一青年骑车撞伤后骨折 术后引发感染差点被截肢
19岁男性,骑摩托车时撞伤右大腿,遂至当地县骨科医院就诊,被诊断为右侧股骨开放性骨折,行清创、切开复位支架固定术。术后2周时伤口处红肿,经治疗后出院。骨折固定术后2个月时,局部再次红肿、发热、跳痛,再次住院,静输敏感抗生素4周,窦道间断性流脓,间有碎骨片溢出。最后因右大腿窦道流脓量大,转诊笔者医院。该患者被诊断为?该如何进一步治疗?
【病例介绍】
患者,男,19岁。因“撞伤右股骨骨折术后窦道流脓4个月余”于2002年6月4日入院。于2002年1月28日骑摩托车时撞伤右大腿,当时局部肿痛较重,畸形,大腿前侧有一3cm挫裂口,其内可见游离的骨折块,活动受限,遂至当地县骨科医院就诊,拍摄X线片(图1),诊断为右侧股骨开放性骨折,行清创、切开复位支架固定术(图2),术后2周时伤口处红肿,向外流脓;细菌培养为肺炎克雷伯菌生长,给予二次清创、持续冲洗引流,使用抗生素6周后,切口愈合,血常规正常,常规出院。骨折固定术后2个月时,局部再次红肿,发热,跳痛,切口旁出现2个窦道,有脓性物外溢,细菌培养为耐药性金黄葡萄球菌、肺炎克雷伯菌生长,再次住院,静输敏感抗生素4周,窦道间断性流脓,间有碎骨片溢出。现因右大腿窦道流脓量大,故而转诊我院。

图1 伤时X线片

图2 第1次手术X线片
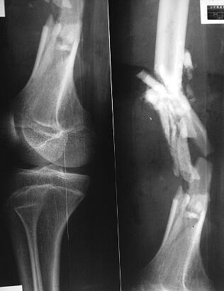
查体:发热39℃。右大腿中段明显红肿,肤温高;前外侧有长约25cm、5cm的2个伤口痕,周围有4个窦道痕,其中2个仍有稀薄脓性液,味腥臭;触诊局部肌肉无弹性,明显骨异常活动;膝关节僵直,髋关节功能明显受限,足部感觉、运动及血循正常。拍摄X线片(图3),示右股骨骨折单边支架固定术后,四枚螺钉无退钉现象;股骨中段呈严重粉碎性骨折,较多的骨折块硬化形成死骨,无明显连续性骨痂生长。血常规示WBC为14×109,ESR为60mm/h。入院诊断为右股骨骨折术后感染性骨不连、膝关节僵直。

图3 伤后4个月X线片
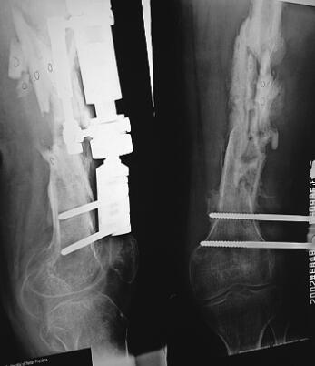
完善各项常规检查,无明显手术禁忌证,停止使用抗生素3天后,取标本进行细菌培养,结果表明产ESBL肺炎克雷伯菌生长,敏感抗生素为亚胺培南;住院5天时,在硬膜外阻滞麻醉下,行清创、含万古霉素的人工骨浆填充骨缺损术。手术步骤:沿原切口切开,梭形切除切口线上的窦道,术中见骨块间大量脓性物,除前外的部分骨块与软组织相连,其余十多块游离骨折片均呈枯黄或枯白色,清除脓性物,死骨间系纤维性增生组织连接。彻底清除所有死骨、炎性增生组织,尤其是髓内增生组织,不做髓腔再通;对于非切口线上的窦道逐一搔刮。然后,使用大量生理盐水、双氧水交替脉压冲洗,再使用含广谱抗生素的生理盐水冲洗,最后稀释的碘伏液浸泡10分钟。重新消毒后,铺巾;更换无菌手术器械,术者更换手套。将含万古霉素的人工骨浆填充骨缺损处,完全封闭清创后所形成的死腔,以避免术后空腔积液。留置持续冲洗引流管,逐层关闭切口。术后1天拍摄X线片如图4;术后3天时体温恢复正常,WBC为0.8×1012,ESR降至31mm/h;使用亚胺培南2周,持续灌注冲洗5天,冲洗液无混浊物时停止冲洗,仍留置引流管以维持引流状态,2天后引流管内无渗出时拔除引流管;同时辅以中药内服,组方为复元活血汤与五味消毒饮加减,每天一剂。