女子时不时咳嗽、胸痛甚至咯血 增强CT检查发现祸源
51岁女性,5个月前无明显诱因出现间断性咳嗽,夜间咳嗽较重,自服药后有缓解。后来又开始胸闷、咯血,偶有头晕、心慌,遂入院就诊。CT检查显示:左肺下叶占位性病变,考虑良性病变,后经增强CT检查,才发现病因……
女,51岁,咳嗽伴胸闷、胸痛5个月余。患者5个月前无明显诱因出现间断性咳嗽,夜间咳嗽较重,无咳嗽、咯血,尚能忍受,间断性自服抗生素(罗红霉素、阿莫西林)后无明显缓解,伴胸闷、咯血,发病期间偶有头晕、心慌,无气短,无盗汗、乏力,无发热、寒战。半月前于外院就诊,行CT平扫检查显示:左肺下叶占位性病变,考虑良性病变。为确诊前来我院就诊。行增强CT检查,左肺下叶结节占位,界清,可见强化,可符合硬化性血管瘤。2010年10月29日手术,术后诊断显示瘤细胞大部分排列成大小不等血管样,少部分区域呈乳头状,实性片状排列,部分细胞圆形,部分细胞立方状(图1)。

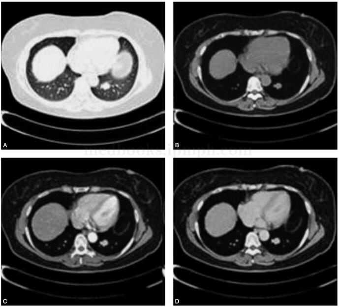
图1肺窗显示左肺下叶后底段类圆形高密度结节,界清。纵隔窗显示左肺下叶后底段结节边缘呈软组织密度影,中心密度略低。增强扫描左肺下叶后底段结节周边实性部分强化明显,中心低密度区未见明显强化
【诊断】
左肺下叶硬化性血管瘤(图2)

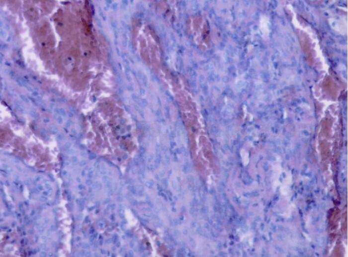
图2瘤细胞大部分排列成大小不等血管样,少部分区域呈乳头状,实性片状排列,部分细胞圆形,部分细胞立方状。病理诊断:左肺下叶硬化性血管瘤
一、概述
肺硬化性血管瘤是一种少见的肺良性肿瘤,好发于中年女性。通常表现为肺内的孤立性结节,影像学上常与肺内其他良性结节及部分恶性肿瘤相混淆。
【病因】
1956年Liebow等首次描述此瘤并命名为“肺硬化性血管瘤”,国内曾先后称之为“炎性假瘤”或“肺腺瘤”等。20世纪70年代以来,国外一些学者通过免疫组化及电镜观察,对其“血管来源”提出质疑,遂称之为“所谓的肺硬化性血管瘤”,WHO肺肿瘤分类中,先后将其归在“瘤样病变”(1981年)和“杂类肿瘤”(1999年)。
关于瘤细胞的起源,一直存在争议,曾经有学者提出神经内分泌细胞、血管内皮细胞、间皮细胞、呼吸道上皮细胞等。随着免疫组织化学技术的发展,研究发现瘤细胞表达孕激素受体。因此,目前倾向于来源于原始呼吸道上皮细胞,但对于硬化性血管瘤中两种细胞的关系仍有争议。王恩华等研究发现,立方形细胞高表达SP-B、CK-L、CK-H和特异的板层状小体,这与成熟的Ⅱ型肺泡上皮细胞相似;而多角形细胞高表达T TF-1和vimentin,低表达CK-L、CK-H,散在表达EMA和神经内分泌标志物如NSE,不表达SP-B。戴孙冬等研究发现,立方形细胞高表达E钙黏蛋白、B整合素和P120,类似于炎性增生的Ⅱ型肺泡上皮细胞,而多角形细胞的表达低。Miyagawa等发现,在转移的淋巴结组织中,主要存在的是多角形细胞。上述证据表明,立方形细胞可能只是增生的Ⅱ型肺泡上皮细胞,多角形细胞才是真正的肿瘤细胞,来源于原始呼吸道上皮细胞,具有多向分化潜能,并且可以局部转移。但也有证据表明立方形细胞属于肿瘤细胞:①虽然转移的淋巴结中主要是多角形细胞,但仍然存在立方形细胞;②两种细胞都具有单克隆性;③两种细胞在多个小随体部位具有相似的等位基因丢失。因此,可能的情况是,两种细胞均来源于原始呼吸道上皮细胞,只是分化的阶段不同或分化的方向存在差异。
