中年男性右侧手指麻木反复无常 罪魁祸首是…
41岁男性,10余天前无明显诱因出现右侧手指麻木,次日后自行恢复正常。4天前再次出现该症状,随后又恢复正常。手指麻木的背后,是何病作祟?
【病例介绍】
患者男,41岁,10余天前无明显诱因出现右侧手指麻木,持物不能,一天后自行恢复正常,4天前再次出现该症状,一天后再次恢复正常。病来体温不高,无恶心呕吐,无肢体活动障碍,无视力、听力障碍。
【诊断】
星形细胞瘤(Ⅲ级)
一、概述
星形细胞肿瘤,占神经胶质瘤的70%~75%,占原发颅内肿瘤的35%~40%。
【Kernohan分类】
Ⅰ级:特殊的局限肿瘤,多为真正良性肿瘤。
(1)毛细胞型星形细胞瘤:下丘脑-视交叉(50%)、小脑半球及蚓部(33%)、第四脑室,大脑半球少见,儿童及青少年多见。
(2)室管膜下巨细胞星形细胞瘤
Ⅱ级:低等级星形细胞瘤,约占10%~15%,“良性”或“分化较好”肿瘤,位于脑白质。20~40岁成人发病居多。
Ⅲ级:间变性星形细胞瘤,约占33%,位于脑白质,小脑罕见,发病年龄35~45岁。
Ⅳ级:多形性胶质母细胞瘤(GBM),约占50%,位于幕上大脑半球,后颅窝罕见。50~70岁中、老年人发病居多。成人75.5%发生在幕上,额、颞叶多见。GBM多位于深部白质区、基底节,可沿胼胝体侵及对侧呈蝶翼状生长。儿童71.4%见于幕下、小脑。发病年龄预示组织学表现,病人越年长,肿瘤恶性程度越高、预后愈差。
【治疗】
手术切除是肿瘤的首选治疗方法,肿瘤切除的程度与术后预后有明显关系。目前认为以切除外生性生长的肿瘤部分为主要手术目的,对于脑深部的肿瘤不应勉强切除。术中电生理监测有助于保留脑内重要结构。经多次手术切除的复发胶质瘤患者,肿瘤性质比前一次的恶性程度增加。
二、影像学表现
(一)毛细胞型星形细胞瘤
局限、圆或椭圆形,边界清楚、轮廓规整,常有囊变(小脑),大囊伴壁结节(瘤体),可为实性(视交叉、脑干),可有钙化(10%),瘤周水肿轻或无,占位效应因部位而异。低、等或稍高、混合密度,各占1/3。增强扫描均匀或不均匀强化,囊性变无强化,环状和(或)壁结节强化。
(二)低等级星形细胞瘤
局限、圆或椭圆形,边界(或部分)清楚,囊变、坏死、出血少见,可有钙化(15%~20%)。瘤周水肿轻或无,少数中等程度水肿。占位效应多较轻。增强检查大多数肿瘤无或轻度强化,少数中等程度强化。

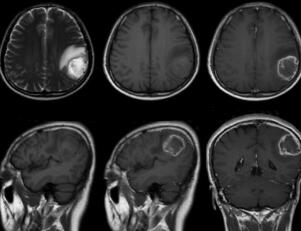
图1左顶叶见类圆形占位,整体呈等T1、长T2信号,其内混杂少许稍短T1短T2信号,病变周围包绕水肿信号带。增强扫描病变呈花环状强化,可见壁结节,病变大小约39mm×31mm×29mm

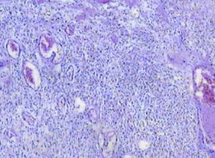
图2瘤细胞梭形或多角形,排列呈片状,血管丰富,见坏死
(三)间变性星形细胞瘤、多形性胶质母细胞瘤
肿瘤边界不清楚,可呈弥漫性浸润生长,病变呈明显不均质状,瘤体内囊变、坏死、出血常见,钙化少见。前者多数呈低、等、混合密度,少数为等或低密度;后者多呈低或等密度为主的低、等混合密度。占位效应明显,瘤周可有明显血管源性水肿。可沿白质通道扩散,或沿室管膜、软脑膜和脑脊液种植转移。发生于胼胝体附近的肿瘤常累及中线两侧呈蝶翼状生长,尤多见于GBM。增强扫描多呈不规则环状(花环状)强化,少数为结节状、斑片状或环伴结节状强化。
(环球医学编辑:余霞霞)
来源:《疑难病例影像诊断评述》
作者:郭启勇 卢再鸣
页码:3-4
出版:人民卫生出版社
- 评价此内容
- 我要打分
近期推荐
热门关键词
最新会议
- 2013循证医学和实效研究方法学研讨会
- 欧洲心脏病学会年会
- 世界帕金森病和相关疾病2013年会议
- 英国介入放射学学会2013年第25届年会
- 美国血液学会2013年年会
- 美国癫痫学会2013年第67届年会
- 肥胖学会 2013年年会
- 2013年第9届欧洲抗体会议
- 国际精神病学协会 2013年会议
- 妇科肿瘤2013年第18届大会
- 国际创伤压力研究学会2013年第29届…
- 2013年第4届亚太地区骨质疏松症会议
- 皮肤病协会国际2013年会议
- 世界糖尿病2013年大会
- 2013年国际成瘾性药年会
- 彭晓霞---诊断试验的Meta分析
- 武姗姗---累积Meta分析和TSA分析
- 孙凤---Network Meta分析
- 杨智荣---Cochrane综述实战经验分享
- 杨祖耀---疾病频率资料的Meta分析
合作伙伴
Copyright g-medon.com All Rights Reserved 环球医学资讯 未经授权请勿转载!
网络实名:环球医学:京ICP备08004413号-2
关于我们|
我们的服务|版权及责任声明|联系我们
互联网药品信息服务资格证书(京)-经营性-2017-0027
互联网医疗保健信息服务复核同意书 京卫计网审[2015]第0344号




会员登录

