老奶奶反复喘憋、咳痰40年 再发加重后因这一疾病死亡
83岁女性,退休工人,40年前受凉后出现喘憋、咳嗽,咳少量白色黏痰,可咳出,自服抗生素、止咳、化痰、平喘等药物(具体不详)后症状缓解。1周前受凉后上述症状再次发作,自行服药,症状无缓解。3小时前(进晚餐后约0.5小时)上述症状加重,就诊于笔者医院。该患者患有……
【病情介绍】
患者,女性,83岁,退休工人。因“反复咳嗽、咳痰、喘憋40年,再发1周,加重3小时”于2011年4月13日22:51入院。患者于40年前受凉后出现喘憋、咳嗽,咳少量白色黏痰,可咳出,自服抗生素、止咳、化痰、平喘等药物(具体不详)后症状缓解。1周前受凉后上述症状再次发作,自行服用头孢呋辛酯0.5g,每日2次,氨溴索30mg,每日3次,症状无缓解。3小时前(进晚餐后约0.5小时)上述症状加重,就诊于笔者医院,来笔者医院就诊时出现呕吐1次,呕吐物为黄绿色胃内容物。发病以来,精神、饮食、睡眠差,小便量少,约500ml/d,长期便秘,大便约每3~5日1次。既往有高血压病史20年、2型糖尿病病史5年、脑梗死(遗留言语不清及右侧肢体偏瘫)3年,血压、血糖控制情况不详。否认药物过敏史。
体格检查:T 36.5℃,R 24次/分,BP 142/74mmHg,肥胖体型。神清,精神差,喘憋貌。口唇轻度发绀,伸舌偏右。颈静脉无怒张。桶状胸,双下肺叩诊呈浊音,余肺叩诊呈清音,双肺可闻及双相湿性啰音及呼气相哮鸣音,双下肺呼吸音低。心率104次/分,律齐,各瓣膜区未闻及杂音。骶尾部有一大小约2cm × 2cm破溃,双足重度凹陷性水肿。左侧上、下肢肌力均为5−级,右侧上肢肌力3级,右侧下肢肌力1级,双侧肌张力均减低,未发现其他阳性体征。
辅助检查:血常规:WBC 7.22×109/L,N 74.9%,Hb 105g/L,PLT 284×109/L。生化十四项:白蛋白31.6g/L,糖7.3mmol/L,钾3.04mmol/L,钠120.8mmol/L,氯85.7mmol/L;余肝肾功能等未见明显异常。血气分析(吸氧浓度33%):pH 7.38,PO2 69mmHg,PCO2 47mmHg,HCO3− 27.2mmol/L,BE 2.1mmol/L。血沉:51mm/h。肌钙蛋白T 0.171ng/ml。心肌酶谱:AST 24.8U/L,LDH 251.1U/L,CK 126.0U/L,CK-MB 38.9U/L。BNP 3672.0pg/ml。凝血四项、D-二聚体未见明显异常。胸片(图1):双肺纹理增多,右中下肺野可见斑片状模糊影,双侧肋膈角变钝,胸膜增厚、粘连。心电图(图2):窦性心律,ST-T改变,房性期前收缩。

图1 入院时胸部X线片

图2 心电图示ST-T改变,房早
入院诊断:①慢性喘息型支气管炎急性发作,呼吸性酸中毒并代谢性碱中毒(代偿期),慢性肺源性心脏病,房性期前收缩,心功能Ⅳ级,双侧胸腔积液;②右侧肺炎;③重度低钠、低钾、低氯血症;④压疮(骶尾部);⑤低蛋白血症;⑥高血压(3级,极高危);⑦2型糖尿病;⑧脑梗死(后遗症期)。
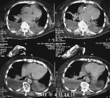
诊治经过:入院时将患者由平车搬至病床时,患者突发严重呼吸困难,大汗,双肺广泛哮鸣音,心电监护示HR 132次/分,BP 148/74mmHg,指氧饱和度(吸氧浓度33%)90%。血气分析(吸氧浓度33%):pH 7.33,PO2 69mmHg,PCO2 46mmHg,HCO3− 23.6mmol/L,BE −1.9mmol/L。考虑突发急性左心衰竭,给予地塞米松10mg静推,毛花苷丙0.4g缓慢静推,特布他林0.25mg缓慢静滴及无创呼吸机辅助通气(模式ST参数:IPAP 16cmH2O,EPAP 6cmH2O,2次/分),约30分钟后呼吸困难缓解,心率降至99次/分。入院后查胸部CT(图3、图4):右侧中下肺片状影,双侧胸腔积液,二尖瓣、主动脉、冠状动脉钙化斑。给予莫西沙星抗感染、多索茶碱+特布他林平喘、氨溴索祛痰、灯盏花素+单硝酸异山梨酯扩张冠状动脉、改善微循环、右侧胸腔闭式引流等治疗。胸腔积液常规:淡黄色,透明,李凡他试验阴性,细胞总数110×106/L,白细胞26×106/L,淋巴细胞74%;ADA 3.10U/L。胸腔积液生化:总蛋白15.1g/L,LDH 96.40U/L,Glu 8.20mmol/L。胸腔积液性质为漏出性,考虑心力衰竭导致。经过治疗,病情明显改善,15日07:05复查血气分析(吸氧浓度33%):pH 7.400,PO2 112mmHg,PCO2 39mmHg, 23.7mmol/L,BE −0.5mmol/L。之后患者喂食时出现呛咳后再次突发喘憋,听诊双肺满布痰鸣音及喘鸣音,立即给予吸痰,吸出大量牛奶及食物残渣,查血气分析(吸氧浓度33%):pH 7.32,PO2 44mmHg,PCO2 59mmHg, 22mmol/L,BE −3.2mmol/L。给予氢化可得松琥珀酸钠200mg静滴,以解痉、平喘、抗过敏,约15分钟后患者症状好转。给予留置胃管,行鼻饲进食。经过加用激素(16、17日氢化可得松琥珀酸钠100mg,18、19日氢化可得松琥珀酸钠50mg)、强心(地高辛0.25mg,每日1次)治疗4日,患者病情逐渐好转,咳嗽、喘憋明显减轻,咳痰减少。但患者之后仍因反复误吸、感染和反复缺氧导致病情逐渐加重,进而心肌损害、心功能不全也进一步加重。继续给予抗感染、强心、碳酸氢钠纠正酸中毒、左侧胸腔闭式引流、间断无创呼吸机辅助通气等进一步治疗3日,病情仍有反复(图5)。患者家属要求放弃气管插管等有创抢救措施,于4月24日14:00患者心率、血压突发下降,经抢救无效,于24日14:37死亡。

