左侧胸背部疼痛和麻木 莫非长了肿瘤?
58岁男性,左侧胸背部疼痛伴麻木3个月。入院后,经CT图像显示左侧胸膜弥漫性不均匀增厚,同层PET图像示FDG代谢异常增高(SUVmax=6.9),左肺见多发索条及斑片影,同层PET/CT融合图像示增厚胸膜FDG代谢不同程度增高。该患者可能患有……
【病例介绍】
男性,58岁,左侧胸背部疼痛伴麻木3个月(图1、图2)。

图1 CT图像:肺窗:左侧胸腔容积较右侧小,胸壁明显不光滑。左肺内可见多发索条影,部分索条与邻近胸膜粘连牵拉。左肺叶间裂增宽。纵隔窗:左侧胸壁、纵隔胸膜及膈肌见光泛胸膜、伴结节样改变,边缘明显不规则。增强:左侧增厚的胸膜可见较均匀强化

图2 A.CT图像示左肺体积减小,左侧胸膜弥漫性不均匀增厚,局部形成软组织结节,左肺见多发索条及斑片影;B.同层PET图像示FDG代谢异常增高(SUVmax=6.9),左肺见多发索条及斑片影,FDG代谢未见增高;C.同层PET/CT融合图像示增厚胸膜FDG代谢不同程度增高;D.PET MIP图
【诊断】
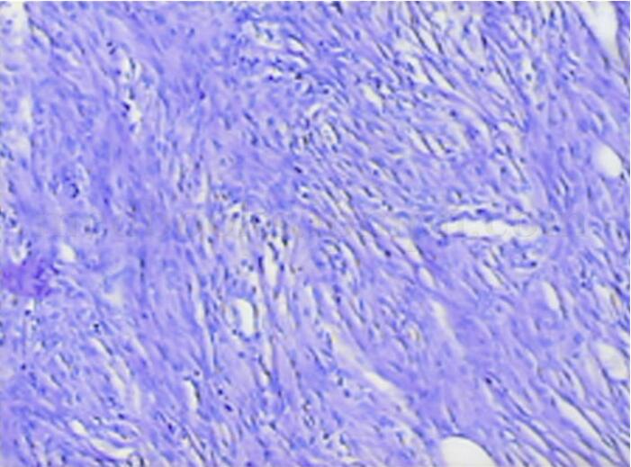
胸膜间皮瘤;免疫组化:Vimentin(+),CK(±),D2-40(-),E-cadherin(-),SM A(-)(图3)。

图3 病理:胸膜间皮瘤;免疫组化:Vimentin(+),CK(±),D2-40(-),E-cadherin(-),SM A(-)
一、概述
恶性间皮瘤属于弥漫性肿瘤,可起源于胸膜腔的任何部位,少数起源于腹膜、心包膜、输卵管浆膜、睾丸鞘膜等。多呈隐袭性起源,其发病率占全部肿瘤的0.02%~0.4%,其中90%起源于胸膜,腹膜起源大约占6%~10%。起源于胸膜者称恶性胸膜间皮瘤(malignant pleural mesothelioma,MPM)。
过去十年里,美国恶性胸膜间皮瘤的新增近50%。世界范围内其发生率也在逐年上升。据国内资料统计分析,其占恶性肿瘤总发病率的0.04%,年发病率为0.22/10万。
【病因】
本病的病因尚不完全清楚。据报道长期接触石棉易诱发恶性胸膜间皮瘤。约有80%恶性胸膜间皮瘤患者有明确的石棉暴露史,典型的石棉暴露史致发生间皮瘤,大约经历30~40年的漫长过程。而非职业性石棉接触,在石棉矿附近的居民,其罹患间皮瘤的危险性也明显增加。然而尚未有证据表明石棉暴露量与间皮瘤发生两者之间存在剂量相关性。尚无证据表明间皮瘤与吸烟二者的相关性。
近来有研究认为猴病毒40在间皮瘤形成过程中也起重要作用。在无确切石棉暴露史的间皮瘤患者中,猴病毒40的检出率明显增加。可能是由于T-抗原干扰视网膜母细胞瘤基因及野生型P53基因在肿瘤形成中的作用。如果该假说得到证实,即可有望研制出预防间皮瘤的疫苗,或者可能从分子水平提高间皮瘤的诊断。
其他可能引起间皮瘤的因素还包括放疗、其他可吸入物质如毛沸石等。过去认为放射性物质也可以引起间皮瘤的发生,但大量回顾性对照研究没有证实这一观点。
【病理】
