男子反复头痛伴呕吐以为是脑血管痉挛 治疗后却未见好转
49岁男性,患者1个月来反复头痛,发作时常伴呕吐,偶有一过性双眼视物不清。外院诊断为“脑血管痉挛”,予神经营养及对症治疗(具体不详),头痛、呕吐未见好转,遂入笔者医院。门诊考虑“颅内高压”,行脱水治疗,头痛稍缓解。为进一步诊治,以“头痛原因待查”收入院。该患者所患何病?
1病例介绍
患者男,49岁,主因“反复头痛伴呕吐、一过性视物不清1个月余”于2007年7月收入院。患者1个月来反复头部胀痛,以后枕颈部为著,每次持续数分钟,发作时常伴喷射性呕吐,为胃内容物,偶有一过性双眼视物不清。患者入院前于外院诊断为“脑血管痉挛”,予神经营养及对症治疗(具体不详),头痛、呕吐未见好转,遂来我院。门诊考虑“颅内高压”,行脱水治疗,头痛稍缓解。为进一步诊治,以“头痛原因待查”收入院。
既往史:2003年10月因肺癌行“右肺上叶切除,淋巴结清扫术”,病理提示中分化腺癌,术后化疗10疗程(具体剂量不详)。否认心脏疾患、高血压、糖尿病、腹痛、咯血、便血史。
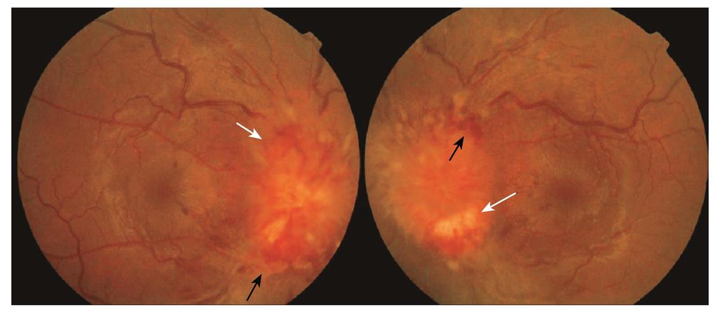
入院查体:双侧血压110/70mmHg。营养中等,皮肤干燥。右胸手术瘢痕15cm,双肺未闻明显啰音,心律齐,未闻杂音,腹软,无压痛,双下肢无水肿。神志清楚,言语流利,精神弱。双瞳等大等圆,光反应灵敏,眼动充分,双眼视力:1.2,眼底:双视乳头水肿、色淡,边界不清,静脉迂曲,动静脉比1∶4,可见片状出血,状若“火山口”(图1)。颈项强直3横指。面纹对称,伸舌居中。四肢肌力、肌张力正常。

图1 眼底照相:双视乳头水肿、色淡(白箭头),边界不清,静脉迂曲,可见片状出血(黑箭头)
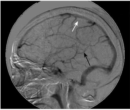
检查回报:血清铁蛋白(肿瘤标志物之一)360μg/L,升高。腰穿提示脑脊液压力>330mmH2O,细胞总数4个/μl,白细胞数2个/μl,糖正常,氯化物111mmol/L,降低,蛋白120mg/dl,升高。细胞学检测可见散在异形大细胞,可疑肿瘤细胞。颅脑磁共振(2007年7月4日)平扫提示脑实质未见异常,幕上脑室略扩大,增强后提示部分脑膜强化,静脉相提示上矢状窦末端及直窦血管粗细不均,似有部分血栓(图2)。经DSA(2007年7月12日)证实下矢状窦、直窦未显影,上矢状窦中段显影差,考虑静脉窦血栓形成(图3)。

图2 颅脑磁共振:提示部分脑膜强化(箭头)

图3 颅脑血管造影:下矢状窦、直窦未显影(黑箭头),上矢状窦中段显影差(白箭头)
诊断:患者主要为颅高压症状,结合既往肺癌病史、影像学表现,考虑为脑膜癌合并静脉窦血栓。
治疗:入院后完善检查同时,予“甘露醇”250ml,每6小时1次脱水治疗,并予葡萄糖盐水、氯化钾补充液体及电解质。患者头痛稍缓解,效果欠佳。脑脊液细胞学检测提示可疑肿瘤细胞后,患者放弃进一步细胞学复查,出院。
2讨论
脑膜癌是肿瘤细胞弥漫性或多灶性、局限性浸润脑和脊髓的软脑(脊)膜的中枢神经系统转移瘤。临床表现复杂多样,但因累及脑脊液循环系统,多有颅内高压,而以头痛、呕吐为首发症状。颅内静脉窦血栓形成后,脑脊液静脉回流受阻,也会出现颅内高压症状。上述两种疾病在临床上通常仅具有高颅压的表现,既相对独立,又有一定的联系,个别患者同时患有上述两种疾病,正确认识二者关系、及时明确诊断对疾病的治疗有指导意义。
