老奶奶呼之不应还小便失禁 头颅MRI检查提示…
90岁女性,因呼之不应、小便失禁1天入院。考虑“急性脑血管意外”,CT检查排除脑出血后入院。既往有高血压、抑郁症、骨质疏松症骨盆骨折等病史。头颅MRI检查发现病因。
【病例介绍】
患者女性,90岁,因“呼之不应、小便失禁1天”入院。早晨7:00家属发现患者呼之无应答,小便失禁,呕吐胃内容物1次,无四肢抽动、舌咬伤。16:00送我院急诊科,考虑“急性脑血管意外”,CT检查排除脑出血后入院。
既往史:有“高血压”病史,收缩压最高180mmHg。曾发现血糖升高,未经正规诊治。有“抑郁症”病史。有“骨质疏松症骨盆骨折”病史,50余年前因车祸致下肢骨折(具体不详)。
入院查体:T 36.4℃,P 84次/分,R 18次/分,BP 165/100mmHg。双肺呼吸音低,双肺底可闻少许湿啰音。HR 84次/分,律齐。腹软,压之无痛苦表情,肠鸣音正常。右足背稍水肿。
神经系统检查:嗜睡,呼之能睁眼,稍烦躁,不能言语,查体不配合,双眼向左侧凝视,双侧瞳孔等大等圆,对光反射存,右侧鼻唇沟浅,不能配合伸舌,颈软,左侧肢体可见不自主活动,右侧肢体针刺可见回缩,不能抬离床面,感觉不能配合查,双侧腱反射(+++),右侧肢体肌张力高,左侧肢体正常。右侧巴氏征阳性,左巴氏征可疑,共济运动不能配合查。
实验室检查:血液分析、凝血功能试、肝功能、肾功能、电解质正常;随机血糖11.3mmol/L↑;心肌钙蛋白0.022ng/ml。
心电图:异位心律,快速心房纤颤。
头颅CT:无脑出血征象,未见脑梗死。
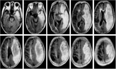
颅脑磁共振弥散加权成像(diffusion weighted imaging,DWI):①左侧大脑中动脉供血区急性期梗死灶。左侧颈内动脉海绵窦段所见,考虑有血栓形成。②脑干、双侧基底节区及丘脑双侧半卵圆中心多发陈旧性梗死灶(图1)。

图1 DWI显示左侧额、颞、顶、枕叶皮质下病灶为高信号
诊断:1.急性脑梗死(左侧大脑中动脉供血区);2.高血压病3级(极高危);3.糖尿病。
诊疗经过及结局:患者90岁高龄,有高血压史,突发起病,呼之不应、右侧肢体活动不灵1天,符合急性脑血管病的起病方式,行头颅MRI检查,明确诊断为大脑中动脉主干急性脑梗死。因患者高龄,且发病时间已超过6小时,治疗上无静脉或动脉溶栓的指征。降颅压治疗应予甘露醇疗效佳,但患者高龄老人,大剂量使用甘露醇可能出现心、肾功能不全,故临床予甘露醇、人血白蛋白、呋塞米交替脱水治疗,取得肯定疗效;患者反复发热,体温37.5~38.6℃,肺部啰音无增加,脱水治疗后体温正常,考虑高颅压,中枢性发热,降低颅压后体温持续正常;依达拉奉清除自由基;阿司匹林100mg/d抗血小板;阿托伐他汀20mg/d稳定动脉斑块。经治疗2周患者呼之有反应,能配合眨眼、伸舌,右侧肢体肌力Ⅱ级。
随访6个月病情平稳。
【病例讨论】
脑梗死以大脑中动脉梗死发病率最高,大脑中动脉主干闭塞主要以脑血栓形成和脑栓塞多。大脑中动脉(MCA)主干闭塞是一种常见的动脉闭塞,根据动脉腔狭窄及血流减少速率分为急性和慢性两类[1]。急性MCA闭塞患者不会出现侧支循环血管,代偿机制的缺乏常导致严重脑缺血改变和大面积梗死,脑水肿严重,故其症状较重,多以瘫痪、失语、意识障碍为首发症状,常伴有头痛、呕吐。相关的研究资料表明,约有25%至半数的脑栓塞是由于心源性栓子栓塞至脑动脉,以大脑中动脉供血区最常见。有研究显示90例患者中,有68.8%的患者(62/90)合并有心房纤颤[2]。故而心房纤颤为心源性脑梗死最主要的发病原因。大脑中动脉主干闭塞导致病灶对侧中枢性面舌瘫与偏瘫(基本均等性)、偏身感觉障碍及偏盲(三偏);优势半球受累出现完全性失语症,非优势半球出现体象障碍。
对急性缺血性脑卒中患者进行病因分型有助于判断预后、指导治疗和选择二级预防措施。缺血性脑卒中的病因分型沿用传统的TOAST分型[3],将缺血性脑卒中依照临床表现,影像学资料及相关血管检查分为5型:大动脉粥样硬化型、心源性栓塞型、小动脉闭塞型、其他明确病因型和病因不明型。