术后2周时切口愈合,四周出院,嘱其继续服用中药4个月后复查。术后4个月复查时,右大腿无明显肿痛,肤温正常,感染窦道无复发,血常规与血沉正常,故再次住院,拍摄X线片示固定钉轻微松动,股骨骨折处后、内侧已有连续性骨痂生长。行自体髂骨植入术;术中见骨折处无脓性物,股骨骨折的后内侧达骨性愈合,取深层组织再次进行细菌培养,彻底清除前外侧骨缺损处增生组织,见骨缺损处骨质渗血良好。将自体髂骨修成细骨条,与头孢他啶2.0g混合,紧密填充于骨缺损处。细菌培养结果表明无细菌生长;2周常规出院。内服三七接骨丸(我院内部制剂)3个月。再次手术后4个月随访结果:右侧髋关节功能恢复正常,膝关节僵直,无感染复发,X线片示骨折已愈合,门诊拆除固定支架,嘱其行膝关节松解术,但病人未复诊。

图4 第2次手术X线片
【误诊、误治原因分析】
股骨骨折术后感染性骨折不愈合指的是骨折经过3~6个月没有愈合并持续伴有感染。感染并不是直接导致骨折不愈合,而是通过产生一系列导致骨折不愈合的因素如:死骨、肉芽组织形成、骨折断端吸收、异常活动、形成抑制骨再生的微环境、降低内固定的稳定性等而间接导致骨折不愈合。该症可见于骨折内固定术后或者开放性骨折,也可以是慢性骨髓炎的一种并发症。其主要临床表现是骨折不愈合,窦道形成并有炎性分泌物,皮肤软组织的缺损和骨缺损以及骨外露等。感染性骨折不愈合的治疗目的是控制感染、恢复肢体力线、骨折愈合并获得一个无痛、有功能的肢体。感染性骨折不愈合的传统治疗方法采用分期治疗的原则,即先治疗感染和皮肤软组织缺损;在感染得到控制,病情稳定,至少3~6个月感染没有复发的情况下,二期再采用内固定、植骨的方法解决骨折不愈合的问题。这样的治疗方法有很大的弊端:病程较长,需要多次的清创术,往往要几年甚至更长时间,这样往往就会产生很多的并发症,例如肌肉萎缩、骨质疏松、关节功能部分或全部丧失等。另外,这种治疗方法花费巨大,患者难以承受。如此,由于感染难控制、骨折难愈合、关节功能障碍再加上经济原因等,很多患者往往会延误治疗,最后不得不截肢。
此例股骨感染性骨不连的原因是:①开放性骨折清创不彻底;这种开放伤系骨折端刺穿软组织所致,一般情况下污染较轻,临床上常常在清创后直接给予内固定;尽管接诊医师担心术后感染选择了支架外固定,仍不能替代严格的清创术对预防感染的重要性。②术中无菌操作不严密。③创伤严重,股骨整个中段处于粉碎状态,提示骨周围软组织也损害严重,很多骨折块可能处于完全游离、缺血状态,抗感染能力低。④术中过多地剥离骨块所残存软组织,进一步损害骨块的血供,违反了生物接骨术原则。⑤单边外固定支架固定时,穿过股外侧肌肉与髂胫束,加上骨折当时对股四头肌的损伤,不可避免地出现膝关节僵硬,而膝关节僵硬后伸屈活动受限,骨折处应力增加不利于骨折愈合。⑥骨折处感染发生后,清创时仍保留大量的游离骨块,细菌侵袭骨块,形成死骨,导致抗生素难以有效遏制死骨内的细菌。
【对策】
1.股骨骨折继发感染性骨折不愈合治疗现状
股骨骨折继发感染性骨折不愈合治疗十分困难,治疗上既要控制感染,又要兼顾骨折不愈合。持续置管灌注冲洗引流方法虽然解决了骨和关节化脓性感染治疗的部分困难,但操作复杂繁琐,而且往往因引流管堵塞、伤口漏液等情况而使治疗中断,并存在二次感染的可能。如何在有效控制感染的基础上,稳定固定骨折、促使骨折愈合,是治疗成功的关键。