按肿瘤生长方式和大体形态,恶性胸膜间皮瘤可分为局限型和弥漫型。前者来源于胸膜下结缔组织,多属良性或低度恶性,约30%的局限性病变有恶性倾向。后者多原发于胸膜间皮细胞,几乎均为高度恶性,多呈弥漫性生长,可完全覆盖肺表面上,直径可达5cm或更厚。
组织学分型:可分为上皮型、肉瘤型、混合型及结缔组织增生型。上皮型间皮瘤最常见,大约占间皮瘤50%~60%,结缔组织增生型最少。通过分型,可以对肿瘤作出初步诊断及预后评估,一般认为上皮型恶性间皮瘤预后好于其他类型。上皮型最典型的组织学表现包括:囊腺状、腺状及实性上皮瘤。肉瘤型恶性间皮瘤与脂肪肉瘤及平滑肌肉瘤相似。混合型恶性间皮瘤具有上皮瘤及肉瘤两种特点。
肿瘤早期即可侵及周围组织及邻近胸壁、腹膜、纵隔及叶间胸膜。仅有少量肿瘤直接侵及肺实质。尸检中发现70%患者纵隔淋巴结受累。血行转移也比较常见,特别是肝脏、肺、骨及肾上腺。
【临床表现】
恶性胸膜间皮瘤可发生于任何年龄,但以40岁以上多见,发病年龄通常在50~70岁之间。男性多于女性。恶性胸膜间皮瘤病变早期,在胸膜上可看到小结节,随病情发展,结节增大融合,占据胸膜腔。典型临床症状为胸痛、呼吸困难、胸腔积液。少数患者可有咳嗽、气急和体重下降。咳嗽一般为干咳,有时带有白色黏液痰。体格检查可见单侧肺基底部可触及的胸部肿块、结节,以及脊柱向患侧弯曲。
二、影像学表现
恶性胸膜间皮瘤的分期,按照Butchart法:Ⅰ期为仅限于同侧壁层;Ⅱ期为病变超出胸膜,侵犯胸壁或纵隔结构;Ⅲ期为肿瘤穿过横膈到达腹膜、对侧胸膜或胸外淋巴结;Ⅳ期为远处有血行转移。这一分期使用简便,但与预后的对应关系差。因此与治疗相关的研究中分期多采用Sugarbaker等提出的新分期方法:Ⅰ期为肿瘤可切除,无淋巴结转移;Ⅱ期为肿瘤可切除,淋巴结阳性;Ⅲ期为肿瘤侵犯纵隔或穿透膈肌不能切除;Ⅳ期为远处转移。
(一)超声
恶性胸膜间皮瘤合并胸腔积液时,超声对胸腔积液较敏感,可以借助胸腔积液透声窗,直接观察到肿瘤大小和范围。少量积液在侧卧位即可发现,特别是超声心动图可以发现肿瘤累及心包或心肌,超声引导下胸膜活检可作为胸膜间皮瘤安全、简便和经济的诊断方法。
(二)X线
恶性间皮瘤典型X线胸片表现为患侧异常大量渗出性胸腔积液。当肿瘤沿胸壁扩散可出现胸壁肿块、结节或弥漫性胸壁增厚。肿瘤明显增厚后,甚至可出现患侧肺组织容积明显减少及纵隔向患侧移位。60%患者病灶局限于患侧,仅5%患者出现双侧改变。具有石棉接触史的恶性胸膜间皮瘤患者仅20%在影像上可见石棉肺征象(肺间质纤维化)。胸部X线平片作为胸膜间皮瘤首选的方法,也是各种影像学检查的基础。X线检查可以发现较大病变,定位并提出初步诊断。但缺乏特征性。
(三)CT
由于较高的密度分辨率及薄层扫描,CT可以显示胸片上不能发现的早期病变,显示肿瘤的大小、范围、积液量和胸内脏器受累情况。对肿瘤内钙化和肋骨破坏可由其他影像学检查显示。
恶性胸膜间皮瘤的CT特点:
(1)多表现为患侧胸膜广泛增厚,增厚胸膜厚薄不均或呈波浪状或呈有分叶的丘状凸起。当肿瘤侵及胸壁时,可见胸膜外脂肪层模糊。当肿瘤以中下胸部为主,范围广泛,则表现为患侧胸廓塌陷,纵隔向患侧移位、固定,肺受压、缩小,也可有叶间胸膜和纵隔胸膜增厚。
