老奶奶反复咳嗽、咳痰、呼吸困难加重 心肺孰之过?
老奶奶于30年前无明显诱因下出现咳嗽、咳痰,30年来上述症状反复发作,迁延不愈,且逐渐加重,曾诊断为慢性阻塞性肺疾病在笔者医院多次住院治疗,均好转出院。4天前,患者因受凉后再次出现咳嗽、咳痰,伴胸闷、气急,呼吸困难,活动后加重,休息后稍缓解,入院前出现意识淡漠,呼唤无反应,遂来笔者医院急诊。
【病情介绍】
患者,女性,76岁。主因“反复咳嗽、咳痰30年,呼吸困难4天,加重1天”于2011年6月28日就诊于急诊科。患者于30年前无明显诱因下出现咳嗽、咳痰,咳嗽呈阵发性,以晨起及夜间明显,痰为白色黏痰,量中,可咳出,无胸闷、气促,无胸痛,无咯血,无发热、畏寒,无恶心、呕吐,无腹痛、腹胀。30年来上述症状反复发作,迁延不愈,且逐渐加重,曾诊断为慢性阻塞性肺疾病在笔者医院多次住院治疗,均好转出院。4天前,患者因受凉后再次出现咳嗽、咳痰,为黄白色黏痰,伴胸闷、气急,呼吸困难,活动后加重,休息后稍缓解,昨起出现意识淡漠,呼唤无反应,今遂来笔者医院急诊。来院时神志不清,呼吸促,口唇发绀明显,急行气管插管、机械通气,约半小时后患者意识转清。查胸部CT示两肺感染性病变,两下肺支气管扩张伴感染。血气分析(机械通气前):pH 7.11,PaCO2 127mmHg,PaO2 61mmHg。予头孢哌酮-舒巴坦钠抗感染,以及化痰、解痉平喘等处理。患者机械通气后出现血压下降,最低至75/48mmHg,予充分扩容补液,加用多巴胺升压处理后血压稳定。复查血气分析:pH 7.34,PaCO2 42mmHg,PaO2 70mmHg。既往慢性阻塞性肺疾病病史30余年,高血压病史10年;2型糖尿病病史1年。否认药物、食物或其他特殊过敏史。个人史、婚育史、家族史均无特殊。
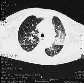
体格检查:P 85次/分,R 12次/分(机械通气),BP 121/61mmHg(多巴胺针剂维持下),T 37.3℃,SPO2 98%。神志清,精神差,气管居中,口插管在位,机械通气,颈静脉无怒张,桶状胸,两肺呼吸音粗,可闻及大量湿啰音及干啰音,心率85次/分,窦性,律齐,双下肢无明显水肿。辅助检查:胸部CT(6月28日)(图1):两肺感染性病变,两下肺支气管扩张症伴感染。心电图(6月28日):窦性心律,T波改变。血常规(6月28日):WBC 13.5×109/L,N 66.3%,Hb 145g/L;CRP(6月28日)3.8mg/L,PCT(6月28日)5.49ng/ml。






图1 胸部CT(6月28日):两肺感染性病变,两下肺支气管扩张症伴感染
入院诊断:①慢性阻塞性肺疾病急性加重期;②肺部感染;③呼吸衰竭(Ⅱ型);④感染性休克;⑤高血压;⑥2型糖尿病。
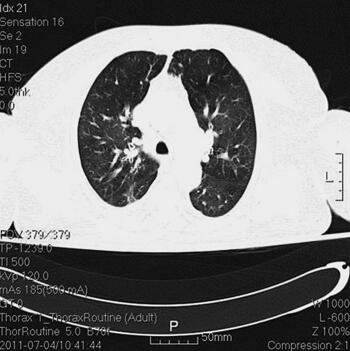
诊治经过:入院后留置右锁骨下深静脉导管,监测CVP。患者血压逐渐平稳,停用多巴胺。继续机械通气,头孢哌酮-舒巴坦钠针剂及阿奇霉素针剂联合抗感染,甲泼尼龙及多索茶碱解痉平喘,改善微循环,化痰等对症支持治疗。并予肠内营养,胰岛素微泵控制血糖。复查胸部CT(7月4日)(图2),感染较前明显吸收;复查(7月4日)CRP 10mg/L,PCT 0.22ng/ml。




图2 胸部CT(7月4日),感染较前明显吸收
