25岁女子咳嗽咳痰伴发热8天 胸部CT显示双肺弥漫结节影
25岁女性,咳嗽、咳痰、发热8天,静脉滴注头孢唑林4天病情未见好转,胸部CT显示双肺可见弥漫均匀分布的小粟粒状阴影。该患者患有……
患者女性,25岁,于2012年2月24日入院。
一、主诉
咳嗽、咳痰,伴发热8天。
二、病史询问
(一)初步诊断思路及问诊目的
咳嗽、咳痰,伴发热常见于呼吸系统感染性疾病,如病毒、细菌感染等。因此,问诊主要围绕感染性疾病的诱因、发病时的症状特点、伴随症状、流行病史及入院前药物治疗的情况,在症状学层面作出初步的鉴别。是否曾抗感染治疗及效果如何等问题展开,并兼顾重要鉴别疾病的临床表现,以寻找符合感染性疾病表现的证据。
(二)问诊主要内容及目的
1.发病前是否有受凉、雨淋、皮肤受损?
明确是否为感染性疾病。
2.咳嗽是否伴有咳痰?是白痰还是黄痰,是否有咳痰带血及腥臭味?
如有黄痰,有助于诊断细菌感染。如咳痰带血,多考虑结核、肿瘤等疾病。咳痰带腥臭味,多见于厌氧菌感染,肺脓肿可能性大。
3.发热是否伴寒战?体温波动的范围?发热有无时间性?
不同的热型对疾病有初始诊断价值,如肺结核多有午后低热症状,大叶性肺炎多有稽留热。
4.是否存在其他的系统症状?是否有乏力及结核中毒症状?
如果感染的原发部位在肺外,会出现相应的症状,如结核性脑膜炎,会伴发头痛等颅内高压症状。结核中毒症状虽然没有特异性,但可以协助结核病的诊断。
5.入院前药物的治疗情况如何?应用何种药物?疗程及疗效如何?
通过了解院外抗感染治疗的情况来考虑感染性疾病的可能性,并进一步分析药物的选择是否合理等问题。
6.既往是否健康,或有何种疾病?是否有结核的密切接触史,最近是否到过外地,是否接触过患者?
基础疾病及控制情况对此次发病有一定提示作用,如长期糖尿病且治疗不佳者合并肺部感染,易出现肺化脓症;有肺结核接触史,可能感染结核分枝杆菌;机体抵抗力差时,结核菌可以致病,有助于结核菌感染的诊断。
7.何种职业?
诸多呼吸系统疾病与职业相关,患矽肺患者往往易合并肺结核。
(三)问诊结果及临床分析
患者为商场销售员,既往身体健康,否认结核接触史,近期未到过外地。本次发病前无明显的诱因。咳嗽、咳痰,为黏性白色痰,无痰中带血及特殊气味。体温最高38.6℃,伴有寒战。有头痛、恶心、呕吐、乏力、食欲不佳,静脉滴注头孢唑林4天病情未见好转。
【临床分析】
通过问诊可明确,患者既往无慢性呼吸系统疾病,本次发病咳嗽,咳痰伴有高热,有乏力、多汗、食欲缺乏、头痛、恶心、呕吐,符合呼吸道感染的特点,应在体格检查时重点注意上呼吸道(如扁桃体)及肺部体征的变化,以指导选择适当的辅助检查来证实。
三、体格检查
(一)重点检查内容及目的
考虑患者为感染性疾病,为呼吸系统疾病,因此应注意患者的扁桃体是否有化脓以及肺部的体征。尤其是呼吸音的强弱、啰音及管状呼吸音。
(二)体格检查结果及临床分析
【体格检查】
体温38℃,脉搏96次/分,呼吸20次/分,血压120/80mmHg。热病容,精神萎靡,呼吸平稳,自主体位。口唇无发绀,咽部无充血,扁桃体不大,气管居中。胸廓对称,双侧呼吸运动一致,双肺叩诊呈清音,双肺听诊呼吸音减弱,未闻及明显干湿啰音。心界不大,心律齐,各瓣膜听诊区未闻及杂音。腹软,肝脾肋下未触及,有颈强直。
【临床分析】
