老爷爷胸闷气短伴咳嗽咳痰 “心肺”两手抓才化险为夷
87岁男性,劳累后出现胸闷、气短,伴咳嗽、咳黄痰,休息后症状缓解,翌日劳累后再次出现上述症状,遂就诊于笔者医院。该患者患有……
【病情介绍】
患者,男性,87岁。急性起病,主因“劳累后胸闷、气短2天,加重伴咳嗽、咳痰1天”于2011年2月18日收入急诊监护室。患者于2011年2月16日劳累后出现胸闷、气短,伴咳嗽、咳黄痰,可平卧,偶有夜间憋醒,休息后症状缓解,翌日劳累后再次出现上述症状,无心前区疼痛,无发热、寒战,无恶心、呕吐,无尿少,就诊于笔者医院,进行心脏超声检查:EF 40%,冠心病、心肌梗死表现、心功能减低,考虑心尖部室壁瘤形成,二尖瓣、三尖瓣及主动脉瓣反流(轻度);腹部超声:双侧胸腔积液,少量心包积液;双肺CT(图1):双侧胸腔积液,心胸比例> 0.5;院第2天胸片见图2。血液分析:白细胞9.34×109/L,中性粒细胞85.5%;心肌酶谱:肌钙蛋白0.144μg/L,磷酸肌酸激酶125U/L,磷酸肌酸激酶同工酶20U/L;B型尿钠肽8326pg/ml。既往史:冠心病病史10余年,自服阿司匹林、复方丹参滴丸、硝酸异山梨醇酯等,2010年7月急性心肌梗死经内科治疗后病情稳定;陈旧性脑梗死病史10余年、胃部分切除史20余年。

图1 入院第1天双肺CT:双侧胸腔积液、叶间裂积液

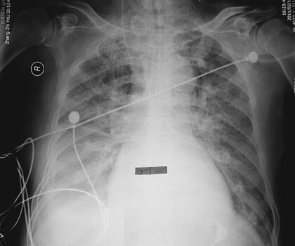
图2 入院第2天胸片:双肺渗出,右侧明显
体格检查:T 35.5℃,P 100次/分,R 26次/分,BP 168/105mmHg,SPO2 74%,中心静脉压18.8cmH2O。半卧位,神清语明,查体合作,颜面水肿,双肺呼吸音粗,可闻及干湿性啰音,心率100次/分,律齐,腹软,略膨隆,移动性浊音阴性,肠鸣音正常,双下肢水肿。
入院诊断:①冠状动脉粥样硬化性心脏病,心功能Ⅲ级,陈旧性心肌梗死;②陈旧性脑梗死;③胃部分切除术后。
诊治经过:入院后首先给予连续心排血量监测(PICCO),监测结果显示心指数2.85L/(min·m2),全心舒张末期容积指数1062ml/m2,血管外肺水指数20ml/kg,全身血管阻力指数2512dyn×s×cm−5×m2,提示心功能下降的同时合并严重肺水肿,根据数值变化趋势给予利尿、强心等,在血流动力学稳定的前提下保证患者每日出入量−2000ml左右,对症治疗后患者双肺听诊湿啰音逐渐减少,双下肢水肿减轻,中心静脉压降至12.2cmH2O,B型尿钠肽下降为4261.11pg/ml。
患者入院时血象明显高于正常,同时痰黄量多,体温最高38℃,给予头孢哌酮-舒巴他钠抗感染,同时经口气管插管、呼吸机辅助呼吸以及解痉平喘、祛痰等治疗。患者血象逐渐呈下降趋势,最高体温37.8℃,胸部影像亦较前明显好转,3月1日拔除经口气管插管(图3、图4)。

