-
多食却体重下降 这病得治!
环球医学资讯
2017年05月19日
点击量:474
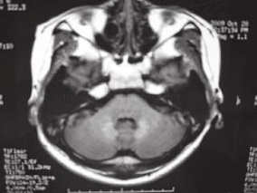
1小时条评论病例介绍 主诉 多尿、多饮、多食、体重下降伴肢端粗大半年。 现病史 患者缘于半年前无明显诱因出现多尿、多饮、多食伴体重下降,尿量每日约3 500ml,夜尿3~4次/d。日饮水量约3 000ml,喜冷饮。餐前饥饿感明显,进食后缓解,每餐进食馒头约200g,半年内体重下降约...
-
胸腔积液源于甲状腺功能减退
环球医学资讯
2017年05月03日
点击量:328
1小时条评论2006年7月13日 多云 heric(heric) 经过 上个月,一位75岁的男性病人,因反复胸闷、气喘伴下肢浮肿十余年,加重半年入院。入院诊断:高血压病,慢性心功能不全,心功能Ⅳ级,冠心病,2 型糖尿病,慢性阻塞性肺气肿。入院时病人端坐呼吸,双肺均有啰音,双下肢明...
-
发作性四肢抽搐8年 病因是……
环球医学资讯
2017年03月20日
点击量:456
1小时条评论患者男性,27岁,于2010年3月14日入院。 一、主诉 发作性四肢抽搐8年,加重半年。 二、病史询问 (一)初步诊断思路及问诊目的 患者为青年男性,反复发作性的四肢抽搐8年收住院。从内分泌专科角度应该先考虑低钙性抽搐,因此问诊时围绕抽搐发作前诱因,先兆症状...
-
声音嘶哑伴颈前无痛性肿块,甲状腺功能两次正常,最…
环球医学资讯
2017年03月14日
点击量:754
1小时条评论患者女性,43岁,于2008年1月13日在我院内分泌门诊就诊。 一、主诉 进行性呼吸困难、声音嘶哑伴颈前无痛性肿块4月。 二、病史询问 (一)初步诊断思路及问诊目的 患者中年女性,进行性出现呼吸困难并伴有声音嘶哑和甲状腺肿大,按常见病优先考虑的原则应将甲状...
-
步态异常24年,骨痛12年,加重两个月,如何用药治疗?
环球医学资讯
2017年03月14日
点击量:269
1小时条评论患者女性,27岁,于2007年11月27日入院。 一、主诉 步态异常24年,骨痛12年,加重两个月。 二、病史询问 (一)初步诊断思路及问诊目的 患者青年女性,27岁,发现步态异常24年,骨痛12年,加重两个月。按常见病优先考虑的原则应将骨代谢疾病放在首位。因此,问...
-
不断静脉补钠却仍难以纠正低钠 病因何在?
环球医学资讯
2017年03月08日
点击量:1208
1小时条评论主诉 怕冷伴间断恶心,呕吐1年半,加重伴乏力20天。 现病史 患者缘于1年半前无明显诱因出现怕冷,伴有纳差、恶心,呕吐,呕吐物为胃内容物,非喷射性,曾就诊于当地医院,查血钠低于正常(具体数值不详),做胃镜提示慢性浅表性胃炎。经静脉补钠治疗部分症状缓解,...
-
人工流产后伴上腹饱胀感及手足麻木,并出现双下肢水…
环球医学资讯
2017年03月08日
点击量:314
1小时条评论主诉 人工流产后颜面水肿2年,体重增加1个月。 现病史 患者于2年前人工流产后出现颜面发红、肿胀,伴双手肿胀、体重增加,伴头痛,当时测血压为150/100 mmHg,无恶心、呕吐,无心悸、颜面部发热感。间断服用螺内酯,诉用药后颜面及双手肿胀情况好转。流产后出现月...
-
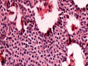
胰腺CT未见明显异常 能否除外胰岛素瘤?
环球医学资讯
2017年03月02日
点击量:320
1小时条评论主诉 间断发作性意识不清8年,频繁发作1年。 第1次入院情况 患者主因间断性意识不清8年,频繁发作1个月第1次入院。入院后查体:T 36﹒5℃,P 74次/分,R 18次/分,BP 150/80mmHg。超力体型,神清语利,肺、心、腹查体未见异常,双侧胫前指凹性水肿。发作时血糖 1...
-
双下肢无力而跌倒 病因是……
环球医学资讯
2017年03月02日
点击量:246
1小时条评论主诉 头晕、乏力7年,加重5天。 现病史 患者于7年前无明显诱因出现头晕、乏力,无恶心、呕吐,无视物旋转,无肢体活动障碍及言语不利,就诊当地医院,测血压180/100mmHg,给予卡托普利1次25mg,1日3次;硝苯地平片1次10mg,1日3次;酒石酸美托洛尔1次25mg,1日3次...
-
乏力、多汗、体重下降、胸闷、心悸,心血管疾病?
环球医学资讯
2017年02月24日
点击量:608
1小时条评论主诉 乏力、多汗、体重下降1个月,胸闷、心悸半个月。 现病史 患者于1个月前无明显诱因出现乏力、怕热,多汗伴体重下降,1个月内体重下降3kg,大便2次/日,为稀糊状,不伴腹痛。近半个月出现了胸闷、气短,劳累后明显,无发作性心前区疼痛,无夜间阵发作性呼吸困难...










会员登录

