老奶奶咳嗽、呼吸困难2个月 多次询问病史+检查才发现病因
老奶奶咳嗽、咳痰、呼吸困难2个月,加重3周,查体提示存在间质性肺部疾病,进一步检查发现问题不简单。
患者女性,78岁,于2013年7月29日入院。
一、主诉
咳嗽、咳痰、呼吸困难2个月,加重3周。
二、病史询问
(一)初步诊断思路及问诊目的
老年女性,病程相对较长,主要症状为咳嗽、呼吸困难,近期有加重。呼吸系统疾病常是咳嗽和呼吸困难的主要病因。胸膜疾病、肺血管疾病(如肺栓塞)、心血管疾病(左心衰导致肺淤血及肺水肿)及中枢神经系统疾病也可引起咳嗽。而呼吸困难主要原因有肺源性、心源性、血液源性及中毒性等。问诊主要针对咳嗽、呼吸困难及相关疾病展开。
(二)问诊主要内容及目的
1.咳嗽的时间与规律?
急性咳嗽常见于急性上下呼吸道感染,长期慢性咳嗽主要见于慢性呼吸系统疾病,如慢性阻塞性肺疾病、支气管扩张、慢性肺脓肿、咳嗽变异性哮喘。夜间咳嗽剧烈见于左心功能不全、哮喘、胃食管反流病。
2.咳嗽是否伴有痰或黄痰?
如伴随咳嗽逐渐出现黄痰则是感染的重要依据。臭味提示厌氧菌感染,大量(日咳成百甚至上千毫升)浆液性泡沫痰提示支气管肺泡癌可能。
3.伴随症状有无发热、胸痛、咯血等?
有关节痛、肌肉痛、口腔溃疡、脱发、皮疹等,提示风湿免疫系统疾病的临床表现。发热同时伴有血液感染指标升高提示感染性炎症,发热不伴有血液感染指标升高需注意结缔组织病导致的非感染性发热。胸痛提示胸膜病变或肺部病变累及胸膜。咯血可见于肺栓塞、肺炎、肺脓肿、肺结核及左心功能不全等。
4.呼吸困难特点?
是吸气性、呼气性还是混合性呼吸困难。吸气性呼吸困难多为大气道高位梗阻;呼气性呼吸困难多见于支气管哮喘、慢性阻塞性肺疾病;混合性呼吸困难多见于肺炎、肺水肿、气胸、胸腔积液等与胸廓运动受限有关的疾病。心源性呼吸困难为运动后及平卧时加重,休息及坐位时减轻。间质性肺部疾病的呼吸困难无平卧后加重特点。
5.既往有何种疾病,是否有呼吸系统症状?
包括患者既往健康状况和过去曾患疾病,特别是有无呼吸系统慢性疾病及其他全身性疾病。因为呼吸系统慢性疾病及全身系统疾病可使患者抵抗力降低,肺部容易感染。
6.外院诊疗经过?
