腰痛致下肢麻木 一查竟是这种病
47岁女性,半年前开始出现腰痛,一个月前出现右下肢麻木,近一周加重。目前行走无力,自诉左手麻木,后又出现左腿麻木感,遂入院就诊。经CT及MRI检查,发现竟是……
【病例介绍】
患者女,47岁,自半年前出现腰痛,一个月前出现右下肢麻木,近一周加重,目前行走无力,自诉左手麻木,右下肢渐进性麻木,从足尖开始上行至膝关节,近一周出现整个左腿麻木感,伴发左膝关节麻木。患病来自觉憋尿略有无力感,饮食、睡眠正常(图1)。

图1约平胸8~9椎间盘椎管内左前部髓外硬膜内见卵圆形等T1稍长T2信号影,大小约17.8mm×9.9mm×7.7mm,边界较清,相应脊髓受压向右后方移位。增强扫描病灶均匀明显强化
【诊断】
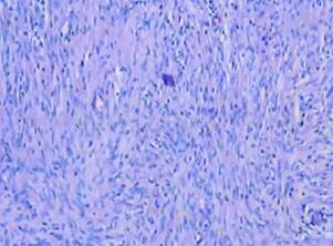
(胸椎)神经鞘瘤(图2)

图2 瘤细胞梭形,束状排列,局灶呈栅栏状排列,偶见核分裂,未见坏死
一、概述
神经鞘瘤和神经纤维瘤,两者占髓外/硬膜下肿瘤的25%~30%。神经鞘瘤占椎管内肿瘤的29%,发病率居首位,肿瘤多累及上、中颈段及上胸段,常累及神经后根,>90%肿瘤位于椎管后外侧;神经纤维瘤在脊髓侧方顺沿神经根生长。两者均可骑跨椎间孔呈哑铃形生长,椎间孔扩大。神经鞘瘤可坏死/囊变/黏液变性/出血,钙化少见。肿瘤包膜完整,压迫脊髓使其变形、移位。
【治疗】
神经鞘瘤是最常见的髓外肿瘤,一般位于椎管内,大多能获得全切除。若肿瘤呈哑铃状生长,原则上先处理椎管内肿瘤,然后再处理椎管外部分,力求一期手术全切除;如无法做到,则根据病情行二期手术。肿瘤如有残留,应定期复查,密切随访,择期行再次手术;由于其对放疗不敏感,化疗无效,故不建议行放化疗。
二、影像学表现
(一)CT/平片
椎弓根骨质限局性吸收、破坏,有时可见椎管或神经孔扩大,肿瘤呈圆形实质性块影,密度略高于脊髓,脊髓受压移位。
(二)MRI
肿瘤多为圆形、卵圆形或为哑铃形,边界清楚;病灶侧蛛网膜下腔增宽,脊髓受压/变扁、向对侧移位,即“硬膜下征”。T1WI,75%肿瘤与脊髓等信号,25%为稍高信号;T2WI,95%肿瘤信号高于脊髓,呈高信号。Gd-DTPA增强扫描,肿瘤明显均一强化,囊变/黏液变性/出血区无强化,或为环形强化。
(环球医学编辑:余霞霞)
来源:《疑难病例影像诊断评述》
作者:郭启勇 卢再鸣
页码:15-17
出版:人民卫生出版社
- 评价此内容
- 我要打分
近期推荐
热门关键词
最新会议
- 2013循证医学和实效研究方法学研讨会
- 欧洲心脏病学会年会
- 世界帕金森病和相关疾病2013年会议
- 英国介入放射学学会2013年第25届年会
- 美国血液学会2013年年会
- 美国癫痫学会2013年第67届年会
- 肥胖学会 2013年年会
- 2013年第9届欧洲抗体会议
- 国际精神病学协会 2013年会议
- 妇科肿瘤2013年第18届大会
- 国际创伤压力研究学会2013年第29届…
- 2013年第4届亚太地区骨质疏松症会议
- 皮肤病协会国际2013年会议
- 世界糖尿病2013年大会
- 2013年国际成瘾性药年会
- 彭晓霞---诊断试验的Meta分析
- 武姗姗---累积Meta分析和TSA分析
- 孙凤---Network Meta分析
- 杨智荣---Cochrane综述实战经验分享
- 杨祖耀---疾病频率资料的Meta分析
合作伙伴
Copyright g-medon.com All Rights Reserved 环球医学资讯 未经授权请勿转载!
网络实名:环球医学:京ICP备08004413号-2
关于我们|
我们的服务|版权及责任声明|联系我们
互联网药品信息服务资格证书(京)-经营性-2017-0027
互联网医疗保健信息服务复核同意书 京卫计网审[2015]第0344号




会员登录

