16岁女孩反复发热伴咳嗽10天 罪魁祸首是…
16岁女中学生,10天前开始反复发热,体温波动于37~42℃,热型不定,伴咽痛,干咳无痰,全身点状红色皮疹。2天前出现右肩关节、右膝关节疼痛,活动受限。于1天前就诊于当地县医院,查血常规提示白细胞及中性粒细胞分类增高,胸片提示急性支气管炎。给予第三代头孢菌素类抗生素抗感染治疗无效,急诊收住入院。该患者患有……
【病情介绍】
患者,女性,16岁,中学生。主因“反复发热伴咳嗽10天”于2010年1月31日就诊。10天前开始反复发热,体温波动于37~42℃,热型不定,伴咽痛,干咳无痰,全身点状红色皮疹,2天前出现右肩关节、右膝关节疼痛,活动受限,于1天前就诊于当地县医院,查血常规提示白细胞及中性粒细胞分类增高,胸片提示急性支气管炎。给予第三代头孢菌素类抗生素抗感染治疗无效,急诊收住入院。既往史、个人史、家族史无特殊,未婚未育,否认药物、食物或其他特殊过敏史。
体格检查:T 37.2℃,P 112次/分,R 20次/分,BP 108/72mmHg,自主体位,双手掌可见数个散在红色皮疹(见文后彩图4-1),大小约0.5cm×0.4cm,压之不退色。全身浅表淋巴结无肿大。颈无抵抗,双肺未闻及啰音。心率112次/分,律齐,A2=P2,心尖区可闻及2/6级收缩期杂音。腹平软,无压痛、反跳痛,肝脾肋下未触及。右膝关节肿胀,皮肤红,压痛明显,活动受限,皮温高于左侧;右肩关节红肿,皮温高,压痛明显,活动受限。
入院诊断:发热原因待查,支气管炎?贫血原因待查
诊治经过:入院后查血常规示WBC 7.1×109/L,N 81.6%,Hb 106g/L,PLT 225×109/L乳酸脱氢酶409IU/L,肌酸激酶361IU/L,肌钙蛋白I 2.58ng/ml。NAP积分210分,C-反应蛋白163mg/L,血沉40mm/h,抗“O”137IU/L,自身免疫全套阴性,体液免疫全套:IgM 2.410g/L,补体C3 0.81g/L,补体C4 0.07g/L,抗角蛋白抗体阴性。抗环胍氨酸抗体及抗中性粒细胞胞质抗体阴性。埃可病毒抗体IgG 122.43U/ml。β2微球蛋白(血)1.97mg/L。全腹B超:脾形态饱满。胸片+右肩、右膝X线片:双肺纹理增多、增粗,余关节诸骨未见明显异常。心电图:T波低平。入院第1天考虑病毒合并细菌混合感染,给予头孢哌酮-他唑巴坦抗感染,利巴韦林抗病毒等治疗,发热未退,体温最高仍达39℃。入院第4天血培养口头报告革兰阳性菌。心脏彩超:①二尖瓣后叶脱垂伴反流+++~++++;②二尖瓣上异常回声,考虑赘生物形成可能,考虑感染性心内膜炎,改为大剂量青霉素1280万U/d抗感染,体温未退。
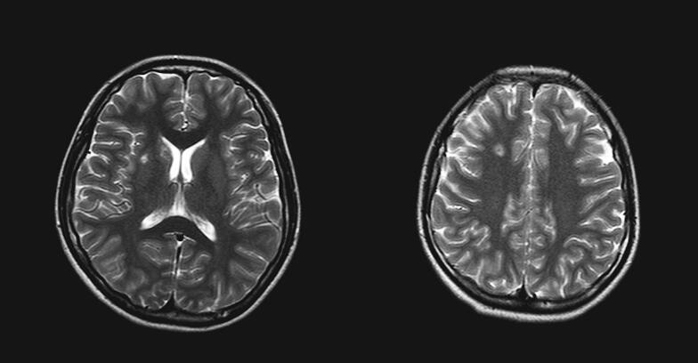
入院第5天患者诉头痛,查体颈部有抵抗,行头颅MRI(图1)示右侧额、顶叶白质区和右基底节区、左侧小脑内多发性病变,颅内感染性病变合并脑膜炎。

图1入院第5日行头颅MRI示右侧额、顶叶白质区和右基底节区、左侧小脑内多发性病变,颅内感染性病变合并脑膜炎
入院第6天血培养回报:金黄色葡萄球菌,对万古霉素敏感,遂改为盐酸万古霉素(2.0g/d)联合硫酸异帕米星(400mg/d)抗感染,此后体温逐渐降至正常范围。复查血常规、cTnI恢复正常。复查心脏彩超示二尖瓣后叶部分腱索断裂伴反流(++++),赘生物消失。颅脑MRI(图2)示右侧额叶、左侧小脑半球病变基本吸收,右侧顶叶病变明显吸收,右侧豆状核病变有所吸收,脑膜强化程度有所减轻。入院第39天患者出院并前往其他医院进行心脏手术。

