青少年双腿突然无力还伴有麻木 医院竟查不出所以然
17岁男性,10余天前无明确诱因出现双下肢无力,伴有麻木,可独立行走,未在意。近1周自觉症状较前加重,需人搀扶行走,曾于当地医院救治,未明确诊断。入笔者医院后,经查体及病理检查,最终发现病因……
【病例介绍】
男,17岁,急性起病,患者10余天前无明确诱因出现双下肢无力,伴有麻木,可独立行走,未在意。近1周自觉症状较前加重,需人搀扶行走,曾于当地医院救治,未明确诊断。病来无发热,无咳嗽,无头痛及恶性呕吐,无肢体抽搐及意识障碍。查体:双上肢肌力Ⅴ级,双下肢肌力Ⅳ级,双下肢肌张力略有增强,剑突下平面痛温觉减退,深感觉粗查正常,双上肢共济运动粗查未见明显异常,BCR(L+R+),PSR(L++R++),ASR(L++R++),腹壁反射消失。巴宾斯基征(L+,R+),颈软(图1、图2)。

图1 CT:胸2椎体及附件骨质破坏,呈菜花状改变,胸2椎体受累,部分碎骨块突入相应椎管内,椎管狭窄

图2 MR:胸2椎体及附件骨质破坏,椎体变扁,呈菜花状改变,相应椎管内呈不规则稍长T1、短T2信号,棘突旁见囊状长T1长T2信号,后方见短T2信号,两者间见液液平面。增强扫描边缘强化
【诊断】
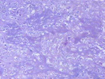
骨母细胞瘤(图3)

图3病理:镜下:骨母细胞大量增生,骨小梁排列较密集,局灶钙化。诊断:骨母细胞瘤
一、概述
骨母细胞瘤又称成骨细胞瘤,以往对骨母细胞瘤多冠以“良性”二字,自1967年Mayer报告1例髋臼良性成骨细胞瘤恶变后,国内外已陆续有较多的病例报道。目前有学者认为成骨细胞瘤起始既可为恶性,亦可由良性肿瘤恶变而来,因其具有侵袭性生长的特征,术后易复发。所以骨母细胞瘤虽组织学表现为良性肿瘤,但有些可出现侵袭性生物学行为,故不能一律称为良性骨母细胞瘤。但综合文献,骨母细胞瘤多是良性的,起源于成骨结缔组织,约占全部骨肿瘤的0.24%。10~20岁最多见,男多于女。发病率依次为脊柱、长管骨、手及足骨,也可见于颅骨、肋骨、肩胛骨和骨盆。本病起病隐匿,肿瘤本身多不引起明显临床症状,大多仅感局部钝痛,但因发生部位不同造成周围结构压迫时却可引发显著的相关症状,例如脊椎病变,可引起神经根或脊髓的压迫症状等。
良性骨母细胞瘤的组织学表现有3大特征:①丰富的骨母细胞;②间质有丰富的血管;③丰富的骨样组织互相连接成条索状,其中有不同程度的钙盐沉积形成排列规则的骨小梁。恶性骨母细胞瘤是介于良性骨母细胞瘤和骨肉瘤之间的一种中间性肿瘤,它可由骨样骨瘤和良性骨母细胞瘤发展而来,也可以一开始即表现为具有侵袭性生长特性。病理方面除具有良性骨母细胞瘤的一般病理特征外,同时出现异型的巨型上皮样骨母细胞或印戒状骨母细胞,可见核分裂象;骨小梁不规则,但无飘带状骨样组织,也无肿瘤性软骨组织;肿瘤组织可呈侵袭性生长,但与被侵犯的周围组织分界清楚,可出现反应性新生骨板及纤维组织增生带;破骨样巨细胞数量相对较少。病变向软组织侵犯,可形成软组织肿块。
二、影像学表现
(一)X线平片
