-
允许药师独立更新处方对医生出诊有何影响?
环球医学资讯
2015年08月20日
点击量:210
1小时条评论比起医生,药师可能是更了解药物的人。2015年7月,发表在《J Am Pharm Assoc (2003)》的研究旨在评估2009年加拿大不列颠哥伦比亚省的一项允许药师独立更新某些慢性病处方药物的政策变化所产生的影响。结果显示,...
-
氰化物应急处理指南
环球医学资讯
2015年08月18日
点击量:473
1小时条评论nbsp; nbsp; 氰化物是指含有氰根(-CN)的化合物。氰化物在工业活动或生活中的种类甚多,如氢氰酸、氰化钠、氰化钾、氰化锌、乙腈、丙烯腈等,一些天然植物果实中(像苦杏仁、白果)也含有氰化物。氰化物的用途很广泛...
-
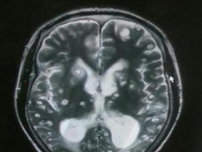
脑囊虫病诊断:钆双胺-MRI脑室造影能提高诊断准确性
环球医学资讯
2015年08月14日
点击量:263
1小时条评论脑囊虫病是由寄生虫(猪绦虫为主)所传染的一种顽固性颅脑内疾病。2015年7月,发表在《Trop Med Int Health.》一项研究目的是评估钆双胺(GDD)-MRI脑室造影在鉴定脑囊虫病病例中的诊断价值。结果表明,钆双胺-MR...
-
使用左旋多巴治疗患者的医生对药物警戒系统的响应情况
环球医学资讯
2015年08月03日
点击量:219
1小时条评论2015年6月,发表在《Neurology》的一项研究表明,虽然能够成功确定多巴胺需求疾病患者处方多巴胺拮抗剂的情况,警告系统也能适度影响医生的处方行为,仍需要加强医务人员的教育。因为在对237条医嘱的审核中,尽管...
-
静脉血液滤过危重患者哌拉西林药代动力学:持续输注…
环球医学资讯
2015年07月31日
点击量:191
1小时条评论2015年7月,发表在《International Journal of Antimicrobial Agents》的一篇文章旨在研究接受持续静脉血液滤过(CVVH)的危重患者持续输注(CI)与间断推注(IB)哌拉西林的药代动力学,并比较了两种给药方案的...
-
危重患者中给予标准剂量的阿米卡星和庆大霉素是否足…
环球医学资讯
2015年07月31日
点击量:203
1小时条评论2015年7月,发表在《International Journal of Antimicrobial Agents》的一篇文章研究了阿米卡星和庆大霉素首次给药后出现低血浆峰浓度的ICU患者所占的比例。结果显示,给予标准剂量的阿米卡星或庆大霉素,只有19...
-
医学助理的健康指导能否改善慢病控制?
环球医学资讯
2015年07月20日
点击量:284
1小时条评论在初级保健中,如果医学助理的健康指导有效性已经证实,对于提供自我管理支持的医学助理的健康指导可能是财政上可行的模型。2015年3月,发表在《Ann Fam Med》的一项研究也表明,医学助理的健康指导或能改善慢病...
-
药师介导的药品不良反应报告的预测因素
环球医学资讯
2015年07月20日
点击量:260
1小时条评论药品是一把双刃剑,它既是人们防病治病、调节生理功能、提高健康水平的基本要素之一,又对机体有着不同程度的毒副反应,兼具有效和风险的双重性。因此对药品不良反应监测显得尤为重要。而医院药师对药品不良反应...
-
CALD群体:患者理解能力和药物最佳使用具有显著障碍
环球医学资讯
2015年07月20日
点击量:346
1小时条评论较低的健康素养能导致患者健康结局的不同,对于多种族人口的国家来说,这是需要面对的一个问题。2015年发表在《Res Social Adm Pharm》的一项研究表明,在有文化和语言差异(CALD)的群体中,患者理解能力和药物...
-
药品上市后安全性监测的异同:OMOP vs 哨点计划
环球医学资讯
2015年07月09日
点击量:2225
1小时条评论药品上市后需要安全性监测。2015年6月,《Drug Safety》发表了一项对比研究,分析哨点计划与OMOP的不同。结果表明,OMOP与哨点计划不同。在数据模型水平两种CDMs的分析表明,此类概念上的差别对识别已知的安全性...










会员登录


网友评论
Yvette05-22
脱发一直是很多人的困扰,希望能广泛应用。
Ada305-22
补碘知识非常全面,获益匪浅。
penelope05-22
“盐重”问题确实需要重视