图2 入院第18日复查颅脑MRI示右侧额叶、左侧小脑半球病变基本吸收,右侧顶叶病变明显吸收,右侧豆状核病变有所吸收,脑膜强化程度有所减轻
最终诊断:急性感染性心内膜炎,颅内多发感染。
重要提示
1.年轻女性,急性起病,以反复高热为主要症状。
2.体检发现手掌Janeway损害,心脏杂音。
3.B超提示脾轻度肿大,轻度贫血,颅内迁移性脓肿发生。
4.二维超声心动图:二尖瓣脱垂,赘生物形成。
5.血培养明确病原菌,经过规范盐酸万古霉素+氨基糖苷类抗生素抗感染治疗有效。
【讨论】
这是一例典型的急性感染性心内膜炎病例。患者为年轻女性,有反复高热、关节疼痛等病史,手掌小瘀斑,尿中少量蛋白,入院初首先考虑为风湿热、结缔组织病可能,查肌钙蛋白增高,入院第2天一度考虑存在病毒性心肌炎可能,给予抗病毒、糖皮质激素等治疗,但效果不佳。第4天血培养口头报告革兰阳性菌感染,考虑更为多见的草绿色链球菌感染可能性大,故改为大剂量青霉素抗感染,热未退。第6天血培养结果报告金黄色葡萄球菌,二维超声心动图提示有赘生物形成。
根据感染性心内膜炎(IE)诊断标准(采用改良的Duke标准),符合以下2项条件之一即可确诊感染性心内膜炎:①经病理学证实,赘生物、栓子或心内脓肿内存在细菌或有赘生物的心内膜活动性炎症改变;②临床确诊:符合2项主要标准,或1项主要标准+3项次要标准,或5项次要标准。
诊断IE的主要临床标准包括:①2次血培养阳性,且为同一病原菌;②超声心动图发现心内膜受累依据。次要标准包括:①存在易患因素;②发热≥38℃;③血管现象;④免疫现象;⑤不符合主要标准的血培养阳性或致IE的细菌感染的血清学证据。至此明确诊断疾病及病原菌,改用盐酸万古霉素联合氨基糖苷类抗生素抗感染4周痊愈出院。
对于该病例有以下体会:该患者为年轻女性,既往无基础心脏疾病史,以发热为主要症状,全身中毒症状不明显,临床上容易造成误诊,笔者在入院之初一度误诊为结缔组织病、病毒性心肌炎等疾病,与对感染性心内膜炎的认识不足有关。急性感染性心内膜炎往往起病急、病情较重,多累及正常瓣膜,且近年来因抗生素滥用造成临床症状不典型,容易与其他疾病造成混淆,进而导致误诊。希望通过本病例加强急诊科医师,尤其是基层急诊科医师对本病的认识,减少误诊的发生率。
【专家析评】
根据文献报道,18%~20%的亚急性感染性心内膜炎发生于心脏正常者,其发生急性感染性心内膜炎的比例更高,可达50%~60%。心脏正常何以发生急性感染性心内膜炎,其机制不完全清楚,可能与急性感染性心内膜炎的致病菌多为金黄色葡萄球菌、链球菌等有关。这些细菌毒力强、繁殖快、数量多,具有高度侵袭性和黏附心内膜的能力,金黄色葡萄球菌在攻击正常组织方面有特殊的毒力。文献报道,近年来IE的基础心脏病构成比已发生变化,尽管仍以风湿性心瓣膜病为首位,但原无器质性心脏病IE所占比例明显增加,已上升至第2位。其原因可能与下列因素有关:①近年来由于抗生素的广泛应用,风湿性心瓣膜病发病率已下降,使得其他心脏病构成比上升;②近年来各种诊疗技术的开展,尤其是经血管创伤性技术,为病原菌感染创造了条件;③应用激素和免疫抑制剂的患者易引起感染;④耐药菌株增多,毒力强的化脓菌(如金黄色葡萄球菌)感染率明显增多。无基础心脏病的感染性心内膜炎多为急性发作,对伴有持续发热及心脏杂音改变的青壮年患者,应提高警惕以便早期诊断治疗。
此病例较典型,急性起病,出现高热、心脏杂音,周围体征(Janeway损害)、脾大、贫血、迁移性脑脓肿。血培养确定病原菌,超声心动图发现赘生物可明确诊断。抗微生物药物治疗为最重要的治疗手段,根据药敏结果选用抗生素,需要早期、充分、大剂量和长疗程治疗,疗程可达4~6周。
(环球医学编辑:余霞霞)
来源:《急诊临床病案评析:感染与心血管性疾病》
作者:陈旭岩 王仲
页码:16-20
出版:人民卫生出版社
- 评价此内容
- 我要打分
近期推荐
热门关键词
最新会议
- 2013循证医学和实效研究方法学研讨会
- 欧洲心脏病学会年会
- 世界帕金森病和相关疾病2013年会议
- 英国介入放射学学会2013年第25届年会
- 美国血液学会2013年年会
- 美国癫痫学会2013年第67届年会
- 肥胖学会 2013年年会
- 2013年第9届欧洲抗体会议
- 国际精神病学协会 2013年会议
- 妇科肿瘤2013年第18届大会
- 国际创伤压力研究学会2013年第29届…
- 2013年第4届亚太地区骨质疏松症会议
- 皮肤病协会国际2013年会议
- 世界糖尿病2013年大会
- 2013年国际成瘾性药年会
- 彭晓霞---诊断试验的Meta分析
- 武姗姗---累积Meta分析和TSA分析
- 孙凤---Network Meta分析
- 杨智荣---Cochrane综述实战经验分享
- 杨祖耀---疾病频率资料的Meta分析
合作伙伴
Copyright g-medon.com All Rights Reserved 环球医学资讯 未经授权请勿转载!
网络实名:环球医学:京ICP备08004413号-2
关于我们|
我们的服务|版权及责任声明|联系我们
互联网药品信息服务资格证书(京)-经营性-2017-0027
互联网医疗保健信息服务复核同意书 京卫计网审[2015]第0344号




会员登录

