1岁宝宝无缘无故发热近半个月 对症治疗无效
1岁患儿,2周前无明显诱因出现发热,体温38.5~39.3℃,给予对症治疗及物理降温体温无明显下降,无流涕及咳嗽症状,无腹泻、腹痛及皮疹。经查体、实验室检查以及影像学检查,发现该患儿患有……
【主诉】
患者女性,1岁。主因“间断性肢体抽搐、发热2周”就诊。
【临床资料】
1.病史
患儿于2周前无明显诱因出现发热,体温38.5~39.3℃,给予对症治疗及物理降温体温无明显下降,无流涕及咳嗽症状,无腹泻、腹痛及皮疹。
2.查体
体温38.5℃,脉搏132次/分,呼吸26次/分,血压85/46mmHg,患者一般情况可,精神差,发育良好,自主体位,生理反射存在,病理征未引出。
3.实验室检查
血常规,白细胞8.26×109/L,淋巴细胞百分比48.5%;中性粒细胞百分比39.4%。脑脊液,WBC 121×106/L,白细胞分类32.2%,蛋白总量1.21g/L,Glu 2.07mmol/L,氯化物115mmol/L。尿常规、粪常规检查均未见异常改变。HIV-抗体、梅毒螺旋体特异性抗体和快速血浆反应素试验均为阴性。
4.磁共振成像参数
扫描应用MRI设备、线圈、脉冲序列、扫描参数和对比增强方法均与本节病例5相同。MRI表现见图1。

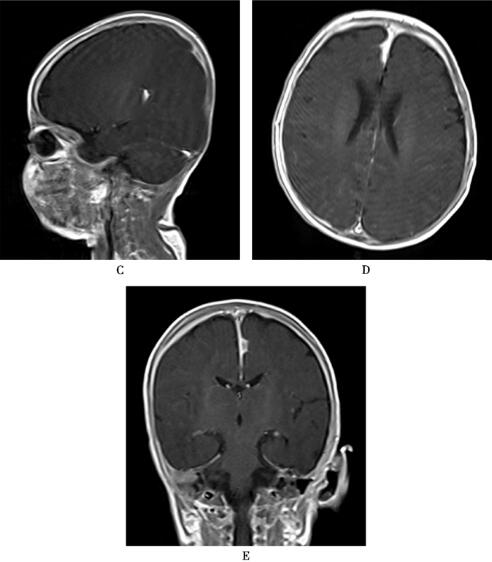
图1 特发性肥厚性硬脑膜炎
平扫灰白质界限欠清晰,增强后颅内硬脑膜明显广泛增厚强化,颅脑实质内未见明显异常强化灶
【最终诊断】
特发性肥厚性硬脑膜炎(idiopathic hypertrophic pachymeningitis,IHP)
【专家点评】
特发性肥厚性硬脑膜炎是一种少见的中枢神经系统慢性无菌性炎性疾病,病理上以颅内硬脑膜弥漫性增厚和纤维性炎症过程为特征,增强后主要表现为沿颅顶或颅底之颅板下方以及小脑幕、大脑镰分布的硬脑膜局部或弥散性强化影,特发性肥厚性硬脑膜炎的病因及发病机制尚未明确。脑膜活检是诊断特发性肥厚性硬脑膜炎的确诊手段。
(印弘)
(环球医学编辑:余霞霞)
来源:《磁共振成像对比剂的临床应用》
作者:李坤成
页码:226-228
出版:人民卫生出版社
- 评价此内容
- 我要打分
近期推荐
热门关键词
最新会议
- 2013循证医学和实效研究方法学研讨会
- 欧洲心脏病学会年会
- 世界帕金森病和相关疾病2013年会议
- 英国介入放射学学会2013年第25届年会
- 美国血液学会2013年年会
- 美国癫痫学会2013年第67届年会
- 肥胖学会 2013年年会
- 2013年第9届欧洲抗体会议
- 国际精神病学协会 2013年会议
- 妇科肿瘤2013年第18届大会
- 国际创伤压力研究学会2013年第29届…
- 2013年第4届亚太地区骨质疏松症会议
- 皮肤病协会国际2013年会议
- 世界糖尿病2013年大会
- 2013年国际成瘾性药年会
- 彭晓霞---诊断试验的Meta分析
- 武姗姗---累积Meta分析和TSA分析
- 孙凤---Network Meta分析
- 杨智荣---Cochrane综述实战经验分享
- 杨祖耀---疾病频率资料的Meta分析
合作伙伴
Copyright g-medon.com All Rights Reserved 环球医学资讯 未经授权请勿转载!
网络实名:环球医学:京ICP备08004413号-2
关于我们|
我们的服务|版权及责任声明|联系我们
互联网药品信息服务资格证书(京)-经营性-2017-0027
互联网医疗保健信息服务复核同意书 京卫计网审[2015]第0344号




会员登录

