大妈突发言语不清、右侧肢体无力2个多月 治疗之路一波三折
41岁女性,入院前2个月在活动中突然出现言语不清,右侧肢体无力,当地诊断为“脑梗死”,并治疗1周,症状无明显改善。再次就诊于省立医院,诊断为“脑梗死,烟雾病”,住院治疗期间,检查显示血T3、T4水平明显增高(具体数值不详)。入院前10日,患者无明显诱因再次出现右侧肢体无力,该患者所患何病?
1病例简介
患者女,41岁。主因“突发言语不清、右侧肢体无力2个月余,再发右侧肢体无力10天”于2010年11月10日收入我院。
患者入院2个月前在活动中突然出现言语不清,右侧肢体无力,表现为右手持物不能,不能独立站立,须在他人搀扶下行走。不伴头痛、呕吐、视物旋转、复视、肢体抽搐、意识障碍等。测血压正常(具体数值不详),就诊于当地市医院,诊为“脑梗死”给予阿司匹林100mg每日一次、阿托伐他汀钙20mg每晚一次,治疗1周,患者上述症状无明显改善。遂就诊于当地省立医院,行全脑血管造影显示“右侧颈内动脉床突上段闭塞,左侧颈内动脉床突上段狭窄,双侧大脑前中动脉由基底动脉经后交通动脉代偿供血,左侧大脑后动脉起始段狭窄”,诊断为“脑梗死,烟雾病”,给予阿司匹林100mg每日一次及氯吡格雷75mg每日一次双联抗血小板等治疗。住院期间,检查显示血T3、T4水平明显增高(具体数值不详)。追问病史,患者近1年出现易饥饿、怕热等症状,诊断为“甲状腺功能亢进”。给予口服甲巯咪唑10mg每日三次、心得安10mg每日三次治疗,患者右侧肢体无力及言语不清好转,基本恢复到发病前水平出院。入我院前10日,患者无明显诱因再次出现右侧肢体无力,持物及行走困难,伴言语不清,不能听懂他人话语,不伴明显头痛及意识障碍。发病以来,精神饮食好,大小便正常,无发热及心悸表现。
既往史:10年前行绝育手术。否认高血压、糖尿病病史,否认有短暂性脑缺血发作史,否认有口服避孕药病史,否认药物过敏史。
入院查体:血压120/64mmHg(右侧)115/60mmHg(左侧),心率70次/分,营养中等,无明显突眼。颈动脉听诊区未闻及血管杂音。甲状腺弥漫性Ⅱ度肿大,未扪及结节,未闻及血管杂音。双肺呼吸音清,未闻及干湿啰音,心律齐,心尖部可闻2级收缩期吹风样杂音,腹软,全腹无明显压痛及反跳痛。神经系统检查:神志清楚,不完全性混合性失语,高级神经活动检查欠合作。双侧瞳孔等大等圆,直径约3mm,对光反射灵敏,双眼球向各方向活动自如充分,未见眼震,右侧鼻唇沟浅,伸舌不合作。右侧上肢肌力4级,右侧下肢肌力3级,左侧肢体肌力5级;右侧肢体肌张力低,右侧肢体腱反射较左侧减弱,双侧掌颌反射阳性,双侧Hoffmann征阴性,左侧Pussep征阳性,右侧Babinski征阳性,脑膜刺激征阴性。全身感觉及共济运动检查不合作。
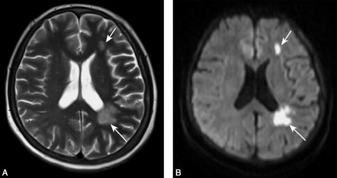
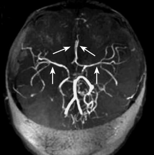
辅助检查:颅脑MRI(2010年11月17日):左侧额颞顶枕、脑干多发性缺血梗死灶。MRA:双侧颈内动脉未显示,后交通动脉代偿双侧大脑前动脉和大脑中动脉,大脑前动脉和大脑中动脉纤细;右侧大脑后动脉较对侧粗(图1、图2)。

图1 颅脑MRI(2010年11月17日):A.轴位MRI T2加权像显示左侧额颞、顶枕交界区散在片状长T2信号(箭头);B.轴位DWI显示上述病灶高信号影(箭头)

图2 MRA(2010年11月17日)可见双侧颈内动脉未显示,双侧大脑前动脉、中动脉纤细(箭头)
