警惕!有种左下肢疼痛是恶性肿瘤的信号
5岁女童,左下肢疼痛月余,近日加重,左下肢活动受限。经查体及影像学检查,该女童最终被诊断为……
【病例介绍】
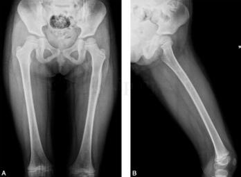
女,5岁,左下肢疼痛月余,近日加重,左下肢活动受限。病来无发热盗汗,无结核接触史。查体:左大腿肿胀,皮温略高,有压痛(图1、图2)。

图1 DR:左股骨上段略膨胀,局部骨皮质略增厚,其内可见小斑点状密度减低区,邻近软组织密度略增高


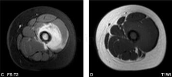
图2 MR:左股骨中上段髓腔内见长T1、长T2信号改变,局部肿胀增粗,左股骨局部外侧缘见层状骨膜反应,周围肌肉组织呈长T1、长T2信号改变
【诊断】
尤因肉瘤
一、概述
尤因肉瘤目前大多数学者认为是起源于骨髓的不成熟网状细胞的一种高度恶性的肿瘤,早期即可广泛转移,预后不良。常见于10~25岁的青少年,发生于5岁以下和30岁以上者非常少见。好发于长骨骨干,少数在干骺端和骨骺。扁骨中多见于髂骨及肋骨等。肿瘤的发生部位与年龄及红骨髓的分布有关,一般青少年以长管骨为主,20岁以上则以扁骨多见。疼痛为其主要症状,初为间歇性隐痛,迅速转为持续性剧痛,随之局部出现肿块、压痛,并伴有皮肤发热、发红等,有时可出现类似于骨髓炎时体温升高、白细胞增多等全身症状。由于大量骨膜新生骨的形成,血清碱性磷酸酶可轻度增高。由于肿瘤早期即可发生广泛转移,累及全身骨骼及内脏,常在短期内死亡。尤因肉瘤对放射线极为敏感,临床上可借助于对放射治疗的敏感性来区别于其他骨疾患,故称之为“治疗性诊断”。
在病理学上该肿瘤是一种恶性的非成骨性原发性骨肿瘤,瘤组织有不同程度神经外胚叶分化。肿瘤质地柔软,在骨内可形成多个灰白色或灰褐色结节,随后融合成大片,质软如鱼肉样,常见出血坏死灶,肿瘤坏死后可形成假囊肿,内充满液化的坏死物质。肿瘤破坏骨皮质后可侵入软组织,在破坏的骨皮质周围形成洋葱皮样骨膜增生,此为X线典型表现的基础。镜下瘤细胞呈圆形或多角形,形态一致,胞浆很少,染色浅,胞膜不清楚。细胞核呈圆形或椭圆形,大小接近,分布均匀,核分裂象多见。瘤组织内细胞丰富、排列成巢状,有时瘤细胞呈环形排列,形成假菊形团状结构。在肿瘤周围可有新骨形成,为反应性新生骨,而不是肿瘤本身成分。
二、影像学表现
(一)X线平片
尤因肉瘤的X线表现多种多样,不同部位肿瘤的X线表现不一,肿瘤发展不同时期的表现亦不同。基本X线改变为溶骨性骨破坏,骨膜增生和软组织肿块。
1.发生于长骨的不同部位
(1)骨干中心型:最为多见,且其X线表现较具特征性。病变区位于骨干中段,常为对称性,早期受累的髓腔中心呈小斑点状或斑片状溶骨性破坏区,呈鼠咬状外观,破坏区边缘模糊,可伴少量骨增生硬化,此时病变轻微,为早期表现。随病程进展,病变区溶骨破坏逐渐增多,破坏区明显扩大,病变周围有层状或葱皮样骨膜增生,增生的骨膜破坏后可形成骨膜三角,靠近肿瘤中心部的骨膜增生处或骨膜三角周围可出现细短的垂直样骨针影,为其特征性表现。由病变早期至出现典型表现仅需1~2个月的时间。典型表现出现后如未能及时治疗,则病变可迅速扩展,沿骨长轴广泛蔓延,并由内向外迅速溶骨破坏。肿瘤早期即可侵入软组织,形成不清晰的肿块或弥漫性肿胀。可伴有病理骨折。
