反复头晕或许不是高血压惹的祸 有可能是肿瘤作祟
55岁女性,高血压病史十余年,约半年前呈现间断性头晕,时而加重,持续半小时后可自行逐渐缓解,于生气、便秘时可出现发作性头痛,持续约2~3天后缓解。即便上述症状有进行性加重趋势,患者仍未重视,直到症状明显加重。入院后,经影像学检查,发现该患者竟是……
女,55岁,慢性起病,患者约半年前呈现间断性头晕,时而加重,持续半小时后可自行逐渐缓解,于生气、便秘时可出现发作性头痛,持续约2~3天后缓解。上述症状呈进行性加重趋势,未给予治疗。一个月来,患者症状明显加重。无肢体活动障碍,无肢体抽搐,无恶心、呕吐。既往高血压病史十余年,血压最高可达180/110mm Hg。否认冠心病、糖尿病、肝炎、结核等传染病史。神志清楚,问答流利,头部活动剧烈时头晕加重,双侧瞳孔等大正圆,对光反射灵敏,眼球向各方向活动充分,无张口受限,面纹对称,伸舌居中,四肢活动自如,肌力及肌张力正常,生理反射正常,病理反射未引出。

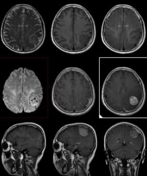
图1 左侧顶叶颅板下方见一较大类圆形占位,与硬脑膜相连,大小约3.0cm×2.8cm,呈稍长T1,稍长T2信号,其内信号不均匀,见较多点状长T1、短T2信号影。增强扫描病变不均匀明显强化,邻近脑实质呈受压改变
【诊断】
脑膜瘤(纤维型)

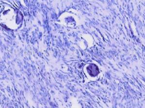
图2 瘤细胞梭形,编织状排列,见砂粒体
一、概述
脑膜瘤是第二位最常见的颅内原发肿瘤,居星形细胞肿瘤之后,占颅内肿瘤的5%~20%,最常见的非神经胶质类肿瘤和颅内轴外肿瘤,很可能合并多发性神经纤维瘤NF-2,或为多中心肿瘤。发病高峰年龄为40~60岁,女性多见,儿童少见。多位于镰旁、大脑凸面、蝶骨嵴、嗅沟、鞍旁、海绵窦、后颅窝、桥小脑角(CPA)池、斜坡。脑室内、松果体区及视神经鞘少见。
【病理】
病理巨检多为球形或分叶状,少数为扁平形或盘状(扁平型脑膜瘤),并可沿硬膜蔓延。包膜完整、分界清楚者多为良性,否则提示非典型性和间变(恶)性脑膜瘤。血供丰富,邻近骨质增生和(或)破坏,并可侵入颅外组织。
【WHO分类】
脑膜瘤(良性)、非典型性脑膜瘤、乳头状脑膜瘤、间变(恶)性脑膜瘤
【治疗】
手术是治疗脑膜瘤最好的手段,近来随着显微外科技术的广泛应用和显微外科解剖的进一步认知,不仅使肿瘤得到最大限度的切除,且能够更好地保护瘤周神经、血管及重要功能区,使手术创伤减少到最低限度。争取全部切除肿瘤是预防脑膜瘤术后复发的有效措施,包括受侵犯的硬膜、静脉窦壁及颅骨。对于未达到全部切除的患者,术后可辅以放疗,以降低术后复发风险。
二、影像学表现
(一)脑膜瘤(良性、88%~95%)
轴外肿块,多为均质性,可有坏死、囊变和钙化,易引起邻近骨质增生或受压变薄膨隆,病灶周围不同程度水肿(压迫引流静脉)。CT显示肿瘤界限清楚,大多数脑膜瘤实质部分为高、略高或等密度。MRI上与灰质相比,典型者各序列均为等信号,或呈T1略低、T2略高或高信号;约10%肿瘤信号变化不定。可见血管流空信号。增强扫描肿瘤实质部分明显、均匀强化。
(二)非典型性脑膜瘤、间变(恶)性脑膜瘤
可具有良性脑膜瘤CT/MRI表现,肿瘤边界不清、形态多不规则,如轮廓呈分叶状、结节状或锯齿状,肿瘤坏死、囊变较常见,恶性者出血可见,钙化极少见。肿瘤邻近骨质增生和(或)破坏,甚者扩展至颅外组织,病灶周围可有中、重度水肿围绕。肿瘤密度、信号不均匀更为常见,CT显示略低或等密度,少数为低、等混合密度。MRI扫描T1WI呈等或低信号,少数为低、等或等、高混杂信号,T2WI则为等或高信号。增强扫描多呈斑片状不均匀明显强化,邻近脑膜强化呈粗短不规则形,“脑膜尾”征。
(环球医学编辑:余霞霞)
来源:《疑难病例影像诊断评述》
作者:郭启勇 卢再鸣
页码:4-6
出版:人民卫生出版社
- 评价此内容
- 我要打分
近期推荐
热门关键词
最新会议
- 2013循证医学和实效研究方法学研讨会
- 欧洲心脏病学会年会
- 世界帕金森病和相关疾病2013年会议
- 英国介入放射学学会2013年第25届年会
- 美国血液学会2013年年会
- 美国癫痫学会2013年第67届年会
- 肥胖学会 2013年年会
- 2013年第9届欧洲抗体会议
- 国际精神病学协会 2013年会议
- 妇科肿瘤2013年第18届大会
- 国际创伤压力研究学会2013年第29届…
- 2013年第4届亚太地区骨质疏松症会议
- 皮肤病协会国际2013年会议
- 世界糖尿病2013年大会
- 2013年国际成瘾性药年会
- 彭晓霞---诊断试验的Meta分析
- 武姗姗---累积Meta分析和TSA分析
- 孙凤---Network Meta分析
- 杨智荣---Cochrane综述实战经验分享
- 杨祖耀---疾病频率资料的Meta分析
合作伙伴
Copyright g-medon.com All Rights Reserved 环球医学资讯 未经授权请勿转载!
网络实名:环球医学:京ICP备08004413号-2
关于我们|
我们的服务|版权及责任声明|联系我们
互联网药品信息服务资格证书(京)-经营性-2017-0027
互联网医疗保健信息服务复核同意书 京卫计网审[2015]第0344号




会员登录

