老爷爷反复咳嗽、咳痰、气急40多年 加重后自行服药无果
老爷爷因“反复咳嗽、咳痰、气急40余年,加重3天”入院。查问病史,患者于40余年前开始每逢气候变化反复出现咳嗽、咳黏液痰,伴气急。曾多次来笔者医院于门诊或住院治疗。3天前因受凉,咳嗽、咳黏液脓性痰,气急加重,心慌尤明显,无畏寒、发热症状,在家服用头孢类抗生素,症状无明显好转。后再次入笔者医院抢救室予以治疗,症状稍有改善,为进一步诊治收入急诊病房。该患者所患何病?
【病情介绍】
患者,男,81岁。因“反复咳嗽、咳痰、气急40余年,加重3天”于2011年2月17日入院。患者于40余年前开始每逢气候变化反复出现咳嗽、咳黏液痰,伴气急。曾多次来笔者医院以“慢性阻塞性肺疾病,呼吸衰竭,冠心病,心房颤动”于门诊或住院治疗。3天前因受凉,咳嗽、咳黏液脓性痰,气急加重,心慌尤明显,无畏寒、发热症状。在家服用头孢类抗生素,症状无明显好转。入笔者医院急诊抢救室,予以头孢替安2.0g,静脉滴注,每日2次,左氧氟沙星0.4g,静脉滴注抗感染,并多索茶碱平喘及毛花苷丙改善心功能等治疗,症状稍改善,为进一步诊治收入急诊病房。发病以来神志清、精神差、纳差,二便尚可,否认药物、食物或其他特殊过敏史。个人史、婚育史、家族史均无特殊。
体格检查:T 37.0℃,P 98次/分,R 28次/分,BP 125/90mmHg。神志清,精神差。半卧位,口唇稍发绀。全身皮肤黏膜未见瘀点、瘀斑。颈静脉无充盈,气管居中。桶状胸,双肺呼吸音低,散在干湿啰音。心音低,心率140次/分,心律不齐,未闻及病理性杂音。腹软,无触痛,肝脾肋下未触及,移动性浊音(−),肝颈静脉回流征(−)。双下肢无水肿,病理征阴性。
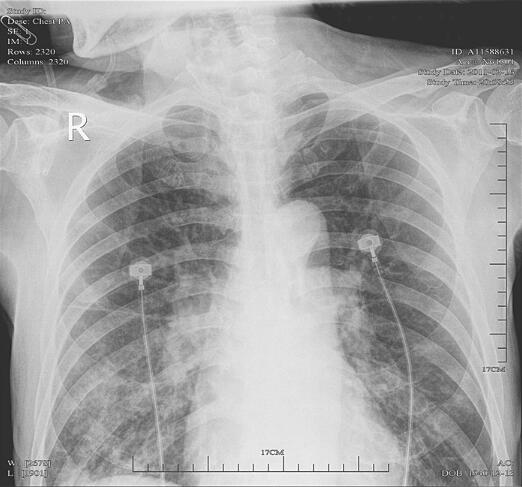
辅助检查:急诊血常规:白细胞18.8×109/L,中性粒细胞87.5%,中性粒细胞16.50×109/L,血红蛋白121.0g/L,血细胞比容33.9%,血小板216×109/L;血生化:尿素氮7.59mmol/L,肌酐114.4μmol/L,尿酸381μmol/L,谷草转氨酶28U/L,乳酸脱氢酶120U/L,磷酸肌酸激酶102U/L,肌酸激酶同工酶3U/L,钠离子137.4mmol/L,钾离子3.63mmol/L,氯离子96.0mmol/L,钙离子2.07mmol/L,超敏CRP 90.00mg/L;血BNP 720pg/ml;血TnI(−);动脉血气分析:pH 7.440,二氧化碳分压39.0mmHg,氧分压84.0mmHg,碳酸氢根浓度26.0mmol/L,标准碳酸氢根26.00mmol/L,剩余碱2.0mmol/L,氧饱和度96.0%;心电图:快速性房颤,左胸导联ST段压低,T波低平、浅倒;心脏超声:EF 42.3%,FS 30.3%,左心房增大,肺动脉收缩压轻度增高;胸片:两肺散在斑片状影(图1)。

图1 胸片:两肺散在斑片状影
入院诊断:①慢性阻塞性肺疾病,急性加重期;②冠心病,心律失常,慢性心功能不全,心功能Ⅳ级。
