17岁姑娘头痛呕吐近一月 元凶是…
17岁女性,主因“头痛、呕吐20余天”就诊。经查体、实验室检查以及MRI检查,发现该患者患有……
【主诉】
患者女性,17岁。主因“头痛、呕吐20余天”就诊。
【临床资料】
1.查体
体温36.5℃,脉搏80次/分,血压100/60mmHg,患者意识清楚,理解力、定向力、记忆力、计算力好。脊柱无畸形,椎旁无压痛及叩痛。视力正常,眼球位置居中,各方向运动灵活充分,未见眼震及复视。双瞳孔正大等圆,直接、间接对光反射灵敏。面部痛、触觉对称正常。四肢未见肌萎缩,四肢肌力Ⅴ级,肌张力正常,未见肌束颤动。运动觉对称正常。双Babinski氏征(-),双Chaddock氏征(-),颈部无抵抗,双侧Kernig氏征(-),Brudzinski氏征(-)。二便无失禁。
2.实验室检查
血常规、生化及血电解质检查,尿常规和粪常规检查均未见异常改变。凝血酶原时间12.2秒,凝血酶时间15.6秒,纤维蛋白原3.4g/L。血pH=7.34。HIV-抗体、梅毒螺旋体特异性抗体和快速血浆反应素试验均为阴性。
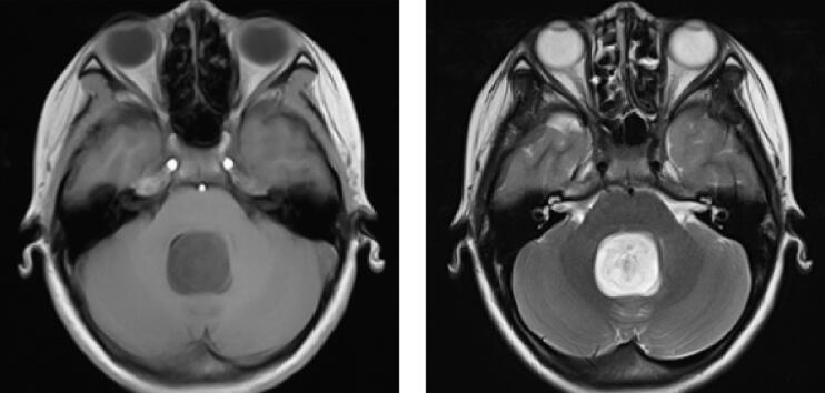
3.磁共振成像参数
扫描应用3.0T超导型MRI仪(Siemens Magnetom Trio Tim),8通道头部线圈,患者取仰卧位,头先进。应用体轴横断位T1WI(TR/TE=500ms/8.9ms,5mm层厚)、T2WI(TR/TE=4500ms/87ms,5mm层厚)。应用钆喷酸葡胺(Gd-DTPA)注射液20ml,经手背静脉以高压注射器4ml/s流率注入,随之以0.9%生理盐水20ml冲入,4分钟后扫描。MRI表现见图1。


图1 第四脑室毛细胞星形细胞瘤:MRI平扫第四脑室内类圆形异常信号,T2WI呈高信号,T1WI呈低信号,增强后强化明显,呈花环样强化
【最终诊断】
第四脑室内毛细胞星形细胞瘤
【专家点评】
毛细胞星形细胞瘤好发于儿童和年轻人,生长缓慢,界线较清。瘤周无水肿或水肿较轻是重要征象之一。小脑蚓部是其好发的部位之一,囊性或囊实性为常见的典型表现。本例需与髓母细胞瘤鉴别,髓母细胞瘤增强后多呈显著均质强化是鉴别的要点。
(印弘)
(环球医学编辑:余霞霞)
来源:《磁共振成像对比剂的临床应用》
作者:李坤成
页码:219-220
出版:人民卫生出版社
- 评价此内容
- 我要打分
近期推荐
热门关键词
最新会议
- 2013循证医学和实效研究方法学研讨会
- 欧洲心脏病学会年会
- 世界帕金森病和相关疾病2013年会议
- 英国介入放射学学会2013年第25届年会
- 美国血液学会2013年年会
- 美国癫痫学会2013年第67届年会
- 肥胖学会 2013年年会
- 2013年第9届欧洲抗体会议
- 国际精神病学协会 2013年会议
- 妇科肿瘤2013年第18届大会
- 国际创伤压力研究学会2013年第29届…
- 2013年第4届亚太地区骨质疏松症会议
- 皮肤病协会国际2013年会议
- 世界糖尿病2013年大会
- 2013年国际成瘾性药年会
- 彭晓霞---诊断试验的Meta分析
- 武姗姗---累积Meta分析和TSA分析
- 孙凤---Network Meta分析
- 杨智荣---Cochrane综述实战经验分享
- 杨祖耀---疾病频率资料的Meta分析
合作伙伴
Copyright g-medon.com All Rights Reserved 环球医学资讯 未经授权请勿转载!
网络实名:环球医学:京ICP备08004413号-2
关于我们|
我们的服务|版权及责任声明|联系我们
互联网药品信息服务资格证书(京)-经营性-2017-0027
互联网医疗保健信息服务复核同意书 京卫计网审[2015]第0344号




会员登录