全脑DSA(外院2010年9月20日):双侧颈内动脉纤细,右侧颈内动脉床突上段闭塞,左侧颈内动脉床突上段狭窄,双侧大脑前动脉和大脑中动脉由基底动脉经后交通动脉代偿供血,左侧大脑后动脉起始段狭窄(图3)。

图3 全脑DSA(2010年9月20日):A.显示左侧颈内动脉床突上段狭窄(箭头);B.双侧大脑中动脉及大脑前动脉由基底动脉经后交通动脉供血
四肢血管超声(2010年11月20日):双侧腋、肱、尺、桡动脉走行正常,内膜光滑,管腔无狭窄。双侧股、腘、胫前、胫后、腓动脉走行正常,内膜欠光滑,可见点状回声,管腔无狭窄。四肢静脉系统无异常。
甲状腺超声(2010年11月22日):甲状腺体积增大,腺体表面光滑,右叶6.3cm×2.7cm×1.4cm,峡厚0.7cm,左叶6.1cm×2.6cm×2.5cm,腺体回声不均匀,未见明显结节回声,腺体血流信号丰富。
颈部血管超声(2010年11月24日):双侧颈内动脉内膜光滑,未见内膜增厚及斑块。右侧颈内动脉外管径偏细,管径内低回声充填,未见血流信号,左侧颈内动脉管腔内显示断续暗淡血流信号,探及低速高阻血流频谱。双侧椎动脉及锁骨下动脉未见明显异常,血流流速及频谱形态正常范围。提示:右侧颈内动脉闭塞,左侧颈内动脉远端闭塞可能性大。
心脏超声(2010年11月24日):左房前后径均值36mm(增大),二尖瓣少量反流,三尖瓣中量反流,肺动脉高压(轻度)。
心电图:窦性心律不齐。
ESR、抗链O、类风湿因子、尿常规、便常规及潜血、乙肝五项、丙肝抗体、梅毒抗体、凝血象均正常。抗核抗体谱、抗心磷脂抗体、抗中性粒细胞胞质抗体均阴性。
甲状腺功能(2010年11月12日服用甲巯咪唑1个月后):三碘甲状腺原氨酸2.49nmol/L(0.89~2.44nmol/L),甲状腺素137.77nmol/L(62.68~150.84nmol/L),超敏促甲状腺素0.001μIU/ml(0.35~4.94μIU/ml),游离T3 7.89pmol/L(2.63~5.70pmol/L),游离T4 7.89pmol/L(9.00~19.04pmol/L)。
甲状腺过氧化物酶抗体>1000.0IU/ml(0~12IU/ml),甲状腺球蛋白抗体245.7IU/ml(0~34IU/ml),促甲状腺受体抗体阳性。
血常规:白细胞5.15×109/L,红细胞绝对值3.96×1012/L,血红蛋白101g/L,血细胞比容0.316,红细胞平均体积79.8fl。
血生化:丙氨酸转移酶15U/L,甘油三酯0.52mmol/L,总胆固醇2.02mmol/L,高密度脂蛋白胆固醇1.15mmol/L,低密度脂蛋白胆固醇0.8mmol/L,血钾3mmol/L。肾功能、血糖、尿酸正常。
诊断:入脑前动脉狭窄伴脑梗死、左侧颈内动脉狭窄、右侧颈内动脉闭塞、Graves病、脂代谢紊乱、低钾血症、贫血。
2 讨论
本例患者具有较为典型的高代谢症状,在外院和我院化验甲状腺功能均异常,且促甲状腺受体抗体阳性,符合Graves病的诊断标准。患者中年女性,无高血压、糖尿病等动脉粥样硬化的危险因素,全脑DSA及MRA显示其双侧颈内动脉闭塞或严重狭窄,因此我们考虑该患者为Graves病合并颈内动脉狭窄/闭塞[1]。
根据文献报道,Graves病可合并颅内外血管病变,其中以烟雾综合征最为常见,此外还可单独出现颅内动脉狭窄[2],或者颈总动脉狭窄等不同类型的报道[3]。有些脑血管改变不完全符合烟雾病的诊断标准,而被认为是一种变异类型或者烟雾病早期血管改变[4]。本例患者动脉狭窄时间还不够长,烟雾状血管增生不明显。随着疾病的延长,患者颅内血管有可能发展成为烟雾样改变。无论是何种类型,Graves病合并颅内血管病变以女性多见,发病年龄为10~54岁之间,平均发病年龄为30岁,主要表现为短暂性脑缺血发作和脑梗死,而且所有患者在脑缺血症状发生时都存在甲状腺毒血症,缺血症状改善与甲状腺功能改善平行。
