女子隔三差五发热咳嗽还有血痰 增强CT检查发现病因
36岁女性,自3年前出现发热、咳嗽,时有血痰,无发热及胸闷气短,多次按炎症治疗,抗炎后略好转。入院后CT检查提示该患者患有……
【病例介绍】
患者女,36岁,自3年前出现发热、咳嗽,时有血痰,无发热及胸闷气短,多次按炎症治疗,抗炎后略好转,入院后再次行CT检查,提示左肺下叶肿块合并阻塞性肺炎,抗炎治疗后炎症略吸收,后行增强CT检查,示左肺下叶基底段病变内来自降主动脉到病灶的异常血管,行左肺下叶切除术,术后恢复良好(图1)。

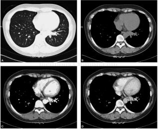
图1 肺窗示左下叶内基底段支气管周围可见不规则高密度影,边界不清楚,与周围血管及支气管分界不清,周围未见毛刺及胸膜牵拉,其远端见少许斑片影。纵隔窗示左下肺后基底段不规则团块影,呈软组织密度,其内密度较均匀,紧贴后纵隔降主动脉旁。动脉期病变内见多发迂曲的血管影,于第10胸椎水平自降主动脉左侧缘发出一异常血管分支,先向前下随后返折向后上,继而呈水平位向外行走于左下肺静脉后方。静脉期显示左下肺静脉回流。
【诊断】
左肺下叶内基底段肺隔离症(图2)

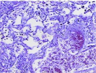
图2 病变内见动脉管壁结构,其内大量弹性纤维,厚壁动脉管壁旁可见肺组织,组织内炎细胞浸润,血管充血
一、概述
支气管肺隔离症(亦称肺隔离症)。本病是支气管肺组织发育异常所致,为胚胎时期一部分肺组织与正常肺主体分离单独发育,并接受体循环动脉的异常动脉供血,所形成无呼吸功能包块,隔离肺可有自己的支气管。肺隔离症是临床上相对多见的先天性肺发育畸形,目前临床上误诊率较高。
【病因】
肺隔离症占肺部疾病的0.15%~6.4%,占肺切除病例的1.1%~1.8%。肺隔离症多见于青少年,年龄在10~40岁,男性多于女性,左侧多于右侧。
在胚胎发育期间,肺动脉发育不全使一部分肺组织血液供应受障碍,并由主动脉的分支代替肺动脉供应该区肺组织,由于来自主动脉的血液含氧量与来自肺动脉的血液完全不同使该段肺组织的肺功能无法进行,因而发育不全,而无肺功能。肺隔离症的主要动脉均来源于体循环的分支,主要是降主动脉,也可源于腹主动脉上部、腹腔动脉及其分支、升主或主动脉弓、无名动脉、锁骨下动脉、内乳动脉、肋间动脉、膈动脉或肾动脉等。多数经下肺韧带进入隔离肺内,常为1支,也有2支或多支的情况,但较少见。动脉粗细不等,有的直径可达1cm左右,这些异常动脉壁的结构与主动脉相似,含较多的弹性纤维组织压力较高,极易发生粥样硬化。
【病理及流行病学特征】
临床及病理学上根据隔离肺与正常肺组织和胸膜的关系,将肺隔离症分为2型:肺叶内型和肺叶外型。前者位于脏胸膜组织内,其病变与正常的支气管相通或不相通,临床多见;后者被自己的胸膜包盖,独立于正常肺组织之外,病变与正常支气管不相通,叶内型多于叶外型。
(一)叶外型肺隔离症的特点
叶外型肺隔离症有独立的脏层胸膜包绕,与正常的肺组织分离,与正常支气管不相通,此型较少见,大约只占总数的1/4左右,好发于左侧胸腔,比例约为总数的90%左右,其中77.4%位于左肺下叶与横膈之间,但也可位于胸腔内任何位置,甚至可出现在腹腔或心包内,男女比例约为3∶1~4∶1。
