一青年被诊断为急性脑梗死 罪魁祸首竟然是它
37岁男性,于2011年5月31日夜间开车时突发头痛、恶心、干呕,伴右上肢麻木、乏力,握物不稳,头痛以双侧颞部明显,呈持续性胀痛。立即就诊于当地医院,行颅脑CT检查示左侧顶枕叶可疑小片状低密度影,诊断为“脑梗死”,给予对症治疗后仍有头痛。为进一步明确诊治入笔者医院治疗。完善相关检查后,发现引起该患者急性脑梗死的罪魁祸首竟是它。
1病例简介
患者男,37岁,主因“头痛伴右上肢麻木、乏力1日”于2011年6月1日收住入院。患者于2011年5月31日夜间开车时突发头痛、恶心、干呕,伴右上肢麻木、乏力,握物不稳,头痛以双侧颞部明显,呈持续性胀痛。患者无意识障碍,无视物旋转、耳鸣、言语不清,无一过性黑矇,无四肢抽搐、发热、胸闷、气促等症状。立即就诊于当地医院,于发病后3小时行颅脑CT检查示左侧顶枕叶可疑小片状低密度影,诊断为“脑梗死”,不排除脑炎。给予对症治疗后(具体用药不详)肢体乏力、麻木症状好转,仍有头痛。为进一步明确诊治而入本院治疗。
既往史:否认高血压、冠状动脉粥样硬化性心脏病史。有糖尿病家族史,既往2型糖尿病4年余,未规律服药治疗,未监测血糖;有阿司匹林药物过敏史,吸烟10余年,平均40支/日,无饮酒史。
入院查体:体温36.4℃,脉搏92次/分,呼吸20次/分,左上肢血压138/72mmHg,右上肢血压135/70mmHg。咽部有充血,扁桃体不肿大,两肺呼吸音粗,未闻及干湿性啰音。未闻及颈部血管杂音,心律正常,节律整齐。神经系统查体:神志清楚,言语流利,对答切题。双侧瞳孔直径约3.0mm,直接间接对光反射存在,双眼球向各个方向运动自如。伸舌居中,咽反射减弱。左上肢、左下肢、右下肢肌力5级。右上肢:远端4级、近端5-级。右侧肢体肌张力稍高。右侧肢体痛温觉、触觉减退。两侧腱反射存在,右侧Babinski征阳性。采用美国国立卫生研究院卒中量表(NIHSS)评分为2分。入院后给予奥扎格雷钠80mg 2次/日(静滴40mg/h)、依达拉奉30mg 2次/日(静滴1mg/min)、阿昔洛韦0.5g 3次/日(静滴5mg/min)、阿卡波糖50mg 3次/日。
6月14日患者出现病情不稳定,仍有间断头痛,反复发作性右侧肢体乏力、麻木,持续时间约10分钟至1小时不等,伴有右侧背部持续麻木感,卧床休息后肢体乏力可逐步缓解。查体:右上肢:远端4+级、近端5-级;右下肢:远端5-级、近端5级。右下肢轻瘫试验阳性,右侧肢体痛温觉、触觉较对侧减退。右侧Babinski征阳性,NIHSS评分为3分。
实验室检查:①血糖12.9mmol/L(空腹)、18.6mmol/L(餐后2小时)、糖化血红蛋白11.3%,符合糖尿病诊断。②血生化:肝肾功能正常,低密度脂蛋白胆固醇、甘油三酯、总胆固醇、载脂蛋白A1均正常;高密度脂蛋白胆固醇0.82mmol/L,偏低;载脂蛋白B1.14g/L,C反应蛋白15.8mg/L,钠146.1mmol/L,均偏高。③血常规:6月1日白细胞数10.56×109/L、中性粒细胞7.83×109/L、中性粒细胞百分比74.2%、血红蛋白183g/L、血小板总数521×109/L、血细胞比容50.1%,以上几项均偏高。红细胞数5.46×1012/L,正常。6月15日血红蛋白186g/L、血小板总数512×109/L、血细胞比容51.4%,以上几项均偏高。白细胞数7.79×109/L、中性粒细胞5.39×109/L、中性粒细胞百分比69.2%、红细胞数5.43×1012/L,以上几项均正常。④凝血四项:凝血酶时间19.8秒、凝血酶原时间11.8秒、国际标准化比值(INR)1.01、纤维蛋白原2.32g/L、部分凝血活酶时间28.7秒,以上指标均正常。⑤血气分析:pH7.425、血氧饱和度95.1%,均示正常;氧分压9.87kPa、氧分压(计算值)9.55kPa,均示偏低;碳酸氢根离子26.5mmol/L、血液标准碳酸氢盐26.6mmol/L,均示偏高。⑥抗核提取物抗体测定、抗中性粒细胞抗体未见异常。⑦血液流变学检查:提示全血黏度低切、中切及全血低切还原黏度增高。⑧脑脊液压力180mmH2O,脑脊液常规显示正常。脑脊液生化示:脑脊液葡萄糖8.6mmol/L(同期血糖14.8mmol/L),脑脊总蛋白576mg/L,均示偏高。患者头痛渐重,于6月13日复查脑脊液压力150mmH2O,脑脊液生化示:脑脊液总蛋白715mg/L,偏高;脑脊液葡萄糖7.3mmol/L,偏高;脑脊液氯化物126.2mmol/L,正常;脑脊液常规、三大染色、结核杆菌脱氧核糖核酸(DNA)测定、梅毒抗体、细菌真菌培养未见异常。