(2)往往伴有中到大量胸腔积液,量少时则以环状胸膜增厚多见。需注意,由于大多数患者合并胸腔积液,CT平扫常难分辨增厚的胸膜和积液,注射造影剂后间皮瘤明显强化,而积液不强化,故可区分两者。
CT的应用也有其局限性。40%~50%恶性胸膜间皮瘤患者在尸检中被发现有肺门和纵隔淋巴结的转移。虽然CT是最常用的评估淋巴结转移的检查方法,但增大的淋巴结并不能证明是肿瘤转移所致;并且很多微小的转移灶在早期CT检查中易被忽视,无法准确判断胸腔内淋巴结转移。
(四)MRI
冠状位MRI可发现肿瘤穿透膈肌,侵犯腹膜腔。胸膜间皮瘤在MRI中表现为患侧肺周围环形胸膜肿块,T1加权像肿瘤呈中等信号,T2加权像肿瘤信号轻度增高。研究表明,MRI与CT相比,前者在发现纵隔、胸筋膜或胸壁病灶方面优于CT,可用于评价肿瘤与大血管的关系。随着MRI技术不断进步,MRI在恶性胸膜间皮瘤诊断中发挥作用将越来越大。
(五)PET/CT
18F-FDG PET/CT对于恶性胸膜间皮瘤的诊断、临床分期、疗效评价、监测复发及预后评估方面发挥重要作用。半定量研究表明,恶性胸膜间皮瘤18F-FDG摄取明显高于良性胸膜病变及正常肺组织。大多数恶性胸膜间皮瘤18F-FDG,代谢明显增高,典型表现为在胸膜受累区域代谢放射线异常浓聚。Benard等的资料显示,恶性病灶18F-FDG的SUV值明显高于良性病变,但上皮型与混合型或肉瘤型恶性胸膜间皮瘤SU V组间无显著差异。
PET/CT在判断恶性胸膜间皮瘤淋巴结转移具有独特作用。CT判断淋巴结转移的标准为直径大于1cm,而研究表明直径小于1cm肿瘤,淋巴结转移率也较高。而很多大于1cm淋巴结,经活检证实为炎性反应性淋巴结。而PET/CT通过淋巴结的代谢是否明显增高,可以准确判断增大和正常大小的胸内淋巴结是否发生转移。研究发现,恶性胸膜间皮瘤远处转移灶的18F-FDG代谢明显高于原发灶及胸内转移淋巴结,随临床分期的增加而增强,但与组织学分级的相关性差。恶性胸膜间皮瘤的组织学分级与临床分期无关。这些表现符合高转移性肿瘤具有更高能量需求的观点。
18F-FDG PET/CT在发现远处播散及全身转移方面明显优于CT、MRI等其他影像学检查。文献报告18F-FDG PET/CT显像不仅可以检出经组织学证实的腋窝及颈部淋巴结,以及肝、腹壁、腹膜等部位转移灶,同样隐匿性骨转移灶的诊断率明显提高。
然而PET/CT对于判断胸内淋巴结转移也存在一定的假阴性。其原因可能为:①恶性胸膜间皮瘤侵犯肺门或纵隔时,特别是巨大孤立肿大的淋巴结很难与胸腔内原发肿瘤鉴别分开。②部分N1转移淋巴结,其摄取18F-FDG较少,与正常淋巴结相比,无特异性代谢增高。③存在N2淋巴结的微转移。同时由于肉芽肿性淋巴结炎其18F-FDG代谢也增高,易误诊为转移淋巴结,而造成假阳性。
恶性胸膜间皮瘤病变早期肿瘤18F-FDG PET/CT显像可呈灶性、线性、弥漫性和不均匀性等放射性分布,进展期则呈现弥漫性或不均一性摄取增加。因此术前结合PET/CT病变的高代谢部位、范围及其他影像学检查,有助于准确判断手术的范围及程度。