大动脉粥样硬化性卒中(LAA),约占17.3%,这一类型患者通过颈动脉超声波检查发现颈动脉闭塞或狭窄(狭窄≥动脉横断面的50%)。血管造影或MRA显示颈动脉、大脑前动脉、大脑中动脉、大脑后动脉、椎-基底动脉狭窄程度≥50%。其发生是由于动脉粥样硬化所致。患者如出现以下表现,对诊断LAA有重要价值:①病史中曾出现多次短暂性脑缺血发作(TIA),多为同一动脉供血区内的多次发作;②出现失语、复视、运动功能受损症状或有小脑、脑干受损症状;③颈动脉听诊有杂音、脉搏减弱、两侧血压不对称等;④颅脑CT或MRI检查可发现有大脑皮质或小脑损害,或皮质下、脑干病灶直径>1.5cm,可能为潜在的大动脉粥样硬化所致的缺血性脑卒中;⑤彩色超声波、经颅多普勒超声(TCD)、MRA或数字减影血管造影(DSA)检查可发现相关的颅内或颅外动脉及其分支狭窄程度>50%,或有闭塞;⑥应排除心源性栓塞所致的脑卒中。
心源性脑栓塞约占9.3%,这一类型是指包括多种可以产生心源性栓子的心脏疾病所引起的脑栓塞。疾病特点:①临床表现及影像学表现与LAA相似;②病史中有多次及多个脑血管供应区的TIA或卒中以及其他部位栓塞;③有引起心源性栓子的原因,至少存在一种心源性疾病。
心源性栓塞性卒中证据是:二尖瓣狭窄、心脏瓣膜脱垂、4周内心梗、左心耳附壁血栓、左心室室壁瘤、心房颤动/心房扑动、病态窦房结综合征、扩张型心肌病、左室射血分数<35%、心内膜炎、心腔内肿瘤、卵圆孔未闭加原位血栓、卵圆孔未闭加梗死前肺栓塞或下肢深静脉血栓形成。
急性缺血性脑卒中诊断流程应包括如下5个步骤(图2):①是否为脑卒中?排除非血管性疾病。②是否为缺血性脑卒中?进行脑CT或MRI检查排除出血性脑卒中。③脑卒中严重程度?根据神经功能缺损量表评估。④能否进行溶栓治疗?核对适应证和禁忌证(见溶栓中相关内容)。⑤病因分型?参考TOAST标准,结合病史、实验室、脑病变和血管病变等检查资料确定病因。

图2 急性缺血性脑卒中诊断流程
该患者家属未提供心房纤颤病史,但心电图提示快速房颤,考虑阵发性房颤,心脏附壁血栓脱落,心源性不能除外;患者有高血压史,发现血糖升高,未经正规诊治,随机血糖大于11.1mmol/L,且颅脑MRI提示左侧颈内动脉海绵窦段有血栓形成,多发陈旧性脑梗死,大动脉粥样硬化型也要考虑。因患者高龄,且发病时间已超过6小时,静脉及动脉溶栓均不考虑。给予阿司匹林抗血小板,阿托伐他汀稳定动脉硬化斑块,改善预后,降低复发风险。国外研究显示调整其他血管危险因素后,单独心房颤动可使卒中的风险增加3~4倍[4]。因此对心源性脑梗死复发的预防至关重要。因增加出血风险,ACC/AHA不推荐阿司匹林和氯吡格雷联用。大量研究已证实华法林预防心源性脑卒中的绝对优势,华法林的最佳用量为INR 2.0~3.0。该患者高龄,出血风险较大,易发生继发脑出血,消化道出血,因此未使用华法林,待患者病情好转,再评价华法林的风险与获益,是否使用华法林。患者严重脑水肿,使用甘露醇脱水损伤肾功能,交替应用甘露醇、呋塞米、人血白蛋白脱水,减小对肾脏损伤。我们能够对脑梗死患者的发病机制,病因分层都掌握,就可以给患者提供个体化的治疗,选择最适合的治疗方法,使患者取得最佳的治疗效果,降低复发率。
【专家点评】
李燕(云南省第一人民医院老年科主任医师)
1.本患者根据TOAST病因分型,大动脉粥样硬化型及心源性栓塞型两者均存在,像这样患多种基础疾病的高龄老人,病因往往不是单一的,可多种原因并存,治疗时尤其是二级预防需注意。
2.患者年龄大于80岁,就诊时间超过6小时,梗死面积大,多重危险因素发病前均未控制,无动脉和静脉溶栓治疗指征。
3.大面积脑梗死可发生严重脑水肿和颅内压增高,是死亡的主要原因之一,因此需有效的脱水、降低颅压,必要时请脑外科行减压术。本患者使用联合药物脱水、降低颅压有效,未发生脏器功能进一步损伤;并且脱水后体温正常,体温升高与高颅压有一定关系,值得在今后的临床工作中借鉴。
4.患者心源性脑栓塞、大面积脑梗死、脑占位效应明显、早期低密度征、年龄大于70岁等易增加出血转化的风险。如果发生症状性出血转化,停用抗栓治疗等致出血药物;可于出血转化病情稳定后7~10天开始抗栓治疗;对于再发血栓风险相对较低或全身情况较差者,可用抗血小板药物代替华法林(该患者未发生出血转化)。
