老奶奶反复头昏脑涨、胸闷心慌、血压不稳定 检查后发现祸不单行
76岁女性,曾在笔者医院行右大脑中动脉球囊扩张术。因“反复头昏脑涨、胸闷心慌、血压不稳定5个月”再次入院。就诊前1个月余反复出现发作性头晕,面红、步态不稳、胸闷心慌、气短、出汗、血压升高,治疗后缓解。此后患者出现情绪障碍,被诊断为“抑郁症伴惊恐障碍”。完善相关检查后,发现该患者祸不单行。
1病例简介
患者女,76岁,退休工人,因“反复头昏脑涨、胸闷心慌、血压不稳定5个月”于2011年10月31日就诊。
患者曾因“左上肢无力、麻木10天”于2011年5月30日以“脑梗死”住我科,住院期间,经头颅MRI及脑血管造影检查诊断为右侧放射冠脑梗死,右大脑中动脉M1段狭窄,于2011年6月9日行右大脑中动脉球囊扩张术,治疗后患者左上肢肌力由4级恢复到5-级,于2011年6月16日出院,继续给予氯吡格雷75mg每日一次、阿托伐他汀钙20mg每日一次,进行缺血性卒中二级预防,门诊随诊。出院后患者血压不稳定,波动在160~200/90~110mmHg,出现持续性头昏脑涨、头重脚轻,左上肢乏力、麻木加重,口干口苦、腹胀、恶心、食欲缺乏,便秘,睡眠差、难入睡、早醒,经常卧床。患者容易紧张、激动,烦躁不安,每天多次测量血压,时常担心再次卒中,不敢独处,自行服多种改善脑循环药物,常去诊所静注“通血管药物”,自觉症状时好时坏。患者就诊前1个月余反复出现发作性头晕,面红、步态不稳、胸闷心慌、气短、出汗、血压升高,多次到我院及其他医院急诊科就诊,检查除发现血压高、心率快外,无神经系统体征,给予吸氧、扩血管、降压等处理,每次持续十几分钟至数小时缓解。家人觉得患者有情绪问题,患者只关注自己的各种不适,对其他事物漠不关心,整日惶恐不安,家人曾带患者去心理科就诊。心理科医生认为患者急诊时反复发作性症状为惊恐发作,诊断“抑郁症伴惊恐障碍”,建议给予抗抑郁药和抗焦虑药治疗,但患者不认同心理科医生诊断,不接受上述治疗,于2011年10月31日因上述症状再发由急诊转我科入院治疗。
既往史:患者有高血压病史20余年,长期服用氨氯地平5mg每日一次、酒石酸美托洛尔片25mg每日两次维持,血压波动在160~200/90~110mmHg。有双手震颤30多年,持物时出现,近一个月双手震颤加重。无吸烟及饮酒等嗜好。长期睡眠不好,未诊治。
个人史:初中毕业,退休工人,右利手。平素具有为人仔细、容易敏感、紧张、多虑等人格特征。
家族史:无精神病家族史。
入院查体:血压180/100mmHg,心率92次/分,呼吸平顺,心肺腹查体未见异常。神经系统检查:右利手,姿势、步态正常,意识清晰、语言流利、定向力、记忆力、计算力、判断力、逻辑思维能力正常,脑神经无异常,肌力、肌张力正常,无肌萎缩、肌压痛,无共济失调,双手姿势性震颤,无静止性、意向性震颤,无感觉异常,深浅反射正常,病理征阴性,自主神经系统无异常,颈无抵抗、脑膜刺激征阴性。精神检查:衣着整洁,定向力完整,接触好,情感反应适合、贴切,面部潮红、表情焦虑、紧张,主动叙述病情,力求详细,反复表达、询问和求证,躯体主诉多,累及多个系统,求治欲强,但对治疗无信心,对生活无兴趣,情绪低落,感觉连累家人、生不如死。
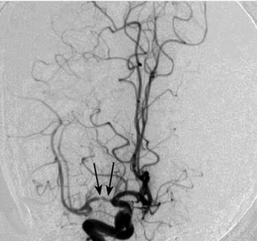
辅助检查:DSA(2011年6月2日):右侧大脑中动脉分叉前弥漫变细伴狭窄65%(图1),前向血流2级,右侧C4段斑块形成,右侧大脑前动脉缺如,右侧后交通动脉乳头状扩张,右颈总动脉分叉处斑块形成;左侧颈外动脉开口斑块形成,左侧颈内动脉C4、C6、C7段斑块形成,左侧椎动脉V1、V3段斑块形成,右侧椎动脉止于右侧小脑后下动脉,其余血管未见异常。

图1 术前DSA结果:右侧大脑中动脉分叉前弥漫变细伴狭窄(箭头)