传统治疗方法是先治愈感染,再行植骨术;植骨术必须在感染症状消失、局部皮肤条件好的前提下进行。清创和软组织移植术后行植骨术的安全时间无确定标准,因为尚难确定感染是被根治还是处于静止状态。有些学者主张术前根据药物敏感试验指导用药;若体温正常、实验室检查血白细胞计数和中性粒细胞计数正常范围、局部无红肿热痛、窦道分泌物不多,全身和局部炎症反应消失,说明感染处于相对静止,然后才行手术治疗;术前1天开始静脉用抗生素。活动性感染,应先予抗生素静脉用药7天,经各种检查确定感染相对静止后再行手术。手术要求取出内固定物,清除死骨和炎性肉芽组织,切除窦道;创口内生理盐水冲洗后用甲硝唑溶液浸泡湿敷10分钟,选用合适的外固定架复位固定骨折;从而获取良好的治疗效果。
抗生素骨水泥珠链结合外固定架治疗法是一种在基层单位容易推广的疗法。该方法要求术前应停用抗生素两周,避免影响细菌培养的结果。治疗过程分三步:①取出内固定物,并取深层标本送细菌培养加药敏试验。彻底清创切除窦道、去除死骨及肉芽组织,用碘伏、双氧水、盐水反复冲洗后,根据术前窦道细菌培养加药敏试验结果,植入抗生素骨水泥珠链。②一周后再次清创,根据深层细菌培养加药敏实验结果更换抗生素骨水泥珠链。③三个月后(根据病人具体情况而定)取出抗生素水泥珠链,行自体髂骨松质骨植骨术。该方法的优点是抗生素骨水泥珠链作为一种药物缓释系统,可以在局部组织中持续释放高浓度的抗生素,并且血药浓度很低,同时还有充填和支架作用,可以消灭清创后形成的死腔,对于后期的植骨有利。外固定架可以稳定骨折端,并且外固定针远离感染灶,有利于感染的控制、骨折的愈合、术后换药及早期功能锻炼等。
目前,Papineau等提出了开放植骨术比较流行。该法的特点在于清创和植骨术后不闭合创面。一次或多次清创术以彻底根除感染或减轻感染的程度,开放创面以通过引流来达到治疗与预防感染的目的。在控制感染的同时积极治疗骨折不愈合,可使疗程相对缩短3~6个月。彻底清创、外固定架牢固固定、大量植骨、充分开放创面、术后引流充分及仔细换药等,是开放植骨术成功的基本条件。
Ilizarov外固定架结合带蒂皮瓣转移法,主要是治疗感染性骨折不愈合存在较大的骨缺损与皮肤缺损。前期的工作也是清创、植骨等治疗感染性骨折不愈合的基本操作。其不同之处在于皮瓣的移植和Ilizarov外固定架的应用。Ilizarov外固定对不愈合端加压不仅能增加固定的稳定性,而且加压还能挤压纤维组织引起坏死,坏死的组织再诱发局部的炎症反应,从而刺激骨愈合的过程。皮瓣的选择应根据皮肤软组织缺损部位、范围及患肢血管损伤情况而定,一方面要有利于增加骨折断端的循环血量,另一方面又可修复创面,又不会过多增加供区的损伤。皮瓣移植的选择原则是宁简勿繁,尽量选用局部转移皮瓣。另外,根据受区需要,能采用带蒂皮瓣转移修复的,就不需要吻合血管的游离皮瓣。
