小伙抗结核治疗1个月后出现头痛、双下肢活动障碍 真凶是…
23岁男性,主因“诊断性抗结核治疗1个月,头痛伴双下肢活动障碍1周”就诊。经MRI检查,发现“真凶”竟是……
【主诉】
患者男,23岁。主因“诊断性抗结核治疗1个月,头痛伴双下肢活动障碍1周”就诊。
【临床资料】
1.查体
体温37℃,脉搏89次/分,呼吸16次/分,血压104/80mmHg,患者一般情况可,神清,查体合作,颈软,气管居中,双肺呼吸音粗,未闻及干湿啰音,呼吸规整。心律齐,未闻及杂音。腹部软,无压痛,无反跳痛,肝脾肋下未及,肝颈静脉反流征阴性,双下肢无凹陷性水肿。左下肢可轻微活动,右下肢无法自主活动,双下肢肌力减退。
2.实验室检查
血常规结果,白细胞4.55×109/L,中性粒细胞百分率70.5%;淋巴细胞百分率19.1%,单核细胞百分率6.8%;血红蛋白(HGB)120g/L,血小板321×109/L。血生化及尿常规、粪常规未见异常改变。
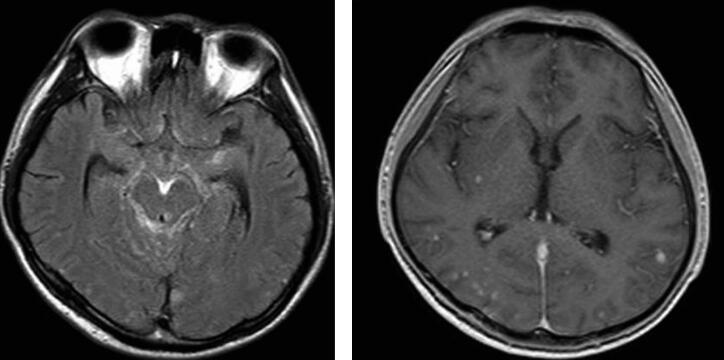
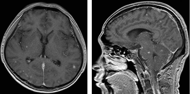
3.磁共振成像参数
扫描采用PHILIPS ACHIEVA 1.5T超导型磁共振扫描系统,8通道头部线圈,患者取仰卧位,双上肢平置于身体两侧。采用T1加权成像(T1WI)和FLAIR,FFE序列,进行横断位及矢位扫描。采用钆布醇注射液7.5ml,经手背静脉注入,3分钟后扫描。MRI表现见图1。


图1脑内多发结核瘤伴结核性脑膜炎
【最终诊断】
脑内多发结核瘤伴结核性脑膜炎
(孙希文)
(环球医学编辑:余霞霞)
来源:《磁共振成像对比剂的临床应用》
作者:李坤成
页码:228-229
出版:人民卫生出版社
- 评价此内容
- 我要打分
近期推荐
热门关键词
最新会议
- 2013循证医学和实效研究方法学研讨会
- 欧洲心脏病学会年会
- 世界帕金森病和相关疾病2013年会议
- 英国介入放射学学会2013年第25届年会
- 美国血液学会2013年年会
- 美国癫痫学会2013年第67届年会
- 肥胖学会 2013年年会
- 2013年第9届欧洲抗体会议
- 国际精神病学协会 2013年会议
- 妇科肿瘤2013年第18届大会
- 国际创伤压力研究学会2013年第29届…
- 2013年第4届亚太地区骨质疏松症会议
- 皮肤病协会国际2013年会议
- 世界糖尿病2013年大会
- 2013年国际成瘾性药年会
- 彭晓霞---诊断试验的Meta分析
- 武姗姗---累积Meta分析和TSA分析
- 孙凤---Network Meta分析
- 杨智荣---Cochrane综述实战经验分享
- 杨祖耀---疾病频率资料的Meta分析
合作伙伴
Copyright g-medon.com All Rights Reserved 环球医学资讯 未经授权请勿转载!
网络实名:环球医学:京ICP备08004413号-2
关于我们|
我们的服务|版权及责任声明|联系我们
互联网药品信息服务资格证书(京)-经营性-2017-0027
互联网医疗保健信息服务复核同意书 京卫计网审[2015]第0344号




会员登录

