女子咳嗽、咳痰、气短12天多次治疗无效 细查之下发现问题不止一个
39岁女性患者,入院前12天无明显诱因出现咽痛、咳嗽、咳黄痰,伴心悸,当地诊所予抗感染、补液治疗(具体不详),无好转。5天前患者出现活动后气短伴四肢乏力、全身酸痛,检查后考虑“急性心肌炎、糖尿病”,予降糖、利尿等治疗,效果不佳。后因呼吸困难逐渐加重,不能平卧,转至笔者医院急诊科。
【病情介绍】
患者,女,39岁,农民。主因“咳嗽、咳痰12天,气短5天”于2011年3月19日收入急诊科。患者入院前12天无明显诱因出现咽痛、咳嗽、咳黄痰,伴心悸,无发热,无腹痛、腹泻,无胸闷、胸痛,当地诊所予抗感染、补液治疗(具体不详),无好转,5天前患者出现活动后气短伴四肢乏力、全身酸痛,外院查血常规示WBC 10.64×109/L,N 83.3%,血糖22.5mmol/L,胸片示双下肺纹理稍重,心电图示窦性心动过速,考虑“急性心肌炎、糖尿病”,予降糖、利尿等治疗,效果不佳,呼吸困难逐渐加重,不能平卧,转至笔者医院急诊科。既往糖尿病病史3年,服用格列齐特治疗,未监测血糖。否认高血压、心脏病病史。否认食物及药物过敏史。
体格检查:T 37.4℃,P 128次/分,BP 125/73mmHg,呼吸频率30次/分,急性病面容,半卧位,神志清楚,口唇无发绀,无颈静脉怒张,双肺呼吸音粗,右下肺呼吸音低,未闻及干湿啰音,心界正常,心率128次/分,律齐,各瓣膜听诊区未闻及杂音,腹软,无压痛、反跳痛、肌紧张,双下肢水肿。
辅助检查:2011年3月18日血常规:WBC 15.97×109/L,N 89.5%,Hb 179g/L,PLT 142×109/L,肝肾功能、心肌酶正常,血糖19.8mmol/L,TNT(−),D-二聚体0.65ng/ml,BNP>5000pg/ml;尿常规:比重1.025,尿糖(++++),尿酮体(+++),尿蛋白微量;血气分析示:pH 7.17,PO2 68mmHg,PCO2 16mmHg,5.8mmol/L,SaO2 87%;胸片(1)示双肺纹理增多、模糊,可见多发片状模糊影,以右上肺为著,双肺门模糊,心影大小及形态未见异常,两膈面光滑,肋膈角锐利;胸部CT(图2)示双肺广泛分布斑片、团片状磨玻璃影,边界模糊,纵隔未见明显肿大淋巴结,心影无明显增大。诊断双肺多发病变——感染?肺水肿?ECG示窦性心动过速,非特异性T波改变。超声心动图示左心室壁运动弥漫减低,主动脉瓣反流(轻度),三尖瓣反流(轻度),LVEF 25%。

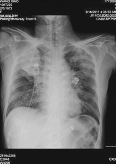
图1 入院时胸片示双肺纹理增多、模糊,可见多发片状模糊影,以右上肺为著,双肺门模糊,心影大小及形态未见异常

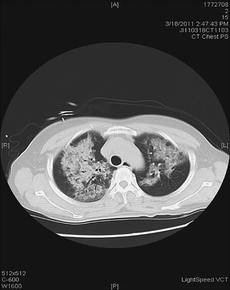
图2 入院时CT示双肺广泛分布斑片、团片状磨玻璃影,边界模糊,纵隔未见明显肿大淋巴结,心影无明显增大
入院诊断:肺炎;脓毒症;急性心力衰竭;2型糖尿病,糖尿病酮症酸中毒。
诊治经过:患者入院后3次痰找结核分枝杆菌阴性,PPD阴性,抗结核抗体阴性,ANA 1∶80,ANCA阴性,予左氧氟沙星和头孢呋辛抗感染,同时予胰岛素控制血糖,积极补液降酮体,每天入量5000ml左右(静脉输液1000ml,口服补液4000ml左右),尿量4000ml左右,1天后复查血气分析示pH 7.36,PO2 99mmHg,PCO2 26mmHg,HCO3− 14.7mmol/L,SaO2 97%,尿常规酮体阴性,胸片(图3)示双肺渗出性病变,较前吸收,5天后复查超声心动图示左心室壁运动减低,三尖瓣轻度反流,LVEF 43%。患者体温正常,血象正常,呼吸困难逐渐消失,复查胸片(图4)基本正常。9天后复查BNP 567.5pg/ml。出院后4个月随访,患者日常活动下无胸闷、气短,复查超声心动图示心内结构正常,舒张功能减退,LVEF 54%。

