23岁女性右侧肢体无力以为是病毒性脑炎 治疗后又出现视力下降、头痛
23岁女性,突然出现右侧肢体无力,在当地医院就诊,因患者发病3周前有咳嗽、头痛、乏力及发热,体温最高达38.9℃,发病2周前出现口周疱疹,不能言语,当地医院以“病毒性脑炎”治疗。之后,患者再次视力下降8个月,头痛2个月。经查体、实验室检查及影像学检查后,发现该患者竟得了这种病。
1 病例简介
患者女,23岁。因“言语不清伴右侧肢体无力10个月,视力下降8个月,头痛2个月”于2006年10月27日入院。患者2005年12月下旬突然出现右侧肢体无力,在当地医院就诊,因患者发病3周前有咳嗽、头痛、乏力及发热,体温最高达38.9℃,发病2周前出现口周疱疹,并不能言语,当地医院以“病毒性脑炎”治疗,1周后患者右侧肢体无力症状恢复。2006年2月,患者言语功能逐渐恢复,可回答简单问题,但对部分问话内容不能理解,记忆力、计算力及理解力明显下降,生活不能自理,同时诉双眼视物不清,只能看到中间部分的物体,不能看清周围物体。4月份患者双眼视力恢复正常,可完成一般家务劳动及骑摩托车外出等,但仍然言语不清。8月中旬,患者无明显诱因出现右侧头顶部隐痛,呈阵发性,症状逐渐加重,1周后出现全头部胀痛,伴恶心。9月20日,患者再次出现双眼视物不清,呈发作性,逐渐加重出现双眼完全看不见东西,同时出现反应迟钝、自笑,不认识家人。
查体:左上肢血压120/80mmHg,右上肢血压130/80mmHg,言语欠流利,反应迟钝,表情欣快,定向力(时间、空间、人物)障碍,理解力、记忆力减退,尤其近记忆力明显减退,计算力下降,双眼仅有光感,双侧瞳孔对光反射略迟钝,双眼向左注视时可见顿挫眼震,颈软、无抵抗。四肢肌力、肌张力正常,双侧足背动脉搏动存在,右侧病理征(±),左侧(-)。
实验室检查:入院后血常规、生化、ESR及梅毒学检查结果正常。腰穿压力正常,脑脊液无色透明,细胞总数28个/L,白细胞6个/L,蛋白0.5g/L,余正常。脑脊液寡克隆带阴性,脑脊液细菌学检查阴性。
颅脑CT:左侧额叶见两片低密度灶(2005年12月31日);左侧颞顶枕额叶脑软化灶形成并左侧脑萎缩(2006年9月18日)。
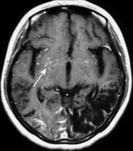
颅脑MRI:左侧颞顶枕叶长T1、长T2信号(2006年1月3日);颅脑MRI,右枕叶长T1、长T2信号,DWI可见高密度影,左侧颞顶枕叶长T1、长T2信号(2006年10月25日)(图1)。MRA示双侧颈内动脉起始段狭窄、大脑前中后动脉显影不良。

图1 颅脑MRI强化检查轴位像示双侧鞍上池周围、外侧裂、基底节区多发细小血管见强化(箭头)
全脑DSA:双侧颈内动脉入颅段狭窄,颈内动脉远端闭塞,大量新生血管呈烟雾状增生,基底动脉尖及双侧大脑后动脉狭窄并见烟雾状血管增生(图2)。

