女童头痛后出现抽搐 全脑全脊髓血管造影后揪出元凶
10岁女童,入院前3个月无明显诱因出现头痛,头痛后出现抽搐。就诊于当地医院,查颅脑MRI及MRA未见明显异常,行腰椎穿刺术未成功,给予地塞米松及其他药物(具体不详)治疗后好转,未再出现抽搐及头痛。入笔者医院前3天再次出现抽搐,抽搐后亦出现头痛、呕吐及颈项强直,给予头孢甲肟、甘露醇、布洛芬等治疗,仍有间断头痛。完善检查后,发现该患儿患有……
1 病例简介
患儿,女,10岁,因“3个月内抽搐2次”于2010年10月23日入本院儿内科。患儿于入院前3个月(2010年7月21日),无明显诱因出现头痛,头痛后出现抽搐,抽搐表现为意识丧失、双眼紧闭、头后仰、全身僵直、双手握拳屈曲、小便失禁,持续约1~2分钟后自行缓解,缓解后意识清楚、全身发软,伴呕吐数次,为非喷射性,呕吐物为胃内容物,发病1天后出现头痛、腰背部疼痛,不伴有发热、腹泻。就诊于当地医院,查颅脑MRI及MRA未见明显异常,行腰椎穿刺术未成功,给予地塞米松及其他药物(具体不详)治疗后好转,未再出现抽搐及头痛。本次入院前3天(2010年10月20日)患儿诉咽痛,无发热、呕吐、腹泻,自服小儿氨酚烷胺颗粒治疗,于当日夜间再次出现抽搐,表现同前,抽搐后亦出现头痛、呕吐及颈项强直,就诊于某市级儿童医院,查颅脑CT检查(图1),显示“脑室系统饱满,双侧脑室后角室管膜下血管影显著,余颅脑平扫未见异常”;血常规、血生化及血气分析检查均未见明显异常。给予头孢甲肟、甘露醇、布洛芬等治疗,仍有间断头痛,为求进一步诊治就诊于本院,门诊以“抽搐原因待查”收入院。

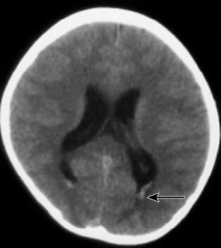
图1 首次颅脑CT检查(外院,2010年10月20日):脑室系统饱满,双侧脑室后角室管膜下血管影显著(箭头),余颅脑平扫未见异常
既往史:患儿于2007年因发现右侧腹股沟包块行超声检查,诊断为“血管瘤”,未行任何处理。否认肝炎、结核、疟疾病史,否认手术、外伤、输血史,否认食物、药物过敏史,按当地防疫部门要求预防接种。
入院查体:体温36.6℃,脉搏92次/分,呼吸20次/分,血压105/68mmHg,体重37kg。神志清,精神可,对答自如,吐字清晰。全身皮肤未见皮疹及出血点,右腹股沟可触及约3cm×3cm肿物、无触痛及活动、质软,浅表淋巴结未及肿大,双瞳孔等大等圆,对光反射灵敏,粗测视力正常,咽无充血,头后仰,颈项强直。双肺呼吸音清,未闻及啰音,心腹查体未见异常,四肢肌力、肌张力正常,Kernig征、Brudzinski征阳性,双侧Babinski征阴性。
辅助检查:血常规(2010年10月21日):白细胞10.86×109/L,中性粒细胞0.83,血红蛋白129g/L,血小板301×109/L。颅脑CT平扫(2010年10月25日,图2):脑室系统饱满,双侧脑室后角室管膜下血管影显著,余颅脑平扫未见异常。超声(小器官)(2010年8月3日)检查结果:右侧髂腰肌内、髂外动静脉周围及腹股沟区皮下大片蜂窝状无回声区,考虑血管瘤。