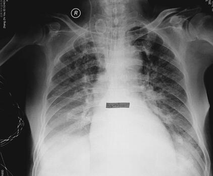
图3 入院第4天胸片:双肺渗出较前减少

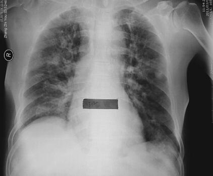
图4 入院第11天胸片:双肺较前明显好转
3月2日患者无明显诱因出现寒战,无发热,进行血培养,拔除中心静脉置管送培养,复查胸部X线片(图5),暂未调整抗生素。复查血常规血象明显升高,血培养初步提示凝固酶阴性葡萄球菌感染,考虑患者心、肾功能不全,且需控制液体入量,故给予替考拉宁0.4g,每12小时1次(3次后改为0.2g,每12小时1次),同时头孢哌酮-舒巴坦钠钠减量至1.5g,每12小时1次。3月13日复查血常规正常,患者无发热、寒战,偶有咳嗽、咳痰,双肺听诊呼吸音略粗,未闻及明显干湿性啰音。经过近1个月的精心治疗,患者终于病情稳定,转出重症监护室。

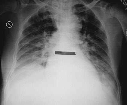
图5 入院第13天胸片:双肺渗出明显减少
出院诊断:①冠状动脉粥样硬化性心脏病,心功能Ⅲ级,陈旧性心肌梗死;②肺内感染;③菌血症;④陈旧性脑梗死;⑤胃部分切除术后。
重要提示
1.老年男性,慢性病程;以劳累后胸闷、气短伴咳嗽、咳痰为主要症状;初始入院时诊断即考虑心力衰竭合并肺部感染。
2.血培养明确后根据血培养调整抗生素治疗,治疗有效。
【讨论】
肺部感染是心血管疾病的常见并发症,与心功能不全互为因果,是心力衰竭发生和加重的常见诱因,也是心力衰竭难以控制的常见原因,尤其对老年人而言,这种现象更为明显,考虑与下列原因有关:①老年人呼吸道黏膜和腺体萎缩,黏液和唾液分泌减少,黏膜-黏液系统防御功能低下,纤毛黏液转运功能减弱,病原体易于在呼吸道定植并繁殖;②老年患者由于劳动力受限,平素活动少,部分患者甚至长时间卧床治疗,加之高龄、脑功能减弱、咳嗽反射差,易发生坠积、误吸;③由于感染的易感性,慢性心力衰竭患者长期反复用药,而致细菌耐药率升高;④患者心功能不全,肺部淤血,局部血流缓慢,为细菌定植和繁殖提供了良好的条件;⑤高龄心力衰竭患者由于身体长期淤血、缺氧,尤其是胃肠道和肝脏淤血,导致消化、吸收功能减退,机体长期处于营养不良状态,而致机体免疫力、抵抗力低下,机体更易受病原体侵害。综合以上老年患者的诸多特点,在心力衰竭的诊治过程中,尤其需监测感染指标,在加强呼吸道、泌尿系等抗感染治疗及护理的同时,还应注意减少或缩短各种外置入管道的留置频率及时间,以减少医源性感染的风险。
凝固酶阴性葡萄球菌(CNS)长期以来一直被认为属于正常菌群,可寄殖于正常人体皮肤、黏膜表面,对人体没有致病性。但近年来,随着介入性诊断技术、免疫抑制剂以及大量头孢菌素类抗生素,尤其是第三代头孢菌素等高效广谱抗菌药物的广泛使用,该菌种引起的感染日益增多,已成为院内感染的主要致病菌之一。CNS的感染不仅有增多的趋势,而且常表现耐药性,甚至多重耐药性而造成难治性感染,目前许多研究者认为CNS的耐药与细菌形成生物膜密切相关,细菌生物膜是相对于浮游方式生长的细菌提出的,被称为“被自身产生的多聚基质包裹并黏附于无或有生命表面的细菌细胞的结构群体”,通常情况下,细菌形成生物膜后可大大增强其抵抗生素作用的能力。总之,CNS的高度耐药性及多重耐药性等问题给临床治疗带来很大困难,在临床治疗中,应密切关注细菌学及药敏结果给予对症治疗,同时也应继续研究其耐药机制和防治措施,尽可能控制耐药菌株的产生。
回顾本“心力衰竭合并肺内感染”的治疗病例,提示在积极纠正心功能不全的前提下,应加强气道管理、痰液引流,保证能量摄入,同时参考细菌学及药敏结果正确给予抗生素治疗。
【专家析评】
