大叔左侧肢体无力1年半 反复治疗后仍加重
48岁男性,曾于1年半前突发左侧肢体无力,外院诊断脑出血,对症治疗好转。半年前再次发作入院,诊断脑血管畸形,对症治疗1周出院。1个月左侧肢体无力加重来笔者医院治疗,被诊断为……
【主诉】
患者男性,48岁。主因“左侧肢体无力1年半、加重1月余”就诊。
【临床资料】
1.病史
患者曾于1年半前突发左侧肢体无力,外院诊断脑出血,对症治疗好转。半年前再次发作入院,诊断脑血管畸形,对症治疗1周出院。1个月左侧肢体无力加重来我院治疗。
2.查体
体温37.5℃,脉搏82次/分,呼吸16次/分,血压138/92mmHg,患者一般情况可,神清,查体合作,对答正确。
3.实验室检查
血常规结果,淋巴细胞百分比43.4%;中性粒细胞百分比48.6%。尿常规、粪常规和血生化检查均未见异常改变。HIV-抗体、梅毒螺旋体特异性抗体和快速血浆反应素试验均为阴性。
4.磁共振成像参数
检查应用1.5T超导型MRI仪(Magnetom Trio Tim Siemens),头线圈,快速自旋回波脉冲序列获取T1WI(TR/TE=440ms/14ms)和T2WI[TR/TE=3000ms/(11~110ms)],5mm层厚。应用钆喷酸葡胺(Gd-DTPA)20ml,经手背静脉以高压注射器3ml/s流率注入,随之以0.9%生理盐水20ml冲入,注射完成后立即扫描。MRI表现见图1。


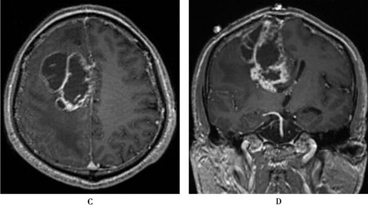
图1 大脑浆细胞瘤
右侧额叶形状不规则的异常信号灶,占位效应明显,周围脑组织广泛水肿,增强后病灶呈“花环样”不均匀强化,周围水肿区域无明显强化
【最终诊断】
浆细胞瘤
【专家点评】
颅内浆细胞瘤是指侵犯颅骨、脑膜及脑组织的浆细胞肿瘤,罕见,WHO中枢系统肿瘤分类把浆细胞瘤归属于淋巴瘤和造血系统肿瘤,临床及影像学表现无明显特征,易误诊。
(印弘)
(环球医学编辑:余霞霞)
来源:《磁共振成像对比剂的临床应用》
作者:李坤成
页码:225-226
出版:人民卫生出版社
- 评价此内容
- 我要打分
近期推荐
热门关键词
最新会议
- 2013循证医学和实效研究方法学研讨会
- 欧洲心脏病学会年会
- 世界帕金森病和相关疾病2013年会议
- 英国介入放射学学会2013年第25届年会
- 美国血液学会2013年年会
- 美国癫痫学会2013年第67届年会
- 肥胖学会 2013年年会
- 2013年第9届欧洲抗体会议
- 国际精神病学协会 2013年会议
- 妇科肿瘤2013年第18届大会
- 国际创伤压力研究学会2013年第29届…
- 2013年第4届亚太地区骨质疏松症会议
- 皮肤病协会国际2013年会议
- 世界糖尿病2013年大会
- 2013年国际成瘾性药年会
- 彭晓霞---诊断试验的Meta分析
- 武姗姗---累积Meta分析和TSA分析
- 孙凤---Network Meta分析
- 杨智荣---Cochrane综述实战经验分享
- 杨祖耀---疾病频率资料的Meta分析
合作伙伴
Copyright g-medon.com All Rights Reserved 环球医学资讯 未经授权请勿转载!
网络实名:环球医学:京ICP备08004413号-2
关于我们|
我们的服务|版权及责任声明|联系我们
互联网药品信息服务资格证书(京)-经营性-2017-0027
互联网医疗保健信息服务复核同意书 京卫计网审[2015]第0344号




会员登录