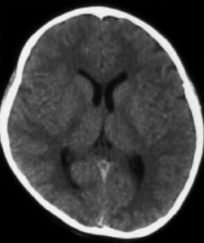
图2 第二次颅脑CT检查(2010年10月25日):未见明显脑室及蛛网膜下腔出血
入院时诊断:抽搐原因待查、右侧腹股沟区血管瘤。
诊疗经过:入院后行腰椎穿刺术,连续留取3管脑脊液,均为淡红色血性脑脊液,脑脊液化验结果除外中枢神经系统感染。2010年10月28日晚19时40分患儿站立中诉腿疼,平卧后再次出现抽搐,表现为口吐白沫、双手握拳、双上肢屈曲、颈部强直,并有意识障碍。予吸氧、镇静止惊、改善脑水肿等对症治疗,仍反复抽搐多次。急诊行颅脑CT检查,示脑室及蛛网膜下腔少量出血(图3)。遂由儿内科转神经外科治疗。转科后行全脑全脊髓血管造影提示:T11~L2脊髓血管畸形(图4)。遂于2010年11月10日在全麻下行T11~L2脊髓畸形血管团切除+椎板扩大成形+硬膜修补术。术后给予脱水、抗炎、止血、补液、支持、神经营养、激素等治疗后患者意识逐渐转清,未再抽搐,病情稳定出院。

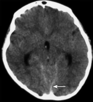
图3 第三次颅脑CT检查(2010年10月28日):脑室及蛛网膜下腔少量出血(箭头)

