系统性硬化症与类风湿关节炎重叠综合征的诊断和治疗
58岁女性,以雷诺现象、对称性多关节肿痛和皮肤反复破溃为主要临床表现,病程中出现肺部多发空洞及气胸。如何诊断和治疗?
【病历摘要】
患者,女,58岁,主因“双手遇冷变色20余年,关节肿痛、皮肤破溃3年,加重半个月”于2011年1月25日入院。
患者20多年前出现双手遇冷后变白、变紫,保暖后变红,未在意。3年前,患者出现活动后双膝及双踝关节疼痛,间断服用止痛药物及针灸、理疗,症状无改善,并逐渐出现双手掌指关节、近端指间关节肿痛,晨僵大于1小时,就诊于中医医院,诊断为“类风湿关节炎”,服用中药约1年(具体不详),症状进行性加重,日常活动受限,并逐渐出现双手皮肤变紧、变硬。外院查抗核抗体、抗Scl-70抗体、抗环瓜氨酸多肽抗体及抗角蛋白抗体阳性,类风湿因子52IU/ml,红细胞沉降率78mm/h,诊断为“类风湿关节炎和系统性硬化症(systemic sclerosis,SSc)”,给予泼尼松35mg qd(每日1次)、来氟米特20mg qd及青霉胺0.25mg qd治疗,症状好转,激素逐渐减量。患者逐渐出现双手近端指间关节处皮肤破溃,并出现躯干及四肢破溃、水疱,指端皮肤破溃,其间激素用量波动在17.5~30mg之间,激素减量至20mg qd以下时皮肤破溃及关节症状可加重。
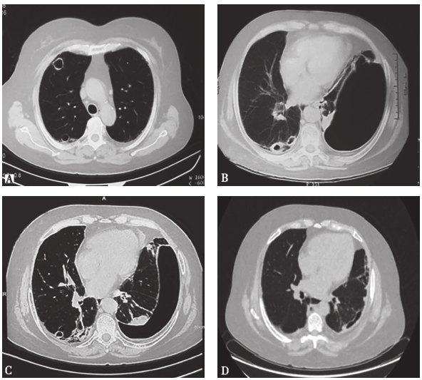
患者1年多前查胸部CT提示肺间质纤维化和肺部空洞(图1A),查G试验、GM试验、痰培养及降钙素原均无异常,未经特殊治疗。9个多月前患者于咳嗽后突发胸闷,于外院查胸部CT提示左肺气胸、右肺空洞,给予头孢哌酮舒巴坦、氟康唑后复查CT空洞变化不明显,气胸较前有所吸收。3个月前,患者着凉后出现咳嗽、咳痰及胸闷,胸部CT提示左侧大量气胸、右肺部空洞(图1B),于外院住院行胸腔闭式引流术后肺部复张。

图1 患者胸部CT影像
A:2009年12月8日胸部CT提示肺间质纤维化、肺部空洞;
B:2010年10月12日胸部CT提示大量气胸、肺部空洞;
C:2011年1月25日左肺野外带可见条片状透亮区及置管影,相邻肺组织密度增高,可见多发条索影,右肺中、下叶可见数个薄壁空洞,部分可见液平,周围可见斑片影,胸膜下分布,左侧胸腔可见少量积液,双侧胸膜增厚;
D:2015年6月11日双肺多发条索影、小条片影,局部胸膜下呈网格样、蜂窝影,右肺胸膜下可见结节影,与胸膜粘连,双侧胸膜增厚,局部包裹气体影,气管及左右支气管开口通畅
半个月前,患者皮肤破溃加重,分泌物培养为铜绿假单胞菌,伴胸腔闭式引流液浑浊,遂就诊于外院,停用青霉胺及来氟米特,使用左氧氟沙星静脉滴注1周,皮肤溃烂无明显好转,为进一步治疗收住我科。
患者自发病以来,有眼干、口干,无吞咽干食困难,无多发龋齿。
既往史:高血压、2型糖尿病2年。重度骨质疏松史。否认吸烟、大量饮酒史。
【入院查体】
生命体征平稳,皮肤晦暗,浅表淋巴结无肿大。面部皮肤皮纹减少、不易捏起,口唇薄,鼻尖变尖。臀部、左下肢、双足及指/趾端均可见多发皮肤破溃,最大面积约10cm×10cm,部分见敷料包扎。双手呈“天鹅颈”样畸形,双手小关节无肿胀、压痛。左肘关节肿胀、压痛。双下肢水肿,双足皮肤呈暗紫色,皮温不高,左侧胸部第八肋间可见胸腔闭式引流管,叩诊左肺中下野浊音,语颤减弱,左肺中下野呼吸音减低或消失,右肺下野可闻及细小湿啰音,心腹查体未见异常。
【实验室检查】
常规化验:血常规:白细胞(WBC)7.47 × 109/L,中性粒细胞84.07%,血红蛋白(Hb)104.4g/L,血小板(PLT)402.6 × 109/L。DIC全项:D-二聚体(D-dimer)583.641ng/ml,纤维蛋白原 619.182mg/dl。血气分析:酸碱度(pH)7.504,二氧化碳分压34.3mmHg,氧分压97.1mmHg,氧饱和度98.2%,碳酸氢根浓度27.3mmol/L。糖化血红蛋白7.0%。红细胞沉降率95mm/h↑,C反应蛋白55.6mg/L↑。肿瘤标记物:CA125 39.38U/ml↑,CYFRA21-1 5.29ng/ml↑,NSE 17.29ng/ml↑。尿常规、便常规、肝功能、肾功能、电解质及甲状腺功能正常。
