左腿不小心摔伤或左侧膝部突然疼痛都要小心 有可能是肿瘤在捣鬼
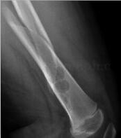
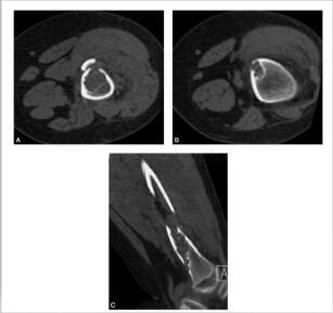
9岁男孩,因上体育课时不慎摔伤左大腿。X线显示,左侧股骨中段断端移位,股骨中下段可见不规则透亮区,边缘可见少许硬化缘;CT显示,股骨下段髓腔内见软组织密度影,CT值约为50HU。病变膨胀性生长,相应髓腔扩大,周围骨质受压变薄有硬化缘,髓腔内见游离碎骨及骨性分隔。病变段股骨周围软组织肿胀。
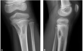
另一名患儿,半个月前无明显诱因走路时左侧膝部疼痛,X线显示,左侧胫骨近侧干骺端可见多发囊状低密度影;CT显示,左胫骨近端髓腔内及皮质内多发囊状骨质密度减低区,左胫骨近端局部骨皮质缺损;MR显示,左胫骨近段见多发长椭圆形短T1短T2信号影,部分信号增高,周围见低信号影环绕。
以上两名患儿最终被诊断为……
【病例1介绍】
患儿9岁,男,因患儿上体育课时不慎摔伤左大腿,活动受限来院救治意外发现。近日无发热,无咳嗽,无恶心呕吐,二便正常(图1~2)。

图1 X线:左侧股骨中段断端移位,股骨中下段可见不规则透亮区,边缘可见少许硬化缘

图2 CT:股骨下段髓腔内见软组织密度影,CT值约为50HU。病变膨胀性生长,相应髓腔扩大,周围骨质受压变薄有硬化缘,髓腔内见游离碎骨及骨性分隔。病变段股骨周围软组织肿胀
【病例2介绍】
半个月前无明显诱因患儿自述走路时左侧膝部疼痛,左膝关节活动无明显影响。病来无发热、无盗汗。查体:患儿左胫骨近端无明显肿胀,无红肿,表面无破溃,无静脉怒张,局部无压痛,膝关节伸屈活动不受限(图3~5)。

图3 X线:左侧胫骨近侧干骺端可见多发囊状低密度影,周围可见硬化缘,邻近骨皮质略膨胀,周围软组织未见肿胀

图4 CT:左胫骨近端髓腔内及皮质内多发囊状骨质密度减低区,边缘见硬化缘,部分囊变区内见小结节状高密度影,左胫骨近端局部骨皮质缺损

图5 MR:左胫骨近段见多发长椭圆形短T1短T2信号影,部分信号增高,周围见低信号影环绕
【诊断】
非骨化性纤维瘤(图6~7)

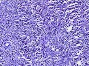
图6病理:瘤细胞梭形,束状编织状排列,可见泡沫细胞及炎细胞,另见片状骨髓出血及少许钙化区