相应的诊疗方案可以辅助对患者进一步评估。如急性加重患者于发病时在外院进行的检查可与入院后对比,评估疾病进展程度。外院治疗情况有利于评价治疗效果和分析疾病种类。
(三)问诊结果及临床分析
该患者无基础呼吸系统疾病及其他系统慢性疾病,起初仅有干咳症状,以后逐渐出现咳黄痰症状,无昼夜差异,近3周有发热,为下午低热,体温最高37.5℃,无胸痛,无咯血。呼吸困难为逐渐加重过程,无明显活动后及夜间平卧后呼吸困难加重特点。
【临床分析】
对以上问诊判断病情为亚急性起病。患者在咳嗽、咳痰、呼吸困难的同时还伴有发热,结合既往无基础心脏疾病及高血压病,无夜间阵发性呼吸困难,无心绞痛症状,可以除外冠心病及心功能不全导致的呼吸困难。为进一步了解病因,需要鉴别该患者发病是感染性因素还是非感染性因素,或是两者混杂存在。
三、体格检查
(一)重点检查内容和目的
患者以咳嗽、咳痰、呼吸困难为主要症状,检查除了注意肺部体征,还应注意口唇及四肢末梢是否发绀,是否有杵状指,心脏大小,心脏各瓣膜听诊区有无杂音。
(二)体格检查结果及临床分析
【体格检查】
体温37.6℃,心率80次/分,呼吸22次/分,血压140/70mmHg。神志清楚,呼吸略促,口唇发绀,颈静脉无怒张,气管居中,无三凹征,胸廓对称,双侧呼吸运动一致,双肺叩诊呈清音。双肺听诊多处可闻及Velcro啰音。心界不大,心音纯,律齐,未闻及奔马律和各瓣膜区杂音。腹部、四肢、神经等系统检查未见异常。无杵状指。
【临床分析】
查体阳性体征为口唇发绀,双肺闻及Velcro啰音,提示存在肺间质性病变,应进一步行肺功能、胸部CT及免疫相关指标检查。
评价:患者查体提示存在间质性肺部疾病,同时有低热症状,不能除外风湿免疫系统疾病,前面采集病史时漏掉了重要信息,如有关节痛、肌肉痛、口腔溃疡、脱发、皮疹等,提示风湿免疫系统疾病的临床表现。这些重要信息都未能引起足够的重视。
四、实验室和影像学检查
(一)初步检查内容及目的
1.血常规、C-反应蛋白、ESR、降钙素原:进一步证实感染性疾病。
2.血清支原体、衣原体、军团菌、病毒抗体检查:明确病原。
3.痰菌涂片、痰菌培养:明确病原。
4.动脉血气分析:评价病情。
5.类风湿系列、风湿系列、抗核抗体系列、补体、免疫球蛋白、ANCA、抗心磷脂抗体:明确有无风湿免疫系统疾病。
6.肺功能:评价肺功能障碍程度与类型。
7.胸部影像学:明确诊断并了解病变部位和范围。
(二)检查结果及临床分析
【检查结果】
1.血常规:
白细胞计数13.28×109/L,中性粒细胞百分比94%,淋巴细胞百分比1.7%,单核细胞百分比3.3%,红细胞计数3.66×1012/L,血红蛋白119g/L,血小板计数87×109/L,C-反应蛋白20.2mg/L,血沉157mm/h。
2.痰菌培养:
待3天后出结果。
3.动脉血气分析(未吸氧):
pH 7.47,PaO2 64mmHg,PaCO2 45mmHg。
4.肺功能:
重度限制型通气功能障碍,弥散功能重度降低。
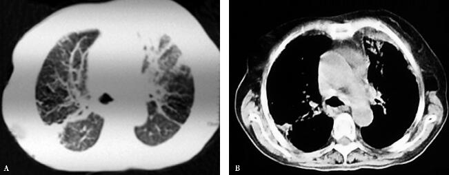
5.胸部影像学:
双肺多发条索状及网状阴影(图1)。

图1
【临床分析】
重要的检查结果有三项:①白细胞计数、中性粒细胞百分比均增高;②胸部影像学示双肺多发间质性病变;③动脉血氧分压降低。结合患者的病史和体格检查结果,进一步支持感染性疾病,但患者肺部查体有Velcro啰音,肺功能提示弥散功能异常,提示有间质性肺疾病,综上结果提示间质性肺疾病合并有肺部感染。患者发病以来反复抗感染治疗,曾应用广谱抗生素治疗,效果均较差,考虑可能因未能覆盖病原体或基础疾病未系统治疗。