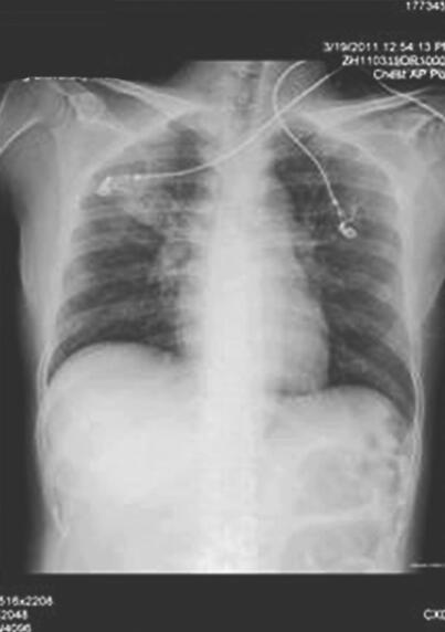
图3 入院后第2天复查胸片示双肺渗出性病变,较前吸收

图4 入院后第6天复查胸片基本正常
重要提示
1.青年女性,急性病程。
2.主要表现为咳嗽、咳痰、呼吸困难。
3.既往2型糖尿病病史,入院合并糖尿病酮症酸中毒。
4.心率128次/分,呼吸频率30次/分,血常规示WBC 15.97×109/L,N 89.5%。
5.胸片示双肺多发斑片影,且短期内吸收快。
6.无基础心脏病,急性心力衰竭经治疗后心功能基本恢复正常。
【讨论】
患者有咳嗽、咳痰、发热,白细胞升高,伴核左移,胸片示肺纹理增多、模糊,社区获得性肺炎诊断成立。脉搏128次/分,呼吸频率30次/分,WBC 15.97×109/L,N 89.5%,符合SIRS诊断,由感染诱发的SIRS即可诊断为脓毒症。既往有2型糖尿病病史,血糖19.8mmol/L,尿常规示尿糖(++++),酮体(+++),血气分析示:pH 7.17,5mmol/L,糖尿病酮症酸中毒诊断明确。呼吸困难、不能平卧、双肺门模糊、BNP>5000pg/ml,超声心动图示左心室壁运动弥漫减低,LVEF 25%,心力衰竭诊断明确,但患者无心脏病史,平时活动耐力正常,诊断急性心力衰竭。分析整个病程,考虑患者为脓毒症诱发糖尿病酮症酸中毒,继而导致急性心力衰竭。
患者糖尿病酮症酸中毒合并急性左心衰竭,液体管理上存在矛盾,前者需要大量补液消除酮体,而后者需要限制入量、减轻心脏负荷。如何在矛盾中求平衡是关键。严重酸中毒时,H+大量积聚,阻止了Ca2+从细胞外进入细胞内,细胞内游离Ca2+减低,心肌收缩力下降;加之脓毒症时炎症因子对心功能的抑制,导致了急性心力衰竭的出现。由此看来,该患者心力衰竭主要是由于心肌收缩受到抑制,并不存在绝对的容量负荷过重,而心力衰竭治疗的关键在于去除诱因,因此积极抗感染和纠正酸中毒才是根本所在。所以大量补液是必需的,而口服补液经济、有效,对于心力衰竭的患者更安全,该患者在降糖的同时主要通过口服温开水来补液消酮体,每日总入量5000ml左右,并未进行利尿治疗,待酸中毒纠正、感染控制后心功能明显好转。
对于该病例有以下体会:①感染和酸中毒可严重抑制心功能,但该抑制是可逆的,积极治疗原发病后预后良好,该过程要注意维持患者的电解质平衡;②基础疾病需要大量补液,但患者又同时合并心力衰竭时,口服补液安全且效果肯定,如患者不能配合,可留置胃管鼻饲温开水,不一定需要利尿治疗。
【专家析评】