影像学检查:
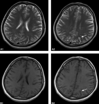
2011年6月1日(距发病后20小时)第一次行MRI提示:左顶下小叶见斑片状低T1、高T2信号影,FLAIR呈高信号,占位效应不明显,提示脑梗死或脑炎可能(图1)。2011年6月2日行MRI增强扫描提示:平扫所见左枕顶叶异常信号灶处见脑沟局限性轻度增宽及局限脑实质、脑膜小片状轻度强化,提示左枕顶叶局灶性脑炎。

图1 2011年6月1日行MRI示:在左顶下小叶附近见斑片状异常信号,占位效应不明显,主要累及白质;A1.T2WI双侧基底节区及放射冠区未见异常信号;A2.T2WI在左侧顶下小叶可见小片状呈高信号影(箭头);B1.T1WI双侧基底节区及放射冠区未见异常信号;B2.T1WI在左侧顶下小叶可见小片状呈略低信号影(箭头)
6月17日骨髓细胞学检查提示:血片白细胞数不高,分类以成熟分叶粒为主,形态正常。嗜酸、嗜碱细胞少,成熟红细胞量增多,血小板数量增高。6月22日骨髓病理活检,流式细胞免疫荧光分析未见异常;基因突变定性检测到JAK2-V617F基因突变。
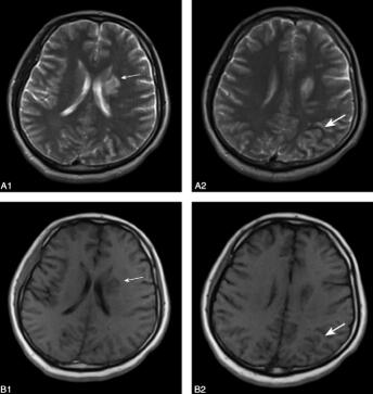
第二次MRI(6月15日):左顶叶病灶范围较前有所扩大,左侧豆状核、侧脑室旁及半卵圆中心新发病灶,左侧额、颞、顶、枕叶脑回肿胀(图2)。

图2 2011年6月15日复查头颅MRI示:左顶叶病灶范围较前有所变大,左侧豆状核、侧脑室旁及半卵圆中心可见斑点状或片状异常信号;A1.T2WI左侧尾状核处可见大片新发高信号影(细箭头);A2.T2WI图像上可见左顶叶病灶较前明显增大,呈高信号(粗箭头);B1.T1WI左侧尾状核处可见大片新发低信号影(细箭头);B2.T1WI图像上可见左顶叶病灶较前明显增大,呈略低信号(粗箭头)
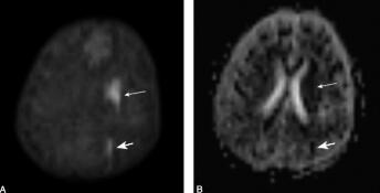
第三次头颅DWI及MRI增强扫描(6月20日):左顶、枕叶及左基底节区、放射冠、半卵圆中心多发斑片状异常信号灶增强后均未见明显强化,性质待定,不除外脑梗死。DWI示左侧基底节区、放射冠、半卵圆中心见片状高信号影,左顶枕叶亦见脑回样高信号影(图3),左侧基底节区、放射冠、半卵圆中心及左顶枕叶病灶表观弥散系数(apparent diffusion coefficient,ADC)值减低,考虑脑梗死可能性大。

图3 2011年6月20日行DWI;A.图像上左侧尾状核处(细箭头)及左顶叶处(粗箭头)可见明显高信号影;B.ADC示上述病灶均为低信号
6月23日行CTA示:左侧大脑中动脉硬化,左侧大脑中动脉水平段不规则狭窄,膝部狭窄程度达重度(图4),左侧放射冠区脑梗死。

图4 2011年6月23日行颅脑CTA示:左侧大脑中动脉硬化,左侧大脑中动脉水平段不规则狭窄,膝部狭窄程度达重度;A.左侧大脑中动脉硬化,左侧大脑中动脉水平段不规则狭窄(细箭头),膝部狭窄程度达重度(粗箭头);B.左侧大脑中动脉膝部狭窄(箭头)
颈部血管彩超、心脏彩超(6月1日)均未见异常;肝胆脾胰肾彩超提示:轻度脂肪肝,未见脾脏增大。
脑电图示:各导可见较多低幅θ波、θ活动散在分布,部分短程阵发性出现。
心电图检查示:TV1>TV6综合征[1]。
6月23日经食管心脏彩超检查未见异常,排除卵圆孔未闭。
诊断:急性脑梗死
病因:糖尿病合并真性红细胞增多症致左侧大脑中动脉硬化可能,责任病变血管左侧大脑中动脉。
发病机制:2型糖尿病导致局部血管狭窄、低灌注,在此基础上真性红细胞增多症加重了血液黏稠度,血流速度变缓,局部血栓形成。