诊治经过:入院后予以氧疗及一般治疗,予头孢替安2.0g,静脉滴注,每8小时1次,莫西沙星0.4g,静脉滴注,每日1次抗感染,多索茶碱、氨溴索祛痰、雾化,单硝酸异山梨酯、参麦等治疗。3天后咳嗽、气急减轻,但咳黏液脓性痰仍较多。两肺干湿啰音同前,心律呈房颤律,心率130次/分。复查血常规示白细胞9.9×109/L,中性粒细胞75.77%,血红蛋白123g/L,血小板330×109/L,超敏CRP 122.00mg/L,血内毒素976.7pg/ml。停头孢替安,改用头孢哌酮-舒巴坦钠3.0g,静脉滴注,每8小时1次抗感染,莫西沙星继续应用,并给甲泼尼龙解痉平喘,减轻炎症反应。经以上治疗4天后,咳嗽、咳痰、气急、心慌症状明显减轻,轻度活动后心慌、气急亦不明显。双肺听诊散在少许细湿啰音,心脏听诊心律呈房颤律,心率80次/分。2月22日复查血内毒素46.3pg/ml;血常规示白细胞16.1×109/L,中性粒细胞86.20%,淋巴细胞9.40%,单核细胞4.28%,嗜酸性粒细胞0.06%,嗜碱性粒细胞0.06%,血红蛋白108g/L,血细胞比容31%,血小板384×109/L,超敏CRP 38.00mg/L。入院后多次痰培养和痰找抗酸杆菌均为阴性,肝肾功能检查均无异常。因家庭经济原因,2月26日要求出院,回当地医院继续治疗,头孢哌酮-舒巴坦钠继续应用10天,复查血常规基本正常。随访至今,患者病情基本稳定。
重要提示
1.老年男性,基础疾病多,慢性阻塞性肺疾病(COPD)病史反复发作40余年。
2.临床特征为除咳嗽、咳痰、气急等呼吸系统症状外,还有胸闷、心慌、心悸等循环系统症状,且相互影响。
3.胸片提示肺部感染征象,血常规及CRP也支持急性感染。心脏超声提示患者心功能不全,肺动脉轻度高压。
4.广谱抗生素治疗有效,症状和体征明显改善。
5.经过有效的抗感染治疗快室率房颤得以纠正,心功能亦明显好转。
【讨论】
COPD和心血管疾病的发病率和病死率都很高,近年来COPD患者中心血管疾病的发病率和死亡率增加正日益受到重视。COPD和心血管疾病的发病机制复杂,两者的相关性已被很多试验证实,但其机制尚不十分明确,可能与全身炎症反应、血管功能障碍、氧化应激、缺氧等因素有关。由于COPD患者存在间歇缺氧和持续缺氧状况,感染导致缺氧加重,目前已有观察性研究提示,控制系统性炎症、肺部炎症,可降低心血管疾病病死率。
2007年中华医学会呼吸病学分会制订的慢性阻塞性肺疾病诊治指南指出,COPD急性加重多由细菌感染诱发,抗生素治疗在COPD急性加重期治疗中具有重要地位。
在2010年CHINET耐药监测菌种分布研究中,本年度共收集临床分离47850株细菌的药敏监测结果,革兰阳性菌13568株,占28.4%,革兰阴性菌34282株,占71.6%,其中大肠埃希菌、肺炎克雷伯杆菌、不动杆菌、铜绿假单胞菌位列前4位。
近年来国内外也有大量文献报道,铜绿假单胞菌和不动杆菌在院内感染中占有重要地位,非发酵菌在慢性阻塞性肺疾病急性加重期(AECOPD)患者中检出率逐年增加,高达42%,且不动杆菌对常见抗感染药物耐药率逐渐增高,可达50%以上。
鉴于以上状况,2007年中华医学会呼吸病学分会慢性阻塞性肺疾病指南和2010年GOLD推荐,在有非发酵菌感染危险因素的AECOPD患者中,建议应用β-内酰胺酶抑制剂。在2009年CHINET耐药监测结果中显示,院内感染常见革兰阴性杆菌对头孢哌酮-舒巴坦钠耐药率最低,仅为13.1%,因此初始经验性治疗时需选择广谱覆盖非发酵菌且保持强大抗菌活性的药物进行抗菌治疗,头孢哌酮-舒巴坦钠可能是比较理想的初始经验抗感染治疗药物。
【专家析评】