恶性胸膜间皮瘤胸内、外绝大部分复发灶18FFDG代谢明显高于原发病灶。根据这一特点,可以初步判断隐匿性复发和远处转移,具有极高的敏感性。恶性胸膜间皮瘤病灶18F-FDG的SUV值与患者生存时间呈负相关,通过18F-FDG PET/CT显像可以初步估计患者的预后。
假阳性与假阴性:18F-FDG显像的假阳性包括良性炎症性胸膜炎、结核性胸膜炎、良性胸膜石棉性斑块、肺周围渗出以及滑石胸膜固定术后,上述病变所产生的炎症过程激活巨噬细胞,使其摄取18FFDG增加所致。假阴性主要见于极少数代谢无明显增加的低恶性胸膜间皮瘤。
胸腔穿刺镜检或胸膜活检可初步诊断恶性胸膜间皮瘤。胸腔积液细胞学检查阴性并不能排除患间皮瘤可能。大约10%患者穿刺后发生穿刺点种植转移,导致胸壁播散。相应穿刺点或手术瘢痕区适当给予放疗可降低其发生率。
假阳性与假阴性:18F-FDG显像的假阳性包括良性炎症性胸膜炎、结核性胸膜炎、良性胸膜石棉性斑块、肺周围渗出以及滑石胸膜固定术后,上述病变所产生的炎症过程激活巨噬细胞,使其摄取18FFDG增加所致。假阴性主要见于极少数代谢无明显增加的低恶性胸膜间皮瘤。
胸腔穿刺镜检或胸膜活检可初步诊断恶性胸膜间皮瘤。胸腔积液细胞学检查阴性并不能排除患间皮瘤可能。大约10%患者穿刺后发生穿刺点种植转移,导致胸壁播散。相应穿刺点或手术瘢痕区适当给予放疗可降低其发生率。
(环球医学编辑:余霞霞)
来源:《疑难病例影像诊断评述》
作者:郭启勇 卢再鸣
页码:72-76
出版:人民卫生出版社
- 评价此内容
- 我要打分
近期推荐
热门关键词
最新会议
- 2013循证医学和实效研究方法学研讨会
- 欧洲心脏病学会年会
- 世界帕金森病和相关疾病2013年会议
- 英国介入放射学学会2013年第25届年会
- 美国血液学会2013年年会
- 美国癫痫学会2013年第67届年会
- 肥胖学会 2013年年会
- 2013年第9届欧洲抗体会议
- 国际精神病学协会 2013年会议
- 妇科肿瘤2013年第18届大会
- 国际创伤压力研究学会2013年第29届…
- 2013年第4届亚太地区骨质疏松症会议
- 皮肤病协会国际2013年会议
- 世界糖尿病2013年大会
- 2013年国际成瘾性药年会
- 彭晓霞---诊断试验的Meta分析
- 武姗姗---累积Meta分析和TSA分析
- 孙凤---Network Meta分析
- 杨智荣---Cochrane综述实战经验分享
- 杨祖耀---疾病频率资料的Meta分析
合作伙伴
Copyright g-medon.com All Rights Reserved 环球医学资讯 未经授权请勿转载!
网络实名:环球医学:京ICP备08004413号-2
关于我们|
我们的服务|版权及责任声明|联系我们
互联网药品信息服务资格证书(京)-经营性-2017-0027
互联网医疗保健信息服务复核同意书 京卫计网审[2015]第0344号




会员登录

