中年大叔咯血、镜下血尿、肺部大片阴影 与肺炎和泌尿感染有关吗?
53岁男性,2个月前无明显诱因出现咳嗽、咳白痰,当时未在意,未系统诊治,咳血痰间断出现。1周前突发高热,体温39℃以上,发热前曾有寒战,自觉胃部不适,脐周隐痛,于家中静脉滴注左氧氟沙星4天,症状未见好转。在外院行胸部CT检查示右肺炎症,继续抗感染治疗,为求进一步诊治来笔者医院门诊,以“细菌性肺炎”诊断收入院。该患者患有……
患者男性,53岁,于2010年7月19日入院。
一、主诉
咳嗽、咳痰半年,咯血2个月,发热1周。
二、病史询问
(一)初步诊断思路及诊断目的
患者为中年男性,有慢性咳嗽、咳痰,间断咯血的病史,近期发热。问诊应主要围绕是否有相关诱因、发病时主要的症状及特点、伴随症状,近期发热的诱因,是否曾抗感染治疗及效果如何等相关问题展开,以便与其他疾病相鉴别。
(二)问诊的主要内容
1.咳嗽、咳痰的特点
咳嗽是否剧烈,咳嗽的时间与规律,有无夜间加重,痰的量,痰的性状,是黏液性、浆液性、还是脓性痰。
2.咯血的特点
咯血的量、颜色、性状,是鲜红色,还是暗红色。
3.发热的特点
发热是否有规律,热型如何,是否伴有畏寒、寒战。
4.上述症状患者是否曾治疗,效果如何
通过了解院外抗感染治疗的情况来考虑感染性疾病的可能性,并进一步分析药物的选择是否合理等问题。
5.其他的相关伴随症状。
有无盗汗、午后低热、关节疼痛、口腔溃疡、光过敏等相关伴随症状。
6.既往史:
既往患过何种疾病。
7.个人史:
何种职业?有无吸烟嗜好?
(三)问诊结果及临床分析
患者于2个月前无明显诱因出现咳嗽、咳白痰,咳嗽不剧烈,痰量不多,偶有咳痰带血丝,当时未在意,未系统诊治,咳血痰间断出现。1周前突发高热,体温39℃以上,发热前曾有寒战,无胸闷及胸痛,无呼吸困难,自觉胃部不适,脐周隐痛,但无恶心、呕吐,无腹泻,于家中静脉滴注左氧氟沙星4天,症状未见好转。入院前3日在外院行胸部CT检查示右肺炎症,继续抗感染治疗,为求进一步诊治来我院门诊,门诊以“细菌性肺炎”诊断收入院,病来无头晕及头痛、无心悸,饮食少,睡眠差,大小便正常。
【临床分析】
通过问诊可知,患者有慢性咳嗽、咳痰及间断咯血病史,不能排除支气管扩张、肺癌等慢性呼吸系统疾病的可能,近期由于感染,急性加重。应在体格检查时重点注意肺部查体有无异常,并通过实验室检查及影像学检查进一步明确诊断。
评价:这是初次病史采集,对于伴随症状的询问,仅局限于围绕呼吸系统各疾病的鉴别诊断的问诊上,忽略其他系统的相关伴随症状的询问,从而导致临床思维的局限性。
三、体格检查
(一)重点查体内容和目的
主要针对肺部进行系统体格检查,同时也要注意浅表淋巴结有无肿大,心脏方面的体格检查有无异常等等。
(二)体格检查结果及临床分析
体温38.2℃,脉搏96次/分,呼吸20次/分,血压110/70mmHg。神清语明,步入病房,查体合作,皮肤黏膜无瘀斑,浅表淋巴结未触及,巩膜无黄染,结膜略苍白,双瞳孔等大正圆,光反射灵敏,口唇略苍白,颈静脉无怒张。胸廓无畸形,双侧呼吸运动对称一致,叩诊右肺呈浊音,听诊右肺可闻及湿啰音,左肺未闻及干湿啰音,心律齐,各瓣膜听诊区未闻及杂音,腹软,无压痛,肝脾肋下未触及,肠鸣音3次/分,双下肢无水肿,双侧巴氏征阴性。
【临床分析】
体格检查的结果与问诊后初步考虑呼吸系统疾病的思路相吻合,体温增高,叩诊右肺呈浊音,右肺听诊可闻及湿啰音提示肺部病变所致的相关改变。进一步完善胸部影像学检查明确肺部病变,完善病原学检查明确致病菌,及肿瘤系列等其他相关化验检查,以评估疾病。
评价:患者有贫血貌,贫血的具体原因值得深入探究,咯血量大时也可以引起贫血,但本病例中患者咯血量与贫血程度并不平行,那么贫血是否与其他系统病变相关呢?寻找贫血原因是诊断的关键。
四、实验室和影像学检查
(一)初步检查内容及目的
1.血常规、C-反应蛋白:
证实感染性疾病。
2.痰菌涂片、痰菌培养、结核菌涂片、血清支原体、衣原体检查:
