大妈反复鼻塞、喘息 怎么了?如何治疗?
53岁女性,反复发作性喘息6年。10天前受凉后上述症状再次加重,以喘息为主,曾有痰中带血丝1次,呕吐咖啡样胃内容物1次,伴有发热,体温最高达38.5℃,于外院予头孢呋辛、二羟丙茶碱等治疗无好转。既往:反复鼻塞、流涕、鼻痒10余年,多于接触冷空气、异味后加重,4年前与外院诊断“过敏性鼻炎、鼻息肉”,行“全组鼻窦开放术”,病理(双鼻腔肿物)示慢性黏膜炎,伴嗜酸性粒细胞浸润(口述)。术后鼻塞、流涕较前略好转。本次咳嗽、喘息加重,伴鼻部症状加重。该患者怎么了?如何治疗?
患者女性,53岁,于2011年12月7日入院。
一、主诉
反复发作性喘息6年,加重10天。
二、病史询问
(一)初步诊断思路及问诊目的
53岁女性,主因反复发作性喘息入院,故首先考虑为慢性气道疾病,尤其是支气管哮喘放在首位。因此问诊的目的主要围绕喘息发作的诱因、发病时主要症状及特点、伴随症状,缓解方式以及既往治疗方案等问题展开,并兼顾需要鉴别疾病的临床表现,以寻找符合支气管哮喘诊断的证据。
(二)问诊主要内容及目的
1.每次发病前是否有诱因?
慢性气道疾病的急性加重通常有一定的诱发因素,如病毒感染、接触异味、冷空气、运动或药物等,不同的气道疾病通常有不同的诱因。
2.每次发病时主要表现及伴随症状?
慢性气道疾病通常表现为喘息、气急、胸闷或咳嗽、咳痰等症状,有时甚至会出现咯血、胸痛及伴随发热等症状。
3.每次发病的缓解方式及治疗方案?
缓解方式的不同支持不同的慢性气道疾病,如支气管哮喘可自行缓解或经抗炎平喘治疗后缓解;慢性支气管炎则通过抗感染、平喘及祛痰等治疗好转;左心衰竭引起的喘息样呼吸困难则通过利尿、扩血管纠正心衰等治疗好转。
4.缓解期如何?
缓解期的表现对气道疾病的诊断也是很重要的依据,缓解期有症状,还是可以恢复如正常人,经常提示不同的气道疾病,表明气流受限的严重程度及可逆程度。如支气管哮喘缓解期可如常人;慢性支气管炎则喘息和(或)咳嗽可较长期存在。
5.此次发病具体诱因、特征性表现及治疗情况?与既往有何不同?
本次病情加重的诱因及具体表现有可能与既往不同,也许会提示病情的进展或并发其他疾病。
6.既往有何种疾病?是否有其他原因所致喘息?
有些疾病也与喘息有关,如支气管哮喘70%~80%会伴有过敏性鼻炎,甚至伴随过敏性结膜炎或湿疹,这些提示患者的宿主因素,对疾病的诊断有一定的帮助。有高血压、冠心病或者先天性心脏病史,可以并发左心功能衰竭,表现为喘息样呼吸困难。
7.何种职业及家族史?
