骺缺血坏死
发生于股骨头骨骺的软骨母细胞瘤与缺血坏死相似,应仔细鉴别。软骨母细胞瘤为位于股骨头骨骺的偏心性病变,呈圆形或椭圆形,具有完整的边缘,常向干骺部伸延,也常扩展至关节软骨板下方,但不破坏关节边缘。约半数病例因软骨钙化而出现斑点状或环状钙化。但股骨头缺血坏死并不能显示出完整的圆形或椭圆形破坏区的边缘,病变不向干骺部伸延,股骨头骨骺可碎裂变形及密度增高。
9.软骨肉瘤
发生于扁骨的软骨母细胞瘤易被误认为软骨肉瘤,但后者发病年龄较晚,很少累及骨骺,病灶边缘不清,肿瘤内钙化十分明显且有较大软组织肿块可做鉴别。
(环球医学编辑:余霞霞)
来源:《疑难病例影像诊断评述》
作者:郭启勇 卢再鸣
页码:81-84
出版:人民卫生出版社
- 评价此内容
- 我要打分
近期推荐
热门关键词
最新会议
- 2013循证医学和实效研究方法学研讨会
- 欧洲心脏病学会年会
- 世界帕金森病和相关疾病2013年会议
- 英国介入放射学学会2013年第25届年会
- 美国血液学会2013年年会
- 美国癫痫学会2013年第67届年会
- 肥胖学会 2013年年会
- 2013年第9届欧洲抗体会议
- 国际精神病学协会 2013年会议
- 妇科肿瘤2013年第18届大会
- 国际创伤压力研究学会2013年第29届…
- 2013年第4届亚太地区骨质疏松症会议
- 皮肤病协会国际2013年会议
- 世界糖尿病2013年大会
- 2013年国际成瘾性药年会
- 彭晓霞---诊断试验的Meta分析
- 武姗姗---累积Meta分析和TSA分析
- 孙凤---Network Meta分析
- 杨智荣---Cochrane综述实战经验分享
- 杨祖耀---疾病频率资料的Meta分析
合作伙伴
Copyright g-medon.com All Rights Reserved 环球医学资讯 未经授权请勿转载!
网络实名:环球医学:京ICP备08004413号-2
关于我们|
我们的服务|版权及责任声明|联系我们
互联网药品信息服务资格证书(京)-经营性-2017-0027
互联网医疗保健信息服务复核同意书 京卫计网审[2015]第0344号




会员登录