右大脑中动脉狭窄动脉球囊扩张术(2011年6月9日):术后造影见右侧大脑中动脉M1狭窄部位有所扩张(图2)。

图2 大脑中动脉球囊扩张术后DSA结果:右侧大脑中动脉狭窄部位有所扩张(箭头)
头颅MRI及MRA(2011年6月10日):右侧放射冠脑梗死灶;脑血管斑块成像:右侧大脑中动脉斑块形成。
头颅MRI(2011年11月2日):右侧放射冠脑梗死灶,轻度脑萎缩,未见新发病灶。
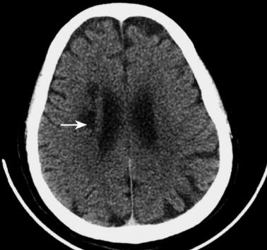
头颅、颈部螺旋计算机断层增强扫描及血管扫描(2011年11月3日):轻度脑萎缩,右侧放射冠脑梗死灶(图3),脑动脉硬化,未见颅内外血管狭窄。

图3 CT结果:右侧放射冠低密度脑梗死灶(箭头)
实验室检查:血常规、凝血指标、空腹及餐后2小时血糖、糖化血红蛋白、血脂、超敏C反应蛋白、同型半胱氨酸、甲状腺功能、肝、肾功能等检查无异常。
量表检查(2011年11月1日):简易智力状态检查(mini-mental state examination,MMSE)29分;抑郁自评量表(self-rating depression scale,SDS)65分;焦虑自评量表(self-rating anxiety scale,SAS)60分。
入院诊断:卒中后抑郁共病惊恐障碍、右侧放射冠脑梗死恢复期、特发性震颤、高血压3级(极高危分层)。
诊疗经过:患者入院后,经影像学检查未发现新发脑梗死及颅内外动脉狭窄,向其解释疾病诊断及进一步治疗措施,患者认同有焦虑抑郁情绪,但对抗抑郁及抗焦虑药物心存疑虑,担心药物有副作用,勉强接受抗抑郁抗焦虑药物治疗。给予阿普唑仑0.2mg每日两次,0.4mg每晚一次,盐酸舍曲林25mg每日一次,并给予氯吡格雷75mg每日一次抗血小板治疗,氨氯地平5mg每日一次、酒石酸美托洛尔25mg每日两次,控制血压,以及阿托伐他汀钙20mg每日一次。2011年11月4日带药出院,门诊随诊。
出院2周后患者来诊,诉因服用盐酸舍曲林2天后出现腹胀、恶心、头昏、心慌、胸闷加重,不能入睡,血压升高,焦虑不安,到内科门诊就诊,医生认为是盐酸舍曲林的副作用,嘱停用,我科向患者解释盐酸舍曲林用药早期会加重患者原有消化道症状,但其他症状与患者对盐酸舍曲林治疗的焦虑反应有关,嘱其继续服用盐酸舍曲林,但患者拒绝,故停用盐酸舍曲林,加大阿普唑仑剂量为0.4mg每日两次,0.8mg每晚一次,加用胃动力药莫沙比利5mg每日三次。
1周后患者头昏、心慌、胸闷、睡眠症状均有改善,有1次惊恐发作,症状较轻,即刻服用0.4mg阿普唑仑后症状缓解,未去急诊,但感觉疲乏、困倦,再次加用盐酸舍曲林,逐步加量至75mg每日一次,减少阿普唑仑剂量为0.2mg每日两次(早、午),0.4mg每晚一次。4周后患者紧张、焦虑减轻,头昏脑涨消失,双手震颤减轻,但血压仍偏高(150~160/85~90mmHg)、心率偏快(100次/分左右),不敢活动,食欲缺乏,将酒石酸美托洛尔换为盐酸阿罗洛尔10mg每日两次治疗,阿普唑仑逐步减量停用。6周后患者心慌改善,心率维持在70~80次/分,血压控制在140~130/85~80mmHg,双手震颤消失。8周后患者自觉精神好转,心情和身体均感觉轻松,饮食、睡眠好,能主动做简单家务,复测SDS41分,SAS40分。盐酸舍曲林75mg每日一次继续维持至今。
2讨论
卒中后情绪障碍是卒中后常见并发症,能增加卒中患者的死亡率及医疗负担,延缓神经功能康复,降低患者及其家人的生活质量[1],因此越来越受到神经科医师的重视。国内外研究显示,30%~40%的卒中患者有情绪障碍,主要为卒中后抑郁障碍、卒中后焦虑障碍以及卒中后焦虑抑郁共病[2,3]。早期识别卒中后焦虑抑郁障碍,减少漏诊、误诊、误治,规范化治疗成为每个神经科医师不得不面对的课题。近20年来,卒中后抑郁焦虑发病机制、相关因素、流行病学研究成为热点,尽管结果存在很大差异,但卒中后抑郁焦虑是生物-心理-社会多因素、多机制共同作用的结果已成共识[4]。临床上抑郁、焦虑障碍的躯体症状与心脑血管疾病的许多表现有相似之处,当患者在躯体疾病的基础上合并抑郁、焦虑时,患者和非精神科医师易把抑郁焦虑的躯体症状归因于已患的躯体疾病,而忽略了抑郁、焦虑障碍的存在。本例患者在脑梗死急性期已出现不能用脑梗死解释的、累及多个系统的躯体症状和情绪、行为改变,但没有引起经治医师的重视,依然按缺血性脑血管病治疗,导致抑郁、焦虑障碍迁延反复。