气道疾病多与环境暴露史有关,如吸烟、粉尘飞沫接触史;同时也有一定的家族遗传倾向,尤其是支气管哮喘,对诊断也有一定的价值。
(三)问诊结果及临床分析
患者为办公室职员,无主动吸烟及被动吸烟史,也无粉尘接触史,反复发作性喘息6年,多于受凉感冒、接触异味后加重,可自行缓解或经抗炎、平喘治疗后好转,缓解期可如常人,曾行肺功能检查示通气功能正常。近2年来,每次发作时均于外院住院治疗,并诊断为“支气管哮喘合并肺炎”,同时伴有外周血嗜酸性粒细胞增多(具体不详),经短期应用糖皮质激素抗感染、平喘治疗后好转,平素规律吸入舒利迭(每喷含沙美特罗/氟替卡松分别为50μg/250μg),每次1喷,每日2次,但仍有反复喘息发作。10天前受凉后上述症状再次加重,以喘息为主,曾有痰中带血丝1次,呕吐咖啡样胃内容物1次,伴有发热,体温最高达38.5℃,于外院予头孢呋辛、二羟丙茶碱等治疗无好转。病来无胸痛,无晕厥,无皮疹、无双下肢水肿。既往:反复鼻塞、流涕、鼻痒10余年,多于接触冷空气、异味后加重,4年前与外院诊断“过敏性鼻炎、鼻息肉”,行“全组鼻窦开放术”,病理(双鼻腔肿物)示慢性黏膜炎,伴嗜酸性粒细胞浸润(口述)。术后鼻塞、流涕较前略好转。本次咳嗽、喘息加重,伴鼻部症状加重,无鼻出血、流脓涕等。否认高血压、冠心病及先天性心脏病史。
【临床分析】
通过问诊可明确,患者存在反复发作性喘息的气道疾病,经抗炎平喘治疗后可好转,缓解期可如常人,并伴有过敏性鼻炎及鼻息肉,既往曾行肺功能检查示通气功能正常,故首先考虑支气管哮喘。支气管哮喘常伴有过敏性鼻炎及鼻息肉,外周血嗜酸性粒细胞增多;同时由于长期吸入糖皮质激素,可增加下呼吸道感染的机会,易合并肺炎,并需要警惕真菌感染的可能性。故应在体格检查时重点注意肺部听诊是否存在呼气相哮鸣音及呼气相延长,并通过实验室和影像学检查,寻找支持支气管哮喘的证据;若合并肺炎,则要积极查找病原学。另外,应重视心脏体检,尤其是否有心脏杂音和奔马律及双肺底是否有湿啰音等,注意除外心源性因素所致喘息。
评价:初次病史采集中,看似问诊详细、分析合理,但却忽略了如下细节:近2年来,每次发作时均于外院住院治疗,并诊断为“支气管哮喘合并肺炎”,同时伴有外周血嗜酸性粒细胞增多(具体不详)。支气管哮喘急性发作可以合并肺炎,但每次发作均伴有肺炎,则极其少见。本来应对“反复出现”的“支气管哮喘合并双肺炎”与“伴发外周血嗜酸性粒细胞增多”更深入地联系起来,并综合分析,但却被病史采集者忽视了,导致临床思路偏离。尽管既往病史询问中得到如下信息“双鼻腔肿物病理示慢性黏膜炎,伴嗜酸性粒细胞浸润(口述)”,但没有将其与患者的“反复发作喘息”联系起来。
三、体格检查及临床分析
体格检查:体温38.0℃,心率80次/分,呼吸22次/分,血压120/80mmHg。神清语明,略气促,口唇无发绀,鼻窦无压痛,浅表淋巴结未触及,胸廓无畸形,双肺叩诊呈清音,语音震颤对称减弱,双肺呼吸音粗,呼气相延长,散在呼气相干鸣音,双下肺背底部散在少许湿啰音。余心脏、腹部、四肢、神经系统等检查未见异常。
【临床分析】
体格检查结果与问诊后初步考虑支气管哮喘的思路相吻合。双肺散在呼气相干鸣音考虑存在气道痉挛,即支气管哮喘处于急性发作期;体温升高和双下肺背底部散在少许湿啰音,提示合并肺部感染可能;心脏检查未见异常,不支持心源性疾病所致喘息。进一步行实验室和影像学检查的主要目的是明确肺部病变情况、肺部感染病原学,并判断病情,为治疗方案提供依据。
四、实验室和影像学检查
(一)初步检查结果及临床分析
【检查结果】
1.胸部CT(2011年12月7日):双肺上叶散在磨玻璃、斑片样浸润影(图1)。

图1
2.鼻窦CT:双侧上颌窦、筛窦、蝶窦、左侧额窦炎。
3.血常规:白细胞计数10.95×109/L,中性粒细胞百分比53.9%,嗜酸粒细胞百分比26.8%,嗜酸粒细胞计数2.9×109/L。
4.血气分析:pH 7.435,PaO2 58mmHg,PaCO2 36.5mmHg。