【病理】
1.大体
肿瘤境界清楚,有或无包膜,多位于肺周边部,少数可达肺膜下或接近叶间裂;亦可见于段支气管周围,偶有自支气管外向腔内推挤并突入腔内呈息肉状者,而支气管黏膜发生糜烂。肿瘤直径从0.3~8.0cm,大多小于3.0cm。切面灰白到黄褐色,呈实性或海绵状,可伴有出血而呈灰褐色或暗红色。质地软,或因伴有硬化而质感如橡皮。也有报道有发生囊性变和钙化者。
2.光镜
有2种基本的组织学形态,一是由肺泡上皮增生形成的乳头状结构;二是位于肺泡上皮或乳头状上皮下间质中明显增生的单核细胞,即瘤细胞二者缺一不可。瘤细胞成分单一,大小、形状极为一致,核圆形、卵圆形或多角形,胞浆呈嗜酸性或略呈透明状;但核浆比例小,染色质均匀、淡染,可见小核仁;核分裂象罕见或无,一般无坏死(个别报道有发生坏死者)。由于肺间质内瘤细胞数量的不同,导致肺泡的正常结构发生不同的变化,从而构成此瘤组织形态的复杂多样,具有特征性的4种(至少有3种)相关的组织构型并存:乳头状结构、实性细胞区、肺泡内出血、硬化性变化。
(1)乳头状结构区:乳头表面被覆立方状细胞,突向腔内形成乳头,乳头间质内常为多少不等的多角形细胞。
(2)实性细胞区:多角形瘤细胞紧密排列形成实性团块,部分瘤细胞胞质透明,与乳头状结构表面的立方状细胞有移行过程。
(3)海绵状血管瘤样区:瘤细胞间形成大量血管样腔隙,腔内充满红细胞,腔壁衬覆立方状细胞。
(4)硬化性变化区:多在病变中心区,纤维组织增生,胶原化或透明变性。上述4种或3种组织构型,常在同一病例混合存在,且相互移行,诊断并不困难。但当组织结构复杂、多变,或某一构型为主时,可能会增加诊断难度。
3.电镜
衬覆在所谓的“血管瘤”、“乳头”和“裂隙”表面的上皮细胞,胞浆内含有大量板层小体或致密颗粒,证实其为Ⅱ型肺泡细胞或Clara细胞。而位于肺间质内的瘤细胞,具有原始肺上皮的特征,即瘤细胞之间有细胞微腔、桥粒连接和指突状连接,细胞微腔内有微绒毛,细胞外有基膜。有的在其胞质内见有数量不等的神经分泌颗粒(NSG)和微管、微丝,提示神经内分泌分化;在电镜下,见肥大细胞与圆形瘤细胞紧密相邻,有胞突相连接,关系密切。
【临床表现】
多数患者无症状而为体检发现,少数表现为咳嗽、咳痰、痰中带血、胸痛、胸闷、低热等呼吸系统非特异性症状。当气管被瘤体阻塞或压迫时,可有肺不张及阻塞性肺炎。好发于中年女性,40~50岁为发病高峰,与硬化性血管瘤内类固醇性激素受体的表达特别是黄体激素受体的表达有关。
【治疗及预后】
外科手术是PSH最有效的诊断和治疗方法。由于部分病例术前与恶性肿瘤难以鉴别,对于有症状或肿块迅速增大的患者如无手术禁忌证宜尽早手术。原则上手术应完全切除肿瘤,但也应尽量保留有功能的肺组织,术前诊断是否明确、肿瘤的大小和位置都影响手术的方式。