五、治疗方案及理由
【方案】
美罗培南1g,每8小时1次,静脉滴注。
【理由】
患者入院前曾联合应用哌拉西林钠/他唑巴坦钠4.5g,每日2次,静脉滴注;左氧氟沙星300mg,每日2次,静脉滴注。治疗3天,效果差。因此,考虑可能存在耐药菌感染,经验性美罗培南静脉滴注。
六、治疗效果及临床分析
(一)治疗效果
经美罗培南7天治疗,体温无明显变化,仍有低热。咳嗽、咳痰较前缓解,呼吸困难缓解不明显,双肺仍有Velcro音。此间实验室检查结果:ANA系列:ANA 1∶1000,dsDNA(+),NUCLE(+),SS-B(+)。风湿系列:RF 830.91IU/ml,余正常。补体:C3 0.2g/L,余正常。类风湿系列、免疫球蛋白、ANCA正常。抗心磷脂抗体(+)。T淋巴细胞亚群:CD4+26个/μl,CD8+30个/μl。
(二)临床分析
患者有感染证据,给予抗感染治疗,咳嗽、咳痰症状缓解,但低热及呼吸困难缓解不明显,双肺存在弥漫性间质性病变,结合风湿免疫相关结果,考虑患者存在系统性红斑狼疮累及肺部,同时需排除类风湿关节炎、干燥综合征、肌炎、皮肌炎等。因此,重新深入询问病史,特别是是否有口腔溃疡、关节炎、神经系统症状,并进行有针对性的检查非常重要。
评价:原本认为存在肺部感染,但经过规范化抗感染治疗的“验证”,症状缓解不明显。原来的诊断思路错了吗?是否存在其他漏洞?临床实践的任何一个环节,如病史采集、查体、实验室检查结果的判读、治疗效果的评估等都可以影响诊断思路。如果不清楚错误发生在哪个环节,就应该重新询问病史并尽快完善相应的化验检查,认真分析异常的化验结果与疾病的关系。
七、再问病史和实验室检查结果
通过再次深入且有针对性地询问病史得知:患者近2年来出现口干、眼干症状,口腔频繁出现溃疡,近2个月有周身关节疼痛,近1个月有低热。复查血常规:白细胞计数2.9×109/L,中性粒细胞百分比63%,淋巴细胞百分比8.2%,单核细胞百分比3.3%,红细胞计数3.0×1012/L,血红蛋白126×109g/L,血小板计数66×109/L。泪液分泌试验(schimer试验)阳性。补充上述临床资料后,诊断思路变得清晰起来。诊断为系统性红斑狼疮合并干燥综合征。
评价:肺部间质性改变,要考虑风湿免疫系统疾病累及肺部导致,用一元论进行诊断,更符合临床思维。
八、调整治疗方案及疗效
(一)新方案
继续应用美罗培南;丙种球蛋白0.4g/kg,每日1次,静脉滴注;
泼尼松:前3天:1000mg,每日1次,静脉滴注;3天后:500mg,每日1次,静脉滴注;再3天后改为250mg,并逐渐减量,门诊随诊调整剂量。
(二)疗效
1.治疗两周后:
呼吸困难明显缓解,体温正常,肺部Velcro啰音减少,体温正常,干燥症状略有缓解。
2.治疗一个月后:
无明显临床症状,动脉血气分析(未吸氧):pH 7.41,PaO2 78mmHg,PaCO2 40mmHg。胸部CT病变明显吸收。
3.治疗8周后:
病情稳定,胸部CT病变明显吸收。
【最终诊断】
系统性红斑狼疮合并干燥综合征、肺部感染
九、对本病例误诊误治的思考
系统性红斑狼疮(SLE)是自身免疫介导的,以免疫性炎症为突出表现的弥漫性结缔组织病,SLE的肺部病变主要表现为间质性肺炎。肺部病变主要有:①胸膜炎,最为多见,如合并胸腔积液其性质为渗出液。②急性狼疮肺炎,轻重不一,重者可发生弥漫性出血性肺泡炎或急性呼吸窘迫综合征,病情危重,病亡率高。存活者都出现限制性通气功能障碍和肺弥散功能减低,可能转变为肺间质性病变。③肺脏间质病变,主要是急性和亚急性期的磨玻璃样改变和慢性期的纤维化。慢性间质性肺病发生于SLE者远不及硬皮病、类风湿关节炎或干燥综合征。④肺动脉高压,其发生为血管炎所致,另外与抗磷脂抗体有关。⑤其他,如肺梗死、肺萎缩综合征、肺不张、阻塞性毛细支气管炎等。