5.ANCA阴性,总IgE 210IU/ml。
6.其他:肝功能、肾功能、尿常规、便常规、RF、ASO、ANA、dsDNA、IgA、IgG、IgM、C3、C4、抗ENA谱、心电图、心脏彩超、上腹CT、电解质、凝血象均正常。痰真菌培养待回报。
评价:胸部影像学结果提示可能再次合并“肺部感染”,由于对反复发生肺部感染的质疑和困惑,此时终于将“支气管哮喘”、“双肺斑片影”和“外周血嗜酸性粒细胞明显增多(26.8%)”以及“总IgE升高”有机联系起来。进一步连续阅读既往胸部CT发现双肺斑片状浸润影反复出现,呈游走性。结合患者有鼻窦炎病史,并曾行鼻息肉手术,病理示慢性黏膜炎,伴嗜酸性粒细胞浸润。故需要考虑以“支气管哮喘样”喘息为表现的其他疾病。针对本例患者,需要高度警惕两个疾病:变应性支气管肺曲霉病(allergic bronchopulmonary aspergillosis,ABPA)和变应性肉芽肿性血管炎(Churg-Strauss syndrome,CSS)。进一步完善相关检查。
(二)再次检查结果及临床分析
【检查结果】
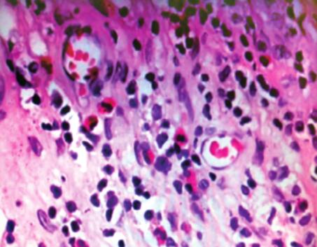
两次痰真菌培养阴性,真菌涂片未见菌丝;两次1,3-β-D-葡聚糖(-);血总IgE仅轻度升高;胸部CT影像学存在反复肺部浸润影,但未见中心性支气管扩张,故ABPA诊断依据不足。入院后患者自诉此次发作伴双上肢麻木,既往否认颈椎病史,头CT未见异常,遂行周围神经传导速检查,结果提示双上肢正中神经损害。并借阅外院4年前(2007年6月12日)鼻息肉手术病理片(图2),结果提示:慢性黏膜炎,伴血管外嗜酸性粒细胞浸润。

图2
【临床分析】
ABPA影像学上也会出现反复肺部斑片状浸润影,但常沿支气管血管束分布,并伴中心性支气管扩张;ABPA化验检查也可有外周血嗜酸性粒细胞增高及总IgE浓度增高,但其总IgE升高明显,经常大于1000ng/ml;ABPA痰培养可有烟曲菌生长,可查到菌丝。结合患者临床表现和辅助检查,ABPA诊断依据不足。CSS为血管炎性疾病,可以累及多系统、多器官,最常见的累及外周神经,引起单发或多发神经病变,故本患者双上肢正中神经损害可能与CSS有关。结合其鼻息肉手术病理明确提示存在血管外嗜酸性粒细胞集聚,进一步证实CSS诊断。
【最终诊断】
变应性肉芽肿性血管炎(CSS)
五、治疗方案、理由及疗效
【方案及疗效】
予甲泼尼龙每日40mg及其他平喘药物治疗10天后(2011年12月19日)复查胸部CT,症状好转,肺部干鸣音消失,胸部CT示双肺斑片状浸润影明显吸收(图3)。复查血常规:白细胞计数8.2×109/L,中性粒细胞百分比75.5%,嗜酸粒细胞百分比0.7%。糖皮质激素治疗后病情明显好转。继续口服糖皮质激素,逐渐减量共计服用1年,症状控制。目前停用糖皮质激素半年余,未复发。

图3
【理由】
针对反复发作的支气管哮喘而言,可以停用静脉糖皮质激素,序贯为ICS+LABA抗炎平喘治疗;针对CSS的治疗则不同,需要足疗程使用口服糖皮质激素,否则容易复发。
六、对本病例误诊误治的思考
1951年,Churg和Strass第一次描述了变应性肉芽肿性血管炎(Churg-Strauss syndrome,CSS)是一个多系统紊乱的疾病,其特征包括:支气管哮喘、短暂性肺部浸润、外周血嗜酸性粒细胞增多和系统性血管炎。嗜酸细胞性血管炎可以累及多个器官,包括肺、心脏、皮肤、胃肠道和神经系统。其病理上主要表现为坏死性嗜酸细胞性血管炎,几乎可以累及全身主要器官,并不可避免的都伴有重症哮喘,反复发作性喘息多发生在CSS其他临床表现之前,很少是随后发生的。CSS的诊断比较困难,因为在开始时,CSS可能仅仅表现为支气管哮喘和变应性鼻炎,由于支气管哮喘本身也可以伴随有鼻窦炎,偶尔也可有肺部浸润,并且糖皮质激素治疗有效,所以容易被漏诊。