图4 全脑全脊髓血管造影(2010年10月29日)提示:T11~L2硬脊膜动静脉瘘(箭头)
出院诊断:T11~L2脊髓血管畸形;蛛网膜下腔出血、脑室内出血;继发性癫痫;右侧腹股沟血管瘤。
2 讨论
脊髓血管畸形为先天性发育异常,约占中枢神经系统全部血管畸形的16.5%,男女之比为3∶1。以青年和中年人多见,儿童少见[1]。大多位于硬脊膜下及脊髓内外,胸段受累最多,其次为腰骶段,颈段受累者较少。临床上可出现突然头颈或腰骶部疼痛、不完全性或完全性截瘫或四肢瘫,截瘫具有缓解期是其特征性表现。约有15%的脊髓血管畸形患者以蛛网膜下腔出血为首发症状,并可反复发作,其出血灶发生在脊髓,一般除出血症状外常造成急性截瘫。临床表现为突发的背痛、颈痛或肢痛,旋即出现截瘫,并有膀胱功能障碍及脑膜刺激征,当出血进入颅内蛛网膜下腔亦可有意识障碍及其他脑损害表现。如脊髓症状不明显时,往往误诊为蛛网膜下腔出血[2]。
本例患儿以反复抽搐为首发症状,脊髓症状不明显,虽在外院曾行颅脑CT检查,但因为出血量较少考虑为血管影未予重视,头CT报告未提示有颅内出血。住院后行腰穿脑脊液呈淡淡的红色,术者考虑是损伤。入院后的颅脑CT报告正常(见图2)。患儿入院第5天活动后很快出现抽搐、意识障碍,再次复查CT(见图3),显示脑室及蛛网膜下腔少量出血。急转神经外科后行全脑全脊髓血管造影提示:T11~L2脊髓血管畸形。
本例入院前反复抽搐起病,考虑每次出血量不多,随着出血吸收,症状缓解。入院后根据患儿脑膜刺激征、血性脑脊液及颅脑CT检查不能除外蛛网膜下腔出血。行全脑血管造影术未发现颅内血管畸形,继续向下行脊髓血管造影证实为胸腰段脊髓血管畸形致脊髓蛛网膜下腔出血并反流入脑室系统和蛛网膜下腔导致抽搐和意识障碍。
根据血管造影的表现,通常将脊髓血管畸形分为4型:髓内动静脉畸形、膜内髓周动静脉瘘、硬脊膜动静脉瘘和混合型动静脉畸形[3]。临床上以硬脊膜动静脉瘘最常见,是指在神经孔处硬脊膜上多发的动静脉瘘,动脉供血主要来源于节段性动脉的硬膜分支,静脉回流至脊髓的冠状静脉丛,静脉引流主要位于脊髓背侧,可贯穿脊髓全长。发病机制主要为静脉高压引起脊髓及神经根淤血、水肿。脊髓盗血、血栓形成、畸形血管局部占位、静脉高压以及出血均可有如下表现:后背及神经根痛、截瘫、横贯性感觉障碍、括约肌功能及性功能障碍,而蛛网膜下腔出血、腹壁牵涉痛等少见[4]。本例患儿脊髓血管造影表现符合硬脊膜动静脉瘘,之所以无截瘫等表现,可能与出血量少、畸形血管团尚未对脊髓造成明显压迫有关。
脊髓血管畸形可以通过手术和(或)栓塞手段进行根治。在脊髓血管畸形未对脊髓造成永久性损害之前能够确定诊断并及时早期治疗是获得良好疗效的关键。其基本的治疗原则是去除或闭塞畸形团及瘘口,不损伤供血动脉和引流静脉,且对脊髓组织的损伤要降到最低。治疗方法包括畸形供血动脉的结扎、畸形血管的切除和血管内栓塞治疗。通过显微外科手术直接切除畸形血管也是一种十分可靠的治疗方法,但对于髓内血管畸形直接切除较困难。血管内栓塞治疗是较常用的治疗方法,通过微导管将栓塞剂注入阻塞供血动脉,减少畸形血管的供血,从而减轻对脊髓的损害[5]。
专家点评 王立文
抽搐是儿童期常见的神经系统症状之一,其病因复杂,本例所示的由脊髓血管畸形导致反复蛛网膜下腔出血所致的抽搐更为少见。本文作者以患儿抽搐为主线,同时紧紧抓住患儿抽搐后腰背部疼痛、站立时腿痛及抽搐发作后头痛、呕吐、颈项强直、右侧腹股沟区血管瘤临床症状及体征,及时作相应的检查(脑脊液、脊髓血管造影),确定了诊断并治疗。该文提示:对抽搐发作儿童,要重视抽搐发作伴随的其他症状。
参考文献
1.Song D,Garton HJ,Fahim DK,et al.Spinal cord vascular malformations in children[J].Neurosurg ClinN Am,2010,21:503-510.
2.Guo LM,Zhou HY,Xu JW,et al.Dural arteriovenousfistula at the foramen magnum presenting with subarachnoid hemorrhage:case reports and literature review[J].Eur J Neural,2010,17:684-691.
3.Krings T,Lasjaunias PL,Hans FJ,et al.Imaging in spinal vascular disease[J].Neuroimaging Clin N Am,2007,17:57-72.
4.Narvid J,Hetts SW,Larsen D,et al.Spinal dural arterio venous fistulae:clinical features and long-term results[J].Neurosurgery,2008,62:159-166.
5.Kalani MY,Ahmed A,Martirosyan NL,et al.Surgical and endovascular treatment of pediatric spinal arteriovenous malformations[J].World Neurosurg,2011,78(3-4):348-354.
(环球医学编辑:余霞霞)
来源:《中国卒中杂志病例精选》
作者:王春雪 张宁
页码:190-193
出版:人民卫生出版社
- 评价此内容
- 我要打分
近期推荐
热门关键词
最新会议
- 2013循证医学和实效研究方法学研讨会
- 欧洲心脏病学会年会
- 世界帕金森病和相关疾病2013年会议
- 英国介入放射学学会2013年第25届年会
- 美国血液学会2013年年会
- 美国癫痫学会2013年第67届年会
- 肥胖学会 2013年年会
- 2013年第9届欧洲抗体会议
- 国际精神病学协会 2013年会议
- 妇科肿瘤2013年第18届大会
- 国际创伤压力研究学会2013年第29届…
- 2013年第4届亚太地区骨质疏松症会议
- 皮肤病协会国际2013年会议
- 世界糖尿病2013年大会
- 2013年国际成瘾性药年会
- 彭晓霞---诊断试验的Meta分析
- 武姗姗---累积Meta分析和TSA分析
- 孙凤---Network Meta分析
- 杨智荣---Cochrane综述实战经验分享
- 杨祖耀---疾病频率资料的Meta分析
合作伙伴
Copyright g-medon.com All Rights Reserved 环球医学资讯 未经授权请勿转载!
网络实名:环球医学:京ICP备08004413号-2
关于我们|
我们的服务|版权及责任声明|联系我们
互联网药品信息服务资格证书(京)-经营性-2017-0027
互联网医疗保健信息服务复核同意书 京卫计网审[2015]第0344号




会员登录

