27岁男性间断性右耳鸣、头痛 最有可能是…
27岁男性,一个月前发现间断性右耳鸣,偶有间断性右侧头痛、头晕。该患者有可能患有……
【病例介绍】
男,27岁,一个月前发现间断性右耳鸣,每天约10次左右,每次持续约1分钟左右,眼前一过性黑矇,每次持续4~5秒,每日约10次左右,偶有间断性右侧头痛、头晕。患者病来无发热、无抽搐、无明显听力下降,饮食正常,睡眠良好,二便正常。双侧瞳孔等大正圆,对光反射灵敏,眼球向各方向活动自如,眼位居中,右侧慢相眼震阳性。面纹对称,鼓腮、露齿面纹对称,无张口受限。深浅感觉检查未见明显异常。右侧膝跳反射(+)、踝阵挛(+),右侧巴宾斯基征(+);左侧正常。

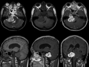
图1 右侧桥小脑角区见一分叶状占位性病变,大小约3.4cm×3.2cm,以等T1等T2为主的混杂信号。增强扫描呈明显不均匀强化,小脑、第四脑室受压,双侧侧脑室、第三脑室增宽
【诊断】
听神经鞘瘤

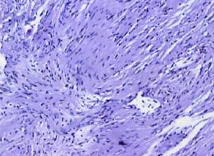
图2 瘤细胞梭形,编织状排列,部分细胞核大,排列密集,局灶见出血变性
一、概述
神经鞘瘤为轴外肿瘤,占原发颅内肿瘤的6%~8%,占桥小脑角区肿瘤的75%~80%。遗传性神经鞘瘤(5%)合并多发性神经瘤NF-2,双侧听神经鞘瘤的病理特征是NF-2,95%单发,多发肿瘤很可能见于NF-2。巨检为圆形或分叶状有包膜肿块、界清,常伴有各种退变(脂肪变性、坏死、囊变、出血),很少发生钙化。成人发病高峰年龄为40~60岁,较年轻者合并NF-2。儿童罕见,约占儿童期颅内肿瘤的0.1%。女、男比例为2∶1。
【治疗】
听神经瘤在桥小脑角肿瘤中最为常见,其生长缓慢,具有隐匿性,故患者就诊时多数肿瘤体积较大,手术存在一定风险,术后易产生神经的功能障碍。采用显微外科技术手术切除听神经鞘瘤是临床治疗的主要手段,正确认识听神经鞘瘤显微解剖和毗邻组织结构的解剖关系,熟练掌握显微手术技巧,有助于术中肿瘤全切和对听神经功能的保护。术中行面神经电生理监测则对保护面神经功能有重要意义。显微神经外科治疗目的不仅仅是切除肿瘤延长患者生命,更重要的是提高患者的生存质量,故能够保留面神经及耳蜗神经的功能是最为理想的手术效果。
二、影像学表现
(一)听神经鞘瘤
肿瘤以内听道口为中心生长,紧贴岩骨,多数以锐角相交,可为均质实性肿块,边界清楚。肿瘤经常伴有坏死、囊变、出血。微小听神经鞘瘤多指瘤体直径<1.0cm,位于内听道内,后者无或仅轻微扩大。
CT多数为略低或等密度,少数呈低或略高密度,骨性内听道扩大。MRI典型者T1为略低、等信号,T2为高信号,均匀一致者常为实性肿瘤,内听道段听神经明显增粗。CT/MRI增强扫描示病变实性部分明显强化。
(二)三叉神经鞘瘤
起自后颅窝三叉神经根,可位于中颅窝颞叶底部三叉神经半月节,或呈哑铃状骑跨于中、后颅窝之间,以青壮年发病居多。CT岩骨尖骨质破坏具有诊断意义,余同听神经鞘瘤。
(环球医学编辑:余霞霞)
来源:《疑难病例影像诊断评述》
作者:郭启勇 卢再鸣
页码:6-8
出版:人民卫生出版社
- 评价此内容
- 我要打分
近期推荐
热门关键词
最新会议
- 2013循证医学和实效研究方法学研讨会
- 欧洲心脏病学会年会
- 世界帕金森病和相关疾病2013年会议
- 英国介入放射学学会2013年第25届年会
- 美国血液学会2013年年会
- 美国癫痫学会2013年第67届年会
- 肥胖学会 2013年年会
- 2013年第9届欧洲抗体会议
- 国际精神病学协会 2013年会议
- 妇科肿瘤2013年第18届大会
- 国际创伤压力研究学会2013年第29届…
- 2013年第4届亚太地区骨质疏松症会议
- 皮肤病协会国际2013年会议
- 世界糖尿病2013年大会
- 2013年国际成瘾性药年会
- 彭晓霞---诊断试验的Meta分析
- 武姗姗---累积Meta分析和TSA分析
- 孙凤---Network Meta分析
- 杨智荣---Cochrane综述实战经验分享
- 杨祖耀---疾病频率资料的Meta分析
合作伙伴
Copyright g-medon.com All Rights Reserved 环球医学资讯 未经授权请勿转载!
网络实名:环球医学:京ICP备08004413号-2
关于我们|
我们的服务|版权及责任声明|联系我们
互联网药品信息服务资格证书(京)-经营性-2017-0027
互联网医疗保健信息服务复核同意书 京卫计网审[2015]第0344号




会员登录