大部分患者同时伴发其他的先天性畸形,其中先天性膈疝最为常见,30%合并左侧膈疝,其他包括先天性肺气肿或先天性支气管源性囊肿、先天性肺发育不良、先天性肺囊性腺瘤样畸形(congenital cystic adenomatoid malformation of lung,CCAM)。此外,还有一些合并畸形临床上非常罕见,诸如心包缺损或心包囊肿、完全性肺静脉异位引流、右位心、脊柱发育畸形或副脾等,伴发其他先天性畸形的患儿可出现急性呼吸窘迫或喂养困难的症状,稍大一点的患儿则多数以呼吸道症状为首发症状,极少数可并发充血性心力衰竭。因而,约有61%的叶外型肺隔离症可在出生后6个月内明确诊断。但也有10%的叶外型肺隔离症可终身没有症状,只是在治疗其他伴发畸形时如膈疝修复术时或者一些影像学检查时偶然发现。其血液供应由主动脉直接发出的动脉分支供应,异常动脉多来自胸主动脉或腹主动脉,只有少数来自脾动脉、锁骨下动脉等体循环动脉和肺动脉。异常供血动脉通常只有一根(>80%)。静脉多回流至奇静脉、半奇静脉、下腔静脉、无名静脉、肋间静脉等,有少部分回流至肺静脉,约占1/4。
叶外型肺隔离症完全被胸膜包盖,切面呈海绵状黑褐色组织伴不规则排列的血管,镜下病变由单一类型的末端细支气管、肺泡管和肺泡组成,扩张的支气管被覆假复层纤毛柱状上皮,周围有纤维肌性血管,壁内含软骨板,细支气管呈屈曲状被覆假柱状或立方上皮。肺泡管和肺泡扩大,胸膜下淋巴管扩张较明显。因其包有自己的胸膜,且不与支气管相通,除非与消化道相通,感染的机会很少。因此如没有其他明显的畸形,叶外型只是一软组织包块,可毫无症状地存活到成人。
(二)叶内型肺隔离症的特点
叶内型与周围肺组织有共同的脏层胸膜,与正常支气管可有病理性相通,此型常见,约占总数的75%。大多数发生于左下叶或右下叶内基底段、后基底段,尤以左肺下叶内基底段、后基底段多见,但也可发生于胸腔内任何部位,例如右肺上叶。动脉血供多数来自胸主动脉(73%)和腹主动脉(20%),但也有少数可来自腹腔干或脾动脉,冠状动脉或锁骨下动脉也有报道,临床比较罕见。异常供血动脉通常也只有一根(>85%)。静脉多回流至肺静脉(>95%),但也有少数可回流至体循环静脉。
此型可在任何年龄发病。叶内型肺隔离症,特别是与支气管相通的,几乎所有病例在一定时期后均继发感染,多数在10岁以前出现反复肺部感染症状,发热、咳嗽、胸痛、咳脓痰甚至咳脓血痰,严重者还可出现全身中毒症状,与肺脓肿症状相似,感染时囊腔内为脓液,其常与支气管或邻近肺组织的气管交通,经抗感染治疗症状可暂时缓解,但病程也有迁延数月甚至数年之久的。查体局部叩诊浊音,呼吸音减低,有时可听到湿啰音,部分患者有杵状指。体动脉多来自胸主动脉下部或腹主动脉上部,较为粗大,直径0.5~2cm,与叶外型肺隔离症不同的是,叶内型肺隔离症没有明显的性别差异,很少合并其他先天性畸形,最常合并食管憩室、膈疝等。
叶内型的病变组织无自身胸膜与正常肺组织隔离,故异常与正常肺组织间无明显界限,共存于同一肺叶中。囊腔可单发或多发,实质部分更多,囊内充满黏液,周围肺组织常有肺炎,此时要待炎症消退后,才能证实阴影的囊性特征,病变大小可随时间有很大变化,主要依其内部的气体、液体量。镜下见囊性扩张的细支气管,囊壁平滑肌成分少,肺组织呈慢性炎症并可有纤维化,间质中可见不同程度的急慢性炎性细胞浸润。血管闭塞性改变较明显,也可有急性及慢性出血反应。
【治疗及预后】
目前认为,一旦确诊肺隔离症,原则上均应首选手术治疗。因为无论是叶内型的还是叶外型的,均有发生真菌、结核感染、血胸、致命性的大咯血、心血管疾病,甚至偶发癌变的可能,尤其是叶内型肺隔离症,容易引起肺部反复感染,并且由于异常体循环动脉的存在,血液从左向右分流所引起的血流动力学方面的不良影响,而叶外型肺隔离症患者常合并其他先天性畸形,如不进行手术治疗,预后更差。对于不适宜手术治疗的大咯血或心衰病人,也可适用介入治疗。肺隔离症属于良性疾病,只要能及时明确诊断,尽早手术治疗,本病的预后还是非常好的。