明确病原。
3.血气分析:
评价病情。
4.胸部影像学:
明确诊断并了解病变部位和范围。
5.PPD、肿瘤系列:
协助判断是否有肺部肿瘤及结核病变。
6.贫血系列:
帮助查找患者贫血的原因。
(二)检查结果及临床分析
【检查结果】
1.血常规:
白细胞计数7.89×109/L,中性粒细胞百分比76.8%,红细胞计数4.22×1012/L,血红蛋白89g/L,血小板计数210×109/L;C-反应蛋白149.86mg/L。
2.降钙素原:
0.566ng/ml。
3.痰培养:
未见异常。
4.血气分析:
pH 7.21,PaO2 72mmHg,PaCO2 40mmHg。
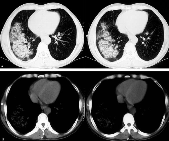
5.胸部影像学:
右肺大片斑片影(图1 A肺窗,B纵隔窗)。

图1
6.尿常规:
白细胞20/HP,红细胞15/HP,尿蛋白(++)。
7.肾功能:
肌酐127μmol/L,尿素氮9.02mmol/L。
8.尿培养:
未见异常。
【临床分析】
胸部影像学示右肺大片斑片影;血常规示中性粒细胞百分比增高,CRP、PCT明显增高、尿常规示高倍镜下白细胞、红细胞都明显增高。结合患者的病史和体格检查结果,进一步支持感染性疾病——社区获得性肺炎、泌尿系感染的诊断。考虑红细胞及尿蛋白异常与泌尿系感染有关,进一步完善痰培养、尿培养等相关病原微生物学检查,患者目前肾功能异常,考虑患者存在重症感染,累及肾脏所致。
评价:由于最初尿常规是白细胞偏高,考虑患者存在泌尿系感染,但患者无尿频、尿急、尿痛等尿路感染症状,且患者无尿路结石、糖尿病等易导致泌尿系感染的诱因,泌尿系感染的诊断是否成立?
五、治疗方案及理由
【方案】
哌拉西林钠/他唑巴坦钠4.5g,每8小时1次,静脉滴注抗感染;盐酸氨溴索30mg,每日1次,静脉滴注化痰;凝血酶1单位,每12小时1次,肌注止血。
【理由】
患者于院外静脉滴注左氧氟沙星已4天症状未见好转,考虑病原体为左氧氟沙星未覆盖致病菌,因此入院后更换抗生素为哌拉西林钠/他唑巴坦钠抗感染,同时进一步完善病原微生物的相关化验以明确致病菌,进一步指导临床用药。
六、治疗效果及临床分析
(一)治疗效果
经哌拉西林钠/他唑巴坦钠抗感染治疗3天,体温降至正常,但仍间断咳痰带血,且量较前增多,右肺可闻及湿啰音。7天后复查血常规:白细胞计数6.6×109/L,中性粒细胞百分比69%,C-反应蛋白69.80mg/L,降钙素原0.266ng/L。患者贫血较前进行性加重,且肌酐247μmol/L,尿素氮10.02mmol/L,肾功能呈进行性恶化趋势,多次完善痰及尿培养均无异常,复查高倍镜下白细胞10/HP,红细胞25/HP。
(二)临床分析
患者拟诊为社区获得性肺炎,经抗感染治疗后感染症状及相关化验较前好转,但胸部影像学较前进展,咯血量增多,同时贫血加重,肾功能进行性恶化。这使我们产生这样的疑问:为何感染已控制但胸部影像学却有所进展?患者为何仍不断咯血,且量较前增多,尿中持续存在红细胞,贫血,肾功能恶化及胸部影像学短期内进展,应注意是否存在ANCA相关血管炎或肺出血-肾炎综合征的可能。
评价:感染已控制,但胸部影像学不断进展,看来患者肺部病变不是单纯的社区获得性肺炎那么简单,应该从问诊、体格检查、化验检查重新整理思绪,究竟在哪个环节出现问题,导致诊断有误。患者有咳嗽,咳痰,咯血,血尿,肾功能进行性恶化,考虑肺出血-肾炎综合征或ANCA相关血管炎,进一步完善抗核抗体系列、ANCA、抗肾小球基底膜抗体等相关化验。
七、再问病史和实验室检查结果
患者为中年男性,慢性咳嗽、咳痰及间断咯血,近1周发热,无鼻窦炎的病史,无双手指间关节的疼痛,无口腔溃疡,无口眼干涩等风湿系统疾病的临床表现,既往无粉尘接触史,无其他肺部疾病史。胸部查体时的右肺下湿啰音为细小水泡音,更接近于帛裂音。辅助检查:胸部CT示双肺斑片影,且短期内迅速进展,血常规示小细胞低色素贫血,尿常规示高倍镜下红细胞、尿蛋白持续偏高,肾功能进行性恶化,血气示氧分压进行性下降。