5.心房颤动可使心脏形成栓子,并反复脱落,反复发生脑栓塞,华法林可减少心房颤动患者的脑卒中复发率,对于不能接受华法林的患者,可氯吡格雷联合阿司匹林,华法林的作用要优于氯吡格雷+阿司匹林,华法林的最佳用量为INR 2.0~3.0。
6.脑梗死发生后预防复发尤为重要,积极控制危险因素:高血压、高血糖、高血脂。高血压是脑卒中的主要危险因素,老老年患者降压目标一般应该达到≤150/90mmHg,但多种疾病并存,理想应达到≤130~140/80mmHg,血压过低,脑低灌注加重脑水肿。血糖控制对2型糖尿病的血管病变有保护作用,血糖控制不良与脑卒中复发有关,靶目标为HbA1c<6.5%。他汀类药物可以预防全身动脉粥样硬化性病变的进展,稳定动脉粥样硬化斑块,降低脑卒中复发风险,长期口服他汀类药物是必要的,但对于老年人应注意观察肝功能变化。
7.建议给患者采用饮水试验进行吞咽功能评估,吞咽困难短期内不能恢复者早期可插鼻胃管进食,吞咽困难长期不能恢复者可经皮内镜下胃造瘘(PEG)管进食。
8.瘫痪重、年老及心房颤动者发生深静脉血栓形成(DVT)和肺栓塞的比例更高,应注意患者的心、肺功能及并发症的防治。鼓励患者尽早活动、抬高下肢;尽量避免下肢(尤其是瘫痪侧)静脉输液。可联合加压治疗(长筒袜或交替式压迫装置)。
9.尽早进行功能锻炼为主的康复治疗。
[1]张同霞,焉传祝,赵秀鹤,等.大脑中动脉狭窄患者临床与神经影像学特点.山东大学学报:医学版,2012,50(11):75-78.
[2]Berpe E,Dahl T.Heart disease and stroke.Tidsskr Nor Laeqeforen,2007,127(7):897.
[3]Adams HP,Bendixen BH,Kappelle LJ,et al.Classification of subtype of acute ischemic stroke.Definitions for use in amulticenter clinical trial.TOAST.Trial of Org 10172 in Acute Stroke Treatment.Stroke,1993,24(1):35-41.
[4]Wolf PA,Abbott RD,KannelWB.Atrial fibrillation as an independent risk factor for stroke:the Framingham Study.Stroke,1991,22:983-988.
(环球医学编辑:余霞霞)
来源:《老年科疑难病例解析》
作者:李小鹰 樊瑾
页码:230-233
出版:人民卫生出版社
- 评价此内容
- 我要打分
近期推荐
热门关键词
最新会议
- 2013循证医学和实效研究方法学研讨会
- 欧洲心脏病学会年会
- 世界帕金森病和相关疾病2013年会议
- 英国介入放射学学会2013年第25届年会
- 美国血液学会2013年年会
- 美国癫痫学会2013年第67届年会
- 肥胖学会 2013年年会
- 2013年第9届欧洲抗体会议
- 国际精神病学协会 2013年会议
- 妇科肿瘤2013年第18届大会
- 国际创伤压力研究学会2013年第29届…
- 2013年第4届亚太地区骨质疏松症会议
- 皮肤病协会国际2013年会议
- 世界糖尿病2013年大会
- 2013年国际成瘾性药年会
- 彭晓霞---诊断试验的Meta分析
- 武姗姗---累积Meta分析和TSA分析
- 孙凤---Network Meta分析
- 杨智荣---Cochrane综述实战经验分享
- 杨祖耀---疾病频率资料的Meta分析
合作伙伴
Copyright g-medon.com All Rights Reserved 环球医学资讯 未经授权请勿转载!
网络实名:环球医学:京ICP备08004413号-2
关于我们|
我们的服务|版权及责任声明|联系我们
互联网药品信息服务资格证书(京)-经营性-2017-0027
互联网医疗保健信息服务复核同意书 京卫计网审[2015]第0344号




会员登录