近几年新版的各国卒中指南都强调要对卒中急性期和康复期患者用标准化量表进行抑郁、焦虑筛查[5-7]。量表测评可以及时发现抑郁、焦虑症状[8],评估症状的严重程度及治疗效果。诊断依然要套用现行的三大精神障碍诊断与分类标准中抑郁、焦虑障碍的标准[9-11],本例患者既符合抑郁症的诊断标准,又符合惊恐障碍的诊断标准,因此诊断为卒中后抑郁共病惊恐障碍。
卒中后情绪障碍的危害显而易见,早期干预势在必行。卒中后抑郁、焦虑的治疗主要包括药物治疗和心理治疗。由于心理治疗从业人员有限,患者的接受度差,且疗效存在争议,而药物治疗已经得到临床试验证实,成为卒中后抑郁、焦虑治疗的主要措施[12]。药物治疗应遵从《抑郁障碍防治指南》[13]和《中国焦虑障碍防治指南》[14]规范化治疗。这两部指南指出药物治疗的原则及策略为:个体化合理用药,从小剂量开始逐步递增至足量、足疗程的全程治疗。抑郁障碍的全程治疗包括急性期治疗(6~8周)、巩固期治疗(至少6个月)、维持期治疗(首次发作6~8个月、2次以上发作2~3年、多次发作长期治疗),以达到临床痊愈,防止复燃与复发。
目前5-羟色胺再摄取抑制剂(selective serotonin reuptake inhibitors,SSRIs)是临床应用最多、循证医学证据最充分的抗抑郁药,已作为卒中后抑郁、焦虑的一线用药。其他抗抑郁药因对心血管、血压的影响,在卒中患者中的应用受到限制[15,16]。本例患者为抑郁、惊恐障碍(焦虑障碍之一)共病,治疗应选择同时有抗焦虑和抗抑郁作用的药物。抗抑郁药起效相对慢,而患者有明显的焦虑及频繁惊恐发作,尽快控制焦虑症状,可以提高患者治疗的依从性。因此,治疗早期联用苯二氮类药物控制焦虑症状,待抗抑郁药起效后再逐步减量停用[8,10,11]。抑郁、焦虑障碍是高复发疾病,巩固和维持治疗可显著降低复发率,同时可以降低再发卒中的风险,本例患者经急性期治疗,临床症状控制,应继续全疗程治疗以期达到临床痊愈。
本例患者在卒中后早期已出现明显的焦虑、抑郁症状和累及多系统的躯体症状,并因此在急诊科、内科、神经科反复就诊,但均未被医生及早识别和给予相应治疗,导致误诊、误治。卒中患者共病焦虑、抑郁障碍发生率高,多以躯体症状就诊,当患者出现不能用器质性疾病解释的躯体症状时,应意识到患者存在情绪障碍的可能。综合性医院医生应加强焦虑、抑郁障碍知识的培训,规范化治疗器质性疾病伴发的焦虑、抑郁障碍,提高患者的生存质量,恢复社会功能,减少医疗资源的浪费。
专家点评 潘小平
卒中后抑郁、焦虑等情绪障碍的出现,为神经科医生提出了新的挑战。可能很多医生会觉得这样的患者很“麻烦”、很“棘手”——卒中症状已明显改善,患者为何仍有诸多躯体不适主诉?但如果关注了情绪问题,那么所谓的“疑难杂症”即可迎刃而解。加强对卒中后情绪障碍的识别和诊治,已成当务之急。近年欧美卒中指南均强调要对卒中急性期和康复期患者用标准化量表进行抑郁、焦虑筛查,以便及时给予综合治疗。
本病例在神经科临床工作中具有普遍性和典型性,患者在卒中的急性期及恢复期均表现出显著的抑郁及焦虑惊恐症状。因为一些医生对情绪障碍的忽略以及患者对抗抑郁治疗的抗拒造成了疾病迁延,故加强对非精神科医生和卒中患者的健康教育势在必行。唯有如此,才能最大程度地实践我们共同的医学目标:解除患者病痛,提高患者生活质量!
