37岁女子爬山时突然晕厥数分钟 第二天又口齿不清、右侧肢体乏力
37岁女性,4天前在爬山时无明显诱因的情况下突然晕倒伴意识丧失,持续约数分钟。次日,患者在坐位休息时,突然感到口齿不清,并伴右侧肢体乏力,持物及行走稍不稳。当地医院急诊行颅脑CT检查显示:左侧顶枕叶低密度灶,考虑脑梗死。患者为进一步检查来笔者医院就诊,被查出患有……
1 病例简介
患者女,37岁,主因“发作性意识丧失1次,口齿不清3天”于2011年4月25日来我院就诊。患者4天前在爬山时无明显诱因的情况下突然晕倒伴意识丧失,持续约数分钟,同伴诉当时患者双眼紧闭、面色苍白,无大汗淋漓与口唇发紫,无肢体抽搐及舌咬伤,无尿便失禁,清醒后无明显不适。次日患者在坐位休息时,突然感到口齿不清,并伴右侧肢体乏力,持物及行走稍不稳,无头晕及视物旋转,无饮水呛咳及吞咽困难,无黑矇及意识丧失。2011年4月25日患者因症状无明显缓解于当地医院就诊,于急诊行颅脑CT检查显示:左侧顶枕叶低密度灶,考虑脑梗死。患者为进一步检查来我院就诊,门诊遂以“口齿不清待查”收入院。
既往史:既往患者无卒中、心脏病、高血压、高血脂及糖尿病史,否认吸烟、饮酒史。
家族史:否认两系三代以内的高血压、糖尿病、心脏病及其他遗传病病史。
入院查体:体温:36.8℃,左侧上肢血压125/72mmHg,右侧上肢血压119/68mmHg,脉搏:79次/分,呼吸:20次/分。心脏及颈部血管听诊未闻及杂音。两肺听诊呼吸音清,未闻及干湿啰音。心律齐,各瓣膜听诊区未闻及病理性杂音。腹软,无压痛及反跳痛。双下肢无水肿。神经系统查体:神清,定向力、计算力和近记忆力正常,右侧鼻唇沟稍浅,构音障碍,悬雍垂略向左偏,伸舌无偏斜,余脑神经检查无阳性体征。左侧上肢肌力5级,下肢肌力5级;右侧上肢肌力5-级,下肢肌力5级。四肢肌张力正常,面部及肢体深浅感觉正常,膝反射阳性,无共济失调,双侧Babinski征阴性,脑膜刺激征阴性。入院采用美国国立卫生研究院卒中量表(NIHSS)评分为3分。
实验室检查:凝血功能全套、血生化全套(含血脂、血糖等)、同型半胱氨酸、抗心磷脂抗体、ESR、C反应蛋白、免疫球蛋白与补体水平、术前四项(包括乙肝病毒表面抗原、丙肝病毒抗体、抗人类免疫缺陷病毒抗体和梅毒螺旋体血清学试验)均正常。
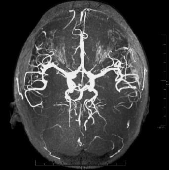
影像学检查:2011年4月26日行颅脑MRI(发病后5天)示:左侧颞、额、顶叶交界区及左侧额叶大脑镰旁可见不规则脑回状稍长T1稍长T2信号,沿皮质分布;DWI序列和FLAIR序列示左侧颞、顶叶交界区的斑片状高信号影(图1),余脑实质内未见明显异常信号区。提示左侧额、颞、顶叶异常信号,首先考虑急性脑梗死。2011年4月27日行MRA:右侧大脑后动脉起自颈内动脉,余大血管分布及形态基本正常(图2)。

图1 2011年4月26日(发病后第5天)行DWI(A)和FLAIR(B)检查,提示左侧颞、顶叶高信号(箭头)

图2 2011年4月27日行头颅MRA检查,右侧大脑后动脉起自颈内动脉,未见颅内血管狭窄、硬化等异常征象
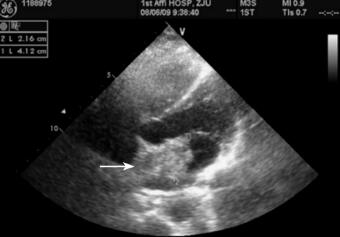
患者曾于2011年4月25日行普通心电图检查示“窦性心律”;2011年4月27日行24小时动态心电图示:窦性心律,偶发房性期前收缩。于4月27日行颈部血管彩超示“两侧颈动脉血流未见异常”。行超声心动图(2011年4月27日)示:左房房间隔水平见一大小约21.6mm×41.0mm中等回声团,提示黏液瘤可能性大;二尖瓣轻度反流(图3)。