CT引导下经皮肺穿刺对于手术具有指导意义,对于术前诊断明确、病灶较小、靠近外周的可行单纯肿瘤摘除术,可选择胸腔镜术或胸腔镜辅助小切口手术,以利于患者恢复。但也有学者不主张行肿瘤摘除术。术前未能明确诊断的病例,术中应争取先作肺楔形切除术或肺段切除术,并行快速冰冻病理检查,争取术中病理确诊,减少手术范围尽量保留有功能的肺组织。而对于瘤体靠近肺门或位于肺实质内而难以行楔形切除者,应选择行肺叶切除术。不推荐系统淋巴结清扫作为常规,虽然文献报道有区域淋巴结转移的PSH病例,包括肺门和(或)纵隔淋巴结转移,但预后均良好。
二、影像学表现
(一)DR表现
肺硬化性血管瘤大多数具有一般良性肿瘤的特征,边缘光整,分叶不明显,类圆形或圆形软组织密度影,少数可以看到内部的钙化,钙化有点状、不规则钙化,不易与错构瘤相鉴别,需借助CT增强扫描加以鉴别,少数可以看到浅分叶,发生于肺门不易与中央型肺癌鉴别,发生于后纵隔不易与神经源性肿瘤相鉴别。
(二)CT表现
肺硬化性血管瘤多数表现为孤立性肺结节或肿块,极少数表现为多发。胸部CT平扫具有肺部一般良性病变的特点,表现为边界清楚,光滑锐利,密度均匀,内部可见散在钙化点,部分病灶内可有大片不规则的钙化,难与错构瘤相鉴别。另外一个比较重要的征象就是所谓的“空气新月征”,其特点是病灶呈薄壁囊腔,其内包含一实性肿块,该实性部分明显增强,囊壁与实性肿物间有空气充填,呈新月状。空气新月征的发生机制为:
(1)肿瘤压迫周围支气管导致的单向阀门效应;
(2)肿瘤高度分化的细胞出血时,包膜与肿瘤的收缩速度不同;
(3)未分化的肺泡间质细胞不断增生和透明样变,围绕支气管导致远端的空气腔隙扩大。CT薄层或高分辨力扫描及三维重建能清楚显示该征象,该征象虽然不是肺硬化性血管瘤的常见表现,但一旦出现则对该病的诊断极有帮助,同时也有助于与其他良性病变的鉴别。此外,部分病变可呈现贴边血管征,出现该征象病变多位于肺门或近肺门中央区,因此贴边血管征出现的概率与病灶所在的部位有关;在连续的层面追踪观察均可见其为肺门动脉或肺静脉的延续,出现该征象的原因可能是由于硬化性血管瘤为良性肿瘤,推挤、压迫周围的血管等结构,从而产生包绕、贴边现象。
动态增强CT扫描对肺硬化性血管瘤的诊断及鉴别诊断有很高的价值。肺硬化性血管瘤的强化与它的组织成分有关:明显强化区域对应于血管瘤样区,瘤体内小血管、管壁透明样变和硬化是其强化的主要病理基础。硬化性血管瘤内微血管的密度决定了其CT增强的程度。硬化性血管瘤主要由两种细胞组成,有实性、乳头样、硬化性、血管瘤样等4种主要组织结构,大多数肿瘤由至少以上3种结构组成,少数由2种结构组成,没有肿瘤由1种结构组成。大多数硬化性血管瘤至少有其中的3种成分,少数仅有2种,动态增强血管瘤样和乳头区表现为早期明显强化,实性区和硬化区表现为缓慢持续强化,5分钟后呈均匀强化。
(三)MRI表现
MRI T1WI表现为高于肌肉信号,T2WI表现为高信号,T1WI和T2WI均夹杂部分点状低信号,由于肺部疾病MRI检查不具优势,肺硬化性血管瘤MRI临床应用较少。
(四)淋巴结转移
近年文献报道,有极少数病例发生肺门、支气管周及叶间局部淋巴结转移,至少有10例,大多数淋巴结转移的瘤组织中仅有实性圆形瘤细胞,有1例转移瘤呈片块状圆形细胞伴有局灶性乳头状结构,与肺内肿瘤相同,还有1例淋巴结转移瘤扩散至淋巴结周围软组织。
三、鉴别诊断
(一)与其他肺部良性病变的鉴别
1.典型的错构瘤表现为瘤内有脂肪及钙化成分,及典型的爆米花样钙化,但增强扫描病灶增强不明显,强化程度远低于硬化性血管瘤,动态增强硬化性血管瘤呈早期明显强化,这可与硬化性血管瘤鉴别。