其他诊断:2型糖尿病、真性红细胞增多症
治疗经过:入院后给予奥扎格雷钠80mg 2次/日(静滴40mg/h);依达拉奉30mg 2次/日(静滴1mg/min);阿昔洛韦0.5g 3次/日(静滴5mg/min);阿卡波糖50mg 3次/日。因病情加重于6月15日皮下注射给予低分子量肝素钙(5000IU 2次/日);氯吡格雷75mg 1次/日;阿托伐他汀钙片20mg 1次/晚;给予重组人干扰素α-2b(300万IU,1次/隔日)抑制红细胞异常生成;生物合成人胰岛素注射液(早餐前16U,晚餐前14U皮下注射)控制血糖治疗。
6月28日患者出院时右侧肢体肌力恢复至5-级,肢体麻木感消退。NIHSS评分为0分。出院后继续口服氯吡格雷75mg/d、阿托伐他汀20mg/d、重组人干扰素α-2b(300万IU,1次隔日皮下注射)及生物合成人胰岛素注射液(早餐前16U,晚餐前14U,皮下注射)治疗。5个月后随访患者血糖、血常规等检查正常,未复发卒中事件。
2讨论
糖尿病是脑血管病尤其是缺血性脑血管病的独立危险因素之一[2]。2型糖尿病的患病率呈逐年上升趋势,据世界卫生组织(World Health Organization,WHO)预测,到2025年全球糖尿病患者数量将突破3亿[3]。据报道糖尿病导致心脑血管事件发生率比正常人群增高2~4倍[4]。长期糖尿病高血糖状态下可引起微血管和颅内血管动脉粥样硬化。同时高血糖引起血浆糖蛋白的浓度增高,全血黏度明显升高,血流缓慢,老化红细胞增多,聚集性增强,变形能力降低,形成微小凝聚物,引起毛细血管闭塞。高血糖还可以加重脑梗死缺血半暗带区线粒体损伤,细胞内乳酸堆积,不利于早期灌流,细胞功能恢复和侧支循环形成[5]。糖尿病合并脑梗死颅脑病变主要特点是基底节区、多发性、腔隙性梗死。这与糖尿病患者血流动力学改变及存在广泛的血管病变有关[6]。本例中患者既往糖尿病病史多年,未规范治疗,此次发病呈现出侧脑室旁、顶枕叶多发性病变,符合这一特点。
根据血红蛋白>185g/L(男性)、动脉血氧饱和度正常≥92%、血小板计数>400×109/L及JAK2V617F点突变可诊断真性红细胞增多症(polycythemia vera,PV)[7]。在青年性卒中原因中,糖尿病合并真性红细胞增多症的案例在国内外罕有报道。真性红细胞增多症可导致红细胞比积和血容量绝对增多,血液黏滞度增高,血流速度减慢,血管压力增高,管壁营养障碍,引起毛细血管被动扩张、血管内膜损伤等改变,从而诱发血栓形成[10]。此患者开始治疗时给予单一抗血小板聚集药物治疗,效果不理想,考虑符合真性红细胞增多症引起脑梗死的特点后加用α干扰素抑制红细胞异常生成,低分子肝素抗凝,阿托伐他汀抑制动脉粥样硬化及应用胰岛素控制血糖等治疗后病情才得以控制。
另外本例在诊断和治疗上也走过一些弯路。患者入院初期表现为头痛伴有肢体麻木乏力,头颅MRI示左顶下小叶见斑片状长T1、长T2信号影,FLAIR呈高信号,脑脊液检查提示脑脊液总蛋白偏高,脑电图提示较多低幅θ波、θ活动散在分布,部分短程阵发性出现,均符合脑炎表现。治疗初期因脑炎不能排除,给予抗血小板聚集兼顾抗病毒治疗,病情无好转,直到6月14日频繁出现短暂性脑缺血发作,及找出患者具有真性红细胞增多症的原因后,才完全确诊脑梗死。此患者多次脑脊液生化显示脑脊液总蛋白均增高,此异常在脑梗死中也可出现,且和梗死面积及部位有关[11]。由此可见,脑脊液总蛋白增高、脑电图慢波增多等不能作为脑炎与脑梗死特异性鉴别诊断依据。
目前已知的脑血管的危险因素主要有高血压、糖尿病、高脂血症、高同型半胱氨酸血症、吸烟、饮酒及家族史等,但目前尚未完全明确这些因素是如何影响脑血管病的发生[12]。本例患者出现多种危险因素(真性红细胞增多症、糖尿病、脑动脉硬化性狭窄、吸烟),促使发病年龄提前。
专家点评 欧阳锋