感染相关:抗HIV、HBsAg阴性。降钙素原<0.5ng/ml,结核分枝杆菌扩增阴性、PPD试验阴性、痰细菌培养、痰真菌培养、痰浓缩找抗酸杆菌、胸腔积液浓缩找抗酸杆菌、胸腔积液细菌及真菌培养、G实验、GM试验、巨细胞抗原检测(血)、EB病毒-IgM、细小病毒抗体均阴性。支气管镜分泌物细菌涂片及染色未见异常,血培养(需氧+厌氧)阴性。皮肤分泌物培养:铜绿假单胞菌。
免疫相关:抗环瓜氨酸多肽抗体>200RU/ml↑,类风湿因子-IgM 230IU/ml↑、类风湿因子-IgG 133IU/ml↑、抗角蛋白抗体(+)、抗核周因子抗体(+)、抗核抗体 1∶320(均质型),抗 ENA、抗着丝点抗体(ACA)、抗dsDNA、抗中性粒细胞胞质抗体(ANCA)、抗平滑肌抗体均阴性。
胸腔闭式引流液相关检查:胸腔积液常规:比重1.020,酸碱度8.0,李瓦他反应弱阳性,总细胞8.8×103/L,白细胞每高倍视野5200个,单核细胞占5%,多核细胞占95%。胸腔积液生化:葡萄糖0.13mmol/L,总蛋白17.6g/L,乳酸脱氢酶(LDH)5412U/L,腺苷脱氨酶52.7U/L。胸腔积液真菌培养阴性,普通细菌涂片及染色阴性,胸腔积液反复查抗酸杆菌均阴性。
【影像学检查】
胸部CT:双肺纹理增重,左肺野外带可见条片状透亮区及置管影。相邻肺组织密度增高,可见多发条索影。右肺中、下叶可见数个薄壁空洞,部分可见液平,周围可见斑片影,胸膜下分布。气管及其分支通畅,纵隔内未见明显肿大淋巴结,肺动脉主干不宽,心影不大,左侧胸腔可见少量积液,双侧胸膜增厚(图1C)。
支气管镜:镜下未见明显异常。
超声心动图:左房轻度扩大,左室舒张功能减低。
下肢血管超声:下肢动脉硬斑,下肢静脉通畅。
【诊断】
1.系统性硬化症、类风湿关节炎重叠综合征
2.皮肤血管炎伴溃疡形成
3.肺部空洞(性质未明)
4.气胸
【诊治经过】
患者为中年女性,慢性病程急性加重。最初以雷诺现象起病,之后出现对称性多关节炎,类风湿因子阳性,双手X线片提示类风湿关节炎放射学改变,符合1987年美国风湿病学会(ACR)关于类风湿关节炎的分类标准。故患者类风湿关节炎诊断明确。患者以雷诺现象起病,后出现双手及面部皮肤变硬、不易捏起,化验示抗核抗体及抗Scl-70抗体阳性,胸部CT提示肺间质纤维化,符合1980年美国风湿病学会关于系统性硬化症的分类标准。综上所述,本患者为类风湿关节炎和系统性硬化症重叠综合征。
患者20个月前开始先后出现双手近端指间关节、躯干、双足和左小腿等部位的皮肤破溃(图2),既往糖尿病病史明确,不除外糖尿病皮肤病变,但糖尿病皮肤病变常出现在双下肢胫前皮肤,很少出现在髋部等躯干部位,糖尿病坏疽常伴有动脉硬化、闭塞,本患者糖化血红蛋白仅稍高,与该患者皮肤病变不符,考虑患者皮肤病变为类风湿关节炎和系统性硬化症相关血管炎所致,入院后予泼尼松20mg抗炎、抗感染、定期创口药物敷料包扎及换药等治疗后,患者皮肤创面缩小好转。

图2 患者皮肤破溃
患者1年多前查胸部CT发现肺部空洞,性质未明,后出现气胸,于外院行胸腔闭式引流术后肺部复张,半个月前出现胸腔闭式引流液浑浊,入院后考虑患者肺部空洞性质未明、脓气胸,肺部空洞不除外真菌、结核等感染可能,完善病原学检查同时予抗细菌、抗真菌、化痰、胸腔闭式引流和负压吸引等治疗,两周后复查患者胸部CT较前无明显变化,病原学检查回报均为阴性,考虑类风湿结节空洞可能性大,停用抗真菌药物,加用甲泼尼龙80mg×5d、甲泼尼龙40mg×3d后改为泼尼松50mg qd治疗。因患者皮肤分泌物反复培养出铜绿假单胞菌,未使用环磷酰胺,加用羟氯喹、白芍总苷治疗。胸腔积液普通细菌涂片及染色、真菌培养、找抗酸杆菌均为阴性,胸外科会诊意见:建议以引流、改善机体营养状况及控制原发病为主;患者左侧肺部形成纤维包裹,复张困难,若支气管胸膜瘘愈合后可考虑改成开放引流。入院后患者胸腔积液逐渐变清亮,每天引流1~2ml。此外,住院期间还予患者前列地尔静脉滴注,维生素E烟酸酯、硝苯地平口服改善微循环,以及控制血糖、抗骨质疏松等治疗。经上述治疗,患者病情好转出院,出院时皮肤创面较前明显缩小。