二、影像学表现
肺隔离症的影像学表现主要有四种:①单房或多房囊性肿块;②囊实性混合性肿块;③实性软组织肿块;④局部肺叶内增多、增粗、紊乱的血管结构。
(一)普通X线检查
1.叶内型
表现为下叶后基底段紧贴膈面呈圆形或椭圆形致密块影或囊肿性阴影,少数为多边形或三角形,以囊肿性多见,密度不均匀或均匀,边缘清楚,其下缘多与膈相连,合并感染与支气管相通时,可形成多发含气囊腔阴影或气液平面;叶内型部分病例表现为下叶后基底段斑片状阴影或肺门肿块。肺门肿块为肺门迂曲扩张的血管影像;少数病例未能查见囊腔或肺内阴影,局部肺野透光度增强,纹理走向异常。同侧肺门宽,形态异常,结构紊乱。
2.叶外型
多位于肺底与膈或膈下,呈圆形或椭圆形或分叶状软组织团块影,密度均匀,以肿块型多见。叶外型病例常合并其他畸形,如肠源性囊肿、支气管囊肿、先天性支气管肺前肠畸形、短弯刀综合征和膈疝等,合并膈疝的病例,术前诊断困难。
(二)CT表现
近年来,随着CT快速发展,特别是MSCT的血管成像作为一类可靠的非侵袭性血管成像手段,结合增强多平面重组(MPR)或容积重建(VR),可直观准确地提供迷走动脉的起源走行、分支及其引流静脉,对临床治疗方案的选择,特别是手术方案的制订有很高的实用价值。目前应用螺旋CT增强扫描三维重建已成为诊断肺隔离症及术前评估的主要方法之一,在一定程度上替代了传统的血管造影。
1.叶内型CT表现
①典型者分为囊性、实性和囊实性。囊性可以是单囊或多囊,囊内有分隔,壁薄。平扫为边界清楚的软组织密度影,内部密度均匀,CT值为30~33H U,不均匀强化,囊性部分不强化,间隔部分强化。增强扫描典型者呈蜂窝状改变或多囊状大小不等的透亮区及低密度影,有的可见气液平面,少数有斑点状钙化,伴发感染时,呈脓肿样改变。另外在病变周围有时可见炎症、肺气肿,局限性肺多血管征等。②不典型者表现为下叶后基底段斑片状阴影或肺门肿块。少数病例未能查见囊腔或肺内肿块,表现为含气的肺组织,仅能显示体循环畸形血管。
2.叶外型CT表现
为边缘清楚的软组织块影,多数密度均匀,少数病灶内可见多发小囊状密度影,增强检查病变区呈不规则强化,以囊状结构之间的实质部分强化明显。可合并前肠囊肿、膈疝、先天性心脏病(如动脉导管未闭)等。
(三)MRI表现
MRI快速自旋回波序列能够较为准确直观地显示肺隔离症的病理组织成分,病变肺组织因不含气体,在T1WI和T2WI上均呈较高信号或T1WI呈中低信号,T2WI呈高信号的软组织团块;出现囊变时,可准确地描绘大小及囊液的性质;病变中“蜿蜒”的流空信号,提示供血血管血液流速较快及其在病变中的分布。MRA适于显示肺隔离症供血血管的起源大小和行程,能明确诊断,且无创,具有独特的优越性;三维动态增强血流成像技术结合图像后处理,可多角度准确反映病变部位形态特点,对供血动脉和引流静脉显示进一步提高,可为手术提供重要依据。
(四)DSA或血管造影表现
DSA或血管造影不仅非常清晰直观显示供血动脉起源大小、行程、数目及引流静脉,而且在毛细血管期可见隔离肺叶染色,并可除外双肺同时发生肺隔离症的可能性。DSA对外科手术制订方案非常有价值,但病变的内部结构、病变的大小及周围情况不能明确显示,属创伤性检查。
三、鉴别诊断
肺隔离症应与下列疾病进行鉴别:
1.肺囊肿