本病好发于脊柱,多位于附件区,有时可累及椎体。发生于长管骨者多位于骨端或干骺端。病变区呈明显的膨胀性溶骨性破坏,与正常骨分界处可见厚薄不一的硬化缘,局部皮质可断裂,破坏区内有不同程度的斑点状或大小不等的致密骨块状高密度影。有时在邻近皮质断裂处可以看到密度较高的软组织肿块影,其内可见三种斑点状钙化灶,在软组织肿块的外围可见边界清楚的薄层钙化壳,此为特征性X线表现。一般无骨膜增生,少数累及骨皮质的病例可见线状及多层状规则的骨膜增生。少数病变呈单囊破坏而无钙化及硬化缘。
(二)CT表现
CT可以更清晰显示病灶内部结构,尤其对于脊柱等解剖关系比较复杂的部位显示更佳。CT平扫可见骨内局限性膨胀性低密度区,骨皮质变薄甚至断裂,病灶周围出现清楚的薄壳状钙化为其特征,肿瘤内可见斑点状或大片状钙化,大小多为1cm以上;有的病例皮质断裂在病灶附近有软组织肿块影。位于脊柱者肿块较大或形成软组织肿块突向椎管,可压迫脊髓引起脊髓变性;位于颅骨者可压迫相邻脑组织。
(三)MR表现
1.病灶内溶骨性膨胀性骨质破坏区表现为T1WI呈稍低或等信号,T2WI呈等、较高或明显高信号,增强扫描呈中等不均匀强化;病变有时可伴有囊变、出血,MR信号不均。
2.肿瘤内的钙化或骨化呈斑点状或团块状低信号,病灶边缘的骨质增生硬化呈弧形或环状低信号,厚薄不一,增强扫描均不强化。
3.病灶周围的骨髓及软组织可出现反应性水肿,无明显边界,T2WI为高信号,增强后无强化;有时在病灶周围可见限局性软组织肿块,T1WI呈较低信号,T2WI呈较高信号,增强后明显强化。
4.侵袭性骨母细胞瘤破坏区边缘模糊,软组织肿块大,向周围组织侵犯,并可引起淋巴结肿大或远处转移。
MR尽管被公认为在骨病变范围显示上是最有价值的,它不能识别肿瘤内的散在点状钙化,对骨皮质破坏的显示不如CT清楚。而成骨性的钙化或围绕病灶的薄壳样骨膜反应则是诊断骨母细胞瘤较为特异性的依据。但MRI对于病灶邻近髓腔内及周围软组织的受累程度显示得比CT清楚,所以CT和MRI均为术前较为重要的辅助性检查手段。
三、鉴别诊断
良性成骨细胞瘤最好发于脊柱、胫骨及股骨,其影像特征为囊状轻度膨胀性骨破坏,肿瘤内常有斑点状或斑块状钙化和骨化,邻近骨皮质常变薄断裂,断裂处可有软组织肿块,肿块边缘出现清楚的薄壳样骨膜反应为本病的特征,应与下列病变鉴别:
1.骨样骨瘤
骨样骨瘤是一种单发的具有疼痛性质的良性骨肿瘤,好发于胫骨、股骨等长管状骨,其次为脊椎、距骨和跟骨等。典型临床症状为夜间疼痛加重,服水杨酸制剂可缓解。影像学表现为直径小于2cm的瘤巢伴周围骨质增生硬化,无软组织肿块影形成。CT薄层扫描可清楚显示瘤巢及周围的硬化,显示内部的絮状、不规则骨化以及膨胀性改变。而骨母细胞瘤好发于脊椎附件,其次为长管状骨,影像学表现病灶呈囊状或球状膨大,内有钙化或骨化,骨反应性增生不明显。两种肿瘤的鉴别主要依据病灶的大小、部位及瘤巢,骨样骨瘤多小于1.5cm,周围骨质增生硬化明显,骨皮质膨胀少见。
2.骨巨细胞瘤
发病年龄以20~40岁多见,男女发病相仿。发病部位为长管状骨的骨端,骨骺线闭合前可发生于干骺部。典型的骨巨细胞瘤在骨端可见偏心膨胀性骨破坏,横向扩张,其内可见皂泡样分隔,与正常骨分界清楚,无硬化缘,其内很少有钙化等均可做鉴别。
3.动脉瘤样骨囊肿