本例患者的临床特点与文献报道的较为一致,甲状腺毒血症在短期内未缓解,可能是患者反复出现脑梗死的原因。本例患者的血管超声显示其四肢动脉受累相对较轻,提示可能颈内动脉对甲状腺素的毒性更为敏感,特别是颈内动脉末端损害最为严重。这也是Graves病容易引起烟雾综合征的原因之一。
Graves病引起血管病变的原因总结如下:第一,甲状腺激素水平升高提高了血管对交感神经活动的敏感性,导致动脉血管壁病理改变,最终血管闭塞[5]。颈动脉分叉及脑底血管主要由颈上交感神经节的交感神经支配,研究显示在烟雾病患者中去除颈上交感神经节可使脑血流量增加18.8%[6],这也从一个侧面证实甲状腺激素毒性,致使交感活性增强。第二,免疫介导因素在疾病的发展过程中起重要作用。动脉血管壁细胞增殖、血管功能异常和甲状腺免疫刺激,可能都与T细胞的功能失调有关[7]。第三,炎症反应。有研究显示Graves病患者经过激素治疗和血浆置换后,脑血管病理改变显著改善,脑动脉血管壁的炎性改变可能是二者之间联系的关键。而且这种假设被其他自身免疫性疾病所支持,如在系统性红斑狼疮和抗磷脂抗体综合征的患者中均会出现血管狭窄的现象。此外,有研究显示甲状腺素可能诱导产生高同型半胱氨酸而加重动脉粥样硬化。遗传因素也可能参与其中[8]。
改善血流动力学,治疗甲状腺功能亢进及甲状腺素造成的易栓状态是治疗的重点。持续的甲状腺毒血症会引起动脉的不可逆损伤,因此早期诊断就显得极为重要,一旦诊断明确,在治疗脑缺血的同时,给予抗甲状腺毒性治疗。
目前认为,对甲状腺功能亢进未控制和控制不良的患者实施血管重建手术如动脉搭桥术治疗风险较大。是否需要手术治疗还依赖于血管的改变及症状。对于该患者我们给予内科保守治疗,经过与神经外科会诊讨论,认为目前患者甲状腺功能亢进仍未控制,血管环境仍未得到有效的改善,尚不具备手术条件。待甲状腺激素水平稳定后,进一步做血管评估,以决定是否手术治疗。
专家点评 聂志余
Graves病又称毒性弥漫性甲状腺肿,是一种伴甲状腺激素分泌增多的器官特异性自身免疫病,有遗传倾向,临床表现除甲状腺肿大和高代谢综合征外,尚可有突眼及胫前黏液性水肿等。另外甲状腺功能亢进患者交感神经兴奋性持续增高可能导致脑动脉血管壁的慢性病理改变,甲状腺毒血症可能对脑动脉产生直接影响,因此临床也会见到Graves病合并颅内外动脉病变的情况。该病例发病之初诊断脑梗死和“烟雾病”,转到上级医院后发现了患者T3和T4水平升高,诊断为“甲状腺功能亢进”,并给予了相应治疗,待转到天坛医院后进一步检查,确定患者促甲状腺激素水平降低,甲状腺球蛋白抗体、促甲状腺受体抗体及甲状腺过氧化物酶抗体阳性,确定患者已经达到Graves病的诊断标准。此病例提醒我们对脑动脉狭窄患者的病史询问不应仅仅局限于与动脉粥样硬化相关的情况,还应该考虑到其他一些少见但能明确导致动脉疾病的病史,如遗传病史、免疫系统疾病史、感染病史等。正如此病例,患者已经有了明确的高代谢综合征症状,如能早期发现Graves病给予及时治疗,随着甲状腺功能亢进的控制、甲状腺功能的恢复,不但可以延缓脑动脉狭窄的进展,甚至还可部分逆转脑动脉狭窄。该病例未发现免疫指标异常,尚需随访。
参考文献
1.Scott RM,Smith ER.Moyamoya disease andmoyamoya syndrome[J].N Engl J Med,2009,19:1226-1237.