图3 入院后胸部X线CT(肿瘤)

图4 入院后胸部CT(纵隔瘤)

图5 治疗10天后胸部X线片无显著改善
重点提示
1.患者老年女性,有脑梗死病史,长期卧床,进食呛咳,易引起反复吸入性肺炎,此类患者为急诊科常见患者。
2.该类患者易在肺部感染的情况下诱发心力衰竭,该种情况下的喘憋究竟是心因性还是肺源性需要仔细去鉴别。
3.吸入性肺炎是老年患者死亡的一大原因,治疗上除了抗生素治疗外,杜绝误吸再发也是关键。
【讨论】
患者以“慢性喘息型支气管炎急性发作、右侧肺炎、慢性肺源性心脏病、心功能Ⅳ级、双侧胸腔积液、重度低钠血症”入院。以往有高血压(3级,极高危)、脑梗死(后遗症期)、2型糖尿病等基础疾病。本次入院以喘憋症状加重为主要表现,患者有肺源性心脏病、COPD病史,结合白细胞及中性粒细胞明显升高、痰液性状考虑肺部感染为喘憋的主要原因。入院后给予强有力抗感染、改善循环、强心、胸腔闭式引流、无创呼吸机辅助通气等治疗。治疗过程中,尽管病情在早期出现明显好转,但由于随后反复出现误吸等,造成肺部感染难以控制、缺氧难以改善,同时又是高龄老人,存在高血压、糖尿病、心功能不全等基础病,致使病情反复恶化,如肺炎加重、心力衰竭难以控制,最终导致救治无效。
【专家析评】
本例患者以往有高血压、2型糖尿病、脑梗死(遗留言语不清、偏瘫和本次入院证实的“进食呛咳”)等基础疾病,而入院时血液和胸片检查已经明确存在心肌损伤(症状、心电图、后续的BNP和cTNT检查结果的变化均不支持急性心肌梗死)、心功能不全、胸腔积液、呼吸衰竭,提示病情已非常严重。给予无创呼吸机辅助通气、强心、闭式胸腔引流、抗感染及纠正水、电解质、酸碱平衡紊乱等治疗,并持续使用无创呼吸机辅助通气以减少体力消耗。
急诊科一直都是医院最危险的地方,急诊科的医护人员除了要有良好的服务态度、丰富的医学知识和熟练的基本操作技能外,还要懂得依法行医。《侵权责任法》第22条规定:侵害他人人身权益,造成他人严重精神损害,被侵权人可以请求精神损害赔偿。因此,患者对自身疾病的诊治有决定权,既可以接受诊疗,也可以拒绝诊疗,而医务人员只有在获得患者及其家属的书面同意后才能实施诊治,也就是说,对疾病的诊治,需要的是医务人员、患者及患者家属三者的密切配合,才有可能取得最佳效果。
参考文献
邱海山,杨海,梁宗夏.cTNT、Mb、NF-ProBNP、hs-CRP联合检测在急性心肌梗死诊断中的价值分析.现代医学,2010,10(4):86-88.
(环球医学编辑:余霞霞)
来源:《急诊临床病案评析:感染与心血管性疾病》
作者:陈旭岩 王仲
页码:389-393
出版:人民卫生出版社
- 评价此内容
- 我要打分
近期推荐
热门关键词
最新会议
- 2013循证医学和实效研究方法学研讨会
- 欧洲心脏病学会年会
- 世界帕金森病和相关疾病2013年会议
- 英国介入放射学学会2013年第25届年会
- 美国血液学会2013年年会
- 美国癫痫学会2013年第67届年会
- 肥胖学会 2013年年会
- 2013年第9届欧洲抗体会议
- 国际精神病学协会 2013年会议
- 妇科肿瘤2013年第18届大会
- 国际创伤压力研究学会2013年第29届…
- 2013年第4届亚太地区骨质疏松症会议
- 皮肤病协会国际2013年会议
- 世界糖尿病2013年大会
- 2013年国际成瘾性药年会
- 彭晓霞---诊断试验的Meta分析
- 武姗姗---累积Meta分析和TSA分析
- 孙凤---Network Meta分析
- 杨智荣---Cochrane综述实战经验分享
- 杨祖耀---疾病频率资料的Meta分析
合作伙伴
Copyright g-medon.com All Rights Reserved 环球医学资讯 未经授权请勿转载!
网络实名:环球医学:京ICP备08004413号-2
关于我们|
我们的服务|版权及责任声明|联系我们
互联网药品信息服务资格证书(京)-经营性-2017-0027
互联网医疗保健信息服务复核同意书 京卫计网审[2015]第0344号




会员登录

