右侧口角及右手麻木大意不得 有可能是这种病找上门
44岁男性于半个月前无明显诱因出现右侧口角及右手麻木,深浅感觉检查未见异常,最后经影像学检查发现竟是……
【病例介绍】
患者男,44岁,于半个月前无明显诱因出现右侧口角及右手麻木,无恶心呕吐,无视物模糊,无视野变窄,无头晕及抽搐,无明显体重变化,饮食正常规律,二便正常,睡眠良好。查体面纹对称,鼓腮、露齿面纹亦对称,无张口受限,伸舌居中。深浅感觉检查未见异常。角膜反射(++),膝反射、肱二头肌及肱三头肌反射(++),双巴宾斯基征(-)。
【诊断】
垂体肿瘤

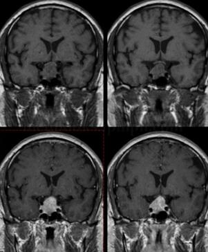
图1 垂体体积增大,大小约2.7cm×2.1cm,并向鞍上生长,垂体柄及视交叉受压移位,第三脑室受压。增强扫描示垂体不均匀强化,内可见低信号区。病变向两侧生长累及海绵窦

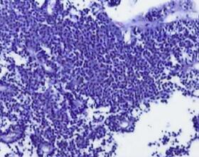
图2 瘤细胞小圆形,胞浆粉染,排列密集
一、概述
垂体腺瘤约占原发脑肿瘤的10%,最常见的鞍内或鞍区肿块,约占30%~50%。成人多见,儿童仅占10%。
【类型】
根据有无分泌功能分为功能性腺瘤和无功能性腺瘤,功能性腺瘤可分泌催乳素、生长激素、促肾上腺皮质激素、促甲状腺激素、卵泡雌激素和黄体生成素等,以前三者相对较多,而又以催乳素瘤最多见,约占全部垂体腺瘤的30%。男性催乳素瘤占垂体催乳素瘤的10%~27.8%。男女发病率比较:泌乳素腺瘤为1∶4~1∶5、生长激素腺瘤为2∶1、皮质激素腺瘤好发于成年女性。微腺瘤直径<10mm,通常位于腺体远部。腺瘤起自鞍内,可向上→鞍上池、向两侧→海绵窦、向下→蝶窦,前后→前、后颅窝生长。如有外周侵犯或斜坡占位表现时,须考虑侵袭性垂体瘤的可能。侵袭性垂体瘤对于周围结构的侵犯可能与肿瘤大小相关,肿瘤有出血和坏死都可能提示侵袭性垂体瘤。
【临床表现】
临床症状主要包括:
(1)视力减退:多由大腺瘤引起,为常见就诊原因,成因为腺瘤向鞍上生长压迫视交叉,可表现为单眼、双眼视力下降或视野缺失。
(2)性功能障碍:可表现为性欲低下、不育等,常见且多为首发症状,利于早期发现腺瘤。
(3)头痛:主要与腺瘤的大小及是否合并卒中等相关。
【治疗】
随着显微神经外科技术的提高以及神经影像诊断技术的发展,经蝶窦入路手术切除垂体瘤已广泛应用于临床。侵袭性垂体瘤为介于良、恶性之间的交界性肿瘤,常比一般垂体瘤具有更多的其他生物学行为(如出血、坏死),手术难以彻底切除以及术后易复发。此外,由于其坚硬的质地,常常不能通过内镜技术成功地切除,而需要借助更深入的经蝶窦入路手术,并且如果鞍旁有明显侵犯,即使采用经蝶骨手术也不能完全切除,尚需经颅入路手术及辅助性治疗(放疗或药物)。
二、影像学表现
1.鞍内轮廓规整的实性肿块,穿过鞍膈进入鞍上池,呈“倒雪人”征或“8”字形;
2.鞍上池闭塞、视交叉抬高、累及第三脑室下部;
3.肿块挤压或侵入海绵窦,包绕颈内动脉;
4.肿瘤卒中(出血、缺血坏死)常见,短时间突然增大为其特点;
5.钙化罕见;
6.蝶鞍(气球样)扩大,常致鞍背、后床突及枕骨斜坡骨质破坏、鞍底下陷。
CT多数腺瘤为均匀略高或等密度,少数为不均匀低、等混合密度或低密度。MRI为灰质信号(典型),或为混杂信号。增强扫描明显均一强化,卒中部分无强化。
微腺瘤与腺体组织比较,T1WI呈等/略低信号(80%~90%),T2WI为等/高信号(30%~50%)。增强扫描2/3腺体先于腺瘤强化,余者腺瘤首先强化,时间-密度曲线为动脉供血型。
(环球医学编辑:余霞霞)
来源:《疑难病例影像诊断评述》
作者:郭启勇 卢再鸣
页码:1-3
出版:人民卫生出版社
- 评价此内容
- 我要打分
近期推荐
热门关键词
最新会议
- 2013循证医学和实效研究方法学研讨会
- 欧洲心脏病学会年会
- 世界帕金森病和相关疾病2013年会议
- 英国介入放射学学会2013年第25届年会
- 美国血液学会2013年年会
- 美国癫痫学会2013年第67届年会
- 肥胖学会 2013年年会
- 2013年第9届欧洲抗体会议
- 国际精神病学协会 2013年会议
- 妇科肿瘤2013年第18届大会
- 国际创伤压力研究学会2013年第29届…
- 2013年第4届亚太地区骨质疏松症会议
- 皮肤病协会国际2013年会议
- 世界糖尿病2013年大会
- 2013年国际成瘾性药年会
- 彭晓霞---诊断试验的Meta分析
- 武姗姗---累积Meta分析和TSA分析
- 孙凤---Network Meta分析
- 杨智荣---Cochrane综述实战经验分享
- 杨祖耀---疾病频率资料的Meta分析
合作伙伴
Copyright g-medon.com All Rights Reserved 环球医学资讯 未经授权请勿转载!
网络实名:环球医学:京ICP备08004413号-2
关于我们|
我们的服务|版权及责任声明|联系我们
互联网药品信息服务资格证书(京)-经营性-2017-0027
互联网医疗保健信息服务复核同意书 京卫计网审[2015]第0344号




会员登录