本例为一少见的多因素引起的青年卒中病例,患者既往有2型糖尿病史,长期不规范治疗,长期的吸烟不良生活嗜好,导致出现脑血管动脉粥样硬化,左侧大脑中动脉狭窄,同时合并真性红细胞增多症,血液呈高凝状态,上述因素引起左侧大脑中动脉分支反复阻塞,先出现左侧顶叶梗死,后出现顶叶梗死面积扩大,左侧豆状核、侧脑室旁及半卵圆中心新发病灶以及反复出现短暂性脑缺血发作表现,治疗上先给抗血小板聚集,应用尤瑞克林扩张局部梗塞血管,仍不能控制病情发展,改为降低红细胞、抗凝、抗血小板聚集治疗后病情得以控制,提示青年脑梗死治疗中,如治疗效果不佳时,要注意是否存在多病共存因素,治疗上要针对不同致病因素进行处理。
参考文献
1.卜春娥,孙艳青.心电图TV1>TV6综合征的临床意义分析[J].滨州医学院学报,2004,27:213.
2.王青,梁湖.2型糖尿病并发脑梗死相关因素分析[J].中国误诊学杂志,2007,7:2231-2232.
3.中国糖尿病防治指南编写组.中国糖尿病防治指南[M].北京:北京大学医学出版社,2004:3-4.
4.Haffner SM,D-Agostino R,Mykknen L,et al.Insulin sensitivity in aubjects with type 2 diabetes.Relationship to cardiovascular risk factors:the insulin resistance atherosclerosis study[J].Diabets Care,1999,22: 562-568.
5.刘风.2型糖尿病合并脑梗死82例临床分析[J].中国医疗卫生,2011,8:64.
6.王永彬.2型糖尿病合并脑梗死75例临床分析[J].河北医药,2011,33:590.
7.Spivak JL.Polycythemia vera:myths,mechanisms,and management[J].Blood,2002,100:4272-4290.
8.李辉华,杜更胜,秦国强,等.真性红细胞增多症致脑血管病25例临床诊治[J].中国神经精神疾病杂志,2010,36:368-369.
9.Bilgrami S,Greenberg BR.Polycythemia rubra vera[J].Semm Oncol,1995,22:307-326.
10.郭宝玉.真性红细胞增多症伴发脑梗死18例临床分析[J].中西医结合心脑血管病杂志,2007,5:910.
11.杨左廉,刘军生,许吉一,等.脑梗塞患者脑脊液蛋白含量的分析[J].中风与神经疾病杂志,1995,12:114.
12.周涌涛,肖蓓,邓应梅,等.常见危险因素对青年脑梗死发病年龄的影响[J].中国脑血管病杂志,2010,7:584-587.
(环球医学编辑:余霞霞)
来源:《中国卒中杂志病例精选》
作者:王春雪 张宁
页码:127-132
出版:人民卫生出版社
- 评价此内容
- 我要打分
近期推荐
热门关键词
最新会议
- 2013循证医学和实效研究方法学研讨会
- 欧洲心脏病学会年会
- 世界帕金森病和相关疾病2013年会议
- 英国介入放射学学会2013年第25届年会
- 美国血液学会2013年年会
- 美国癫痫学会2013年第67届年会
- 肥胖学会 2013年年会
- 2013年第9届欧洲抗体会议
- 国际精神病学协会 2013年会议
- 妇科肿瘤2013年第18届大会
- 国际创伤压力研究学会2013年第29届…
- 2013年第4届亚太地区骨质疏松症会议
- 皮肤病协会国际2013年会议
- 世界糖尿病2013年大会
- 2013年国际成瘾性药年会
- 彭晓霞---诊断试验的Meta分析
- 武姗姗---累积Meta分析和TSA分析
- 孙凤---Network Meta分析
- 杨智荣---Cochrane综述实战经验分享
- 杨祖耀---疾病频率资料的Meta分析
合作伙伴
Copyright g-medon.com All Rights Reserved 环球医学资讯 未经授权请勿转载!
网络实名:环球医学:京ICP备08004413号-2
关于我们|
我们的服务|版权及责任声明|联系我们
互联网药品信息服务资格证书(京)-经营性-2017-0027
互联网医疗保健信息服务复核同意书 京卫计网审[2015]第0344号




会员登录