问诊的重要性:该患者初诊时已有长期低热、口腔溃疡及关节疼痛症状,肺部查体亦可闻及Velcro啰音,但是未引起足够的重视。更应汲取教训的是未对低热、口腔溃疡及关节疼痛深入、挖掘性地问诊。
综上所述,本病例误诊误治关键点是:①病史询问不细致;②对SLE认识不足,没有临床“兴奋灶”;③初期误诊导致初期误治。
小贴士
系统性红斑狼疮的分类标准(美国风湿病学会1997年推荐)
1.颊部红斑:固定红斑,扁平或高起,在两颧突出部位红斑。
2.盘状红斑:片状高起于皮肤的红斑,黏附有角质脱屑和毛囊栓;陈旧性病变可发生萎缩性瘢痕。
3.光过敏:对日光有明显的反应,引起皮疹,从病史中得知或医生观察到。
4.口腔溃疡:经医生观察到的口腔或鼻咽部溃疡,一般为无痛性。
5.关节炎:非侵蚀性关节炎,累及2个或更多的外周关节,有压痛,肿胀或积液。
6.浆膜炎:胸膜炎或心包炎。
7.肾脏病变:尿蛋白>0.5g/24h或+++,或管型(红细胞,血红蛋白,颗粒或混合管型)。
8.神经病变:癫痫发作或精神病,除外药物或已知的代谢紊乱。
9.血液学疾病:溶血性贫血或白细胞减少,或淋巴细胞减少,或血小板减少。
10.免疫学异常:抗dsDNA抗体阳性,或抗Sm抗体阳性。或抗磷脂抗体阳性(包括抗心膦脂抗体,或狼疮抗凝物,或至少持续6个月的梅毒血清试验假阳性,三者中具备一项阳性)。
11.抗核抗体:在任何时间和未用药物诱发“药物性狼疮”的情况下,抗核抗体异常。
该诊断标准的11项中,符合4项或4项以上者,在除外感染、肿瘤和其它结缔组织病后,可诊断系统性红斑狼疮,同时具备第7条肾脏病变即可诊断为狼疮性肾炎。
沈阳医学院附属中心医院 夏书月 仲昭双
(环球医学编辑:余霞霞)
来源:《防范与走出常见诊疗误区:呼吸疾病临床病例精粹》
作者:康健
页码:9-13
出版:人民卫生出版社
- 评价此内容
- 我要打分
近期推荐
热门关键词
最新会议
- 2013循证医学和实效研究方法学研讨会
- 欧洲心脏病学会年会
- 世界帕金森病和相关疾病2013年会议
- 英国介入放射学学会2013年第25届年会
- 美国血液学会2013年年会
- 美国癫痫学会2013年第67届年会
- 肥胖学会 2013年年会
- 2013年第9届欧洲抗体会议
- 国际精神病学协会 2013年会议
- 妇科肿瘤2013年第18届大会
- 国际创伤压力研究学会2013年第29届…
- 2013年第4届亚太地区骨质疏松症会议
- 皮肤病协会国际2013年会议
- 世界糖尿病2013年大会
- 2013年国际成瘾性药年会
- 彭晓霞---诊断试验的Meta分析
- 武姗姗---累积Meta分析和TSA分析
- 孙凤---Network Meta分析
- 杨智荣---Cochrane综述实战经验分享
- 杨祖耀---疾病频率资料的Meta分析
合作伙伴
Copyright g-medon.com All Rights Reserved 环球医学资讯 未经授权请勿转载!
网络实名:环球医学:京ICP备08004413号-2
关于我们|
我们的服务|版权及责任声明|联系我们
互联网药品信息服务资格证书(京)-经营性-2017-0027
互联网医疗保健信息服务复核同意书 京卫计网审[2015]第0344号




会员登录