COPD患者反复呼吸道感染引起的炎症反应导致肺组织结构的破坏及气道、肺血管收缩反应增强和血管结构的不断重建,最终因缺氧及肺血管床的减少导致肺动脉高压及缺血性心脏病等的发生。心血管疾病在COPD患者中患病率增加与多方面因素有关,肺部感染已明确具有加重心血管疾病的作用。感染期升高的CRP可直接沉积于动脉血管壁,在动脉粥样硬化形成过程中参与泡沫细胞的产生,而泡沫细胞正是动脉粥样硬化的基石。同时,COPD患者有血栓形成的高风险,急性期循环纤维蛋白原水平显著升高。
2011年9月26日,在第21届欧洲呼吸学会(ERS)年会上展示的一项新研究显示,患COPD或肺功能下降的人存在严重的心血管疾病发生危险,这提示对这些人应常规进行心血管疾病筛查。美国肯塔基州大学医学中心的研究发现,肺功能受损不仅可使肺病患者的心血管事件风险升高,而且显著加速心血管疾病患者的病情进展。对超过146000例对象随访15年的数据显示,基线时COPD患者的心血管疾病发生率较普通人群高约3倍;随访期间,其发生或复发心血管疾病的风险较普通人群增加2.4~3.9倍,表明COPD可能是缺血性心脏病和心脏猝死的重要危险因素(Thorax,2008,63:599)。
细菌感染是导致AECOPD的主要因素,因此选择有效的抗生素尽快控制感染至关重要。对于急诊感染患者,急诊医师第一时间给出的几乎都是经验性抗感染治疗。要“生命至上”,要一举命中,秉承“开始就正确”的理念,近年来,由于非发酵菌在AECOPD患者中检出率逐年增加,以及β-内酰胺酶抑制剂(头孢哌酮-舒巴坦钠)在AECOPD抗感染中的独特优势,对于AECOPD患者初始经验治疗时选择β-内酰胺酶抑制剂(头孢哌酮-舒巴坦钠)具有一定的理论与实践依据,同时也能获得较理想的治疗效果。
医师在临床中遇到的共病问题不断增加,人的寿命越长,共病问题越多。心脏病合并COPD的情况很常见,但因它们临床表现相“重叠”,很大一部分医师未能将其识别。心脏病患者中COPD的诊断问题仍悬而未决,同时存在这两种疾病的患者预后可能变差。
(环球医学编辑:余霞霞)
来源:《急诊临床病案评析:感染与心血管性疾病》
作者:陈旭岩 王仲
页码:2-6
出版:人民卫生出版社
- 评价此内容
- 我要打分
近期推荐
热门关键词
最新会议
- 2013循证医学和实效研究方法学研讨会
- 欧洲心脏病学会年会
- 世界帕金森病和相关疾病2013年会议
- 英国介入放射学学会2013年第25届年会
- 美国血液学会2013年年会
- 美国癫痫学会2013年第67届年会
- 肥胖学会 2013年年会
- 2013年第9届欧洲抗体会议
- 国际精神病学协会 2013年会议
- 妇科肿瘤2013年第18届大会
- 国际创伤压力研究学会2013年第29届…
- 2013年第4届亚太地区骨质疏松症会议
- 皮肤病协会国际2013年会议
- 世界糖尿病2013年大会
- 2013年国际成瘾性药年会
- 彭晓霞---诊断试验的Meta分析
- 武姗姗---累积Meta分析和TSA分析
- 孙凤---Network Meta分析
- 杨智荣---Cochrane综述实战经验分享
- 杨祖耀---疾病频率资料的Meta分析
合作伙伴
Copyright g-medon.com All Rights Reserved 环球医学资讯 未经授权请勿转载!
网络实名:环球医学:京ICP备08004413号-2
关于我们|
我们的服务|版权及责任声明|联系我们
互联网药品信息服务资格证书(京)-经营性-2017-0027
互联网医疗保健信息服务复核同意书 京卫计网审[2015]第0344号




会员登录