脑膜癌合并颅内静脉窦血栓是多种因素的作用结果[1],考虑存在以下原因:肿瘤细胞直接激活凝血系统,使血液处于高凝状态;肿瘤细胞损伤血管内皮,致内皮抗凝作用减弱;其与血小板接触后可诱导血小板参与凝血;肿瘤细胞浸润破坏组织引发组织因子释放的同时,其特异性抗原及分泌的促凝物均可启动凝血途径;患病后卧床时间延长,活动减少,从而导致血流缓慢,加之大量脱水药物应用导致血液浓缩亦增加了血栓形成机会。此外,化疗可造成抗凝物质的减少,同时化疗药物对血管壁的损伤也是形成静脉血栓的肯定危险因素。
本患者的临床特点是以头痛伴喷射性呕吐为主要症状,查体眼底“火山口”样改变,高度提示颅内高压。结合既往肺癌病史、影像学表现,考虑为脑膜癌,这在入院后脑脊液细胞学检验得到了初步印证。唯一能够在患者生前确定脑膜癌的金标准是在脑脊液中找到癌细胞及其他全身检查的肿瘤证据。有文献报道,检查次数越多则阳性率越高,并且特异的免疫细胞化学反应可协助诊断脑膜癌病[2,3]。本患者首次脑脊液细胞学即见到可疑肿瘤细胞,支持了脑膜癌的诊断。这时,需要高度警惕的是千万不要以为找到了病因,单纯的脑膜癌可继续进行放、化疗治疗,于是将患者转至相关科室进行脑膜癌的治疗。患者磁共振的静脉相提示上矢状窦末端及直窦血管粗细不均,若存在颅内静脉窦血栓则考虑先抗凝治疗,再行化疗。虽然脑膜癌合并静脉窦血栓的发病率不高,但考虑到恶性肿瘤后血液的高凝状态,亦应考虑到二者同时存在的可能。本患者经DSA证实静脉窦血栓形成。这对下一步的治疗计划具有决定性意义。此外,与脑膜癌患者因交通性脑积水致脑室扩大不同[4],本患者脑室稍扩大,考虑同时出现交通性脑积水和间质性脑水肿,但以前者为主。这更区别于大多数由于脑水肿致脑体积增加,脑室受压变小的单纯脑静脉窦血栓患者[5]。临床若发现脑室这种变化,也应考虑到二病共存的可能。
脑膜癌与颅内静脉窦血栓均可表现出非特异性的颅内高压症状,单纯脱水治疗效果不佳,临床诊治时应注意鉴别,并考虑到二者合并的可能:①对于以颅内高压症状为主要表现的中老年患者,尤其既往有恶性肿瘤病史的,应高度警惕脑膜癌,生前诊断主要依靠脑脊液细胞学诊断,多次抽液化验可提高检查的阳性率;②以高颅压为主要表现的患者,脱水治疗效果欠佳时,应考虑静脉窦血栓可能,DSA可确诊;③对于临床找到脑膜癌证据,影像学提示脑室扩大程度与临床单纯脑膜癌不符时,应考虑二病共存。
脑膜癌合并静脉窦血栓时,传统的抗凝或溶栓效果欠佳,有文献报道此类患者可进行脑室-腹腔分流术,虽然存在肿瘤种植或脑脊液蛋白高致堵管可能,但是可很大程度上缓解患者症状,对提高患者生存质量有很大帮助[6]。很遗憾,本患者放弃了进一步治疗,未予追踪。
专家点评 张在强
该患者突出的临床表现可总结为以下几点:①肺癌病史,手术治疗后化疗;②颅内高压综合征;③颅脑磁共振成像显示脑膜增厚,数字减影血管造影提示颅内静脉窦显示差;④脑脊液细胞学发现异形肿瘤细胞。临床符合脑膜癌诊断,肿瘤细胞可浸润硬脑膜、脑脊膜、颅神经、脑室系统和静脉窦。静脉窦闭塞的原因可为肿瘤细胞性栓塞;或者肿瘤细胞及其释放的因子累及血管内皮细胞,激活凝血机制,血栓形成。