结合上述资料,考虑患者为肺出血-肾炎综合征或ANCA相关血管炎的可能性大,胸部影像学改变考虑为肺出血-肾炎综合征或ANCA相关血管炎的肺部表现。进一步完善:①抗核抗体系列、ANCA明确是否有ANCA相关血管炎等相关风湿免疫系统疾病;②抗肾小球基底膜抗体测定,明确是否有肺出血-肾炎综合征;③完善鼻窦CT及四肢肌电图明确是否有鼻部及肌肉神经传导受累(ANCA相关血管炎易累及鼻部及肌肉神经);④肾穿刺行肾活检组织检查,病理能明确肾脏受累的具体病因。结果:抗肾小球基底膜抗体阳性,肾穿刺示肾小球囊上皮可见新月体形成,证实了肺出血-肾炎综合征的诊断。
评价:“牙痛看牙,脚痛看脚”这种局限想法禁锢了许多人的思想,导致诊断的偏差,全面多系统考虑疾病,才能真正找到最终的答案。
【最终诊断】
肺出血-肾炎综合征
八、治疗方案
甲泼尼龙每日500mg,每日1次,静脉滴注,冲击治疗3天;泼尼松60mg[1mg/(kg·d)],每日1次,口服;环磷酰胺150mg[2~3mg/(kg·d)],每日1次,口服;同时进行血浆置换。
九、本病例误诊误治的思考
Goodpasture综合征又称肺出血-肾炎综合征,其病因尚不明确,可能与感染和(或)吸入某些化学性物质引起原发性肺损害有关,由于肺泡壁毛细血管基底膜和肾小球基底膜存在交叉反应抗原,故引起继发性肾损伤。Goodpasture综合征是一种少见的自身免疫性疾病。多见于男性,可发生于任何年龄,以20~30岁多见。主要临床表现为咯血、肺部浸润、肾小球肾炎、肾功能进行性恶化。
该患者由于呼吸道感染诱发疾病加重,起初误诊为单纯的社区获得性肺炎,并未将贫血、镜下血尿、蛋白尿、肾功能异常,与呼吸系统症状相联系,导致诊断偏差。
综上所述,本病例误诊误治的原因如下:①对本病缺乏认识,缺乏相关临床经验;②未全面、综合、系统地分析整个病例,未把整体思路贯穿于该病例的整个诊疗过程中,导致最初的误诊。
小贴士
Goodpasture综合征的诊断标准
1.反复咯血、血尿、蛋白尿、贫血、肾功能进行性恶化。
2.胸部影像学提示双肺弥漫性浸润影,抗肾小球基底膜抗体阳性。
3.肾穿刺活检提示肾小球内新月体形成。
沈阳医学院附属中心医院 夏书月 代宜凝
(环球医学编辑:余霞霞)
来源:《防范与走出常见诊疗误区:呼吸疾病临床病例精粹》
作者:康健
页码:328-332
出版:人民卫生出版社
- 评价此内容
- 我要打分
近期推荐
热门关键词
最新会议
- 2013循证医学和实效研究方法学研讨会
- 欧洲心脏病学会年会
- 世界帕金森病和相关疾病2013年会议
- 英国介入放射学学会2013年第25届年会
- 美国血液学会2013年年会
- 美国癫痫学会2013年第67届年会
- 肥胖学会 2013年年会
- 2013年第9届欧洲抗体会议
- 国际精神病学协会 2013年会议
- 妇科肿瘤2013年第18届大会
- 国际创伤压力研究学会2013年第29届…
- 2013年第4届亚太地区骨质疏松症会议
- 皮肤病协会国际2013年会议
- 世界糖尿病2013年大会
- 2013年国际成瘾性药年会
- 彭晓霞---诊断试验的Meta分析
- 武姗姗---累积Meta分析和TSA分析
- 孙凤---Network Meta分析
- 杨智荣---Cochrane综述实战经验分享
- 杨祖耀---疾病频率资料的Meta分析
合作伙伴
Copyright g-medon.com All Rights Reserved 环球医学资讯 未经授权请勿转载!
网络实名:环球医学:京ICP备08004413号-2
关于我们|
我们的服务|版权及责任声明|联系我们
互联网药品信息服务资格证书(京)-经营性-2017-0027
互联网医疗保健信息服务复核同意书 京卫计网审[2015]第0344号




会员登录