图2 全脑DSA示左侧颈内动脉C2段狭窄远端烟雾样血管增生(黑箭头)(A);右侧颈内动脉C2段狭窄远端烟雾样血管增生(黑箭头),颈外动脉代偿向大脑前动脉供血(白箭头)(B);基底动脉尖大脑后动脉狭窄远端烟雾样血管增生(黑箭头)(C、D)
诊断:颈内动脉和基底动脉系统烟雾病(Moyamoya病)
患者入院后给予血管扩张剂、抗血小板聚集、改善脑循环、促进脑代谢等治疗,3日后,头痛症状消失,7日后言语不清较前好转,住院14日出院,出院时言语理解力明显好转。
2 讨论
Moyamoya病即脑底异常血管网病,是1957年由日本Takeuchi和Shimizu[1]首先描述,并根据其脑血管造影显示的烟雾状血管异常而命名的临床放射学综合征。烟雾病与遗传因素,先天性血管发育异常,脑外伤、动脉炎、钩端螺旋体感染等的继发病变有关。主要病理改变是颈内动脉床突上段狭窄或闭塞,脑底部形成代偿性异常血管网[2]。本病临床表现复杂多样,但常以卒中样发作起病,如突发偏瘫、左右交替性偏瘫等或以精神异常、智能障碍等症状发病。儿童和青少年以缺血多见,表现为偏瘫、失语、昏迷、视力障碍、头痛和短暂性脑缺血发作(TIA)等。青壮年以出血多见,包括脑实质出血、蛛网膜下腔出血及原发性脑室出血。全脑血管造影有确诊的价值,多表现为颈内动脉虹吸段及大脑前、中动脉起始段狭窄或不显影,基底节区可见烟雾状的细小血管团,还可见颅内外的侧支循环[3,4]。
本例患者以上呼吸道感染和发热为首发症状,体温升高持续2周后缓解,随后患者出现口周疱疹,伴有言语障碍、右侧肢体偏瘫。当地医院诊断为病毒性脑炎,虽然1周后患者右侧肢体无力症状明显恢复,但总体治疗效果不明显。2个月后患者逐渐出现智能减退,生活不能自理。9个月后智能严重受损,表现为反应迟钝、自笑、不认识家人。回顾患者发病全过程,我们发现患者的临床表现为急性起病,分别以偏瘫、言语障碍、视力减退为表现形式,经一段时间临床症状可以部分缓解,但总体表现为进行性加重的过程,伴有智能减退,同时抗病毒治疗无效,这些临床表现均不能用病毒性脑炎解释。发病10个月后患者再次出现双眼视物不清,呈发作性,逐渐加重出现双眼完全看不见东西,同时出现反应迟钝、自笑,不认识家人。复查颅脑MRI示右枕叶长T1、长T2信号,DWI可见高密度影,左侧颞顶枕叶长T1、长T2信号。立即行全脑血管造影检查见双侧颈内动脉C2段高度狭窄远段闭塞,大量新生血管呈烟雾状增生。双侧颈外动脉代偿向大脑前动脉供血,基底动脉系统通过皮层支及后胼周动脉向大脑前动脉及大脑中动脉区供血。基底动脉尖和大脑后动脉近段狭窄,大脑后动脉为了代偿性地参与相应缺血区的供血,其远端不断地增生、扩张,遂形成DSA所见的异常烟雾状血管增生。此例患者告诉我们病史和临床体征是神经系统疾病诊断治疗的基础,患者虽然是以上呼吸道感染和发热为首发症状,但几次发作均有血管机制的参与,每次发作后均遗留一定程度的神经系统体征,最后患者出现精神智能障碍。调整诊断思路后发现患者外侧裂、基底节区有多发细小异常血管影像,全脑血管造影检查发现颈内动脉和椎动脉系统均有异常烟雾状血管增生,符合烟雾病的诊断。
专家点评 张通
这是一例很有意思的病例,病史中提供的信息量很多,如果不仔细推敲,很容易误诊。当地将该病诊断为病毒性脑炎,其原因可能是没有对临床信息进行认真仔细的梳理,纵观病程全过程,我们可以发现患者的神经系统症状出现的特点是:①卒中样发病;②发病形式多样;③经一段时间可以缓解;④抗病毒治疗无效。虽然病程中患者出现了疱疹、咳嗽、头痛、乏力及发热等症状,但作为一名临床医生,应该仔细对病例进行定位定性分析并仔细分析其病程演变特点,从中找出病毒性脑炎支持点和不支持点。本文作者在对病例进行了仔细分析后,发现其病程演变过程不是病毒性脑炎的特点,进一步发现了患者的神经系统病变是由烟雾病所致。由此可以看出,临床是一项既要求有扎实基本概念,又需要缜密的临床思维并具备相当的临床经验积累的工作。
参考文献
1.Takeuchi K,Shimizu K.Hypoplasia of the bilateral internal carotid arteries[J].Brain Nerve,1957,9:37-43.
2.Su IC,Yang CC,Wang WH,et al.Acute cerebral ischemia following intraventricular hemorrhage in moyamoya disease:early perfusion computed tomography findings[J].J Neurosurg,2008,109:1049-1051.
3.Kuroda S,Houkin K.Moyamoya disease:current concepts and future perspectives[J].Lancet Neurol,2008,7:1056-1066.
4.Scott RM.Moyamoya[J].J Neurosurg Pediatrics,2008,2:158.
(环球医学编辑:余霞霞)
来源:《中国卒中杂志病例精选》
作者:王春雪 张宁
页码:91-94
出版:人民卫生出版社
- 评价此内容
- 我要打分
近期推荐
热门关键词
最新会议
- 2013循证医学和实效研究方法学研讨会
- 欧洲心脏病学会年会
- 世界帕金森病和相关疾病2013年会议
- 英国介入放射学学会2013年第25届年会
- 美国血液学会2013年年会
- 美国癫痫学会2013年第67届年会
- 肥胖学会 2013年年会
- 2013年第9届欧洲抗体会议
- 国际精神病学协会 2013年会议
- 妇科肿瘤2013年第18届大会
- 国际创伤压力研究学会2013年第29届…
- 2013年第4届亚太地区骨质疏松症会议
- 皮肤病协会国际2013年会议
- 世界糖尿病2013年大会
- 2013年国际成瘾性药年会
- 彭晓霞---诊断试验的Meta分析
- 武姗姗---累积Meta分析和TSA分析
- 孙凤---Network Meta分析
- 杨智荣---Cochrane综述实战经验分享
- 杨祖耀---疾病频率资料的Meta分析
合作伙伴
Copyright g-medon.com All Rights Reserved 环球医学资讯 未经授权请勿转载!
网络实名:环球医学:京ICP备08004413号-2
关于我们|
我们的服务|版权及责任声明|联系我们
互联网药品信息服务资格证书(京)-经营性-2017-0027
互联网医疗保健信息服务复核同意书 京卫计网审[2015]第0344号




会员登录

