脚后跟三番两次出现肿物 有可能是脂质代谢障碍
44岁女性,约20年前发现跟腱部位逐渐增粗,出现突出体表肿物并逐渐增大,15年前于当地医院行手术切除,术后切口处再次出现类似肿物。现双侧跟腱增粗,跟腱后方可触及肿物。实验室检查血清甘油三酯升高。该患者最终被诊断为……
【病例介绍】
女,44岁,患者20年余年前发现跟腱部位逐渐增粗,出现突出体表肿物并逐渐增大,15年前于当地医院行手术切除,术后切口处再次出现类似肿物。现双侧跟腱增粗,跟腱后方可触及肿物,质软,无压痛,与周围界限不清。双踝及足活动良,感觉目前未见明显异常,末梢血运良好。实验室检查血清甘油三酯升高。
术中所见:肿物源于跟腱,侵袭皮下,约4cm×5cm大小,质软,淡黄色,包膜不完整,与周围界限欠清;跟腱内肿物侵袭,跟腱明显增粗,呈均匀一致黄白相间(图1)。


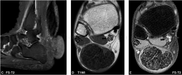
图1 MR:跟腱呈梭形增粗,各序列均以低信号为主,其间夹杂网格状稍高信号。跟腱后下方可见一不规则等低信号结节影,与肌肉信号接近,病灶自右下方包绕跟腱,并向外侧皮下突出
【诊断】
黄色瘤(图2)

图2病理:大体:组织8cm×3cm×0.6cm,切面黄色,质韧。镜下:肿物由纤维组织及泡沫细胞构成,纤维组织致密,透明变性,黏液变性,局灶见软骨化生,部分泡沫细胞崩解,见胆固醇结晶。诊断:符合右侧跟腱黄色瘤样病变
一、概述
黄色瘤是由巨噬细胞吞噬类脂质后局灶性集聚所形成,病变可位于瘢痕周边、肿瘤组织内、肌腱和骨质等部位,是一种脂质代谢障碍性疾病,大多数情况下与高脂血症有关,也可在血脂正常情况下发生,部分患者伴有糖尿病、肾病、多发性骨髓瘤及低蛋白血症等全身性疾病。肌腱黄色瘤临床少见,由胶原纤维增生和含胆固醇酯的巨噬细胞局部沉积形成,好发于跟腱、肘关节及指间关节等关节的伸侧面。跟腱病变常为双侧性和对称性,多累及跟骨的附着处,很少引起跟腱的撕裂及周围的炎症反应。
二、影像学表现
(一)X线平片
跟腱部可见软组织影密度略增高、向外突出,周围相邻骨质结构完整,无侵袭破坏征象。
(二)CT
双侧跟腱部对称性或单侧软组织肿块,多呈梭形向四周膨隆,病灶接近于肌肉密度,与正常肌腱无法区分,有时可见皮下结节,与周围正常示病灶的形状、与周围结构关系等。
(三)MRI
结构界限多较清楚,皮下脂肪间隙清晰,相邻骨质无受累改变。CT三维重建可进一步显示。
跟腱黄色瘤位于跟腱部位皮下,位置表浅,跟腱普遍增粗,呈梭形,有较为特征性的MR表现,但瘤体本身与跟腱多不能区分,一般情况下病变的信号变化多早于肌腱形态的改变,典型病变在T1WI像上呈跟腱长轴的类似肌肉的较低信号,在T2WI像上也呈较低信号影,其内有斑点状较高信号,在脂肪抑制上则表现的更加显著,病理上低信号为胶原纤维,高信号区域为含脂质的泡沫细胞及炎性反应。
本例于跟腱后下部跟骨附着点后方可见结节状软组织肿块,不完全性包绕肌腱生长,各序列近似于肌肉信号,术中及病理均证实该肿块与肌腱内病变组织成分相同,大体上均呈淡黄色,质软,由纤维组织及泡沫细胞构成,并可见胆固醇结晶。考虑系由于含胆固醇酯的巨噬细胞除在跟腱内灶状聚集外,同时在跟腱周围大量汇聚所致。
三、鉴别诊断
腱黄色瘤好发于跟腱、指间关节和肘关节等关节的伸肌腱处,临床少见,病程多较长,表现为无痛性软组织结节,多与高脂血症有关。主要需与以下跟腱的常见疾病相鉴别:
1.肌腱炎
跟腱的慢性炎症可使其增厚或局部扩大,肌腱炎症的水肿改变在T2WI及脂肪抑制序列上表现为肌腱局部或广泛性信号强度增高,T1WI上受累部肌腱呈低信号。炎症时可伴发腱鞘周围软组织的反应性水肿改变。
2.肌腱撕裂
主要发生于30~50岁男性。直接外力多为利器切割伤,间接外力则多因运动过度所致,其他因素还包括一些系统性全身性疾病,例如类风湿性关节炎、红斑狼疮以及长期使用皮质类固醇激素治疗等。跟腱撕裂常见跟骨附着点上方2~6cm处,此处血运较差。可分为完全性或部分性撕裂,完全撕裂时可见跟腱连续性中断,部分撕裂时可见跟腱变薄,在撕裂的部位常伴水肿或出血,表现为混杂信号,由于肌腱部分撕裂常发生于慢性退行性炎症的基础上,因此常伴跟腱炎的MR表现。
(环球医学编辑:余霞霞)
来源:《疑难病例影像诊断评述》
作者:郭启勇 卢再鸣
页码:92-94
出版:人民卫生出版社
- 评价此内容
- 我要打分
近期推荐
热门关键词
最新会议
- 2013循证医学和实效研究方法学研讨会
- 欧洲心脏病学会年会
- 世界帕金森病和相关疾病2013年会议
- 英国介入放射学学会2013年第25届年会
- 美国血液学会2013年年会
- 美国癫痫学会2013年第67届年会
- 肥胖学会 2013年年会
- 2013年第9届欧洲抗体会议
- 国际精神病学协会 2013年会议
- 妇科肿瘤2013年第18届大会
- 国际创伤压力研究学会2013年第29届…
- 2013年第4届亚太地区骨质疏松症会议
- 皮肤病协会国际2013年会议
- 世界糖尿病2013年大会
- 2013年国际成瘾性药年会
- 彭晓霞---诊断试验的Meta分析
- 武姗姗---累积Meta分析和TSA分析
- 孙凤---Network Meta分析
- 杨智荣---Cochrane综述实战经验分享
- 杨祖耀---疾病频率资料的Meta分析
合作伙伴
Copyright g-medon.com All Rights Reserved 环球医学资讯 未经授权请勿转载!
网络实名:环球医学:京ICP备08004413号-2
关于我们|
我们的服务|版权及责任声明|联系我们
互联网药品信息服务资格证书(京)-经营性-2017-0027
互联网医疗保健信息服务复核同意书 京卫计网审[2015]第0344号




会员登录

