小男孩持续头痛别轻视 可能是肿瘤来敲门
5岁男孩,一天前无明显诱因额部持续胀痛,当时没有给予治疗。次日头痛症状仍然没有缓解,且进食后呕吐,精神状态差。入院后,经查体发现问题不简单……
【病例介绍】
男,5岁,一天前无明显诱因出现头痛,为额部持续胀痛,当时未予特殊治疗。今日仍有头痛症状,进食后呕吐,精神状态差(图1)。


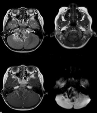
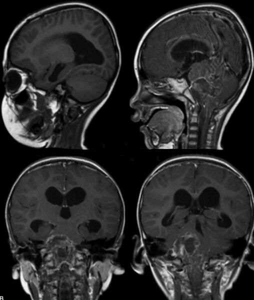
图1 右侧桥小脑区可见类圆形肿块影,以稍长T1稍长T2信号为主,中心可见条状短T1信号影。病灶边界不清,形态不整,第四脑室明显变窄。病变向上生长达脑干,向下生长达延髓。增强扫描病变明显不均匀强化。右侧听神经显示欠佳。幕上脑室普遍增宽,中线结构居中
【诊断】
室管膜母细胞瘤(图2)

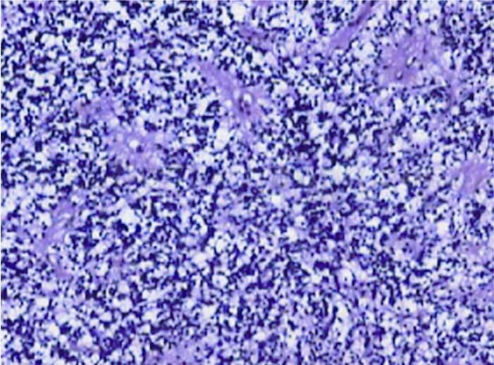
图2 瘤细胞小、一致,弥漫排列,局部见菊形团排列,见坏死。免疫组化:GFAP(+),Syn(-),NSE(-),EMA(-)
一、概述
室管膜瘤占颅内肿瘤的3%~5%,占儿童脑内肿瘤8%~10%。WHO分级为Ⅱ级。儿童、青少年多见,50%<5岁;次为30~40岁。60%起于幕下,90%位于第四脑室,儿童最多见。40%见于幕上,75%位于侧脑室三角区。10%跨脑室内、外生长(颞顶枕交界区)。15%居第三脑室。肿瘤具有可塑性,经第四脑室内侧孔(magendie foramen)进入枕大池;经第四脑室外侧孔(luschka foramen)进入桥小脑角(CPA)池;经枕大孔进入颈部椎管。
【治疗】
手术切除是治疗第四脑室室管膜瘤的主要方法,传统的手术方式主要是切开小脑蚓部进入第四脑室,小脑蚓部损失常导致小脑缄默综合征,行为异常和咽部肌肉失用等并发症。近年开展经小脑延髓裂入路切除第四脑室肿瘤,取得较好的效果。
二、影像学表现
1.位于幕下第四脑室内者,形态不整,常为略高密度或等密度。
2.常有散在、斑点状钙化,可见小囊变区。
3.肿瘤具有可塑性。
4.位于幕上(脑室内、脑室周围)者,脑实质内肿瘤钙化少见,多有囊变,常伴轻度水肿,很难与星形细胞瘤鉴别。
5.增强扫描轻度、中等程度强化,常为不均质强化。
(环球医学编辑:余霞霞)
来源:《疑难病例影像诊断评述》
作者:郭启勇 卢再鸣
页码:8-10
出版:人民卫生出版社
- 评价此内容
- 我要打分
近期推荐
热门关键词
最新会议
- 2013循证医学和实效研究方法学研讨会
- 欧洲心脏病学会年会
- 世界帕金森病和相关疾病2013年会议
- 英国介入放射学学会2013年第25届年会
- 美国血液学会2013年年会
- 美国癫痫学会2013年第67届年会
- 肥胖学会 2013年年会
- 2013年第9届欧洲抗体会议
- 国际精神病学协会 2013年会议
- 妇科肿瘤2013年第18届大会
- 国际创伤压力研究学会2013年第29届…
- 2013年第4届亚太地区骨质疏松症会议
- 皮肤病协会国际2013年会议
- 世界糖尿病2013年大会
- 2013年国际成瘾性药年会
- 彭晓霞---诊断试验的Meta分析
- 武姗姗---累积Meta分析和TSA分析
- 孙凤---Network Meta分析
- 杨智荣---Cochrane综述实战经验分享
- 杨祖耀---疾病频率资料的Meta分析
合作伙伴
Copyright g-medon.com All Rights Reserved 环球医学资讯 未经授权请勿转载!
网络实名:环球医学:京ICP备08004413号-2
关于我们|
我们的服务|版权及责任声明|联系我们
互联网药品信息服务资格证书(京)-经营性-2017-0027
互联网医疗保健信息服务复核同意书 京卫计网审[2015]第0344号




会员登录