2.Nakamura K,Yanaka K,Ihara S,et al.Multiple intracranial arterial stenoses around the circle of Willis in association with Graves’disease:report of two cases[J].Neurosurgery,2003,53:1210-1215.
3.Czarkowski M,Hilgertner L,Powalowski T,et al.The stiffness of the common carotid artery in patients with Graves’disease[J].Int Angiol,2002,21:152-157.
4.Kataoka H,Miyamoto S,Nagata I,et al.Moyamoya disease showing atypical angiographic findings:Two case reports[J].Neurol Med Chir(Tokyo),1999,39:294-298.
5.Liu JS,Juo SH,Chen WH,et al.A case of Graves’diseases associated with intracranial moyamoya vessels and tubular stenosis of extracranial internal carotid arteries[J].J Formos Med Assoc,1994,93:806-809.
6.Sato H,Ogawa A,Takahashi A,et al.Influence of superior cervical ganglion on cerebral hemodynamics measurements of cerebral blood flow and metabolism during superior cervical ganglionectomy in patients with moyamoya disease[J].No to Shinkei,1990,42:203-208.
7.Tendler BE,Shoukri K,Malchoff C,et al.Concurrence of Graves’disease and dysplastic cerebral blood vessels of the moyamoya variety[J].Thyroid,1997,7:625-629.
8.Tokimura H,Tajitsu K,Takashima H,et al.Familial moyamoya disease associated with Graves’disease in a mother and daughter.Two case reports[J].Neurol Med Chir(Tokyo),2010,50:668-674.
(环球医学编辑:余霞霞)
来源:《中国卒中杂志病例精选》
作者:王春雪 张宁
页码:137-141
出版:人民卫生出版社
- 评价此内容
- 我要打分
近期推荐
热门关键词
最新会议
- 2013循证医学和实效研究方法学研讨会
- 欧洲心脏病学会年会
- 世界帕金森病和相关疾病2013年会议
- 英国介入放射学学会2013年第25届年会
- 美国血液学会2013年年会
- 美国癫痫学会2013年第67届年会
- 肥胖学会 2013年年会
- 2013年第9届欧洲抗体会议
- 国际精神病学协会 2013年会议
- 妇科肿瘤2013年第18届大会
- 国际创伤压力研究学会2013年第29届…
- 2013年第4届亚太地区骨质疏松症会议
- 皮肤病协会国际2013年会议
- 世界糖尿病2013年大会
- 2013年国际成瘾性药年会
- 彭晓霞---诊断试验的Meta分析
- 武姗姗---累积Meta分析和TSA分析
- 孙凤---Network Meta分析
- 杨智荣---Cochrane综述实战经验分享
- 杨祖耀---疾病频率资料的Meta分析
合作伙伴
Copyright g-medon.com All Rights Reserved 环球医学资讯 未经授权请勿转载!
网络实名:环球医学:京ICP备08004413号-2
关于我们|
我们的服务|版权及责任声明|联系我们
互联网药品信息服务资格证书(京)-经营性-2017-0027
互联网医疗保健信息服务复核同意书 京卫计网审[2015]第0344号




会员登录