该患者出院后门诊随访5年,规律应用小剂量激素(激素逐渐减量,后7.5mg qd维持)、羟氯喹、来氟米特和贝前列素钠等药物,并于2011年4月开始加用环磷酰胺(CTX)200mg q2w输液治疗,并逐渐加量至400mg q2w,后因为皮肤(多于手指及足部)反复破溃,CTX增至600mg q2w,患者皮肤新发溃疡逐渐减少,肺部空洞较前吸收(图1D)。但在CTX减量过程中又出现肢端新发溃疡增加,CTX用量波动于400~600mg q2~3w之间,规律应用至2016年6月。至今病情基本稳定,关节情况稳定,肢端溃疡偶有新发,肺部无新发病变。
【病例评析】
该患者为系统性硬化症、类风湿关节炎重叠综合征,诊断明确,除关节、皮肤受累外,病程中出现严重的顽固性皮肤破溃,伴肺间质纤维化、肺部空洞。患者四肢及躯干顽固性皮肤破溃与糖尿病皮肤病变表现不符,且经激素抗炎、抗感染和定期清创后皮肤破溃好转,考虑顽固性皮肤破溃为系统性硬化症、类风湿关节炎的血管炎累及皮肤所致。该患者在系统性硬化症、类风湿关节炎的基础上出现肺部空洞,考虑可能的原因有类风湿结节空洞、真菌尤其是侵袭性曲霉、结核分枝杆菌感染等可能,而在类风湿结节空洞的基础上也可继发真菌、结核分枝杆菌等感染,但入院后反复查痰液、胸腔积液和血液的病原学均为阴性,抗感染治疗疗效不佳,虽然在肺部出现的类风湿结节常为多发小结节病灶,而该例患者为多发肺部空洞改变,但结合反复胸部影像学的动态观察,考虑该患者肺部空洞为类风湿结节空洞可能性大。在针对本病治疗加强后,其肺部病变有所改善。
类风湿血管炎临床上并不少见,常发生于病程长、高滴度类风湿因子及伴类风湿结节的患者,可在关节炎症状出现之前或之后发生。文献报道类风湿关节炎患者中血管炎发生率为1%~5%,典型改变为坏死性血管炎,皮肤是小血管炎最常累及的部位,主要表现为皮肤溃疡、瘀点或紫癜、指端梗死、坏疽和皮疹。该患者在类风湿关节炎、系统性硬化症基础上,血管炎表现突出,主要累及皮肤和肺部,对其进行积极的免疫治疗有效。
本例启示
系统性硬化症、类风湿关节炎均可出现血管炎表现,两病重叠时,可出现严重的皮肤血管炎表现。
类风湿关节炎肺部受累形式多样,但表现为空洞少见,在除外感染情况下,对活动性类风湿关节炎患者,肺部空洞应警惕类风湿结节空洞的可能。
知识来源
人卫知识数字服务体系
- 评价此内容
- 我要打分
近期推荐
热门关键词
最新会议
- 2013循证医学和实效研究方法学研讨会
- 欧洲心脏病学会年会
- 世界帕金森病和相关疾病2013年会议
- 英国介入放射学学会2013年第25届年会
- 美国血液学会2013年年会
- 美国癫痫学会2013年第67届年会
- 肥胖学会 2013年年会
- 2013年第9届欧洲抗体会议
- 国际精神病学协会 2013年会议
- 妇科肿瘤2013年第18届大会
- 国际创伤压力研究学会2013年第29届…
- 2013年第4届亚太地区骨质疏松症会议
- 皮肤病协会国际2013年会议
- 世界糖尿病2013年大会
- 2013年国际成瘾性药年会
- 彭晓霞---诊断试验的Meta分析
- 武姗姗---累积Meta分析和TSA分析
- 孙凤---Network Meta分析
- 杨智荣---Cochrane综述实战经验分享
- 杨祖耀---疾病频率资料的Meta分析
合作伙伴
Copyright g-medon.com All Rights Reserved 环球医学资讯 未经授权请勿转载!
网络实名:环球医学:京ICP备08004413号-2
关于我们|
我们的服务|版权及责任声明|联系我们
互联网药品信息服务资格证书(京)-经营性-2017-0027
互联网医疗保健信息服务复核同意书 京卫计网审[2015]第0344号




会员登录