图3 2011年4月27日行超声心动图检查,示左房房间隔水平见一大小约21.6mm×41.0mm中等回声团(箭头),提示黏液瘤可能
诊断:急性脑梗死(左侧额、颞、顶叶),根据中国缺血性卒中亚型(Chinese ischemic stroke subclassfication,CISS)分型,本例患者的病因分型属于心源性卒中,发病机制考虑为低灌注/栓子清除障碍。其他诊断:心房黏液瘤可能。
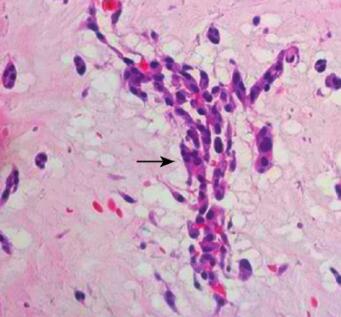
治疗经过:入院后给予阿司匹林100mg/d口服抗血小板聚集治疗,患者于4月29日转入本院胸外科病房,完善相关术前检查后于2011年5月6日行左房肿物切除术,术后病理示:梭形星形肿瘤细胞分布于黏液样基质内,证实为黏液瘤(图4)。术后进一步给予扩张血管药物(前列地尔,10μg/h)静脉滴入、改善微循环药物(血栓通,0.5g/d,4~5mg/min)静脉滴入和调节血脂(阿托伐他汀钙片20mg/d,口服)治疗,患者病情稳定,口齿变清,住院一周后症状基本消失并出院,出院时NIHSS评分为0分。出院后一周起患者重新开始服用阿司匹林100mg/d以及阿托伐他汀钙20mg/d,随访6个月患者上述症状无复发。