显微外科的带血管蒂骨移植与Ilizarov技术,是目前临床应用最广泛的治疗感染性骨不连的方法,二者相比,各有其优缺点。带血管蒂骨移植的关键是利用显微外科技术进行血管的吻合,避免吻合口并发症及应力性骨折的发生,同时妥善处理好供区问题;游离骨移植的手术时间长、术中出血相对较多。Ilizarov外固定支架的带架时间相对较长。前者能够通过皮瓣移植治疗软组织缺损,但也要小心预防应力性骨折的发生;后者能早期进行功能锻炼,但同时也要处理可能发生的针道感染等。两者治疗的时间和效果差异无统计学意义(P>0.05),肢体的功能恢复也相近。Gammal等将25例患者分成两组进行对照试验,一组(13例)利用显微外科技术进行带血管的骨移植,另一组(12例)则行Ilizarov技术治疗骨缺损;两组对比发现骨缺损的长度与治疗方法的选择密切相关;即当缺损>12cm时,带血管的游离骨移植效果比Ilizarov技术治疗所带来的并发症少;而<12cm的骨缺损,Ilizarov技术效果更佳,并发症相对较少。
2.我们治疗感染性骨折不愈合的经验
感染是引起骨折不愈合的直接原因,炎症处骨质缺血性坏死,而坏死骨质引起感染扩散,造成恶性循环;要治疗感染性骨不连必须首先打破这个循环。这类病人入院前均接受过长期抗生素治疗,导致细菌耐药性或混合感染,常规培养找不到致病菌,有的很难在市场上找到一种敏感抗生素。感染一旦形成,光靠大剂量抗生素是不行的,再好的抗生素不能代替清创术。
首先要彻底清创,清除病灶周围坏死组织,取出内固定钢板、螺钉、钢丝,小的无血运碎骨块,对大的骨折块和有血运的骨块尽量保留。彻底清创及创面修复最好在感染局限化后进行;若骨折处脓液积聚,即使有毒血症、高热等,更应尽早充分清创、引流,因为抗生素应用很难获得感染局限化。手术充分显露后直视下切除窦道,去除内固定物;清除炎性肉芽组织、死骨及部分血供欠佳的纤维组织,直至软组织剖面渗血。髓内钉取出,患者因其针道形成一盲区,骨髓腔内可能残留炎性肉芽组织,可采用电动扩髓钻逐渐搔刮骨髓腔壁,扩髓1mm,并插入软管加压冲洗及负压吸引,以期病灶清除相对彻底。对皮肤缺损骨外露患者,尽可能选用临近随意筋膜皮瓣转位移植覆盖创面;其优点是手术简便,取材方便,一般能满足临床需要。
在彻底清创的基础上,选择合理的抗生素是有效控制感染的关键之一。窦道或浅表渗出物的培养结果通常与深部获取的标本培养结果不同,不能依据浅表伤口或窦道标本培养的结果进行诊断,应强调以深层标本培养为准。研究发现骨科植入物感染的最常见病原菌为革兰氏阳性球菌,约占50%,尤其是金黄色葡萄球菌,但是近年来革兰氏阴性菌、混合感染的患者逐渐增加。另外,研究发现细菌对抗生素耐药常常是相对的,在常规浓度下耐药,但在显著高于常规浓度时则可能是敏感的。
由于慢性炎症形成局部软组织纤维化、骨折端硬化或萎缩吸收、局部血液循环差,静脉用抗生素病灶内难以达到有效药物浓度,抗感染力较弱。动物实验证实,应用局部药物缓释技术能保持病灶内较长时间抗生素有效药物浓度,大大提高了治疗骨感染的疗效。据报道抗生素骨水泥珠链植入后局部抗生素浓度比全身应用抗生素达到的浓度高200倍,可使常规药敏试验耐药的细菌被杀灭。笔者治疗此病例时,在病灶清除、维持原支架固定的基础上,局部病灶内植入大剂量敏感抗生素粉针剂,使用含抗生素的人工骨填充骨缺损处,以期骨折处保持较长时间有效药物浓度,达到药物缓释的目的;同时人工骨浆填充骨缺损,消灭死腔以减少感染复发率,又可能促进骨折愈合,避免了骨水泥填充术后需二次手术取出,也避免了自体骨移植后感染复发而导致的二次死骨现象。