2.孤立性纤维瘤来自于胸膜,典型的有“蒂”征,病灶一般较大。
3.炎性假瘤增强不明显,且形态没有硬化性血管瘤光整,往往存在炎症病史。
4.结核球好发于双肺上叶尖后段及下叶背段,常伴有卫星病灶,增强扫描呈环形增强或无增强,与肺硬化性血管瘤截然不同。
5.肺曲霉菌球在CT上一般表现为薄壁空洞或空腔内孤立球形灶,通常可见空气半月征,大多数曲霉菌球可随体位而移动,增强无强化,且最常见于先前有空洞的结核或结节病者中,与硬化性血管瘤不同;血管侵袭性曲霉菌病,早期CT表现为单个或多个伴晕征的结节或肿块,在愈合期间,可出现空气新月征,与硬化性血管瘤相似,但前者几乎常发生在免疫抑制的病例中,特别常见于中性粒细胞减少的急性白血病,器官移植或恶性肿瘤的病例中,而硬化性血管瘤病例多无特别病史。
6.Castleman病增强也呈显著强化,也可出现钙化、发生于肺门时易与硬化性血管瘤混淆,但前者的钙化为中央区分支状,具有特征性。
(二)与恶性肿瘤的鉴别
1.肺癌结节一般边缘毛糙,可有毛刺、分叶、胸膜凹陷征及血管集束征等,常伴有肺门、纵隔淋巴结肿大及远处脏器转移。增强扫描肺结节CT值增加20~60H U,且以恶性结节居多。硬化性血管瘤增强强化更明显,瘤体周围的空气新月征及贴边血管征,可以帮助区别恶性肿瘤。
2.肺类癌在原发肺肿瘤中,所占比例不足5%,类癌血供丰富,增强呈明显强化,局部淋巴结转移少见,易与硬化性血管瘤混淆,但类癌多为中央型,通常发生在大支气管内,有典型的类癌综合征有助于鉴别。
3.周围型肺类癌通常在肺膜下,但多表现为多灶性结节,与硬化性血管瘤的孤立性结节不同。
(环球医学编辑:余霞霞)
来源:《疑难病例影像诊断评述》
作者:郭启勇 卢再鸣
页码:54-57
出版:人民卫生出版社
- 评价此内容
- 我要打分
近期推荐
热门关键词
最新会议
- 2013循证医学和实效研究方法学研讨会
- 欧洲心脏病学会年会
- 世界帕金森病和相关疾病2013年会议
- 英国介入放射学学会2013年第25届年会
- 美国血液学会2013年年会
- 美国癫痫学会2013年第67届年会
- 肥胖学会 2013年年会
- 2013年第9届欧洲抗体会议
- 国际精神病学协会 2013年会议
- 妇科肿瘤2013年第18届大会
- 国际创伤压力研究学会2013年第29届…
- 2013年第4届亚太地区骨质疏松症会议
- 皮肤病协会国际2013年会议
- 世界糖尿病2013年大会
- 2013年国际成瘾性药年会
- 彭晓霞---诊断试验的Meta分析
- 武姗姗---累积Meta分析和TSA分析
- 孙凤---Network Meta分析
- 杨智荣---Cochrane综述实战经验分享
- 杨祖耀---疾病频率资料的Meta分析
合作伙伴
Copyright g-medon.com All Rights Reserved 环球医学资讯 未经授权请勿转载!
网络实名:环球医学:京ICP备08004413号-2
关于我们|
我们的服务|版权及责任声明|联系我们
互联网药品信息服务资格证书(京)-经营性-2017-0027
互联网医疗保健信息服务复核同意书 京卫计网审[2015]第0344号




会员登录