参考文献
1.刘永珍,于逢春,尹静,等.脑卒中后抑郁状态对预后的影响;7年随访[J].中国神经精神杂志,2010,36;292-295.
2.Gaete JM,Bogousslavsky J.Post-stroke depression[J].Expert review of neurotherapeutics,2008,8;75-92.
3向伟,陆光华,丁宇杰.脑卒中后焦虑抑郁共病研究进展[J].神经疾病与精神卫生,2010,10;617-619.
4.乔杉杉,吴春薇,康智敏,等.卒中后抑郁研究进展[J].中风与神经疾病杂志,2010,27;663-665.
5.Canada Stroke Network.SCORE(Stroke Canada Optimization of Rehabilitation through Evidence) Evidence-based recommendations for the upper and lower extremities and risk assessment post-stroke[EB/ OL].[2012-03-01].http://www.canadianstrokenetwork.ca/wp-content/uploads/2010/03/SCORE_EBR_ Aug2307.pdf.
6.Royal College of Physicians.National Clinical Guidelines for Stroke[EB/OL].[2012-03-01].http://www.yorksandhumberhearts.nhs.uk/upload/WYCN/
Guidelines/National%20Clinical%20Guidelines%20for%20Stroke%203rd%20
edition%20July%202008.pdf.
7.Australian National Stroke Foundation.Clinical Guidelines for Stroke Management[EB/OL].[201203-01]..htt://strokefoundation.com.
au/healthprofessionals/tools-and-resources/clinical-guidelinesfor-stroke-prevention-and-management/.
8.American Psychiatric Association.Practice guideline for the patients with major depressive disorder.Third edition[EB/OL].[2012-03-01].http://www.psychiatryonline.com.
9.American Psychiatric Association.Diagnostic and Statistical Manual of Mental Disorders,Fourth Edition,Text Revision(DSM-IV-TR)[M].Washington DC;American Psychiatric Association,2000.
10.世界卫生组织.疾病和有关健康问题的国际统计分类第十次修订版[M].北京;人民卫生出版社,1993:97-196.
11.中华医学会精神科分会.中国精神障碍分类与诊断标准[M].第3版.济南;山东科学技术出版社,2001:87-88,105-106.
12.Chen Y,Guo JJ,Zhan S.Patel NC,et al.Treatment effects of antidepressants in patients with post-stroke depression:a meta-analysis[J].Ann Pharmacother,2006,40:2115-2122.
13.江开达.抑郁障碍防治指南[M].北京:北京大学医学出版社,2007:35-36.
14.吴文源.中国焦虑障碍防治指南实用简本[M].北京:人民卫生出版社,201:6-7.
15.Gill D,Hatcher S.A systematic review of the treatment of depression with antidepressant drugs in patients who also have a physical illness[J].J Psychosom Res,1999,47:131-143.
16.Lynne Turner-Stokes,Nibras Hassan.Depression after stroke:a review of the evidence base to inform the development of an integrated care pathway.Part 2:Treatment alternatives[J].Clinical Rehabilitation,2002,16:248-260.
(环球医学编辑:余霞霞)
来源:《中国卒中杂志病例精选》
作者:王春雪 张宁
页码:209-213
出版:人民卫生出版社
- 评价此内容
- 我要打分
近期推荐
热门关键词
最新会议
- 2013循证医学和实效研究方法学研讨会
- 欧洲心脏病学会年会
- 世界帕金森病和相关疾病2013年会议
- 英国介入放射学学会2013年第25届年会
- 美国血液学会2013年年会
- 美国癫痫学会2013年第67届年会
- 肥胖学会 2013年年会
- 2013年第9届欧洲抗体会议
- 国际精神病学协会 2013年会议
- 妇科肿瘤2013年第18届大会
- 国际创伤压力研究学会2013年第29届…
- 2013年第4届亚太地区骨质疏松症会议
- 皮肤病协会国际2013年会议
- 世界糖尿病2013年大会
- 2013年国际成瘾性药年会
- 彭晓霞---诊断试验的Meta分析
- 武姗姗---累积Meta分析和TSA分析
- 孙凤---Network Meta分析
- 杨智荣---Cochrane综述实战经验分享
- 杨祖耀---疾病频率资料的Meta分析
合作伙伴
Copyright g-medon.com All Rights Reserved 环球医学资讯 未经授权请勿转载!
网络实名:环球医学:京ICP备08004413号-2
关于我们|
我们的服务|版权及责任声明|联系我们
互联网药品信息服务资格证书(京)-经营性-2017-0027
互联网医疗保健信息服务复核同意书 京卫计网审[2015]第0344号




会员登录