CSS多见于既往体健、成年起病的变应性鼻炎或反复鼻窦炎、伴随支气管哮喘样和系统性血管炎的体征和症状。但是在确诊之初,诊断大多被错过了,因为支气管哮喘和鼻窦炎是临床常见疾病,这些症状可以在血管炎发生之前许多年就存在(平均潜伏期为8年,范围为0~61年)。对于支气管哮喘患者伴有外周血嗜酸性粒细胞增多,或是伴有肺部浸润都应该考虑CSS的诊断。虽然支气管哮喘患者通常也可伴有外周血嗜酸细胞增多,但是嗜酸细胞的数量超过1500个/μl,或者超过白细胞总数的10%,则应考虑CSS的诊断。而且,支气管哮喘患者反复出现短暂的肺部浸润,临床并不常见,需要进一步评估。
目前CSS的诊断标准仍依据1990年美国风湿病学会(ACR)提出的标准:①哮喘;②外周血嗜酸细胞大于10%;③肺部浸润;④单根或多根神经受累;⑤鼻窦异常;⑥活检证实存在血管外嗜酸细胞浸润。诊断需具有上述6条中的4条,其敏感性是85%,特异性是99.7%。
CSS的鉴别诊断包括:Wegener肉芽肿、药物反应、支气管中心性肉芽肿病、嗜酸细胞性肉芽肿、真菌和寄生虫感染以及恶性肿瘤。虽然上述每一个疾病也许会满足ACR提出的CSS诊断标准,但它们的治疗原则却显著不同,因此,当鉴别诊断困难时,获得组织病理才是“硬道理”。
糖皮质激素是治疗CSS的基础和一线药物,对于大多数没有重要器官受累的患者来说,单药糖皮质激素治疗即可,不必联合其他免疫抑制剂。泼尼松的推荐计量是1mg/(kg·d)服用1个月,并逐渐减量,至少服用1年。对于受累器官比较广泛或者难治型病例,在口服糖皮质激素同时,需要联合使用免疫抑制剂,如环磷酰胺等。
CSS总体预后良好,随着糖皮质激素的临床应用,缓解率和生存率已经大幅度改善,其中心脏受累仍是主要死因。
综上所述,本病例误诊误治的关键点是:①缺乏临床资料综合分析能力,需要培养整合医学思维;②基层医师对变应性肉芽肿性血管炎认识不足,导致延误诊断;③支气管哮喘经规律治疗,大多数患者可以得到良好控制,如仍反复发作,需要警惕表现为“哮喘”的其他疾病。
小贴士
CSS的诊断标准
1.哮喘;
2.外周血嗜酸性粒细胞大于10%;
3.肺部浸润;
4.单根或多根神经受累;
5.鼻窦异常;
6.活检证实存在血管外嗜酸细胞浸润。
诊断需具有上述6条中的4条。
大连医科大学附属第一医院 孙秀娜 季颖群
(环球医学编辑:余霞霞)
来源:《防范与走出常见诊疗误区:呼吸疾病临床病例精粹》
作者:康健
页码:150-154
出版:人民卫生出版社
- 评价此内容
- 我要打分
近期推荐
热门关键词
最新会议
- 2013循证医学和实效研究方法学研讨会
- 欧洲心脏病学会年会
- 世界帕金森病和相关疾病2013年会议
- 英国介入放射学学会2013年第25届年会
- 美国血液学会2013年年会
- 美国癫痫学会2013年第67届年会
- 肥胖学会 2013年年会
- 2013年第9届欧洲抗体会议
- 国际精神病学协会 2013年会议
- 妇科肿瘤2013年第18届大会
- 国际创伤压力研究学会2013年第29届…
- 2013年第4届亚太地区骨质疏松症会议
- 皮肤病协会国际2013年会议
- 世界糖尿病2013年大会
- 2013年国际成瘾性药年会
- 彭晓霞---诊断试验的Meta分析
- 武姗姗---累积Meta分析和TSA分析
- 孙凤---Network Meta分析
- 杨智荣---Cochrane综述实战经验分享
- 杨祖耀---疾病频率资料的Meta分析
合作伙伴
Copyright g-medon.com All Rights Reserved 环球医学资讯 未经授权请勿转载!
网络实名:环球医学:京ICP备08004413号-2
关于我们|
我们的服务|版权及责任声明|联系我们
互联网药品信息服务资格证书(京)-经营性-2017-0027
互联网医疗保健信息服务复核同意书 京卫计网审[2015]第0344号




会员登录

