男子反复咳嗽气短10多年 因加重伴胸痛入院
61岁男性,10年前无明显诱因出现咳嗽、咳痰,伴活动后气短,按“支气管炎”治疗后好转,此后每遇受凉上述症状加重,多次在当地医院住院治疗。自诉10天前运动后出现气短加重,同时伴左侧胸痛。在当地医院给予对症治疗后,效果不佳,气短及胸痛呈进行性加重。为进一步诊治,就诊于笔者医院。
【病史简介】
患者,男,61岁,主因“反复咳嗽,气短10余年,加重伴胸痛10余天”入院。患者10年前无明显诱因出现咳嗽、咳痰,伴活动后气短,按“支气管炎”治疗后好转,此后每遇受凉上述症状加重,多次在当地医院住院治疗。自诉10天前运动后出现气短加重,同时伴左侧胸痛。胸部CT:双肺肺气肿伴肺大疱,左肺下叶膨胀不良,左侧少量胸腔积液。肺功能示:重度混合性通气功能障碍,缓解试验阴性。在当地医院给予抗感染、解痉、平喘等对症治疗,效果不佳,气短及胸痛呈进行性加重。为进一步诊治,就诊于我院。在我院门诊行胸部B超提示左侧中量胸腔积液。
入院查体:T 36.6℃,P 76次/分,R 18次/分,BP 130/70mmHg,步入病房,精神欠佳。全身浅表淋巴结未触及肿大,口唇无发绀。颈静脉怒张,左肺呼吸音低,未闻及干湿性啰音。心率83次/分,律齐,各瓣膜未闻及病理性杂音。肝脾肋下未触及,肝肾区无叩击痛,移动性浊音阴性。双下肢无水肿。
既往史:吸烟史40余年,否认高血压、糖尿病史,否认食物药物过敏史。
辅助检查:肺功能参数见表2-1-5。
表1 肺功能参数

血常规:白细胞10.2×109/L,中性粒细胞比例0.721,血红蛋白166g/L,血小板204×109/L,嗜酸性粒细胞绝对值:0.71×109/L。
血气分析(未吸氧):pH 7.397,PaO2 63.3mmHg,PCO2 37.8mmHg,HCO3-22.7mmol/L,SO2%92.5%。
血凝:D-二聚体:1.68mg/L FEU。
初步诊断:
1.胸腔积液性质待查 类肺炎性胸腔积液?恶性?结核性?
2.慢性阻塞性肺疾病、低氧血症
【病例解析】
[问题1]患者此次气短加重的原因?
患者既往反复咳嗽、气短10余年,但此次气短加重伴左侧胸痛,不伴有明显的咳嗽、咳黄痰等症状,与COPD急性加重有不符之处,且给予抗感染、解痉平喘等治疗后症状反而加重,考虑患者此次气短加重与COPD无直接关联,结合患者胸痛、左侧胸腔积液逐渐增多,故考虑患者气短原因与胸腔积液直接相关。因此还需进一步排查胸腔积液性质(表2)。
表2 胸腔积液常规和生化检查

分析:患者胸腔积液在发病后逐渐增多,查胸腔积液性质提示渗出液,而引起渗出液最常见的病因包括肿瘤、结核、炎症、肺血管疾病等。因此还需进一步排查。
[问题2]相关检查提示胸腔积液为渗出液,能否排除结核及肿瘤?
由于COPD患者合并肺癌几率远高于正常人,因此需进一步完善肿瘤相关检查;此外还需排查结核的可能,因此进一步行以下检查:
血清T-spot:抗原A:0,抗原B:0;
胸腔积液T-spot:抗原A:1,抗原B:0;
血沉:21mm/h;
胸腔积液TB-DNA-PCR:阴性;
胸腔积液抗酸染色:阴性;
3次送检痰液浓缩集菌抗酸染色:阴性;
血清及胸腔积液肿瘤标志物系列:阴性;
3次送检胸腔积液病理:未查见恶性细胞,可见大量嗜酸性粒细胞(图1)。

图1胸腔积液细胞学检查 可见大量嗜酸性粒细胞分析:根据患者症状、体征及
检查结果判断目前结核和恶性病变证据不足。
[问题3]什么原因导致胸腔积液中大量嗜酸性粒细胞?
嗜酸性粒细胞胸腔积液是指:胸腔积液中嗜酸性粒细胞占有核细胞10%以上。其产生原因主要有:空气或血液进入胸膜腔;感染性:分枝杆菌、寄生虫、真菌、病毒感染;肺血栓栓塞症;恶性疾病;石棉、药物等。
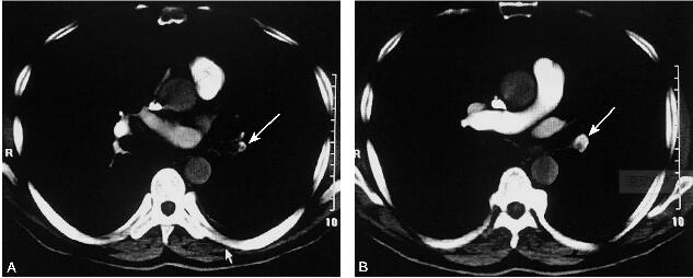
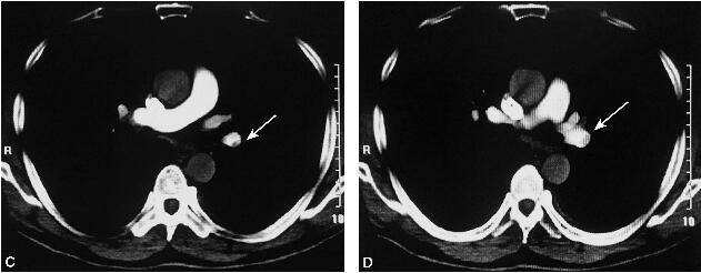
患者胸腔积液提示渗出液,反复多次查结核及恶性疾病均证据不足,但查见大量嗜酸性粒细胞。进一步追问病史,患者发病前无明确疫水、疫情和石棉接触史,未服用特殊药物;结合胸痛、D-二聚体高,氧分压低,因此需行CT肺动脉造影排查急性肺栓塞。肺动脉CTA如图2所示。


