右肘关节肿胀千万别再忽视了 有可能是恶性肿瘤在敲门
56岁男性,1年前无明显诱因发现右肘部肿物,较小,逐渐增大,右肘关节尺侧肿胀。经影像学检查及病理检查,发现该患者患有……
男,56岁,患者1年前无明显诱因发现右肘部肿物,较小,逐渐增大,右肘关节尺侧肿胀,无皮肤发红发热,可活动,无压痛,尺神经Tinel征阴性。右肘关节活动正常,上肢皮肤感觉正常(图1~3)。

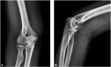
图1 X线:右肱骨下段软组织局限性密度增高,骨质未见明显破坏征象

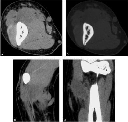
图2 CT:右肱骨下段邻近软组织内见直径约为2.2cm×1.8cm大小的软组织肿块影,边界不清,略低于肌肉密度,CT值约为36HU。邻近骨质未见异常


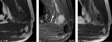
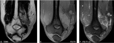
图3
【诊断】
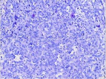
滑膜肉瘤(图4)

图4 病理:镜下:瘤细胞部分圆形,部分梭形,异型明显,间质有黏液,浸润性生长,有较多坏死。免疫组化:CK(+),Vimetin(+),Bcl-2(±),S-100(-),CD34(-),MyoD1(-),SMA(少许+)。诊断:(肘部)滑膜肉瘤
一、概述
滑膜肉瘤是起源于具有向滑膜细胞分化潜能的原始间叶细胞的恶性肿瘤,约占所有恶性间叶组织肿瘤的10%。各年龄段均可发生,15~35岁为发病高峰,男性多于女性,最常发生于四肢尤其是下肢深部,靠近关节,瘤体与关节囊内的滑膜组织无直接关系,病灶在关节外与关节囊粘连并累及肌腱、筋膜及滑膜囊,仅有不到10%的病例在关节腔内,头颈、胸部等少见部位亦可发生。临床症状多表现为无痛或有痛肿块,压痛多较明显。最常转移的部位依次为肺、淋巴结和骨。
肉眼所见为圆形或分叶状,瘤结节位于肌肉内,部分可见假包膜;镜下主要由梭形细胞及上皮细胞构成,依据不同类型细胞所占比例不同分为梭形细胞为主型、上皮细胞为主型及混合型三种。
二、影像学表现
(一)X线及CT
近关节处的软组织肿块,分叶状轮廓,边界较清,其内可见斑点状、斑片状密度增高的钙化或骨化影,钙化或骨化的出现率高于其他软组织恶性肿瘤,病理学上一般认为滑膜肉瘤肿块内钙化多数是在梭形细胞胶原化和透明变性基础上形成的;因此,在关节附近,尤其是下肢大关节附近的软组织肿块内出现钙化要考虑到本病的可能;一般认为滑膜肉瘤出现钙化多提示肿瘤预后相对较好,如在病变进展过程中出现钙化的消失往往提示恶性度增高。
侵袭相邻骨质在滑膜肉瘤中的出现率也相对较高。如出现骨质侵犯,主要有两种表现形式,一种为侵蚀性骨质破坏,表现为筛孔样或虫噬状的小片状骨质密度减低区;另一种为外压性骨吸收,表现为肿块邻近的骨骼局部出现浅弧形压迹,多数轮廓较清楚。CT增强扫描显示病灶不均一显著增强。
(二)MRI
MRI能够直观地显示滑膜肉瘤的病灶形态、范围、与相邻关节、肌腱、滑膜及骨骼的关系。瘤体多表现为不规则,边缘呈分叶状,有时可见较清晰包膜。由于肿瘤常见囊变、出血、坏死以及钙化,因此MR信号不均。肿块内部的信号特点与其病理组织成分密切相关,T1WI上,肿块实体部分与周围肌肉信号相比表现为中等稍高信号,瘤体内的出血灶表现为点片状高信号,坏死或钙化区则表现为更低信号;
相应的T2WI上肿块实体部分表现为较高信号,坏死灶信号更高,钙化区表现为低信号,出血灶则信号不一,有时可见液-液平面;滑膜肉瘤较具特征性的MR表现是T2WI抑脂序列中,肿瘤表现为结节状稍高信号,结节呈大小近似的“卵石”状,其间有粗细不等的条状、网格状低信号间隔;增强扫描显示病灶不均一显著强化,病理证实系肿块内部含有丰富血窦。
三、鉴别诊断
滑膜肉瘤常见于青壮年,位置深在,多在关节旁。CT扫描病灶内可见斑点状密度增高的骨化影,邻近肿块的骨质可见骨破坏或受压改变。MRI上肿瘤信号不均,坏死、出血、钙化较常见,瘤体内可见粗细不等条状低信号间隔。
