3岁女宝宝头痛呕吐14天 真凶是…
3岁女患儿,主因“头痛,呕吐2周”就诊。查体:瞳孔等大,肌张力正常,无明显运动障碍和感觉障碍,意识清晰。实验室检验指标无明显异常。MRI检查发现真凶。
【主诉】
患儿女,3岁。主因“头痛,呕吐2周”就诊。
【临床资料】
1.查体
瞳孔等大,肌张力正常,无明显运动障碍和感觉障碍,意识清晰。实验室检验指标无明显异常。
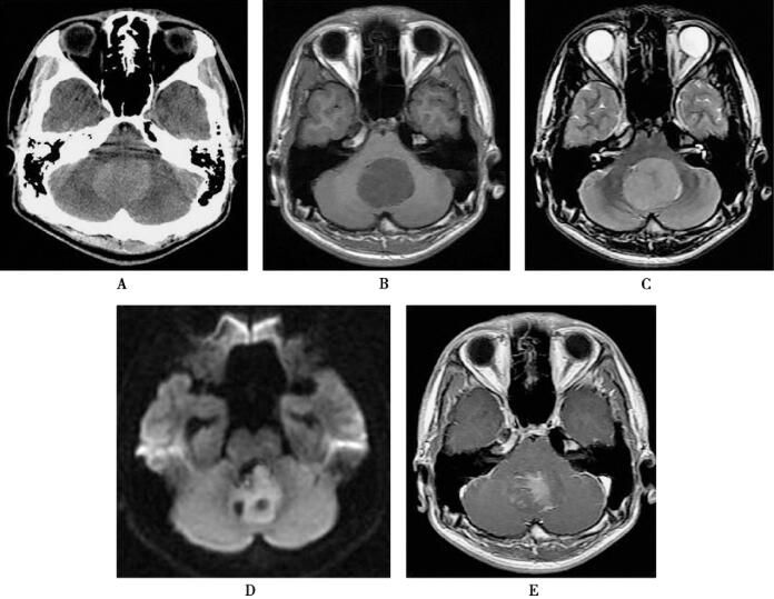
2.磁共振成像参数
应用1.5T超导型MRI仪(SignaEchospeed,GE),SE T1W横断位扫描,层厚5mm。FSE T2W横断位和矢状位扫描,层厚5mm。DWI横断位扫描,层厚5mm。SE脉冲序列T1WI增强体轴横断、冠状和矢状位扫描。对比剂用钆喷酸葡胺,剂量为0.1mmol/ kg体重。高压注射器注射。MRI表现见图1。

图1 髓母细胞瘤
头颅CT平扫显示后颅窝均匀高密度占位病灶,磁共振SE脉冲序列T1WI显示病灶位于小脑中部,呈均匀低信号,第Ⅳ脑室未显示;FSE的T2WI呈高信号,但其中心部信号稍低,DWI显示病灶信号较高,提示弥散受限,但内部有2个低信号斑点,增强扫描T1WI不均匀强化
【鉴别诊断】
1.髓母细胞瘤。肿瘤最常位于小脑蚓部,有强化,弥散受限。
2.室管膜瘤。肿瘤最常起于四脑室,有强化,弥散不受限。
3.星型细胞瘤。肿瘤最常起于小脑半球,囊实性,有强化,弥散常不受限。
【最终诊断】
髓母细胞瘤
【专家点评】
儿童颅内肿瘤以幕下居多,增强扫描必不可少,对于区别肿瘤的囊实性和观察有无脑脊液播散都十分重要。
(朱铭)
(环球医学编辑:余霞霞)
来源:《磁共振成像对比剂的临床应用》
作者:李坤成
页码:301-302
出版:人民卫生出版社
- 评价此内容
- 我要打分
近期推荐
热门关键词
最新会议
- 2013循证医学和实效研究方法学研讨会
- 欧洲心脏病学会年会
- 世界帕金森病和相关疾病2013年会议
- 英国介入放射学学会2013年第25届年会
- 美国血液学会2013年年会
- 美国癫痫学会2013年第67届年会
- 肥胖学会 2013年年会
- 2013年第9届欧洲抗体会议
- 国际精神病学协会 2013年会议
- 妇科肿瘤2013年第18届大会
- 国际创伤压力研究学会2013年第29届…
- 2013年第4届亚太地区骨质疏松症会议
- 皮肤病协会国际2013年会议
- 世界糖尿病2013年大会
- 2013年国际成瘾性药年会
- 彭晓霞---诊断试验的Meta分析
- 武姗姗---累积Meta分析和TSA分析
- 孙凤---Network Meta分析
- 杨智荣---Cochrane综述实战经验分享
- 杨祖耀---疾病频率资料的Meta分析
合作伙伴
Copyright g-medon.com All Rights Reserved 环球医学资讯 未经授权请勿转载!
网络实名:环球医学:京ICP备08004413号-2
关于我们|
我们的服务|版权及责任声明|联系我们
互联网药品信息服务资格证书(京)-经营性-2017-0027
互联网医疗保健信息服务复核同意书 京卫计网审[2015]第0344号




会员登录