(2)骨干周围型:其特征是骨皮质外缘有不同程度的破坏,常呈碟形或分叶状,骨皮质内缘相对保持完整。肿瘤多向外发展,软组织肿块较大,与骨破坏常不呈比例。亦有成层的骨膜增生或放射状骨针形成。此型比较难诊断,大多需病理证实。
(3)干骺中心型:病变位于干骺端中央,病灶呈斑片状溶骨性破坏,与骨干中心型较为相似,在骨质破坏同时可出现骨硬化。
(4)干骺偏心型:病变位于干骺端边缘,与溶骨性骨肉瘤非常相似,呈溶骨性破坏伴有软组织肿块和骨膜增生。但本病进展更为迅速,骨受累部位可迅速扩大累及整个干骺区,并沿骨长轴扩展累及骨干,形成大片状破坏区,其内少有肿瘤骨形成,肿瘤周围可见骨膜三角及软组织肿块。
2.发生于扁骨及不规则骨发生于扁骨及不规骨的尤因肉瘤缺乏典型X线特征,与骨肉瘤、转移瘤等颇为相似,鉴别困难。总体来说呈溶骨性骨破坏,骨膜反应不及发生于长骨者显著,放射状骨针的出现亦较少,可伴有不同程度的骨质增生和软组织肿块。
3.尤因肉瘤的肿瘤细胞无成骨活性,不形成瘤骨和瘤软骨,因此骨质破坏区和软组织肿块内无瘤骨或钙化存在,但骨内可有反应性的骨质硬化或残留的骨碎片。软组织肿块相对较小,且较局限。往往早期就有骨骼、肺及其他脏器的转移。
4.骨膜反应可表现为多种形态,包括条状、日光放射状或形成骨膜三角。骨膜增生程度与发病部位及年龄均有关。发生于长骨者,在青少年多有明显骨膜增生,而在中年则骨膜增生可有或无,而以骨破坏为主。发生于扁骨及不规则骨者,骨膜增生则多不明显。
(二)CT
CT检查可显示病变早期的骨质破坏和浸润范围。当X线平片上骨质未见明显破坏时,CT即可显示出病灶髓腔内的密度改变,骨髓内由于脂肪为肿瘤组织取代,其密度增高,骨皮质早期出现斑点状低密度灶。病变进展肿瘤突破骨皮质可形成软组织肿块,其内少有瘤骨及瘤软骨形成,肿块密度不均,边界模糊。
(三)MRI
MRI显示病变在髓内浸润范围、瘤内及软组织内出血比平片和CT敏感,但显示钙化、骨化和骨膜反应不及后两者。T1WI示髓腔内边界不清的斑点状低中信号,增生骨膜与骨皮质融为一体,呈低信号区,其内尚见斑点状中等信号区;骨干周围有稍高于肌肉的梭形软组织肿块。T2WI示髓腔内斑点状高中混杂信号,软组织肿块信号更高。合并出血时信号混杂。MR增强可用于区别肿瘤坏死组织和不成熟的骨样肿瘤成分,前者T1WI为低信号,T2WI为明显高信号,增强后不强化;后者在T1WI为低信号,T2WI为稍高信号,增强后有强化。
三、鉴别诊断
尤因肉瘤的影像表现多种多样,不同病变部位、不同阶段表现出不同的影像特征。主要征象包括髓腔骨质破坏,伴有层状骨膜增生及骨膜三角形成,局部可见细短放射状骨针,周围有限局性软组织肿块。但其他恶性骨肿瘤也可具有相似的征象,所以尤因肉瘤的影像学表现缺乏特征性,误诊率较高,主要应与下列病变鉴别;
1.急性化脓性骨髓炎
早期的X线片上受累骨改变多不明显,以后于髓腔松质骨中出现斑点状稀疏骨破坏。二者有时难以鉴别,尤其尤因肉瘤有时可出现体温升高、白细胞增高等类似于急性骨髓炎的临床症状,这就更增加了鉴别诊断的困难。所以详细了解病史并于短期内X线复查是十分重要的。骨髓炎多有明确的急性发作史,病史短,一般以日、周计算;而尤因肉瘤多无明确发病时间,一般以月计算。骨髓炎在骨破坏的同时很快出现骨质增生,多有死骨出现,周围有广泛的软组织肿胀,穿刺检查在骨髓炎的早期即可有血性液体或脓性液体吸出,细菌培阳性;尤因肉瘤无死骨,破坏区周围模糊,可有少量骨增生硬化,多可触及软组织肿块。MRI检查对判断软组织弥漫肿胀或肿块形成具有较大的鉴别诊断意义。
