-
研究显示:换用第二种TNF抑制剂或会升高IBD患者免疫…
环球医学资讯
2026年01月08日
点击量:64
1小时条评论在使用肿瘤坏死因子抑制剂(tumor-necrosis-factor inhibitor,TNFi)治疗炎症性肠病(inflammatory bowel disease,IBD)的过程中,患者可能会患上免疫介导的炎症性疾病(immune-mediated inflammatory diseases...
-
胡品津教授:慢性腹泻的诊断步骤和诊断思路
环球医学资讯
2025年12月29日
点击量:194
1小时条评论临床上如果腹泻持续或反复超过4周可称为慢性腹泻,如超过6~8周则更肯定属于慢性腹泻。引起慢性腹泻的病因很多,最常见的是消化系统疾病,特别是肠道本身的疾病,但全身性疾病也可以引起慢性腹泻。病因可为器质性...
-
一例GIST辅助治疗期间发生疾病进展病例诊治经验分享
环球医学资讯
2025年12月28日
点击量:87
1小时条评论原发性胃肠间质瘤(gastrointestinal stromal tumor,GIST)经过外科根治性切除术后,病理学根据原发肿瘤大小、核分裂象多少、原发部位以及术前/术中有无破裂等因素,依据相应的标准进行术后复发风险的评估。《中...
-
一上午11人确诊食管癌晚期 医生提醒
环球医学资讯
2025年12月22日
点击量:49
1小时条评论近日,河南郑州一肿瘤医院内,内镜医生一上午检查的11位患者全部确诊为晚期食管癌。此新闻引发广泛关注。 该医院内窥镜诊疗中心副主任医师魏安伟介绍,这11个人患晚期食管癌,意味着7~8人可能活不过5年,非常痛...
-
许文萍、陈岳祥:胆石症的临床症状和治疗
环球医学资讯
2025年12月19日
点击量:103
1小时条评论胆石症(cholelithiasis)是指发生于胆道系统内的结石。根据结石发生的位置胆石症可分为胆囊结石和胆管结石,包括肝内胆管结石、总肝管结石和胆总管结石等,临床以胆囊结石和胆总管结石较为多见。根据结石的主要...
-
女子腹痛一个月竟因误吞牙签 看医生如何化解危机
环球医学资讯
2025年12月19日
点击量:53
1小时条评论近日,63岁的王女士(化名)回想此前经历,仍心有余悸。本以为是吃坏了肚子,没想到罪魁祸首竟是根牙签,我自己都不知道啥时候吞进去的,想想都后怕!所幸,经过浙中医大二院(省新华医院)医生团队及时诊疗,最...
-
假牙“溜”进十二指肠 医生提醒
环球医学资讯
2025年12月10日
点击量:45
1小时条评论56岁的张女士(化名)做梦也不会想到,自己不慎吞入假牙。怎么办? 这颗假牙外形比较特殊,有四枚锋利的金属爪。张女士立即前往当地医院检查,经过检查发现假牙已通过胃部进入肠道,且已进入十二指肠。 由于假...
-
陈旻湖教授:急性上消化道出血的诊断
环球医学资讯
2025年11月17日
点击量:189
1小时条评论急性上消化道出血是指食管、胃、十二指肠、胃空肠吻合术后的空肠以及胰腺、胆道的急性出血,是常见的急症。迅速确定出血部位、病因并及时处理,对改善预后有重要的意义。 一、如何确定急性上消化道出血 急性上...
-
一例病情复杂的胃肠间质瘤的诊治经验分享
环球医学资讯
2025年11月14日
点击量:105
1小时条评论外科手术是可切除胃肠间质瘤(gastrointestinalnbsp;stromalnbsp;tumor,GIST)的首选治疗方法,但对于中高危患者而言,单纯手术往往难以实现长期生存。随着c-KIT/PDGFRAnbsp;基因功能性突变的发现,胃肠间质瘤的...
-
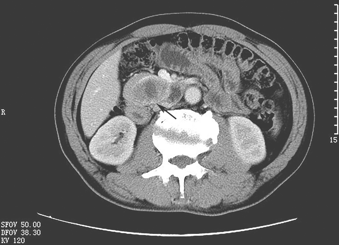
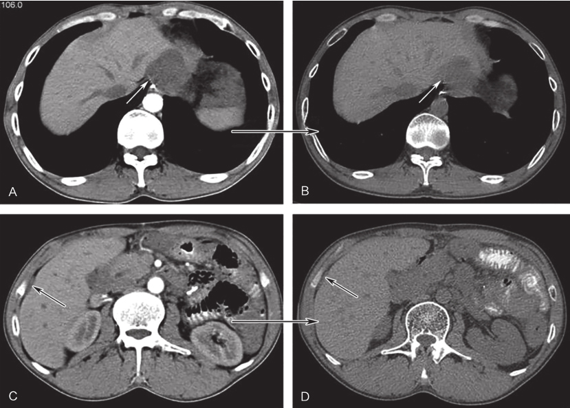
钟碧慧、陈旻湖:肝大的诊断步骤和常见原因
环球医学资讯
2025年11月12日
点击量:114
1小时条评论肝大从形态上可分为弥漫性肿大和局部占位两大类。病因繁多,临床诊断时可先初步区分为感染性与非感染性疾病。根据突出的伴随症状或体征选择合理的实验室检查和影像学检查,逐步缩小鉴别范围,必要时行组织学检查...










会员登录


网友评论
Yvette05-22
脱发一直是很多人的困扰,希望能广泛应用。
Ada305-22
补碘知识非常全面,获益匪浅。
penelope05-22
“盐重”问题确实需要重视