多见于20岁以下的青少年,四肢长骨及脊椎为其好发部位,病变多纵向生长。长骨骨干任何部分均可发病,但以靠近骨骺板者最多,病变常先开始于骨松质或骨髓。长骨的动脉瘤样骨囊肿常呈气球样膨胀,破坏区内含有由细小不完整的骨间隔形成的皂泡状改变,其内无钙化或骨化斑。MRI检查可出现特征性较多的液-液平面及病灶周边出现葡萄状及小憩室状突起为其特点。当骨母细胞瘤合并动脉瘤样骨囊肿两者鉴别困难,一般而言,骨母细胞瘤容易出现瘤内钙化或骨化是其相对特征。
4.成软骨细胞瘤
其典型表现为长管骨骨骺内见囊性膨胀性骨破坏,其内可见较小的斑点状或环状钙化,与正常骨分界清楚可见薄的硬化缘,无软组织肿块。而骨母细胞瘤多发生在干骺端,很少超过骺板累及骨骺。
5.软骨黏液纤维瘤
多见于长管骨的干骺端,呈膨胀性单囊或多囊状骨破坏,溶骨性破坏区透亮度较高,其内可见粗细不等骨嵴,周边可出现较粗硬化缘,很少见钙化或骨化影,可资鉴别。
6.骨肉瘤
侵袭性成骨细胞瘤有时需与骨肉瘤相鉴别,但后者多见于四肢长骨,尤其常见于膝关节周围,且其不规则的肿瘤骨、垂直或放射状骨针影及骨膜三角形成为其特异性表现,可与成骨细胞瘤鉴别。
7.软骨肉瘤
发病年龄较大。其钙化斑较成骨细胞瘤更密集,边缘形态不整且模糊,常呈片絮状,半环状。
8.脊柱转移瘤
多有原发肿瘤病史,多见于中老年患者。MR上转移瘤椎体破坏更明显,椎间盘常保持完整,多个椎体及椎体附件同时受累多见,软组织肿块更明显。
9.脊柱结核
临床常有结核中毒症状,有其他部位如肺部结核病史,结核菌素试验结果阳性等临床表现有助于诊断;影像表现为以椎体破坏为主,常累及相邻两个椎体,椎间盘破坏,多伴有椎旁脓肿。
(环球医学编辑:余霞霞)
来源:《疑难病例影像诊断评述》
作者:郭启勇 卢再鸣
页码:94-97
出版:人民卫生出版社
- 评价此内容
- 我要打分
近期推荐
热门关键词
最新会议
- 2013循证医学和实效研究方法学研讨会
- 欧洲心脏病学会年会
- 世界帕金森病和相关疾病2013年会议
- 英国介入放射学学会2013年第25届年会
- 美国血液学会2013年年会
- 美国癫痫学会2013年第67届年会
- 肥胖学会 2013年年会
- 2013年第9届欧洲抗体会议
- 国际精神病学协会 2013年会议
- 妇科肿瘤2013年第18届大会
- 国际创伤压力研究学会2013年第29届…
- 2013年第4届亚太地区骨质疏松症会议
- 皮肤病协会国际2013年会议
- 世界糖尿病2013年大会
- 2013年国际成瘾性药年会
- 彭晓霞---诊断试验的Meta分析
- 武姗姗---累积Meta分析和TSA分析
- 孙凤---Network Meta分析
- 杨智荣---Cochrane综述实战经验分享
- 杨祖耀---疾病频率资料的Meta分析
合作伙伴
Copyright g-medon.com All Rights Reserved 环球医学资讯 未经授权请勿转载!
网络实名:环球医学:京ICP备08004413号-2
关于我们|
我们的服务|版权及责任声明|联系我们
互联网药品信息服务资格证书(京)-经营性-2017-0027
互联网医疗保健信息服务复核同意书 京卫计网审[2015]第0344号




会员登录