2.溶骨型骨肉瘤
尤因肉瘤发生在干骺端时,很难与溶骨型骨肉瘤鉴别。但溶骨型骨肉瘤临床表现发热较轻微,主要为疼痛,夜间重,肿瘤穿破皮质骨进入软组织形成的较大肿块多偏于骨的一侧,软组织肿块内常有多少不等、大小不一的肿瘤骨形成。且由于瘤细胞高度活跃,血碱性磷酸酶显著增高,可资鉴别。
3.骨嗜酸性肉芽肿
表现为不同程度的膨胀性骨质破坏,并伴层状骨膜反应,其范围常超过骨质破坏的范围,一般骨膜反应较成熟、连续,无骨膜断裂、骨膜三角及放射状骨针。病变周围可伴有范围较广的软组织肿胀,而无限局性软组织肿块形成。
4.骨结核
干骺中心型与干骺偏心型尤因肉瘤有时需与发生于骨骺及干骺端骨结核相鉴别,后者表现为长骨骨骺或干骺端内出现类圆形溶骨破坏,与正常骨分界清楚,无硬化缘,病灶内可见泥沙样死骨,周围软组织呈限局性肿胀,病变周围骨质疏松。发生于骨干的尤因肉瘤有时需与骨干结核相鉴别,后者好发于无或少有肌肉附着的骨干,如前臂和小腿骨。多偏于骨干一侧,骨干内可见单个或多个椭圆形骨破坏,虽可有髓腔膨胀和葱皮样骨膜增生,但症状轻,发展慢,无骨膜三角及放射骨针。骨结核如同时伴有其他部位的结核,有助鉴别。
5.慢性硬化性骨髓炎
多发生于抵抗力强的青少年,好发于长骨骨干。病人无周身症状,只是局部感到疼痛和沉重。主要表现为骨膜增生,皮质增厚,骨干增粗髓腔狭窄或闭塞,呈局限或广泛的骨质硬化,与正常骨质无明显界限,无骨膜三角和软组织肿块。
6.慢性骨脓肿
多见于青少年,临床一般比较轻微,有阵发性疼痛,夜间加重,常伴有邻近关节肿胀及疼痛。多发生在四肢长管状骨干骺区,呈偏心性局限骨破坏,可伴有骨膜增生,但此病多为慢性病程,无软组织肿块形成,尤其骨破坏区周围有较厚的硬化带可资鉴别。
(环球医学编辑:余霞霞)
来源:《疑难病例影像诊断评述》
作者:郭启勇 卢再鸣
页码:120-123
出版:人民卫生出版社
- 评价此内容
- 我要打分
近期推荐
热门关键词
最新会议
- 2013循证医学和实效研究方法学研讨会
- 欧洲心脏病学会年会
- 世界帕金森病和相关疾病2013年会议
- 英国介入放射学学会2013年第25届年会
- 美国血液学会2013年年会
- 美国癫痫学会2013年第67届年会
- 肥胖学会 2013年年会
- 2013年第9届欧洲抗体会议
- 国际精神病学协会 2013年会议
- 妇科肿瘤2013年第18届大会
- 国际创伤压力研究学会2013年第29届…
- 2013年第4届亚太地区骨质疏松症会议
- 皮肤病协会国际2013年会议
- 世界糖尿病2013年大会
- 2013年国际成瘾性药年会
- 彭晓霞---诊断试验的Meta分析
- 武姗姗---累积Meta分析和TSA分析
- 孙凤---Network Meta分析
- 杨智荣---Cochrane综述实战经验分享
- 杨祖耀---疾病频率资料的Meta分析
合作伙伴
Copyright g-medon.com All Rights Reserved 环球医学资讯 未经授权请勿转载!
网络实名:环球医学:京ICP备08004413号-2
关于我们|
我们的服务|版权及责任声明|联系我们
互联网药品信息服务资格证书(京)-经营性-2017-0027
互联网医疗保健信息服务复核同意书 京卫计网审[2015]第0344号




会员登录