7月6日,患者无发热,症状及体征明显改善,予撤机、拔除气管插管。7月9日,患者解大便后出现呼吸急促(30次/分),意识模糊,BP 168/98mmHg,口唇发绀,听诊两肺满布湿啰音及哮鸣音,急查NT-ProBNP 7238pg/ml,考虑急性左心衰竭发作,予硝酸甘油、硝普钠扩血管,利尿等治疗后患者明显好转,复查NT-ProBNP(7月11日):904pg/ml。7月11日,患者出现咳痰无力,痰液黏稠,呈拉丝状,难以咳出,多次痰培养提示热带念珠菌阳性。并再次出现CO2蓄积(PaCO2 80mmHg),呼吸困难,再次气管插管、机械通气。停用头孢哌酮-舒巴坦钠针剂及阿奇霉素针剂,改氟康唑针抗真菌感染。7月13日,痰量减少,不黏稠,能咳出,拔除气管插管,改BiPAP无创通气,患者配合可。7月18日停无创通气,改鼻导管吸氧3L/min,呼吸平顺,SPO2 95%。超声心动(7月18日):IVSd 12mm,LVIDd 59mm,LVPWd 10mm,LVIDs 43mm,AO 29mm,LA 42mm,EF 52%,FS 27%,SV 92ml,左心偏大,室间隔偏厚,左心室舒张功能减低。7月25日患者康复出院。
最终诊断:①慢性阻塞性肺疾病急性加重期;②肺部感染;③呼吸衰竭(Ⅱ型);④感染性休克;⑤急性左心衰竭;⑥高血压;⑦高血压性心脏病;⑧2型糖尿病。
重要提示
1.老年女性,多年COPD、高血压病史,且有高血压性心脏病,心肺功能基础差。
2.在治疗肺部感染过程中出现急性心功能不全,鉴别呼吸困难是肺部原因还是心脏原因是诊治的第一要务。
3.早期有创通气、序贯无创通气对AECOPD的治疗有重要意义。
【讨论】
本例患者以“咳嗽、咳痰,呼吸困难”入急诊,入院时首先考虑肺部感染是导致呼吸困难的主要原因,而非心源性,至少不完全是由于心脏的原因。理由:①高龄;②有COPD病史及受凉诱因,症状非劳力活动或情绪激动诱发;③病情进行性加重,出现Ⅱ型呼吸衰竭及肺性脑病,意识改变是由于CO2潴留而非低氧血症导致(血气分析结果),而急性左心衰竭导致的呼吸困难及意识改变主要是由于急性肺水肿影响血氧交换致低氧血症(Ⅰ型呼吸衰竭)、缺氧性脑病;④体征上有桶状胸,而颈静脉无怒张,双下肢无明显水肿;⑤辅助检查中血气分析支持,PCT升高,胸部CT提示两肺感染性病变,两下肺支气管扩张症伴感染。当然不能完全排除同时存在心力衰竭的可能。
机械通气后PCO2下降,患者意识水平随之明显好转,但出现血压下降,说明患者急诊时已存在休克状态,只是当时由于交感神经兴奋而被掩盖。机械通气后缓解了患者的呼吸做功,交感神经兴奋度降低;正压通气又增加了胸腔内压,回心血流减少;加上近4天食欲缺乏,呼吸促(呼吸道失水增加),致有效血容量减少,存在低血容量状态;肺部感染引起的全身炎症反应综合征,液体分布异常,致有效血容量不足;经积极扩容补液及加用多巴胺针剂后血流动力学明显改善。若为心脏原因导致的呼吸困难、休克,积极扩容补液后病情应会加重,而患者病情却得到改善,从而证实患者的上述症状主要是由于肺源性因素引起的。
入院后,患者治疗过程顺利,感染得到有效控制,成功撤机拔管。但3天后再次出现呼吸困难,此时考虑为急性左心衰竭发作。理由:①肺部感染已明显好转,各项检查指标恢复正常;②入院后每日出入量正平衡800ml左右,总共7700ml(不包括急诊抢救室液体复苏的量);③原有高血压、2型糖尿病基础疾病史;④解大便用力后诱发急性发作;⑤NT-ProBNP明显升高。经利尿、扩血管、改善心肌血供等治疗后缓解。
由于较长时间联合使用广谱抗生素(头孢哌酮-舒巴坦钠针剂及阿奇霉素针剂),同时使用了糖皮质激素(甲泼尼龙),导致呼吸道二重感染(热带念珠菌),痰液黏稠,呈拉丝状,难以咳出,咳痰无力,再次出现呼吸衰竭。经气管插管及机械通气、抗真菌治疗,强化气道管理,加强营养支持及液体管理,序贯无创通气后病情逐渐改善,康复出院。