外固定架固定是感染性骨折不愈合固定的首选方法。在骨折治疗的中、后期,放松旋钮,拆除延长压缩装置,即可使外固定器动力化,使骨折端因肢体负重而产生纵向应力,有利于骨折愈合和塑形改建;为股骨感染性骨不连提供合适的生物学和力学环境,促进了骨折愈合。操作简单,外固定骨针应避开骨折感染段,对骨折端干扰小,避免了内固定对感染治疗的影响。外固定支架的固定钉最好位于股外侧肌间隔,减少对股部肌肉、髂胫束的制约,便于功能锻炼和护理。术后指导患者行股四头肌等长收缩和膝关节伸屈活动,预防肌组织纤维化,促进炎症消退,最大程度保留了肢体功能。
同种异体骨移植技术是骨科临床常用的手术治疗方法,尤其是对较大骨缺损及年轻骨骺尚未完全发育完整的患者,自体骨常不能满足临床需要时。近年来随着骨库建立和技术的完善,同种异体骨的临床应用逐渐增多。我们对此技术使用较少,难以作出准确评价。据报道由于其保留了骨的网状支架结构,有利于血管长入,能促进骨传导进行,与自体髂骨一样符合生理及生物力学要求;在骨感染病灶内移植也取得了较好的疗效。
感染性骨不愈合是慢性骨髓炎和骨不连两种病理过程的叠加,临床治疗周期长,手术次数多,住院时间长,治疗费用高,患者痛苦大,且有部分病例可能植骨块吸收或骨髓炎复发而失败,患者可能面临着失去劳动能力,心理负担重,体质消瘦,身体抵抗力减低;患者可能因多方治疗无效而放弃治疗,甚至于不堪忍受长期的病痛而强烈要求截肢。对这类患者应加强营养和支持治疗,注重心理治疗,增强战胜疾病的信心。
股骨感染性骨不连只要清创彻底,骨折端采用有效的外固定,病灶持续闭式冲洗,全身联合局部应用有效抗生素,加强营养和功能锻炼,感染可以控制,骨折能够愈合;半年后再行膝关节松解术,仍能获得较好的肢体功能。
(张 迪 赵 明)
(环球医学编辑:余霞霞)
来源:《骨伤科误诊误治案例分析与对策》
作者:李无阴 周中华
页码:308-313
出版:人民卫生出版社
- 评价此内容
- 我要打分
近期推荐
热门关键词
最新会议
- 2013循证医学和实效研究方法学研讨会
- 欧洲心脏病学会年会
- 世界帕金森病和相关疾病2013年会议
- 英国介入放射学学会2013年第25届年会
- 美国血液学会2013年年会
- 美国癫痫学会2013年第67届年会
- 肥胖学会 2013年年会
- 2013年第9届欧洲抗体会议
- 国际精神病学协会 2013年会议
- 妇科肿瘤2013年第18届大会
- 国际创伤压力研究学会2013年第29届…
- 2013年第4届亚太地区骨质疏松症会议
- 皮肤病协会国际2013年会议
- 世界糖尿病2013年大会
- 2013年国际成瘾性药年会
- 彭晓霞---诊断试验的Meta分析
- 武姗姗---累积Meta分析和TSA分析
- 孙凤---Network Meta分析
- 杨智荣---Cochrane综述实战经验分享
- 杨祖耀---疾病频率资料的Meta分析
合作伙伴
Copyright g-medon.com All Rights Reserved 环球医学资讯 未经授权请勿转载!
网络实名:环球医学:京ICP备08004413号-2
关于我们|
我们的服务|版权及责任声明|联系我们
互联网药品信息服务资格证书(京)-经营性-2017-0027
互联网医疗保健信息服务复核同意书 京卫计网审[2015]第0344号




会员登录