图2 肺动脉CTA
左肺上叶尖段、舌段肺动脉、左肺下叶各段级肺动脉多发栓塞灶(白箭)
目前患者诊断已基本明确。最后诊断:
1.急性肺血栓栓塞症、胸腔积液(嗜酸性胸腔积液)
2.慢性阻塞性肺病、低氧血症
[问题4]该患者的血栓来源是什么?
双下肢静脉超声检查提示左下肢肌间静脉多发血栓形成。提示患者肺栓塞的血栓来源为左下肢。
[问题5]该患者产生血栓的原因是什么?
静脉血栓栓塞症的危险因素包括原发性危险因素和继发性危险因素。原发性危险因素由遗传变异引起,常以反复静脉血栓栓塞为主要临床表现。继发性危险因素是指后天获得的易发生VTE的多种病理生理异常,包括骨折、多种战创伤和手术等。通过病史我们可得知该患者无继发性危险因素,那么需进一步排查原发危险因素。
查抗凝血酶Ⅲ、蛋白S、蛋白C、抗心磷脂抗体、血脂六项、凝血因子全套均正常。
同型半胱氨酸:36.99μmol/L↑。
至此我们发现患者存在原发性危险因素,即高同型半胱氨酸血症。
[问题6]目前急性肺血栓栓塞症诊断明确,血流动力学稳定,那么该如何治疗?
肺血栓栓塞的治疗主要依据危险分层,对于不同的分层,所采用的治疗策略不同。因此需要完善危险分层的相关检查:心脏超声、心肌损伤指标。
心脏B超:左室舒张功能减低,收缩功能正常;
各瓣膜未见病理性反流,主动脉硬化;
心肌损伤四项:Pro-BNP:64.23pg/ml
肌钙蛋白I:0ng/ml
肌红蛋白:26.9ng/ml
CK-MB:1.8ng/ml
依据以上检查结果,该患者属低危组,故给予抗凝治疗。即:那曲肝素0.6ml,2次/日(0.1ml/10kg),同时联用华法林2.5mg,1次/日。动态监测INR,调整华法林剂量,使INR值保持在2~3之间。INR达标后,停用那曲肝素,单用华法林抗凝治疗。由于患者同时合并高同型半胱氨酸血症,故给予叶酸片5mg,3次/日,维生素B12 0.5mg,3次/日,并尽可能素食。
【随访】
治疗5天后,患者胸闷、气短症状明显缓解,无明显胸痛。查体:左肺呼吸音较前增强,未闻及干、湿性啰音(提示胸腔积液明显减少)。
【病例点评】
1.患者老年男性,既往有长期吸烟史,结合症状、体征和肺功能结果,COPD诊断明确,此次发病以气短加重为主,很容易联想到AECOPD,但仔细分析后其症状与AECOPD有不符之处,最后确诊肺栓塞合并胸腔积液是导致患者气短加重的原因,并非真正的慢阻肺急性加重。
2.排查胸腔积液的思路 首先明确为渗出性质,积极排查肿瘤及结核后未得到明确阳性结果,但发现为嗜酸性胸腔积液,在排除如寄生虫感染、特殊药物、胸膜腔进入血液和空气后我们认为存在PE的可能,进一步肺动脉CTA确认了上述分析。
3.肺栓塞的诊断包括确定诊断、危险分层、寻找血栓来源与危险因素筛查四部分内容。确诊肺栓塞患者首先应做危险分层,给予相应的抗凝或溶栓治疗。随后要分析血栓形成的原因,积极行易栓症排查。
(屈硕瑶 李圣青)
(环球医学编辑:余霞霞)
来源:《肺血管病及精选病例解析》
作者:李圣青 白春学
页码:23-27
出版:人民卫生出版社
- 评价此内容
- 我要打分
近期推荐
热门关键词
最新会议
- 2013循证医学和实效研究方法学研讨会
- 欧洲心脏病学会年会
- 世界帕金森病和相关疾病2013年会议
- 英国介入放射学学会2013年第25届年会
- 美国血液学会2013年年会
- 美国癫痫学会2013年第67届年会
- 肥胖学会 2013年年会
- 2013年第9届欧洲抗体会议
- 国际精神病学协会 2013年会议
- 妇科肿瘤2013年第18届大会
- 国际创伤压力研究学会2013年第29届…
- 2013年第4届亚太地区骨质疏松症会议
- 皮肤病协会国际2013年会议
- 世界糖尿病2013年大会
- 2013年国际成瘾性药年会
- 彭晓霞---诊断试验的Meta分析
- 武姗姗---累积Meta分析和TSA分析
- 孙凤---Network Meta分析
- 杨智荣---Cochrane综述实战经验分享
- 杨祖耀---疾病频率资料的Meta分析
合作伙伴
Copyright g-medon.com All Rights Reserved 环球医学资讯 未经授权请勿转载!
网络实名:环球医学:京ICP备08004413号-2
关于我们|
我们的服务|版权及责任声明|联系我们
互联网药品信息服务资格证书(京)-经营性-2017-0027
互联网医疗保健信息服务复核同意书 京卫计网审[2015]第0344号




会员登录