图7病理:瘤体为灰黄色或黄褐色组织,镜下见丰富的纤维细胞,呈旋涡状或编织状排列,细胞之间有数目不等的胶原纤维,有多核巨细胞及泡沫细胞掺杂其间,瘤体内无成骨成分
一、概述
非骨化性纤维瘤是一种起源于成熟的骨结缔组织的良性肿瘤。男稍多于女,发病年龄以8~20岁青少年居多。多见于长管骨距骺板3~4cm的干骺端,并随年龄增长而移向骨干。发病率依次为胫骨、股骨、腓骨、脊椎、颅骨等。本病发病缓慢,症状轻,可有局部酸痛和肿胀。
病理所见肿瘤在骨内被一硬化的骨壳所包围,肿瘤本身由坚硬而致密的纤维组织所构成,组织学特征为旋涡状或轮辐状排列的纤维组织,有不同数量的胶原纤维合成纤维细胞以及吞噬脂质和含铁血黄素的组织细胞(即泡沫细胞),在病灶里看不到骨组织的形成是本病特点。
二、影像学表现
(一)X线平片
病变常位于骨干皮质一侧,距骺板约3~4cm的干骺端处。因为青少年长骨干骺端为骨质生长发育极为活跃部位,特别是距骺板3~4cm处为成骨区,大量已骨化或待骨化的成熟骨样组织,在致瘤因子的作用下易形成病灶。表现为单房或多房状的圆形、卵圆形、串珠状、泡沫状或分叶状的囊性透亮区,其中可见不规则的骨性间隔或髓腔侧可有薄厚不均的硬化缘,皮质侧可向外膨胀变薄,变薄的骨皮质可部分中断,无骨膜增生及软组织肿块影。病灶长轴多平行于骨干,由干骺端向骨干发展,一般长约4~7cm,最长可达20cm,或侵及长骨的2/3。若发生于细长管状骨,则可占据整个骨宽度,亦呈膨胀性生长,使双侧骨皮质变薄,其内可呈多囊状结构,如石榴皮样。病变可逐渐增长,但增长速度比较缓慢。
少数病例位于髓腔内,多位于细长管状骨和不规则骨。在细长管状骨内表现为髓腔内的囊性破坏,可为单囊,也可为多囊状如石榴子样,内有粗细不等骨嵴,横向生长者可致局部侧弯畸形;在不规则骨内则表现为明显膨胀性骨破坏,体积较大,内有或无粗细不等骨嵴,有完整骨性包壳。
(二)CT
病灶内密度低于肌肉组织,高于液体,增强扫描无强化。而横断面CT图像观察,前缘、外缘皮质虽然菲薄,但连续并无皮质缺损与肿块突破。CT具有更高的分辨率,特别是3DCT能从各个方位展示其解剖结构,因此在解剖结构复杂的部位能解决X线片中影像重叠,显示不清,遗漏小病变等问题,能更加清楚显示病灶在骨内的位置,病灶内密度改变,骨壳是否完整,硬化缘的表现及骨皮质的改变,周围软组织显示更清晰,对判定有无恶变及与其他病变鉴别有重要意义。
(三)MRI
MRI检查多数病灶在T1WI及T2WI上均呈低信号,反映了内部成熟的纤维组织,如细胞成分明显多于胶原纤维,则可在T2WI上表现为高信号。增强扫描可出现均匀、不均匀、边缘及分隔强化。
三、鉴别诊断
非骨化性纤维瘤为一种良性结缔组织性肿瘤,多见于青少年,好发于膝关节附近,X线表现为多位于长骨干骺端的一侧皮质内或皮质下,呈单房或多房的透光区,其中可见不规则的骨性间隔,髓腔侧可有薄厚不均的硬化缘,皮质侧可向外膨胀变薄,无骨膜反应。应与下列病变鉴别:
1.纤维性骨皮质缺损
由于本病与纤维性骨皮质缺损有相同的组织学表现和发病部位,多数学者认为二者之间有一定联系,可能为临床X线表现不同的同一种病变,一般将小而无症状并仅限于骨皮质的病变称为纤维性骨皮质缺损。为局限性骨皮质骨化障碍,见于生长期儿童的长骨干骺端,有家族倾向,呈碟状、囊状或斑片状骨皮质凹陷或缺损,病变常多发对称,无膨胀骨壳,多于2~4年内消失,如不消失,继续向髓腔内扩展即可发展为非骨化性纤维瘤。
2.骨囊肿
多发生在长管骨中央,常呈梭形对称性膨胀性生长,极少表现为偏心性,周边无骨硬化边缘,病灶内透亮度较其他溶骨破坏病灶的透亮度均高。易发生病理性骨折。CT及MRI显示病灶内液性密度或信号。
3.骨纤维异常增殖症
单骨型囊性骨纤维异常增殖症有时需与本病鉴别,但前者范围较广泛且病灶较大,起于干骺端者多同时累及骨干,骨干可增粗,为单囊或多囊状毛玻璃样骨破坏区,外缘较光滑、内缘毛糙,其中可见毛玻璃状结构、不规则的骨小梁或钙化,边缘无明显的骨硬化。显微镜下可见纤维组织及化生骨。
4.骨巨细胞瘤
多在20岁以上发病,病变多位于四肢长骨骨端,多高度膨胀,偏心性横向生长,骨破坏病灶与正常骨分界清楚无硬化缘,破坏区内典型者呈皂泡状,生长迅速者呈一致性溶骨破坏。临床上有不同程度疼痛、肿胀。CT显示病灶呈多房状,可有较小软组织肿块。显微镜下可见基质细胞及多核巨细胞。
5.动脉瘤样骨囊肿
囊腔较大,膨胀明显,晚期病灶内有粗大纵行骨嵴。CT及MRI检查,病灶内常见大小不等的液-液平面。
6.软骨黏液纤维瘤
肿瘤多起自髓腔,偏心膨胀性骨破坏,囊腔较大,囊壁粗厚,且硬化明显。其中常见粗细不等的骨间隔及较明显的膨胀性生长可与非骨化性纤维瘤鉴别。
7.骨样骨瘤
病变局部明显疼痛,以夜间疼痛为重,且限局性压痛,应用水杨酸类药物可缓解疼痛为该病主要临床特征。溶骨破坏形成的瘤巢较小,长径一般不超过2cm,其中有时可发现致密的钙斑,表现为“巢中带蛋”的典型影像;在瘤巢周围有显著的反应性骨质增生硬化。
(环球医学编辑:余霞霞)
来源:《疑难病例影像诊断评述》
作者:郭启勇 卢再鸣
页码:87-92
出版:人民卫生出版社
- 评价此内容
- 我要打分
近期推荐
热门关键词
最新会议
- 2013循证医学和实效研究方法学研讨会
- 欧洲心脏病学会年会
- 世界帕金森病和相关疾病2013年会议
- 英国介入放射学学会2013年第25届年会
- 美国血液学会2013年年会
- 美国癫痫学会2013年第67届年会
- 肥胖学会 2013年年会
- 2013年第9届欧洲抗体会议
- 国际精神病学协会 2013年会议
- 妇科肿瘤2013年第18届大会
- 国际创伤压力研究学会2013年第29届…
- 2013年第4届亚太地区骨质疏松症会议
- 皮肤病协会国际2013年会议
- 世界糖尿病2013年大会
- 2013年国际成瘾性药年会
- 彭晓霞---诊断试验的Meta分析
- 武姗姗---累积Meta分析和TSA分析
- 孙凤---Network Meta分析
- 杨智荣---Cochrane综述实战经验分享
- 杨祖耀---疾病频率资料的Meta分析
合作伙伴
Copyright g-medon.com All Rights Reserved 环球医学资讯 未经授权请勿转载!
网络实名:环球医学:京ICP备08004413号-2
关于我们|
我们的服务|版权及责任声明|联系我们
互联网药品信息服务资格证书(京)-经营性-2017-0027
互联网医疗保健信息服务复核同意书 京卫计网审[2015]第0344号




会员登录