除体温增高外,体格检查提示线索较少。这使进一步的诊断和治疗变得困难,按先易后难分析,临床最常见的发热疾病为上呼吸道感染(普通感冒、扁桃体炎)及下呼吸道感染(支气管炎、肺炎)。但多种疾病均可以发热为首要表现,按发热的病因临床可划分为感染性发热与非感染性发热两类。在感染性发热中,常考虑到的疾病有结核、败血症、伤寒与副伤寒、亚急性感染性心内膜炎、慢性胆囊炎、肝脓肿、传染性单核细胞增多症、泌尿系感染、AIDS等。在非感染性发热中,常见的有肿瘤与血液疾病(如淋巴瘤)、变态反应与胶原血管病(如药物热、皮肌炎、成人Still病)。可见,如何缩小诊断范围是医生首先面临的问题,重要的诊断思路是找出除发热之外的其他系统症状。本例除发热外,尚有咳嗽、咳痰,使我们把注意力放到了呼吸系统的感染。进一步的检查应具有针对性,并兼顾其他常见的感染性疾病。
评价:患者发病已8天,静脉滴注头孢唑林已经4天,但治疗效果差,考虑可能存在非典型致病菌感染,如支原体感染及衣原体感染,但患者有乏力及盗汗等结核中毒症状,目前仍不能除外结核菌感染的可能。病史中患者的伴随症状有“头痛及恶心呕吐”,这些神经系统症状都未能引起足够的重视,从而不能将其正确地联系在一起。
四、实验室和影像学检查
(一)初步检查内容及目的
1.血常规、ESR、C-反应蛋白、降钙素原:
进一步证实感染性疾病。
2.血清支原体、衣原体、军团菌、病毒抗体检查:
明确病原。
3.痰涂片、痰培养、血培养:
明确病原。
4.痰查结核菌:
明确病原菌。
5.动脉血气分析:
评价病情严重程度。
6.中段尿细菌培养:
明确病原菌。
7.腰椎穿刺测量颅内压:
明确病原菌及是否存在颅内高压。
8.胸部及头部影像学:
明确诊断并了解病变部位的范围。
(二)检查结果及临床分析
【检查结果】
1.血常规:白细胞计数6.94×109/L,中性粒细胞百分比69.9%,淋巴细胞百分比16.9%,单核细胞百分比12.8%,红细胞计数4.21×1012/L,血红蛋白108g/L,血小板计数316×109/L。
2.血沉46mm/h,超敏C反应蛋白123mg/L,降钙素原0.21ng/L。
3.血清支原体、军团菌、病毒抗体、肥达反应、外斐反应、HIV抗体、心肌酶均为阴性。
4.痰培养:未培养出致病菌。
5.痰查结核菌:阴性。
6.血细菌培养:1周后出结果。
7.动脉血气分析(未吸氧气):pH 7.4,PaO2 90mmHg,PaCO2 32mmHg。
8.骨髓穿刺均正常,腰椎穿刺提示颅内压增高(CSF:400mmH2O)。
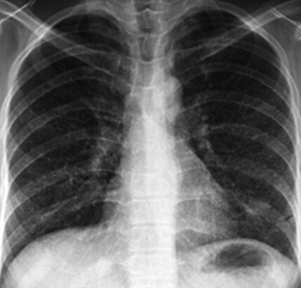
9.头CT:未见异常;胸部X线检查:双肺纹理粗乱(图1)。

图1
【临床分析】
检查结果示胸部X线发现双肺纹理粗乱,考虑为感染性发热可能性大,可以给予抗感染治疗,覆盖前期治疗未覆盖的非典型致病菌,如支原体及衣原体,完善胸部CT。颈强直为脑膜刺激征,引起脑膜刺激征的原因较多。此处,我们需要分析感染性脑膜炎:
1.细菌性脑膜炎,包括:①化脓性脑膜炎,如脑膜炎双球菌、肺炎双球菌链球菌、葡萄球菌等;②非化脓性细菌性脑膜炎,如结核杆菌、布氏杆菌等。
2.病毒性脑膜炎,如肠道病毒、痢疾病毒、流行性腮腺炎病毒。
3.其他微生物感染性脑膜炎,如隐球菌、钩端螺旋体等。
需要进一步行脑脊液生化及细菌培养。
五、治疗方案及理由
【方案】
左氧氟沙星300mg,每日2次,静脉滴注。
【理由】
临床对已做各种检查仍不能确认的发热患者,如无禁忌,可对怀疑的疾病给予相应的治疗,如治疗效果很好,可具有协助诊断的作用。考虑到本例已用头孢唑林治疗4天无效,且病原未明,可能存在支原体等非典型致病菌感染,故选用喹诺酮类药物。
六、治疗效果及临床分析
【治疗效果】
左氧氟沙星72小时后患者体温无明显下降,状态无好转。这时血细菌培养回报示“未生长细菌”。
【临床分析】
此时,患者已用广谱抗生素规范治疗3天,对于一般的普通细菌感染可排除,但特殊的病原体感染尚不能除外,有必要进一步检查以寻找发热原因。在常见的感染性疾病中,结核杆菌感染特别是血行播散性结核应该受到关注,应完善胸部CT以观察肺部是否有变化。