滑膜肉瘤的影像学表现多无特异性,但一般认为骨旁软组织肿块内有钙化且邻近骨有改变时应考虑滑膜肉瘤的可能,但值得注意的是有些较小的滑膜肉瘤表现为边界清楚,信号相对均匀,邻近骨质呈压迫性骨吸收,极易与良性病变相混淆。本病主要需与下列病变鉴别。
1.腱鞘囊肿
由腱鞘或关节囊结缔组织发生粘连样变性后形成的囊肿,男性多见,常见于青年人,腕关节多见于背侧,指间关节多见于腹侧。X线、CT见软组织密度影但不累及骨质,病灶内部无钙化。MR可见囊状长T1、长T2信号灶。
2.局限良性腱鞘巨细胞瘤
发生在关节和滑囊内,常见于指关节、膝关节、腕关节及踝关节,指间关节多见于腹侧,腕关节多见于背侧,膝关节多见于滑囊内。儿童及青壮年多见,女性多于男性,临床表现为单个或多个结节样肿块,大小不一,略有疼痛。X线、CT见关节周围软组织密度增高影,邻近骨质有囊状破坏或吸收,破坏区边缘可见硬化缘,MRI示病灶呈类圆形或分叶状,多为长T1长T2信号,界限清楚,肿瘤贴附肌腱。
3.色素沉着绒毛结节性滑膜炎
生长缓慢,边界清楚,密度均匀,多呈长T1、短T2信号,增强扫描较均匀强化,较少出现钙化可资鉴别。
4.恶性腱鞘巨细胞瘤
是一种十分少见的恶性肿瘤,多见于腕关节、指间关节及足部,肿瘤沿肌腱生长较具特征性;滑膜肉瘤更多见于大关节,如发生于小关节则鉴别困难。
5.纤维肉瘤
30~50岁为好发年龄,女性多见,可发生在任何部位,好发部位为大腿、躯干及四肢。纤维肉瘤影像学表现缺乏特征性,其鉴别诊断困难。比较而言滑膜肉瘤多发生在大关节附近有较大软组织肿块,骨破坏较常见,绝大多数病灶内可见钙化;而纤维肉瘤有巨大软组织肿块而骨破坏轻微,无钙化。
6.平滑肌肉瘤
多见于中老年,肿瘤多发生于子宫和胃肠道,有时可见于四肢深部组织和腹膜后、腹壁。瘤体部分边缘可有假包膜,瘤体内多有出血、坏死、囊变,平滑肌肉瘤X线、CT多表现为肌肉密度,MRI具有侵袭性恶性软组织肿瘤一般特征,瘤体大部表现为肌肉信号。
7.横纹肌肉瘤
是儿童常见的恶性肉瘤,多行性横纹肌肉瘤老年人多见,横纹肌肉瘤发病部位以四肢多见,表现为无痛性深部肿块,CT多表现为肌肉密度,MRI多表现为近肌肉信号,可资鉴别。
8.恶性纤维组织细胞瘤
多见于50~70岁中老年人,好发于肢体,特别是大腿,部位深在,MRI瘤体内T1WI高信号的出血灶反映瘤体易侵及血管的特性较具特征。
(环球医学编辑:余霞霞)
来源:疑难病例影像诊断评述》
作者:郭启勇 卢再鸣
页码:101-104
出版:人民卫生出版社
- 评价此内容
- 我要打分
近期推荐
热门关键词
最新会议
- 2013循证医学和实效研究方法学研讨会
- 欧洲心脏病学会年会
- 世界帕金森病和相关疾病2013年会议
- 英国介入放射学学会2013年第25届年会
- 美国血液学会2013年年会
- 美国癫痫学会2013年第67届年会
- 肥胖学会 2013年年会
- 2013年第9届欧洲抗体会议
- 国际精神病学协会 2013年会议
- 妇科肿瘤2013年第18届大会
- 国际创伤压力研究学会2013年第29届…
- 2013年第4届亚太地区骨质疏松症会议
- 皮肤病协会国际2013年会议
- 世界糖尿病2013年大会
- 2013年国际成瘾性药年会
- 彭晓霞---诊断试验的Meta分析
- 武姗姗---累积Meta分析和TSA分析
- 孙凤---Network Meta分析
- 杨智荣---Cochrane综述实战经验分享
- 杨祖耀---疾病频率资料的Meta分析
合作伙伴
Copyright g-medon.com All Rights Reserved 环球医学资讯 未经授权请勿转载!
网络实名:环球医学:京ICP备08004413号-2
关于我们|
我们的服务|版权及责任声明|联系我们
互联网药品信息服务资格证书(京)-经营性-2017-0027
互联网医疗保健信息服务复核同意书 京卫计网审[2015]第0344号




会员登录