图4 心脏术后(2011年5月6日)左房切除瘤体的苏木精-伊红染色法(hematoxylineosin staining,HE)染色,可见特征性的酸性黏多糖基质和嵌于其中的多角形细胞(箭头)(×400)
2 讨论
缺血性卒中约有15%~20%为心源性脑栓塞,引起心源性脑栓塞的病因主要包括心房颤动、心肌梗死、扩张型心肌病及心瓣膜病等。心房黏液瘤是最常见的原发性心脏肿瘤,可发生在心脏的各个心腔,但75%以上起源于左心房,好发于青年或中年,约20%~45%的患者首发症状为栓塞,可表现为脑栓塞、肾脏栓塞、外周血管栓塞[1]等。由心房黏液瘤引起的脑栓塞不足1%,且临床表现多种多样,缺乏特异性,易误诊为神经内科的其他疾病,但心房黏液瘤有可能通过外科手术治愈,因此早期诊断、及时治疗十分必要。心房黏液瘤引起脑栓塞国内外均有报道[2,3],但以晕厥为首发表现的脑栓塞病例报道少见。
心房黏液瘤发病率不到0.05%[4],可发生于任何年龄,但以30~60岁女性多见,黏液瘤起源于心内膜,长大后突向心脏,有蒂与心内膜相连,心房黏液瘤随心动周期而上下活动,舒张期部分脱入心室,收缩期随二尖瓣关闭而回到心房。心房黏液瘤瘤体较脆,由于二尖瓣的作用或者是血流冲击,部分瘤体可脱落而形成栓塞事件。有文献报道,约16%的心房黏液瘤患者首发症状为栓塞,且有35%的心房黏液瘤患者心脏体检无异常发现[5]。因此,如遇到中青年患者突然起病,临床怀疑为卒中,既往无明确卒中危险因素者,即使心脏体检无异常发现,也应常规做心脏超声检查以除外心脏肿瘤、卵圆孔未闭等并发卒中的可能危险因素。
通过万方数据库、维普中文科技期刊数据库和中国知网等平台,检索截至2011年12月的国内文献报道,以晕厥为表现的心房黏液瘤伴脑栓塞仅有4例[6,7],国外类似的相关报道也并不多见。左房黏液瘤所致神经系统并发症主要是颅内动脉瘤和颅内占位损害,但常常表现多样性。心房黏液瘤症状表现的多样性与栓子的形态有关而不是其大小,栓子的形态能延缓那些肿瘤栓塞包括黏液瘤诱导的脑动脉瘤和转移的黏液瘤患者神经系统并发症发生的时间,进而出现类似于中枢神经系统血管炎与感染性心内膜炎的临床表现[8]。
本例患者未发现其他常见的卒中危险因素,发病后症状迅速达到高峰,头颅MRA提示脑动脉形态良好,说明脑血管已再通,推测栓子来源于大脑中动脉外的可能性大。此外,患者颈部血管彩超未见血管狭窄或斑块形成,可排除动脉粥样硬化斑块脱落引起的动脉至动脉的脑栓塞。结合超声心动图,诊断可能左房黏液瘤所致的心源性脑栓塞。根据中国的CISS诊断分型,该患者的发病机制考虑为栓子清除障碍。本例患者瘤体较大,占据大部分左心房,同时由于运动而机械性堵塞血流,造成严重的血流动力学障碍,故而引起晕厥[9]。患者既往从无心脏病病史及症状,入院前从未行超声心动图检查。此次发病以晕厥为首发症状,之后出现口齿不清和单侧肢体轻度乏力,临床表现无发热、体重减轻、胸闷、心悸、气促等症状,体格检查心脏大小正常,心脏听诊无杂音与心律失常,相关实验室检查结果均正常,普通心电图及动态心电图等辅助检查均未提示心脏相关疾病,给临床病因诊断造成一定困难,若不进行心脏超声检查,则易导致疾病的漏诊。因此,本例患者以晕厥为首发症状,并提示少见的心脏良性肿瘤是引起年轻人脑栓塞的一个不可忽视的原因,临床医生在实际工作中应予以积极排查。
专家点评 刘春风
心房黏液瘤是较为常见的原发性心脏肿瘤,心房黏液瘤引起的脑栓塞不足1%,且临床表现多种多样,但以晕厥为首发表现的脑栓塞病例很少见。结合本例患者的临床表现,头颅影像和心脏超声检查,以及最后的心脏手术病理,诊断心源性栓塞明确。本例患者瘤体较大,由于运动而机械性堵塞血流造成严重的血流动力学障碍,故引起晕厥。年轻人脑栓塞的原因在临床工作中应予以积极排查,尤其是无脑血管危险因素的患者。本病例诊断不难,但患者若仅为一次晕厥发作,而无后续症状,可能不会积极就诊,所以对晕厥患者,常规心脏超声检查很重要。本病例报道并非是罕见病例,但却为广大医师,尤其是年轻医师提供了一个心脏占位导致的心源性脑栓塞的典型案例。
参考文献
1.Herbst M,Wattjes MP,Urbach H,et al.Cerebral embolism from left atrial myxoma leading to cerebral and retinal aneurysms:a case report[J].Am J Neuroradiol,2005,26:666.
2.Al-mateen M,Hood M,Trippel D,et al.Cerebral embolism from atrial myxoma in pediatric patients[J].Pediatrics,2003,112:e162.
3.Luo W,Liu W,Wen H.Two cases of eft atrial myxoma with cerebral stroke as the first sign[J].Chinese J Nervous Mental Dis,2004,30:345.
4.Jean WC,Walski-Easton SM,Nussbaum ES,et al.Multiple intracranial aneurysms as Delayed Complications of an Atrial Myxoma:Case Report[J].Neurosurg,2001,49:200-203.
5.Pinedel L,Duhaut P,Loire R.Clinical presentation of left atrial cardiac myxoma.A series of 112 consecutive cases[J].Medicine(Baltimore),2001,80:159-172.
6.满昌强,甑宗玲,张善宝.母女同患心房粘液瘤致脑栓塞[J].临床心血管病杂志,2000,16:171.
7.叶慧君,王希佳.导致脑栓塞的左心房粘液瘤4例病例分析及文献复习[J].中风与神经疾病杂志,2011,28:75-76.
8.Lee VH,Connolly HM,Brown RD.Central nervous system manifestations of cardiac myxoma[J].Arch Neurol,2007,64:1115-1120.
9.Vassiliadis N,Vassiliadis K,Karravelas G.Sudden death due to cardiac myxomas[J].Med Sci Law,1997,37:76-78.
(环球医学编辑:余霞霞)
来源:《中国卒中杂志病例精选》
作者:王春雪 张宁
页码:133-137
出版:人民卫生出版社
- 评价此内容
- 我要打分
近期推荐
热门关键词
最新会议
- 2013循证医学和实效研究方法学研讨会
- 欧洲心脏病学会年会
- 世界帕金森病和相关疾病2013年会议
- 英国介入放射学学会2013年第25届年会
- 美国血液学会2013年年会
- 美国癫痫学会2013年第67届年会
- 肥胖学会 2013年年会
- 2013年第9届欧洲抗体会议
- 国际精神病学协会 2013年会议
- 妇科肿瘤2013年第18届大会
- 国际创伤压力研究学会2013年第29届…
- 2013年第4届亚太地区骨质疏松症会议
- 皮肤病协会国际2013年会议
- 世界糖尿病2013年大会
- 2013年国际成瘾性药年会
- 彭晓霞---诊断试验的Meta分析
- 武姗姗---累积Meta分析和TSA分析
- 孙凤---Network Meta分析
- 杨智荣---Cochrane综述实战经验分享
- 杨祖耀---疾病频率资料的Meta分析
合作伙伴
Copyright g-medon.com All Rights Reserved 环球医学资讯 未经授权请勿转载!
网络实名:环球医学:京ICP备08004413号-2
关于我们|
我们的服务|版权及责任声明|联系我们
互联网药品信息服务资格证书(京)-经营性-2017-0027
互联网医疗保健信息服务复核同意书 京卫计网审[2015]第0344号




会员登录