该患者为青年女性,急性病程,短期内出现心力衰竭,经积极治疗后心功能恢复正常,急性心力衰竭诊断明确。急性心力衰竭是严重威胁生命的急症,是指心脏在短时间内,因收缩舒张功能障碍而导致心搏量急剧下降,造成体循环和(或)肺循环急性淤血、组织灌注不足的临床综合征。常见于急性心肌梗死、急性心肌炎、急性容量负荷过重以及慢性心力衰竭在一些诱因促发下发生急性加重。但该患者无基础心脏病,急性心力衰竭的发生系心功能短期内受到严重抑制,由感染和酸中毒导致,临床上类似病例也并不少见。此类患者要积极治疗原发病,如果无严重的基础心脏病,原发病控制后心功能基本都能恢复,但在此过程中要特别注意补液的速度和途径,以口服补液为主。
近年来血浆脑钠素(BNP)作为诊断心力衰竭的生化标志物引起了大家的广泛关注。BNP的产生与心室壁受牵拉和张力变化有关,已有数项临床研究证实心脏,特别是左心室功能的降低与BNP升高有关,BNP还可用于心力衰竭患者的治疗评估,随LVEF好转,血BNP水平降低,治疗过程中可动态监测。但BNP也受很多因素的影响,除年龄、性别和肾功能的影响外,脓毒症和脓毒症休克时BNP水平也会升高,且BNP升高的水平与预后相关,机制尚未十分明确,可能与心功能不全有关,也可能与炎症反应时大量炎症因子释放和BNP清除途径改变有关。通过超声心动图检查,44%严重脓毒症或脓毒性休克患者中出现心肌收缩功能不全,BNP水平升高,其特征是可逆的心室扩张、收缩功能减退。随着研究的深入开展,BNP在临床中的应用价值将越来越得到体现。
(环球医学编辑:余霞霞)
来源:《急诊临床病案评析:感染与心血管性疾病》
作者:陈旭岩 王仲
页码:82-86
出版:人民卫生出版社
- 评价此内容
- 我要打分
近期推荐
热门关键词
最新会议
- 2013循证医学和实效研究方法学研讨会
- 欧洲心脏病学会年会
- 世界帕金森病和相关疾病2013年会议
- 英国介入放射学学会2013年第25届年会
- 美国血液学会2013年年会
- 美国癫痫学会2013年第67届年会
- 肥胖学会 2013年年会
- 2013年第9届欧洲抗体会议
- 国际精神病学协会 2013年会议
- 妇科肿瘤2013年第18届大会
- 国际创伤压力研究学会2013年第29届…
- 2013年第4届亚太地区骨质疏松症会议
- 皮肤病协会国际2013年会议
- 世界糖尿病2013年大会
- 2013年国际成瘾性药年会
- 彭晓霞---诊断试验的Meta分析
- 武姗姗---累积Meta分析和TSA分析
- 孙凤---Network Meta分析
- 杨智荣---Cochrane综述实战经验分享
- 杨祖耀---疾病频率资料的Meta分析
合作伙伴
Copyright g-medon.com All Rights Reserved 环球医学资讯 未经授权请勿转载!
网络实名:环球医学:京ICP备08004413号-2
关于我们|
我们的服务|版权及责任声明|联系我们
互联网药品信息服务资格证书(京)-经营性-2017-0027
互联网医疗保健信息服务复核同意书 京卫计网审[2015]第0344号




会员登录