诊断的关键在于寻找颅高压形成的原因,对于有肿瘤病史的颅内高压综合征患者,脑脊液常规生化可能提示葡萄糖水平极度降低,首先应该疑诊脑膜癌,积极寻找肿瘤的证据,如寻找原发灶、脑脊液肿瘤细胞,同时寻找肿瘤神经系统损害的证据,如影像学发现:脑膜增厚强化、沿着脑沟粟粒样或点片样强化、团块样病变、脑室扩大、静脉窦闭塞等,可得到对疾病全面的评估。
脑膜癌累及静脉窦系统的病例少见,本文提供了详尽的病史和影像学资料,有利于提高对脑膜癌的认识。
参考文献
1.Karimi M,Cohan N.Cancer-associated thrombosis[J].Open Cardiovasc Med J,2010,4:78-82.
2.丁岩,董会卿,朴月善,等.脑膜癌病并颅内静脉窦血栓形成的临床与病理[J].北京医学,2007,29: 135-138.
3.关鸿志,陈琳,管宇宙,等.脑膜癌病的脑脊液细胞学与临床观察[J].中国神经免疫学和神经病学杂志,2005,12:111-113.
4.Chamberlain MC.Neoplastic meningitis[J].The Oncologist,2008,1:967-977.
5.Ganeshan D,Narlawar R,McCann C,et al.Cerebral venous thrombosis-a pictorial review[J].Eur J Radiol,2010,74:110-116.
6.吴培,史怀璋,高成,等.脑膜癌合并静脉窦血栓一例并文献复习[J].中华神经外科杂志,2011,27:305-307.
(环球医学编辑:余霞霞)
来源:《中国卒中杂志病例精选》
作者:王春雪 张宁
页码:74-77
出版:人民卫生出版社
- 评价此内容
- 我要打分
近期推荐
热门关键词
最新会议
- 2013循证医学和实效研究方法学研讨会
- 欧洲心脏病学会年会
- 世界帕金森病和相关疾病2013年会议
- 英国介入放射学学会2013年第25届年会
- 美国血液学会2013年年会
- 美国癫痫学会2013年第67届年会
- 肥胖学会 2013年年会
- 2013年第9届欧洲抗体会议
- 国际精神病学协会 2013年会议
- 妇科肿瘤2013年第18届大会
- 国际创伤压力研究学会2013年第29届…
- 2013年第4届亚太地区骨质疏松症会议
- 皮肤病协会国际2013年会议
- 世界糖尿病2013年大会
- 2013年国际成瘾性药年会
- 彭晓霞---诊断试验的Meta分析
- 武姗姗---累积Meta分析和TSA分析
- 孙凤---Network Meta分析
- 杨智荣---Cochrane综述实战经验分享
- 杨祖耀---疾病频率资料的Meta分析
合作伙伴
Copyright g-medon.com All Rights Reserved 环球医学资讯 未经授权请勿转载!
网络实名:环球医学:京ICP备08004413号-2
关于我们|
我们的服务|版权及责任声明|联系我们
互联网药品信息服务资格证书(京)-经营性-2017-0027
互联网医疗保健信息服务复核同意书 京卫计网审[2015]第0344号




会员登录