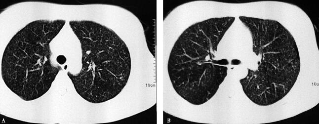
七、完善胸部CT的结果
胸部CT(图2)示双肺可见弥漫均匀分布的小粟粒状阴影。此时结合患者年轻、高热、用一般抗生素治疗无效,可诊断为急性血行播散型肺结核。但需注意,肺部的小粟粒状阴影应该与弥漫性泛细支气管炎、细支气管肺泡癌、粟粒型肺转移癌、间质性肺疾病等鉴别。脑脊液涂片抗酸染色可见结核菌。

图2
【最终诊断】
急性血行播散型肺结核、结核性脑膜炎
八、治疗
采用异烟肼、利福平、乙胺丁醇、吡嗪酰胺四联抗结核治疗。治疗1个月后,临床症状消失,胸部CT病灶明显吸收。
九、对本病例的思考
本例患者入院10天得以诊断,实际上是临床所指“不明原因发热”的范畴。这类患者的诊断常很棘手,特别是只有发热而无其他系统症状者。这时医生的兴趣点应在于发现除发热以外的至少一种系统症状,以缩小诊断范围。本例诊断的困难之处在于急性粟粒型肺结核肺部的粟粒阴影常需2~4周才能显现,有的可长达2个月,而在此之前则不易获得诊断。这也是临床上急性粟粒型肺结核在早期常被误诊的原因。故在临床上应保持对本病的警惕性,对这样的患者要注意定期复查胸部CT,做眼底检查,以及时发现线索。
此患者入院时就有颅内高压症状,但并未引起足够重视,只给予肺部感染的相应治疗,待胸部CT回报后才把神经系统症状与呼吸系统症状联系到一起。所以临床接诊患者是要重视阳性查体,尽量用一元论解释一个疾病,逐渐锻炼临床思维。
小贴士
结核性脑膜炎的抗结核药物治疗原则
1.遵守早期、联用、适量、规律、全程的结核病一般化疗原则。
2.治疗结脑的基础药物应是异烟肼(H),利福平(R),链霉素(S),吡嗪酰胺(Z),可用这些药物组成化疗方案,轻症结核性脑膜炎可用4HRSZ.14HRZ标准方案,重症结核性脑膜炎可用6HRSZE.18HRZ标准方案,全疗程应为1.5~2年,复发率为零。
沈阳医学院附属中心医院 夏书月 仲昭双
(环球医学编辑:余霞霞)
来源:《防范与走出常见诊疗误区:呼吸疾病临床病例精粹》
作者:康健
页码:13-17
出版:人民卫生出版社
- 评价此内容
- 我要打分
近期推荐
热门关键词
最新会议
- 2013循证医学和实效研究方法学研讨会
- 欧洲心脏病学会年会
- 世界帕金森病和相关疾病2013年会议
- 英国介入放射学学会2013年第25届年会
- 美国血液学会2013年年会
- 美国癫痫学会2013年第67届年会
- 肥胖学会 2013年年会
- 2013年第9届欧洲抗体会议
- 国际精神病学协会 2013年会议
- 妇科肿瘤2013年第18届大会
- 国际创伤压力研究学会2013年第29届…
- 2013年第4届亚太地区骨质疏松症会议
- 皮肤病协会国际2013年会议
- 世界糖尿病2013年大会
- 2013年国际成瘾性药年会
- 彭晓霞---诊断试验的Meta分析
- 武姗姗---累积Meta分析和TSA分析
- 孙凤---Network Meta分析
- 杨智荣---Cochrane综述实战经验分享
- 杨祖耀---疾病频率资料的Meta分析
合作伙伴
Copyright g-medon.com All Rights Reserved 环球医学资讯 未经授权请勿转载!
网络实名:环球医学:京ICP备08004413号-2
关于我们|
我们的服务|版权及责任声明|联系我们
互联网药品信息服务资格证书(京)-经营性-2017-0027
互联网医疗保健信息服务复核同意书 京卫计网审[2015]第0344号




会员登录