肺囊肿和肺隔离症一样,都是先天性肺发育异常形成的囊性病变,发病率较低,在诊治过程中较易被临床医师忽视。肺囊肿可在出生后长期无症状,常为体检时发现。仅当囊肿与支气管相通或合并感染时,出现肺、支气管受压和肺部感染症状。咳嗽与咳痰为主要症状,感染明显者有发热,少数有咯血现象。囊肿巨大或出现张力性囊肿对肺压迫严重时,可出现呼吸困难,囊肿可表现为液性、液-气性和气性三种类型,常为单发性囊肿,少数为多发性。因此多房性肺囊肿与囊肿型肺隔离症的鉴别较为困难。为明确肺囊肿和肺隔离症的鉴别诊断,首选CT或血管造影检查,肺隔离症位于肺下叶后基底段,紧贴膈肌、脊柱旁等,其内间隔较粗大,增强检查可见明显强化,可发现有来自体循环的异常供血,而肺囊肿位于正常肺组织之中,间隔较细,增强检查无强化。
2.肺癌或肺内炎症
病人以低热乏力、胸痛、咳嗽、咳痰或咯血并多伴有消瘦等为临床症状,且病程较长者易与肺癌的临床症状相混淆。患者年龄多在40岁以上,亦为肺癌的好发年龄。叶内型肺隔离症往往合并感染,因X线及CT检查时均表现为片块状或分叶状阴影,与肿瘤及炎性包块很难鉴别,此情况无论临床及影像学检查都极易误诊为肺癌或炎性病变。鉴别叶内型肺隔离症和肺癌,应将影像学表现与病史、体格检查及纤支镜检查结合起来,肺隔离症边缘多清楚,少见分叶,易混淆为肺癌的叶内型肺隔离症的好发部位在左肺下叶;肺癌可见分叶、毛刺及胸膜凹陷征,肺门纵隔内淋巴结可见增大,或可见胸腔积液表现;肺炎则症状明显,可见支气管气象,抗感染后病灶消失。肺隔离症抗感染后病变可缩小,但病变长期不消失。
3.肺脓肿
叶内型肺隔离症发生感染时,与肺脓肿表现类似,前者好发于下叶后基底段,呈囊状,后者多见于上叶后段或下叶背段,亦可呈囊状,壁一般较厚,周围炎性渗出和临床症状明显,治疗后可消失。
4.其他
肺隔离症还需与支气管扩张症、肺不张、先天性囊腺瘤样畸形、膈疝及肺的体循环供血相鉴别。支气管扩张症、肺不张共同的特点为与正常支气管束交通延续;先天性囊腺瘤样畸形,肺部多发囊性病变可局限或弥漫,部位不固定,在短时间内可发生变化;膈疝疝入胸部呈囊泡样改变,有时可见黏膜皱襞,或向腹部延伸较易鉴别,吞钡检查即可明确诊断。关于肺的体循环供血,也可见于肺动静脉畸形、短弯刀综合征(又称发育不全肺综合征)和慢性炎症所致假性肺隔离症等情况。
(环球医学编辑:余霞霞)
来源:《疑难病例影像诊断评述》
作者:郭启勇 卢再鸣
页码:29-33
出版:人民卫生出版社
- 评价此内容
- 我要打分
近期推荐
热门关键词
最新会议
- 2013循证医学和实效研究方法学研讨会
- 欧洲心脏病学会年会
- 世界帕金森病和相关疾病2013年会议
- 英国介入放射学学会2013年第25届年会
- 美国血液学会2013年年会
- 美国癫痫学会2013年第67届年会
- 肥胖学会 2013年年会
- 2013年第9届欧洲抗体会议
- 国际精神病学协会 2013年会议
- 妇科肿瘤2013年第18届大会
- 国际创伤压力研究学会2013年第29届…
- 2013年第4届亚太地区骨质疏松症会议
- 皮肤病协会国际2013年会议
- 世界糖尿病2013年大会
- 2013年国际成瘾性药年会
- 彭晓霞---诊断试验的Meta分析
- 武姗姗---累积Meta分析和TSA分析
- 孙凤---Network Meta分析
- 杨智荣---Cochrane综述实战经验分享
- 杨祖耀---疾病频率资料的Meta分析
合作伙伴
Copyright g-medon.com All Rights Reserved 环球医学资讯 未经授权请勿转载!
网络实名:环球医学:京ICP备08004413号-2
关于我们|
我们的服务|版权及责任声明|联系我们
互联网药品信息服务资格证书(京)-经营性-2017-0027
互联网医疗保健信息服务复核同意书 京卫计网审[2015]第0344号




会员登录