此例为心功能不全老年患者合并感染的一例病案,随着社会老龄化,老年人,尤其是患有心脑血管疾病的高龄患者人数与日俱增,加重了社会及医疗负担。而一旦患病,感染更多作为心血管疾病的常见并发症,与其形成恶性循环。这是由于高龄和基础疾病的存在,且心力衰竭患者因病情需要卧床时间长,加上全身免疫功能低下,呼吸道抗感染能力减退,吞咽与声门动作不协调,增加吸入危险,呼吸道黏膜萎缩、分泌功能减退,纤毛运动不规则、中断,咳嗽反射减弱,不能及时排出痰液,故临床上老年心力衰竭患者并发肺部感染较为常见,而此病例中感染与心力衰竭便成为诊断治疗的两大主线。治疗中在积极抗心力衰竭的同时,进行连续心排血量监测(PICCO),监测数据提示心指数下降合并肺水肿,在客观的血流动力学数据支持与指导下,给予对症治疗,临床症状及影像学均得到明显改善。心功能改善后患者整体状态转好,间断脱机练习后成功拔管,并能很好的自主咳嗽、排痰,也就为控制肺内感染打下了良好基础,同样感染的有效控制也避免了加重心力衰竭。因为合并感染时能增加机体的代谢率、提高心肌需氧量,从而加重心脏负担,同时炎症所致的支气管黏膜分泌增多、气管痉挛、低氧血症均亦可加重心脏负担而延长病程。因此治疗原发病的同时细菌学的监测亦起着举足轻重的作用,早期抗生素的经验治疗,治疗中细菌学的培养和药敏结果的支持,都为成功的抗感染治疗奠定了坚持的基础。该患者在发病第13天体温升高,血培养提示凝固酶阴性葡萄球菌感染,这与心力衰竭高龄患者的易感性密切相关,根据药敏试验结果给予抗感染治疗后,临床症状及实验室指标均明显改善。
目前在治疗心力衰竭的临床工作中,广泛应用PICCO、CRRT、呼吸机等监护、治疗手段,事实证明此类手段的成功应用,使临床工作者得到了有利的诊疗证据,从而有的放矢,准确的评估病情,采取精准有效的治疗手段。
参考文献
1.李荣成.慢性心衰合并肺部感染患者的感染源探讨.安徽医学,2011,31(6):586-588.
2.卢天舒,关靖宇,安春丽.凝固酶阴性葡萄球菌临床流行及其耐药性研究现状.临床军医杂志,2010,38(3):451-453.
(环球医学编辑:余霞霞)
来源:《急诊临床病案评析:感染与心血管性疾病》
作者:陈旭岩 王仲
页码:307-311
出版:人民卫生出版社
- 评价此内容
- 我要打分
近期推荐
热门关键词
最新会议
- 2013循证医学和实效研究方法学研讨会
- 欧洲心脏病学会年会
- 世界帕金森病和相关疾病2013年会议
- 英国介入放射学学会2013年第25届年会
- 美国血液学会2013年年会
- 美国癫痫学会2013年第67届年会
- 肥胖学会 2013年年会
- 2013年第9届欧洲抗体会议
- 国际精神病学协会 2013年会议
- 妇科肿瘤2013年第18届大会
- 国际创伤压力研究学会2013年第29届…
- 2013年第4届亚太地区骨质疏松症会议
- 皮肤病协会国际2013年会议
- 世界糖尿病2013年大会
- 2013年国际成瘾性药年会
- 彭晓霞---诊断试验的Meta分析
- 武姗姗---累积Meta分析和TSA分析
- 孙凤---Network Meta分析
- 杨智荣---Cochrane综述实战经验分享
- 杨祖耀---疾病频率资料的Meta分析
合作伙伴
Copyright g-medon.com All Rights Reserved 环球医学资讯 未经授权请勿转载!
网络实名:环球医学:京ICP备08004413号-2
关于我们|
我们的服务|版权及责任声明|联系我们
互联网药品信息服务资格证书(京)-经营性-2017-0027
互联网医疗保健信息服务复核同意书 京卫计网审[2015]第0344号




会员登录