对于该病例有以下体会:①呼吸困难的鉴别诊断,对疾病的进一步诊治至关重要;②治疗肺部原发病的同时,重视液体管理,兼顾心功能,尤其是高龄且有高血压及糖尿病等基础疾病的患者;③AECOPD患者在感染控制后应尽早撤机,序贯无创通气,可有效降低院内感染及再次插管的风险;④此类患者,尤其是同时使用激素的患者,感染控制后,在监测感染指标及痰培养基础上尽早停用广谱抗生素,避免二重感染;⑤COPD患者多数存在营养不良、呼吸肌乏力,加强营养支持尤为重要,有利于成功撤机。
【专家析评】
“咳嗽、咳痰,呼吸困难”是医院急诊科每天面对的常见症状,病因多样而复杂,对于忙碌的急诊医师来讲,如何能够正确识别判断、合理处置,始终充满了挑战。对于此类患者,急诊处置过程中首先要评估CAB,树立“先救命、再辨病”的急救理念,稳定生命征象(包括胸外按压、建立人工气道、辅助通气等),同时仔细询问病史(包括基础疾病、发病过程和诊治经过等)、查体及选择必要的辅助检查,尤其是血气分析、NT-ProBNP、D-二聚体、胸部影像学、心脏超声及心电图等,对鉴别诊断有重要意义。最后针对病因进行恰当的目标性治疗。
另外,该例AECOPD患者有IPPV的强适应证:①PaCO2升高伴严重的酸中毒;②严重的意识障碍;③血流动力学不稳定;④气道分泌物多且引流障碍,气道保护功能丧失。在建立有创人工气道有效引流痰液并合理应用抗生素后,该患者肺部感染得到有效控制,痰量减少、黏度变稀、痰色转白、胸部CT上肺部感染影消退,这一肺部感染得到控制的阶段称为“肺部感染控制窗”(pulmonary infection control window,PIC窗)。出现PIC窗时,患者的痰液引流问题已不突出,而呼吸肌疲劳仍较明显,需要较高水平的通气支持,此时撤离IPPV,继之NPPV,既可进一步缓解呼吸肌疲劳,改善通气功能,又可有效减少VAP,降低院内感染率,缩短IPPV和住ICU的时间,改善患者的预后。因此,实施NPPV辅助撤机的关键是正确把握IPPV转为NPPV的切换点,即PIC窗。同时,还应积极为撤机创造条件,如避免电解质紊乱、加强营养支持,对于有心功能不全的患者,在撤机过程中可适当地使用扩血管、利尿等药物以改善患者的心功能,加强心理支持,增强患者对撤机的信心。
该病例从急救处理、临床诊断思路、决策时机把握等治疗过程均有很多可学习、借鉴之处。
(环球医学编辑:余霞霞)
来源:《急诊临床病案评析:感染与心血管性疾病》
作者:陈旭岩 王仲
页码:119-124
出版:人民卫生出版社
- 评价此内容
- 我要打分
近期推荐
热门关键词
最新会议
- 2013循证医学和实效研究方法学研讨会
- 欧洲心脏病学会年会
- 世界帕金森病和相关疾病2013年会议
- 英国介入放射学学会2013年第25届年会
- 美国血液学会2013年年会
- 美国癫痫学会2013年第67届年会
- 肥胖学会 2013年年会
- 2013年第9届欧洲抗体会议
- 国际精神病学协会 2013年会议
- 妇科肿瘤2013年第18届大会
- 国际创伤压力研究学会2013年第29届…
- 2013年第4届亚太地区骨质疏松症会议
- 皮肤病协会国际2013年会议
- 世界糖尿病2013年大会
- 2013年国际成瘾性药年会
- 彭晓霞---诊断试验的Meta分析
- 武姗姗---累积Meta分析和TSA分析
- 孙凤---Network Meta分析
- 杨智荣---Cochrane综述实战经验分享
- 杨祖耀---疾病频率资料的Meta分析
合作伙伴
Copyright g-medon.com All Rights Reserved 环球医学资讯 未经授权请勿转载!
网络实名:环球医学:京ICP备08004413号-2
关于我们|
我们的服务|版权及责任声明|联系我们
互联网药品信息服务资格证书(京)-经营性-2017-0027
互联网医疗保健信息服务复核同意书 京卫计网审[2015]第0344号




会员登录

