43岁男子颅内病变 弥散加权成像揭开谜底
43岁男性患者,外院检查提示颅内病变,但性质还需待查。经进一步的检查,该患者患有……
【病例介绍】
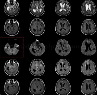
患者男,43岁,外院检查示颅内病变性质待查(图1)。


图1 脑底池结构显示不清,双侧颞叶脑回皮质增厚并呈长T2信号,脑沟增宽。左侧基底节区见斑点状长T1、长T2信号影。弥散加权左侧颞极见斑片状高信号。幕上脑室扩大,尤以右侧为著。中线结构居中。增强:室管膜、中线处脑膜、左侧外侧窝池多发结节样强化影
【诊断】
结核性脑膜脑炎
一、概述
颅内结核性感染多见于儿童和青年,继发于肺或其他部位器官结核,血行播散至颅内发病。病变类型分:结核性脑膜炎,常与结核性脑炎并存(称结核性脑膜脑炎),孤立存在者罕见,包括结核性脑脓肿和结核球。
【病理】
结核杆菌感染中枢神经系统,可引起一种肉芽肿性炎症反应,侵及脑膜和(或)脑实质,结核杆菌感染在脑内形成的慢性肉芽肿,称结核球,是颅内最常见的肉芽肿病变。局灶性结核性脑炎、结核球、结核性脑脓肿,为脑部结核三个相关的病理过程。许多结核结节→结核球,仅极少数结核球→厚壁结核性脑脓肿,结核性肉芽肿坏死液化→结核性脑脓肿。
(一)结核性脑膜炎
病理:结核性炎症主要累及脑底部,引起软脑膜和蛛网膜广泛性炎症、增厚,灰黄色胶冻样渗出液聚积脑底池,干酪样坏死、慢性肉芽肿、动脉内膜炎、血管周围脑实质炎等。动脉内膜炎→脑缺血→梗死→软化;脑脊液循环和(或)吸收障碍→交通性脑积水;危及第四脑室中间、侧孔→阻塞性脑积水。蛛网膜下腔(鞍上池、侧裂池)模糊,密度/信号明显升高;可明显强化(实为脑膜强化),似蛛网膜下腔出血的CT表现。脑软化灶、鞍上池区散在斑点状钙化影(CT)、阻塞性或交通性脑积水。
(二)结核球、结核性脑脓肿
病理:两者是局限性结核性脑炎引起的慢性肉芽肿性病变,发展中国家,两者占颅内肿块性病变的30%左右。结核灶周围常环绕血管源性水肿,程度较化脓性脑脓肿水肿轻。
结核球通常单发/单房、一般直径<1cm,多发者占10%~35%,包膜完整、干酪样坏死范围小,几乎见不到结核分枝杆菌。成人多发生在大脑半球、脑室周围、皮/髓质交界区;儿童多见于小脑;粟粒样病变少见,见于儿童结核性脑膜炎。
结核性脑脓肿,典型者单发/多房,通常直径>1cm,脓腔内壁不光整、形态不规则,脓肿壁缺乏巨细胞上皮样反应,中心干酪样坏死,半液态脓汁中含有大量结核分枝杆菌。
【治疗】
结核性脑膜脑炎一经诊断就应尽早开始有效抗结核治疗,其发生、发展过程及其预后不但与积极的抗结核治疗有关,而且与自身对结核杆菌的免疫防御能力有关。治疗的及时与否是决定患者预后的关键因素。激素在结核性脑膜脑炎中的应用已经达成共识,使用激素治疗可减少结核性脑膜炎患者的病死率、致残率。对于蛋白升高明显、颅内压力较高的病例可以考虑脑脊液置换及鞘内注射治疗。初治失败、合并血行播散型肺结核、昏迷的病例预后欠佳。
二、影像学表现
(一)结核球
CT示单发、多发低密度或等密度结节,可见钙化,呈斑片或环状;轻度脑水肿;广泛血型播散在脑内产生多发结核结节。NECT呈等密度而不显示,CECT示多个小类圆形强化结节,偶尔结节中心见低密度区,结节周围水肿较少见。
MRI示病变早期:通常T1WI等、T2WI低信号(较多纤维化\胶质增生\炎性细胞浸润)。成熟期:T2WI中心低信号伴等信号包膜,偶尔中心高信号伴低信号环影。MRI增强:病灶环形或结节状强化。
(二)结核性脑脓肿
CT示脓腔→低密度,脓肿壁→等\稍高密度。
MRI示脓腔→长T1、T2信号,脓肿壁→T1等、T2(高信号区外围)低信号环。
CT/MRI增强:脓肿壁可明显强化,不规则、厚薄不均的环状或多环状强化。
(环球医学编辑:余霞霞)
来源:《疑难病例影像诊断评述》
作者:郭启勇 卢再鸣
页码:13-15
出版:人民卫生出版社
- 评价此内容
- 我要打分
近期推荐
热门关键词
最新会议
- 2013循证医学和实效研究方法学研讨会
- 欧洲心脏病学会年会
- 世界帕金森病和相关疾病2013年会议
- 英国介入放射学学会2013年第25届年会
- 美国血液学会2013年年会
- 美国癫痫学会2013年第67届年会
- 肥胖学会 2013年年会
- 2013年第9届欧洲抗体会议
- 国际精神病学协会 2013年会议
- 妇科肿瘤2013年第18届大会
- 国际创伤压力研究学会2013年第29届…
- 2013年第4届亚太地区骨质疏松症会议
- 皮肤病协会国际2013年会议
- 世界糖尿病2013年大会
- 2013年国际成瘾性药年会
- 彭晓霞---诊断试验的Meta分析
- 武姗姗---累积Meta分析和TSA分析
- 孙凤---Network Meta分析
- 杨智荣---Cochrane综述实战经验分享
- 杨祖耀---疾病频率资料的Meta分析
合作伙伴
Copyright g-medon.com All Rights Reserved 环球医学资讯 未经授权请勿转载!
网络实名:环球医学:京ICP备08004413号-2
关于我们|
我们的服务|版权及责任声明|联系我们
互联网药品信息服务资格证书(京)-经营性-2017-0027
互联网医疗保健信息服务复核同意书 京卫计网审[2015]第0344号




会员登录

